共1页/9条首页上一页1下一页尾页
回复:9 阅读:1595
卵巢肿瘤

lfl001200546 离线

帖子:2808
粉蓝豆:40
经验:2808
注册时间:2007-02-14
加关注  |  发消息
楼主 发表于 2009-04-18 17:56|举报|关注(0)
浏览排序[ 顺序 逆序 楼主 支持 精彩 ]  快捷回复
姓    名: ××× 性别:   年龄:  
标本名称:   
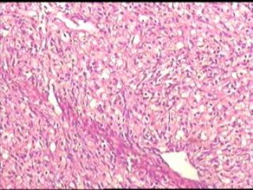
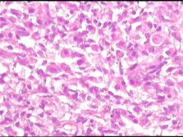
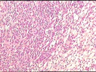
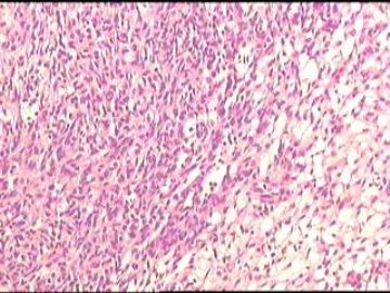
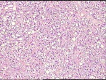
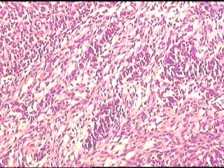
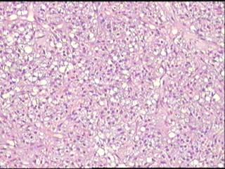
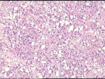
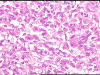
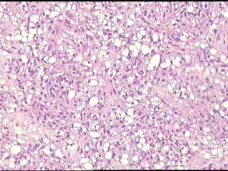
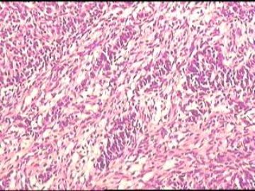
•25岁,女性,停经35周,发现腹腔包块1月余。
•手术所见:右侧卵巢肿瘤,12×8.6×8.0cm大小,表面光滑,内实质似鱼肉样、部分区域胶冻状,伴少许盆腔积水。
•
简要病史:  
肉眼检查:  
  • 卵巢肿瘤图1
    图1
  • 卵巢肿瘤图2
    图2
  • 卵巢肿瘤图3
    图3
  • 卵巢肿瘤图4
    图4
  • 卵巢肿瘤图5
    图5
  • 卵巢肿瘤图6
    图6
  • 卵巢肿瘤图7
    图7
标签:
本帖最后由 于 2009-04-18 17:57:00 编辑
0
signature
________________ -用感恩的心去面对他人! -用感恩的心去面对生活! -用感恩的心去面对人生!
添加参考诊断
×参考诊断
  

薄冰之旅 离线

帖子:1566
粉蓝豆:2098
经验:3456
注册时间:2006-11-05
加关注  |  发消息
1 楼    发表于2009-04-18 19:23:00举报|引用
返回顶部 | 快捷回复
 性索间质来源的肿瘤。
0
回复

96298 离线

帖子:421
粉蓝豆:16
经验:423
注册时间:2009-03-08
加关注  |  发消息
2 楼    发表于2009-04-18 19:58:00举报|引用
返回顶部 | 快捷回复

先考虑卵泡膜

0
回复

fxzxyy 离线

帖子:64
粉蓝豆:1
经验:64
注册时间:2007-02-08
加关注  |  发消息
3 楼    发表于2009-04-18 21:50:00举报|引用
返回顶部 | 快捷回复
 硬化性间质瘤
0
回复

shangjj 离线

帖子:687
粉蓝豆:5
经验:687
注册时间:2008-08-19
加关注  |  发消息
4 楼    发表于2009-04-18 22:09:00举报|引用
返回顶部 | 快捷回复
 硬化性间质瘤
0
回复

owenguo 离线

帖子:54
粉蓝豆:1
经验:54
注册时间:2008-07-19
加关注  |  发消息
5 楼    发表于2009-04-18 22:31:00举报|引用
返回顶部 | 快捷回复

  性索间质来源的肿瘤

0
回复

HUJH0102 离线

帖子:83
粉蓝豆:2
经验:225
注册时间:2009-01-11
加关注  |  发消息
6 楼    发表于2009-04-18 22:48:00举报|引用
返回顶部 | 快捷回复
 硬化性间质瘤
0
回复

SOS991229 离线

帖子:1561
粉蓝豆:1747
经验:1886
注册时间:2008-01-15
加关注  |  发消息
7 楼    发表于2009-04-18 23:41:00举报|引用
返回顶部 | 快捷回复
以下是引用HUJH0102在2009-4-18 22:48:00的发言:

 硬化性间质瘤

支持
0
回复

liangjinjun 离线

帖子:2328
粉蓝豆:2
经验:2457
注册时间:2007-08-07
加关注  |  发消息
8 楼    发表于2009-05-09 20:43:00举报|引用
返回顶部 | 快捷回复
 
硬化性间质瘤

0
回复
signature
梁晋军

JX16 离线

帖子:1079
粉蓝豆:5
经验:3225
注册时间:2008-10-27
加关注  |  发消息
9 楼    发表于2009-06-06 22:25:00举报|引用
返回顶部 | 快捷回复
 learning
0
回复
signature
jx16
回复:9 阅读:1595
共1页/9条首页上一页1下一页尾页
【免责声明】讨论内容仅作学术交流之用,不作为诊疗依据,由此而引起的法律问题作者及本站不承担任何责任。
快速回复
进入高级回复
您最多可输入10000个汉字,按 "Ctrl" + "Enter" 直接发送
搜索回复/乘电梯 ×
按内容
按会员
乘电梯
合作伙伴
友情链接
Baidu
map