共1页/9条首页上一页1下一页尾页
回复:9 阅读:3658
左前臂数个大小不等的皮下肿物 淋巴瘤?

一颗红星 离线

帖子:114
粉蓝豆:248
经验:197
注册时间:2008-06-18
加关注  |  发消息
楼主 发表于 2009-04-19 21:44|举报|关注(0)
浏览排序[ 顺序 逆序 楼主 支持 精彩 ]  快捷回复
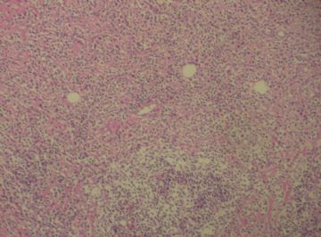
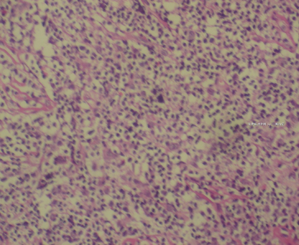
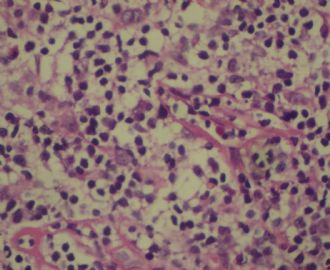
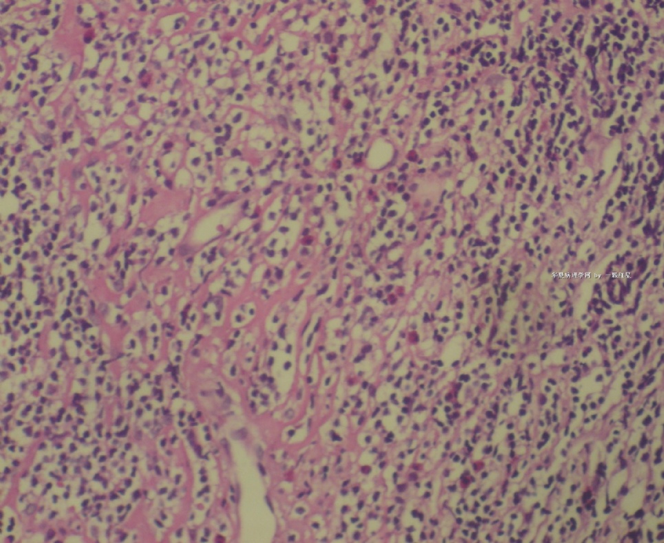
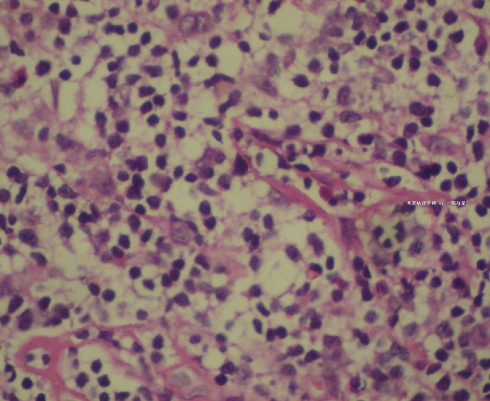
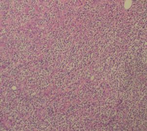
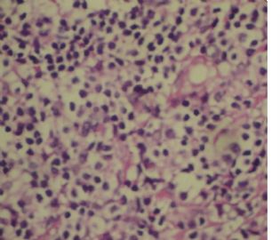
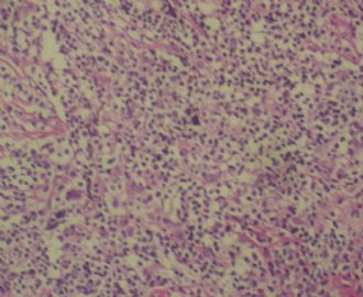
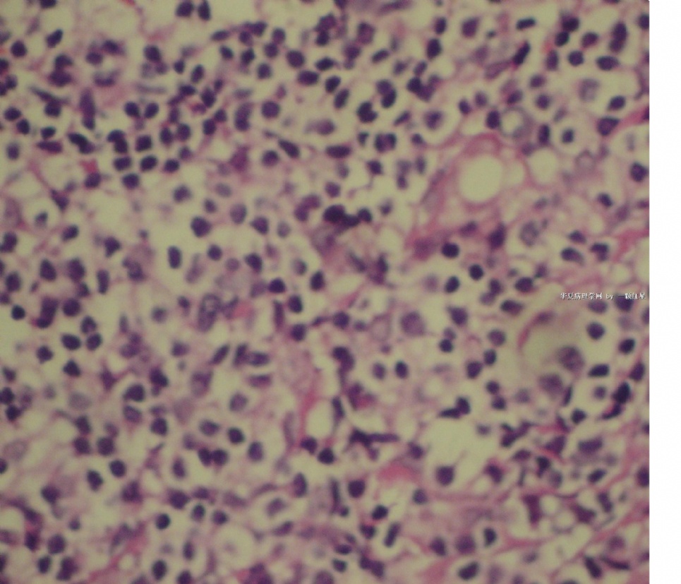
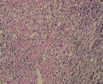
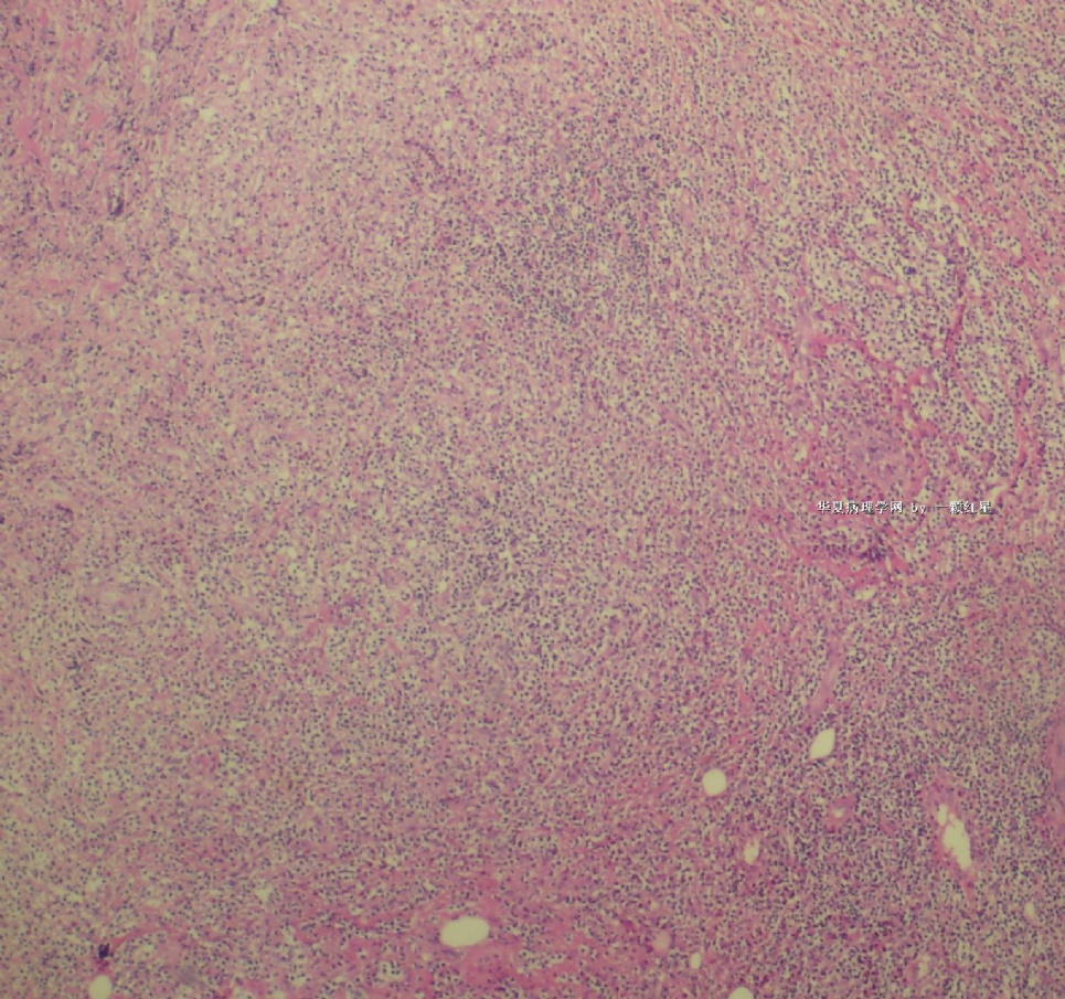
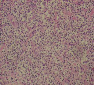
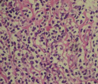
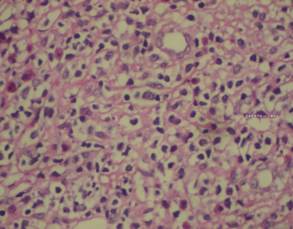
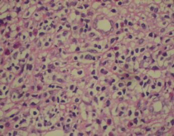
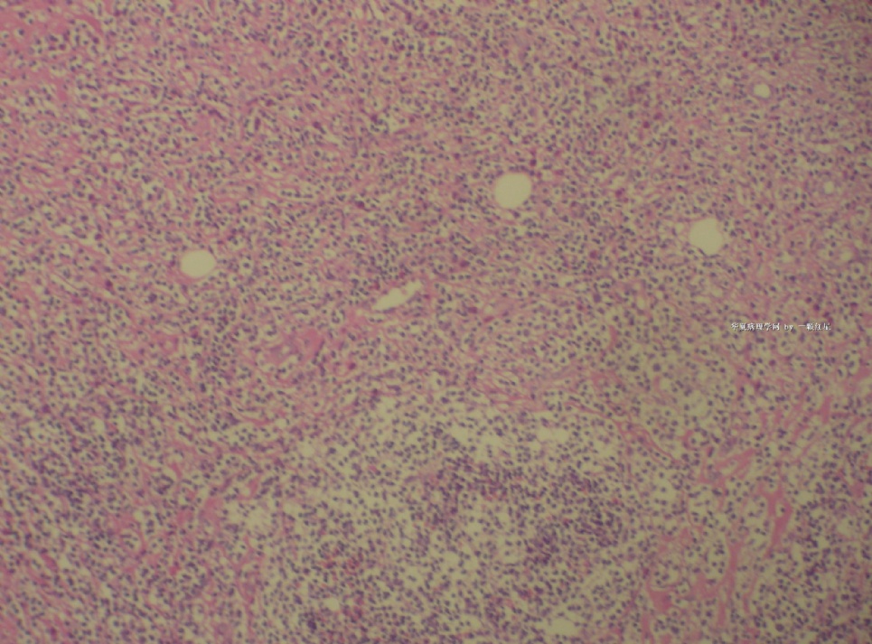
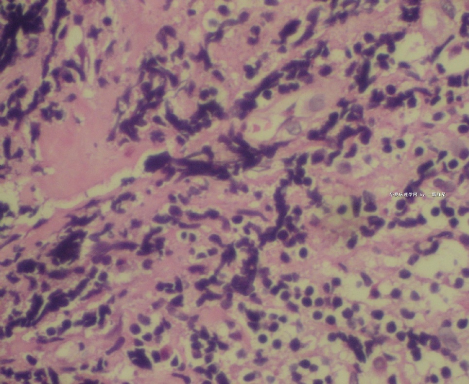
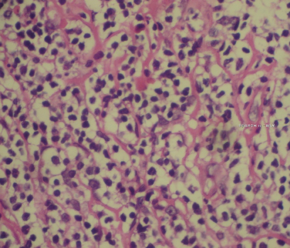
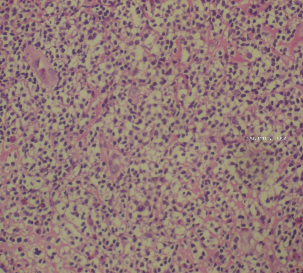
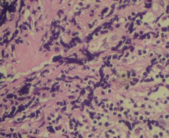
姓    名: ××× 性别:  女 年龄:  77岁
标本名称:  左前臂数个大小不等的皮下肿物。
简要病史:  

 既往有非何杰金淋巴瘤(滤泡性淋巴瘤)病史22个月。

肉眼检查:  
  • 左前臂数个大小不等的皮下肿物     淋巴瘤?图1
    图1
  • 左前臂数个大小不等的皮下肿物     淋巴瘤?图2
    图2
  • 左前臂数个大小不等的皮下肿物     淋巴瘤?图3
    图3
  • 左前臂数个大小不等的皮下肿物     淋巴瘤?图4
    图4
  • 左前臂数个大小不等的皮下肿物     淋巴瘤?图5
    图5
  • 左前臂数个大小不等的皮下肿物     淋巴瘤?图6
    图6
  • 左前臂数个大小不等的皮下肿物     淋巴瘤?图7
    图7
  • 左前臂数个大小不等的皮下肿物     淋巴瘤?图8
    图8
  • 左前臂数个大小不等的皮下肿物     淋巴瘤?图9
    图9
  • 左前臂数个大小不等的皮下肿物     淋巴瘤?图10
    图10
  • 左前臂数个大小不等的皮下肿物     淋巴瘤?图11
    图11
  • 左前臂数个大小不等的皮下肿物     淋巴瘤?图12
    图12
  • 左前臂数个大小不等的皮下肿物     淋巴瘤?图13
    图13
  • 左前臂数个大小不等的皮下肿物     淋巴瘤?图14
    图14
  • 左前臂数个大小不等的皮下肿物     淋巴瘤?图15
    图15
  • 左前臂数个大小不等的皮下肿物     淋巴瘤?图16
    图16
标签:
本帖最后由 于 2009-04-20 22:13:00 编辑
0
添加参考诊断
×参考诊断
  

lfl001200546 离线

帖子:2808
粉蓝豆:40
经验:2808
注册时间:2007-02-14
加关注  |  发消息
1 楼    发表于2009-04-19 21:52:00举报|引用
返回顶部 | 快捷回复
 NHL
0
回复
signature
________________ -用感恩的心去面对他人! -用感恩的心去面对生活! -用感恩的心去面对人生!

shenkeran 离线

帖子:140
粉蓝豆:2
经验:630
注册时间:2008-04-25
加关注  |  发消息
2 楼    发表于2009-04-19 22:05:00举报|引用
返回顶部 | 快捷回复
  NHL
0
回复
signature
沈可燃

学浅 离线

帖子:2053
粉蓝豆:79
经验:3125
注册时间:2008-06-01
加关注  |  发消息
3 楼    发表于2009-04-19 22:21:00举报|引用
返回顶部 | 快捷回复

外周T

0
回复

yangjun 离线

帖子:376
粉蓝豆:4
经验:379
注册时间:2007-06-07
加关注  |  发消息
4 楼    发表于2009-04-20 10:57:00举报|引用
返回顶部 | 快捷回复
 可能是恶性的吧,但一定要有免疫组化标记。
0
回复

liguoxia71 离线

帖子:4174
粉蓝豆:3122
经验:4677
注册时间:2007-04-01
加关注  |  发消息
5 楼    发表于2009-04-20 11:57:00举报|引用
返回顶部 | 快捷回复

 病例不错。细胞胞浆透亮,间质血管丰富,图片不是很清晰,似乎有嗜酸粒细胞?

恶性,首先考虑T-NHL。IHC证实。

0
回复
signature
三人行,必有我师焉,择其善者而从之,其不善者而改之。

wmj1999 离线

帖子:184
粉蓝豆:1085
经验:244
注册时间:2007-06-26
加关注  |  发消息
6 楼    发表于2009-04-20 21:49:00举报|引用
返回顶部 | 快捷回复
 既往有NHL病史,图片不太清晰,细胞弥漫,胞浆透亮,首先考虑T细胞淋巴瘤。
0
回复

arhus 离线

帖子:503
粉蓝豆:9
经验:540
注册时间:2006-09-28
加关注  |  发消息
7 楼    发表于2009-04-22 08:13:00举报|引用
返回顶部 | 快捷回复
 agree
0
回复

潇潇 离线

帖子:1008
粉蓝豆:7
经验:1008
注册时间:2009-02-25
加关注  |  发消息
8 楼    发表于2009-04-22 08:57:00举报|引用
返回顶部 | 快捷回复
 学习
0
回复

xiaoyuhf 离线

帖子:36
粉蓝豆:1
经验:39
注册时间:2009-03-31
加关注  |  发消息
9 楼    发表于2009-04-22 21:57:00举报|引用
返回顶部 | 快捷回复
 上华夏网不久,在软组织中跟了几个帖子,本例有非何杰金淋巴瘤(滤泡性淋巴瘤)的病史, 不知治疗情况如何,若治疗后,其形态学来区分T,B不可靠,看免疫组化结果. 最好把前次的图片也上传,以便对照
0
回复
回复:9 阅读:3658
共1页/9条首页上一页1下一页尾页
【免责声明】讨论内容仅作学术交流之用,不作为诊疗依据,由此而引起的法律问题作者及本站不承担任何责任。
快速回复
进入高级回复
您最多可输入10000个汉字,按 "Ctrl" + "Enter" 直接发送
搜索回复/乘电梯 ×
按内容
按会员
乘电梯
合作伙伴
友情链接
Baidu
map