共1页/13条首页上一页1下一页尾页
回复:13 阅读:1743
B2156乳腺活检

蚊子 离线

帖子:207
粉蓝豆:630
经验:946
注册时间:2007-08-08
加关注  |  发消息
楼主 发表于 2009-07-14 20:44|举报|关注(0)
浏览排序[ 顺序 逆序 楼主 支持 精彩 ]  快捷回复
姓    名: ××× 性别:  女 年龄:  20
标本名称:  
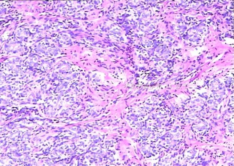
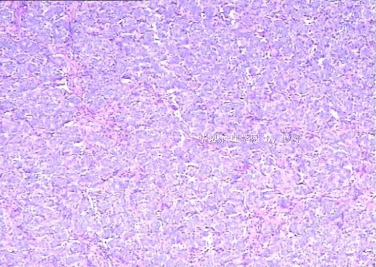
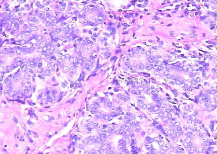
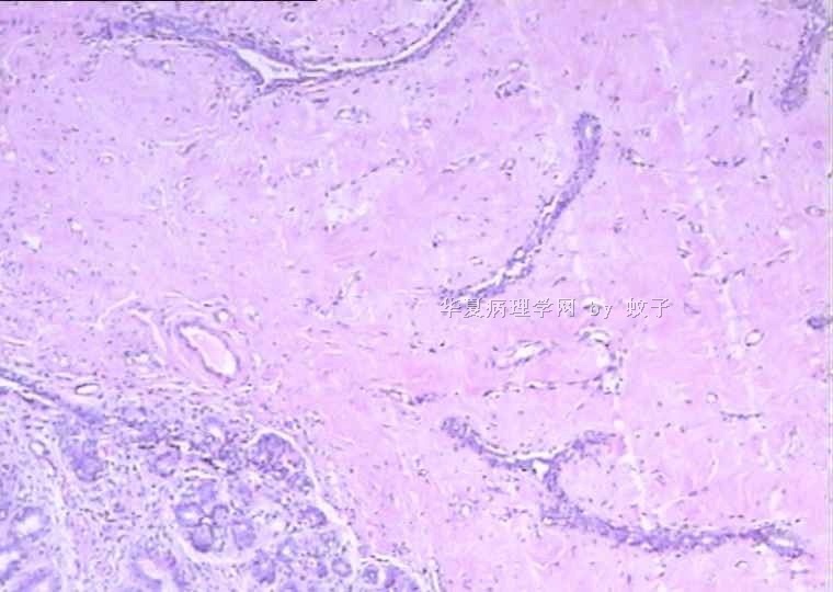
简要病史:  右乳包块8年。
肉眼检查:  灰白不整形组织一块,切面灰白,灰红,实性,质韧。
  • 乳腺活检图1
    图1
  • 乳腺活检图2
    图2
  • 乳腺活检图3
    图3
  • 乳腺活检图4
    图4
  • 乳腺活检图5
    图5
  • 乳腺活检图6
    图6
  • 乳腺活检图7
    图7
  • 乳腺活检图8
    图8
  • 乳腺活检图9
    图9
标签:乳腺腺病
0
signature
每天学习一点,每天进步一点,
添加参考诊断
×参考诊断
  

lfl001200546 离线

帖子:2808
粉蓝豆:40
经验:2808
注册时间:2007-02-14
加关注  |  发消息
1 楼    发表于2009-07-14 21:02:00举报|引用
返回顶部 | 快捷回复
 旺识型腺病
0
回复
signature
________________ -用感恩的心去面对他人! -用感恩的心去面对生活! -用感恩的心去面对人生!

liguoxia71 离线

帖子:4174
粉蓝豆:3122
经验:4677
注册时间:2007-04-01
加关注  |  发消息
2 楼    发表于2009-07-14 21:08:00举报|引用
返回顶部 | 快捷回复
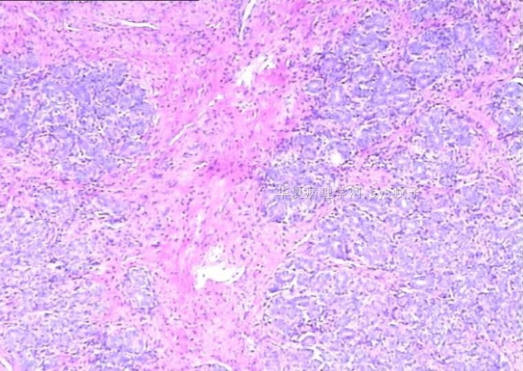
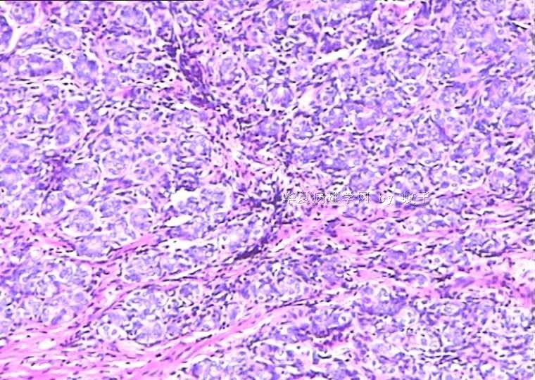
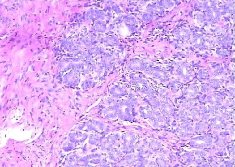
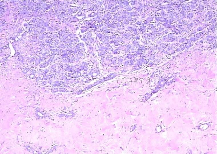
 有包膜吗?良性,首先考虑纤维腺瘤(图5、6透明变的纤维支持),其次腺瘤。
0
回复
signature
三人行,必有我师焉,择其善者而从之,其不善者而改之。

雪莲花 离线

帖子:139
粉蓝豆:2
经验:175
注册时间:2009-05-08
加关注  |  发消息
3 楼    发表于2009-07-14 21:49:00举报|引用
返回顶部 | 快捷回复
以下是引用lfl001200546在2009-7-14 21:02:00的发言:

 旺识型腺病

0
回复

在路上 离线

帖子:308
粉蓝豆:23
经验:314
注册时间:2009-05-25
加关注  |  发消息
4 楼    发表于2009-07-14 22:57:00举报|引用
返回顶部 | 快捷回复
 良性
0
回复
signature
聂明

蚊子 离线

帖子:207
粉蓝豆:630
经验:946
注册时间:2007-08-08
加关注  |  发消息
5 楼    发表于2009-07-15 08:28:00举报|引用
返回顶部 | 快捷回复
以下是引用liguoxia71在2009-7-14 21:08:00的发言:

 有包膜吗?良性,首先考虑纤维腺瘤(图5、6透明变的纤维支持),其次腺瘤。

 

无明显包膜,界限较清,

 

我们考虑腺瘤,(图5,6为混有纤维瘤组织)

0
回复
signature
每天学习一点,每天进步一点,

cqzhao 离线

帖子:5518
粉蓝豆:1071
经验:5755
注册时间:2008-09-29
加关注  |  发消息
6 楼    发表于2009-07-15 09:58:00举报|引用
返回顶部 | 快捷回复

 Agree benign.

It may be a tubular adenoma or FA if this is a demarked tumor mass.

0
回复

易难 离线

帖子:53
粉蓝豆:30
经验:68
注册时间:2008-06-27
加关注  |  发消息
7 楼    发表于2009-07-15 20:35:00举报|引用
返回顶部 | 快捷回复
 腺病瘤(主要成份旺炽性腺病)部分区域为纤维腺瘤(管内型)
0
回复

skybobo 离线

帖子:1312
粉蓝豆:154
经验:2232
注册时间:2009-06-22
加关注  |  发消息
8 楼    发表于2009-07-25 22:27:00举报|引用
返回顶部 | 快捷回复
 考虑旺识型腺病 ,有无包膜?

0
回复
signature
病理乃医学之魂

老显微镜 离线

帖子:94
粉蓝豆:304
经验:169
注册时间:2009-05-13
加关注  |  发消息
9 楼    发表于2009-08-01 20:57:00举报|引用
返回顶部 | 快捷回复
 考虑旺识型腺病
0
回复

cici 离线

帖子:157
粉蓝豆:1
经验:573
注册时间:2007-08-23
加关注  |  发消息
10 楼    发表于2009-08-01 22:50:00举报|引用
返回顶部 | 快捷回复
 管状腺瘤
0
回复

文长江 离线

帖子:1042
粉蓝豆:139
经验:1438
注册时间:2007-03-21
加关注  |  发消息
11 楼    发表于2009-08-02 09:55:00举报|引用
返回顶部 | 快捷回复
 多来点低倍看看.
0
回复

thlcp 离线

帖子:911
粉蓝豆:6
经验:911
注册时间:2008-10-26
加关注  |  发消息
12 楼    发表于2009-08-02 10:52:00举报|引用
返回顶部 | 快捷回复
    管状腺瘤
0
回复

鲱儿 离线

帖子:11
粉蓝豆:1
经验:14
注册时间:2009-07-09
加关注  |  发消息
13 楼    发表于2009-08-02 18:55:00举报|引用
返回顶部 | 快捷回复
 旺炽性腺病
0
回复
回复:13 阅读:1743
共1页/13条首页上一页1下一页尾页
【免责声明】讨论内容仅作学术交流之用,不作为诊疗依据,由此而引起的法律问题作者及本站不承担任何责任。
快速回复
进入高级回复
您最多可输入10000个汉字,按 "Ctrl" + "Enter" 直接发送
搜索回复/乘电梯 ×
按内容
按会员
乘电梯
合作伙伴
友情链接
Baidu
map