共1页/10条首页上一页1下一页尾页
回复:10 阅读:2332
左颈淋巴结肿大

lfl001200546 离线

帖子:2808
粉蓝豆:40
经验:2808
注册时间:2007-02-14
加关注  |  发消息
楼主 发表于 2009-04-11 14:31|举报|关注(0)
浏览排序[ 顺序 逆序 楼主 支持 精彩 ]  快捷回复
姓    名: ××× 性别:   年龄:  
标本名称:  
简要病史:  女   55岁临床病史:发现左颈淋巴结肿大一周,双颈及腋下可扪及多个肿大淋巴结.
手术所见:胸锁乳突肌深面多个肿大淋巴结,成簇、质中等、与周围无粘连。
巨检:淋巴结一个,1.3×0.7×0.6cm,切面灰白。
肉眼检查:  
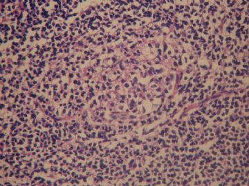
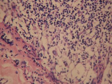
  • 左颈淋巴结肿大图1
    图1
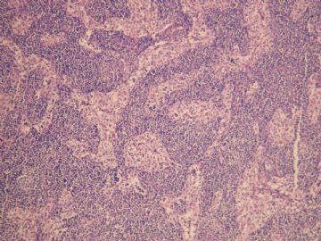
  • 左颈淋巴结肿大图2
    图2
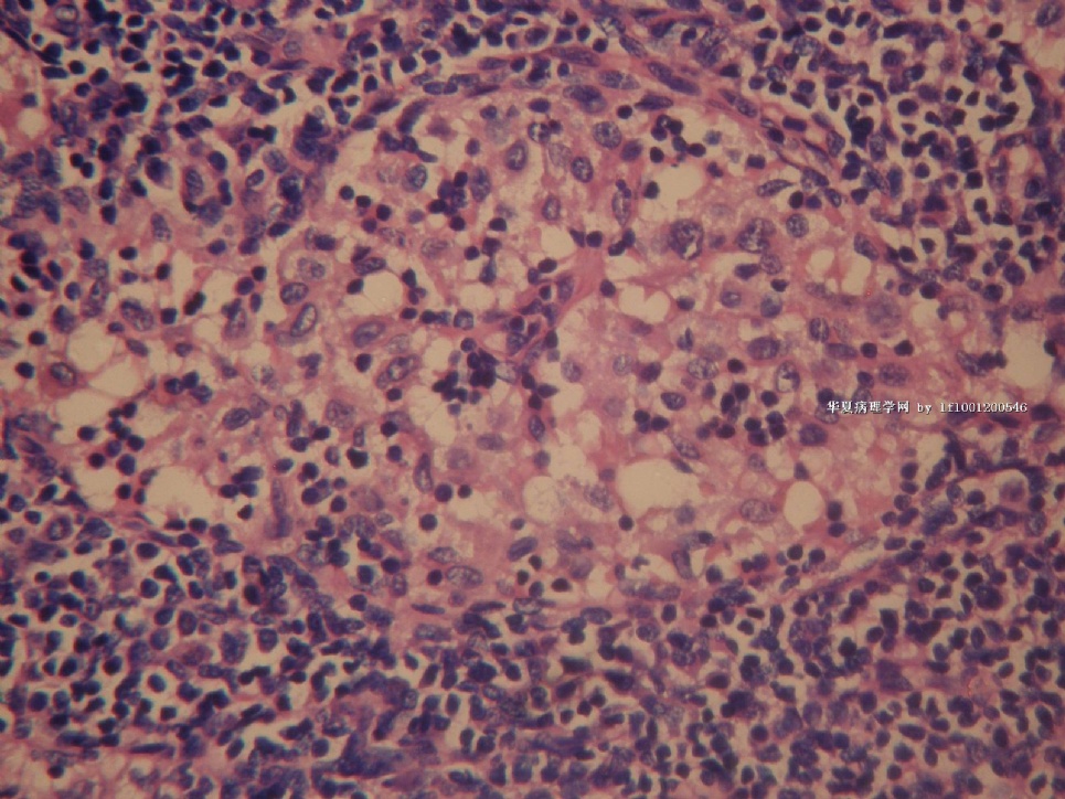
  • 左颈淋巴结肿大图3
    图3
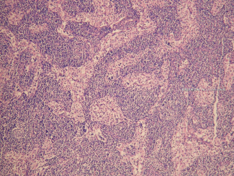
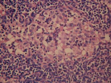
  • 左颈淋巴结肿大图4
    图4
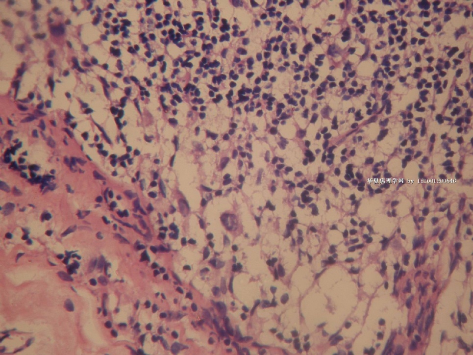
  • 左颈淋巴结肿大图5
    图5
标签:
0
signature
________________ -用感恩的心去面对他人! -用感恩的心去面对生活! -用感恩的心去面对人生!
添加参考诊断
×参考诊断
  

197 离线

帖子:4781
粉蓝豆:803
经验:5032
注册时间:2006-09-12
加关注  |  发消息
1 楼    发表于2009-04-11 18:11:00举报|引用
返回顶部 | 快捷回复
 髓索和窦境界分明,滤泡萎缩,考虑为T区反应性增生。
0
回复
signature
“人生没有彩排,每一天都是现场直播”

海浪信使 离线

帖子:1547
粉蓝豆:161
经验:2339
注册时间:2006-09-26
加关注  |  发消息
2 楼    发表于2009-04-13 19:01:00举报|引用
返回顶部 | 快捷回复
 再来几张低倍的看看啊 小叶子
0
回复
signature
当你有选择的时候,不是选择正确的,而是选择不让你后悔的!

薄冰之旅 离线

帖子:1566
粉蓝豆:2098
经验:3456
注册时间:2006-11-05
加关注  |  发消息
3 楼    发表于2009-04-18 20:04:00举报|引用
返回顶部 | 快捷回复
以下是引用海浪信使在2009-4-13 19:01:00的发言:

 再来几张低倍的看看啊 小叶子

 

同意

0
回复

fashun 离线

帖子:416
粉蓝豆:26
经验:1257
注册时间:2006-10-10
加关注  |  发消息
4 楼    发表于2009-04-18 20:20:00举报|引用
返回顶部 | 快捷回复
 生发中心退行性转化,castlamen病
0
回复

指环王 离线

帖子:570
粉蓝豆:15
经验:577
注册时间:2007-06-10
加关注  |  发消息
5 楼    发表于2009-04-18 21:27:00举报|引用
返回顶部 | 快捷回复

淋巴窦明显扩张,窦内组织细胞增生,存在次级淋巴滤泡,应该是淋巴结反应性增生(以窦组织细胞为主)。

0
回复

zzz333858 离线

帖子:155
粉蓝豆:2
经验:158
注册时间:2008-04-16
加关注  |  发消息
6 楼    发表于2009-04-18 21:52:00举报|引用
返回顶部 | 快捷回复

老年女性,全身多发 淋巴结肿大,图1见深染区和浅染区,图2 和3见生发中心血管植入,呈蚊香样结构,图4,5见组织细胞增生,未见吞噬现象,淋巴结髓索和窦境界存在,见滤泡结构,首先考虑淋巴结反应性增生病变(窦性增生),但要排除castlamen病可能

0
回复

zzz333858 离线

帖子:155
粉蓝豆:2
经验:158
注册时间:2008-04-16
加关注  |  发消息
7 楼    发表于2009-04-18 21:53:00举报|引用
返回顶部 | 快捷回复
 

老年女性,全身多发 淋巴结肿大,图1见深染区和浅染区,图2 和3见生发中心血管植入,呈蚊香样结构,图4,5见组织细胞增生,未见吞噬现象,淋巴结髓索和窦境界存在,见滤泡结构,首先考虑淋巴结反应性增生病变(窦性增生),但要排除castlamen病可能,浆细胞不明显

0
回复

SOS991229 离线

帖子:1561
粉蓝豆:1747
经验:1886
注册时间:2008-01-15
加关注  |  发消息
8 楼    发表于2009-04-18 23:52:00举报|引用
返回顶部 | 快捷回复
以下是引用zzz333858在2009-4-18 21:52:00的发言:

老年女性,全身多发 淋巴结肿大,图1见深染区和浅染区,图2 和3见生发中心血管植入,呈蚊香样结构,图4,5见组织细胞增生,未见吞噬现象,淋巴结髓索和窦境界存在,见滤泡结构,首先考虑淋巴结反应性增生病变(窦性增生),但要排除castlamen病可能

0
回复

杨柳风 离线

帖子:154
粉蓝豆:1
经验:215
注册时间:2007-09-23
加关注  |  发消息
9 楼    发表于2009-04-23 23:02:00举报|引用
返回顶部 | 快捷回复
以下是引用指环王在2009-4-18 21:27:00的发言:

淋巴窦明显扩张,窦内组织细胞增生,存在次级淋巴滤泡,应该是淋巴结反应性增生(以窦组织细胞为主)。

0
回复

潇潇 离线

帖子:1008
粉蓝豆:7
经验:1008
注册时间:2009-02-25
加关注  |  发消息
10 楼    发表于2009-04-23 23:05:00举报|引用
返回顶部 | 快捷回复
 学习
0
回复
回复:10 阅读:2332
共1页/10条首页上一页1下一页尾页
【免责声明】讨论内容仅作学术交流之用,不作为诊疗依据,由此而引起的法律问题作者及本站不承担任何责任。
快速回复
进入高级回复
您最多可输入10000个汉字,按 "Ctrl" + "Enter" 直接发送
搜索回复/乘电梯 ×
按内容
按会员
乘电梯
合作伙伴
友情链接
Baidu
map