共1页/16条首页上一页1下一页尾页
回复:16 阅读:2723
额叶占位,胶母典型不?

柳刀 离线

帖子:111
粉蓝豆:14
经验:523
注册时间:2007-01-30
加关注  |  发消息
楼主 发表于 2009-04-08 13:10|举报|关注(0)
浏览排序[ 顺序 逆序 楼主 支持 精彩 ]  快捷回复

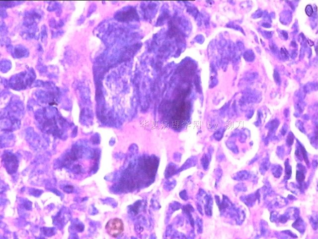
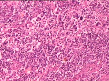
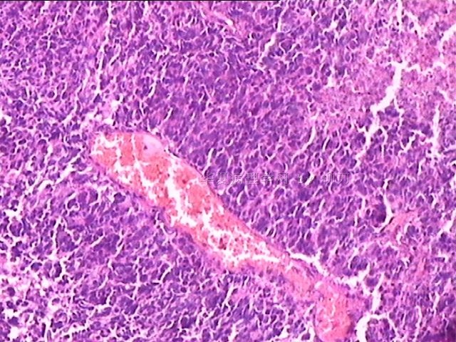
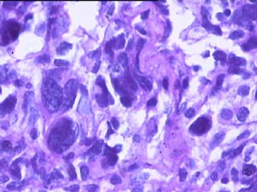
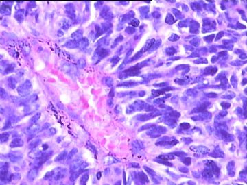
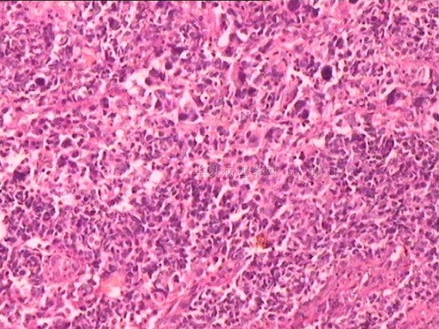
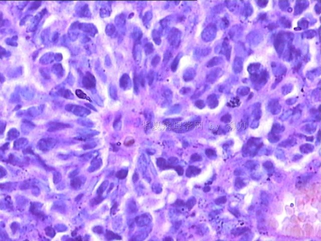
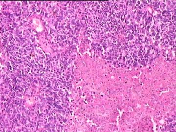
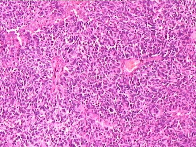
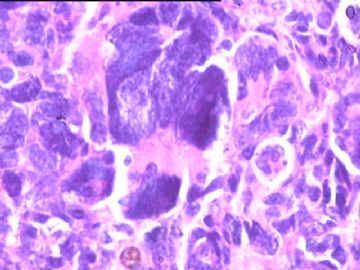
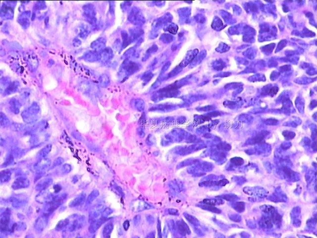
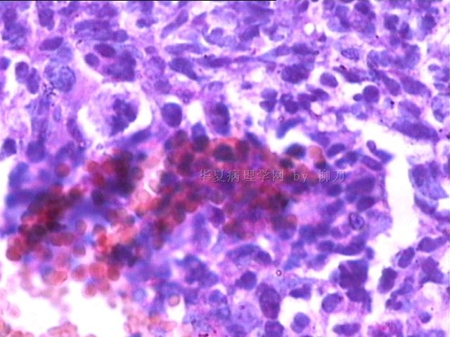
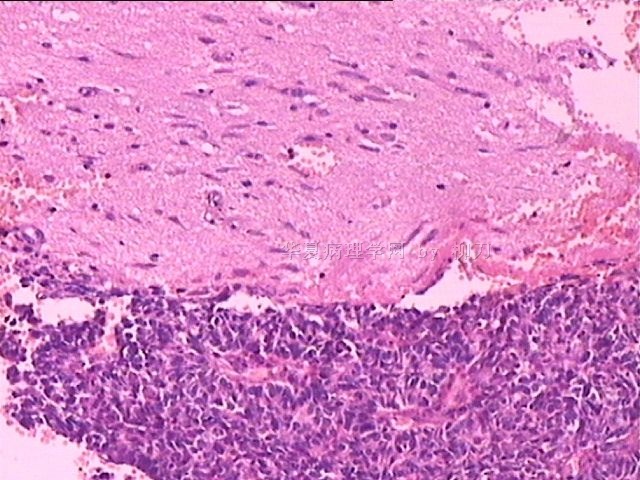
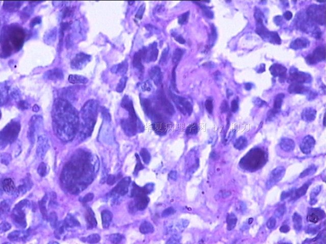
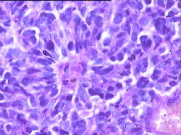
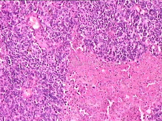
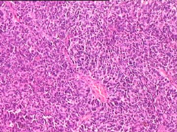
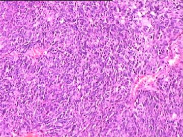
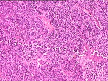
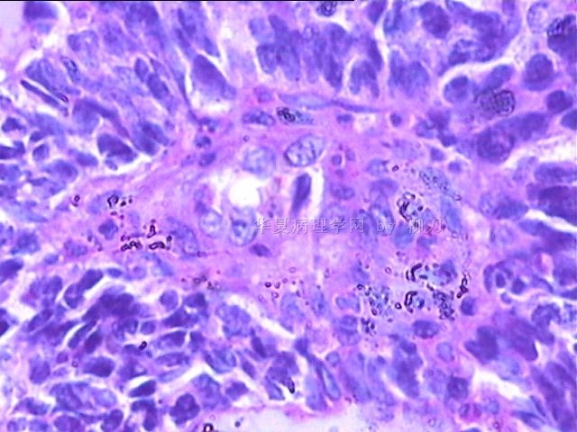
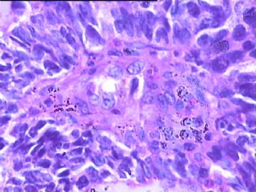
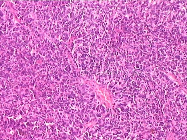
女,34y,头痛一月,右额叶占位:5*5*4cm。囊性区域,4cm。大体:3.5x3x1cm灰白间暗褐色组织一堆,质嫩。临床诊断1:胶质瘤,2:血管母细胞瘤。

 

本人县级医院头颅手术少,考虑胶质母细胞瘤。大家指导指导。

  • 额叶占位,胶母典型不?图1
    图1
  • 额叶占位,胶母典型不?图2
    图2
  • 额叶占位,胶母典型不?图3
    图3
  • 额叶占位,胶母典型不?图4
    图4
  • 额叶占位,胶母典型不?图5
    图5
  • 额叶占位,胶母典型不?图6
    图6
  • 额叶占位,胶母典型不?图7
    图7
  • 额叶占位,胶母典型不?图8
    图8
  • 额叶占位,胶母典型不?图9
    图9
  • 额叶占位,胶母典型不?图10
    图10
  • 额叶占位,胶母典型不?图11
    图11
  • 额叶占位,胶母典型不?图12
    图12
  • 额叶占位,胶母典型不?图13
    图13
  • 额叶占位,胶母典型不?图14
    图14
  • 额叶占位,胶母典型不?图15
    图15
  • 额叶占位,胶母典型不?图16
    图16
标签:
0
添加参考诊断
×参考诊断
  

wfbjwt 离线

帖子:6628
粉蓝豆:163
经验:7418
注册时间:2006-10-08
加关注  |  发消息
1 楼    发表于2009-04-08 13:40:00举报|引用
返回顶部 | 快捷回复
 胶母
0
回复
signature
嫁人就嫁灰太狼,学习要上华夏网。

197 离线

帖子:4781
粉蓝豆:803
经验:5032
注册时间:2006-09-12
加关注  |  发消息
2 楼    发表于2009-04-08 14:26:00举报|引用
返回顶部 | 快捷回复
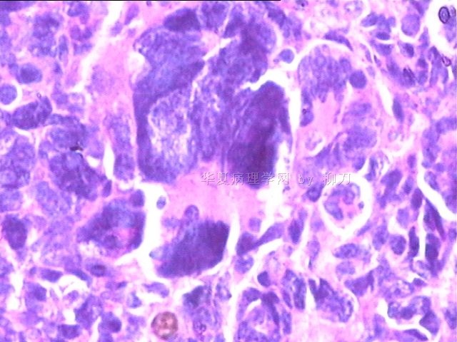
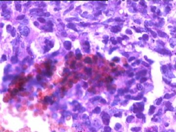
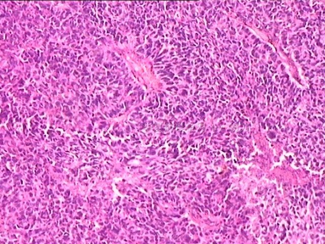
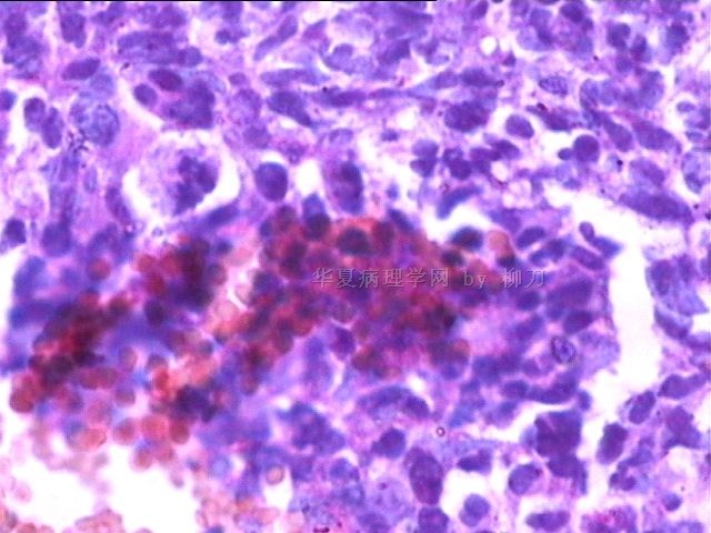
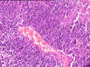
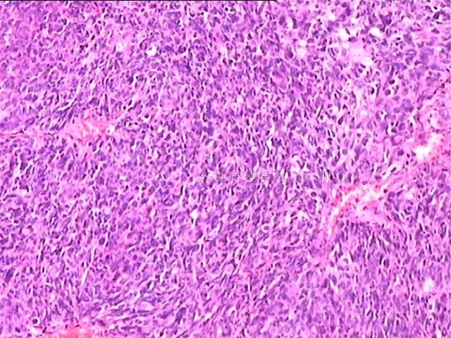
 同意胶质母细胞瘤。细胞异型、坏死、核分裂、血管内皮肿胀增生均可见到。
0
回复
signature
“人生没有彩排,每一天都是现场直播”

mjma 离线

帖子:703
粉蓝豆:24
经验:789
注册时间:2006-09-28
加关注  |  发消息
3 楼    发表于2009-04-08 22:55:00举报|引用
返回顶部 | 快捷回复
This is certainly a WHO grade IV malignant neoplasm. While most likely a glioblastoma, I would carefully rule out PNET by staining for GFAP and neuronal markers such as synaptophysin, NeuN and NSE. Rarely, PNET may shows marked pleomorphism and indistinguishable from glioblastoma on HE stain. 
0
回复
signature

聞道有先後,術業有專攻

yourself 离线

帖子:663
粉蓝豆:7133
经验:691
注册时间:2007-06-30
加关注  |  发消息
4 楼    发表于2009-04-09 12:21:00举报|引用
返回顶部 | 快捷回复
 同意马老师的意见,该肿瘤从形态及年龄来看考虑PNET或GBM,须标记Syn、NSE、S-100、NeuN和GFAP来鉴别。
0
回复

zchzmf 离线

帖子:701
粉蓝豆:17
经验:864
注册时间:2007-03-15
加关注  |  发消息
5 楼    发表于2009-04-09 14:51:00举报|引用
返回顶部 | 快捷回复
 结合图片细胞形态特点考虑胶质母细胞瘤,组化标记排除其他
0
回复

群星 离线

帖子:190
粉蓝豆:2
经验:190
注册时间:2008-05-03
加关注  |  发消息
6 楼    发表于2009-04-09 16:07:00举报|引用
返回顶部 | 快捷回复
 考虑胶质母细胞瘤
0
回复

柳刀 离线

帖子:111
粉蓝豆:14
经验:523
注册时间:2007-01-30
加关注  |  发消息
7 楼    发表于2009-04-10 13:02:00举报|引用
返回顶部 | 快捷回复
本帖最后由 于 2009-04-10 13:08:00 编辑  谢谢各位老师,只是觉得不像PNET。
0
回复

xiaohl 离线

帖子:282
粉蓝豆:24
经验:288
注册时间:2006-10-19
加关注  |  发消息
8 楼    发表于2009-04-12 18:46:00举报|引用
返回顶部 | 快捷回复
 中枢神经系统的PNET与GBM一样,也有不同的形态。需要鉴别
0
回复

柳刀 离线

帖子:111
粉蓝豆:14
经验:523
注册时间:2007-01-30
加关注  |  发消息
9 楼    发表于2009-04-13 16:05:00举报|引用
返回顶部 | 快捷回复
以下是引用xiaohl在2009-4-12 18:46:00的发言:

 中枢神经系统的PNET与GBM一样,也有不同的形态。需要鉴别

请问老师PNET与GBM好像都属IV级吧,预后有差别吗?呵呵,我又该要去查查资料了。
0
回复

mjma 离线

帖子:703
粉蓝豆:24
经验:789
注册时间:2006-09-28
加关注  |  发消息
10 楼    发表于2009-04-13 22:19:00举报|引用
返回顶部 | 快捷回复
PNET and GBM are both WHO grade IV, but they have distinct different biologic behavior. For instance, PNET is more likely to spread by CSF seeding at the beginning or at recurrence after resection. Response to various chemotherapeutic agents is also different between the two. Therefore it is important to distinguish them when you can.
0
回复
signature

聞道有先後,術業有專攻

zhang197510 离线

帖子:409
粉蓝豆:2971
经验:448
注册时间:2009-03-22
加关注  |  发消息
11 楼    发表于2009-04-13 23:57:00举报|引用
返回顶部 | 快捷回复

学习

0
回复
signature
坚持就是胜利!!

liangjinjun 离线

帖子:2328
粉蓝豆:2
经验:2457
注册时间:2007-08-07
加关注  |  发消息
12 楼    发表于2009-05-05 22:50:00举报|引用
返回顶部 | 快捷回复
 胶质母细胞瘤
0
回复
signature
梁晋军

海马 离线

帖子:504
粉蓝豆:12
经验:556
注册时间:2008-08-26
加关注  |  发消息
13 楼    发表于2009-07-23 20:37:00举报|引用
返回顶部 | 快捷回复
 学习了
0
回复

redsnow007 离线

帖子:329
粉蓝豆:5
经验:999
注册时间:2008-01-01
加关注  |  发消息
14 楼    发表于2009-09-02 17:17:00举报|引用
返回顶部 | 快捷回复
 胶质母
0
回复

刻苦学习 离线

帖子:116
粉蓝豆:6
经验:122
注册时间:2008-12-22
加关注  |  发消息
15 楼    发表于2009-11-01 12:02:00举报|引用
返回顶部 | 快捷回复
 PNET?胶母?
0
回复

JX16 离线

帖子:1079
粉蓝豆:5
经验:3225
注册时间:2008-10-27
加关注  |  发消息
16 楼    发表于2010-08-17 08:35:00举报|引用
返回顶部 | 快捷回复
 学习
0
回复
signature
jx16
回复:16 阅读:2723
共1页/16条首页上一页1下一页尾页
【免责声明】讨论内容仅作学术交流之用,不作为诊疗依据,由此而引起的法律问题作者及本站不承担任何责任。
快速回复
进入高级回复
您最多可输入10000个汉字,按 "Ctrl" + "Enter" 直接发送
搜索回复/乘电梯 ×
按内容
按会员
乘电梯
合作伙伴
友情链接
Baidu
map