共1页/15条首页上一页1下一页尾页
回复:15 阅读:2648
颈部淋巴结肿大

dingwei 离线

帖子:938
粉蓝豆:1062
经验:1175
注册时间:2006-09-25
加关注  |  发消息
楼主 发表于 2009-09-01 15:43|举报|关注(0)
浏览排序[ 顺序 逆序 楼主 支持 精彩 ]  快捷回复
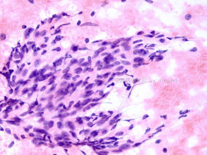
男性,57岁,颈部淋巴结肿大二月,自诉:因为木块撞到后,肿大,用抗菌素后,时大时小。大小2X3cm,二颗,质硬,活动性不佳。
  • 颈部淋巴结肿大图1
    图1
  • 颈部淋巴结肿大图2
    图2
  • 颈部淋巴结肿大图3
    图3
  • 颈部淋巴结肿大图4
    图4
  • 颈部淋巴结肿大图5
    图5
  • 颈部淋巴结肿大图6
    图6
标签:
0
signature
本人观点纯属个人偏见,希望大家独立判断,正确引用!中华病理技术网:http://www.zhbljs.com/
添加参考诊断
×参考诊断
  

ljmljm 离线

帖子:111
粉蓝豆:1
经验:111
注册时间:2009-03-13
加关注  |  发消息
1 楼    发表于2009-09-01 22:34:00举报|引用
返回顶部 | 快捷回复
 梭形及卵圆形细胞,染色质细致,见核沟,首先考虑朗格韩氏细胞瘤,其次考虑转移癌。
0
回复

陈隆文博士 离线

帖子:180
粉蓝豆:4
经验:182
注册时间:2008-08-27
加关注  |  发消息
2 楼    发表于2009-09-02 08:57:00举报|引用
返回顶部 | 快捷回复
 This is a very interesting cases and the differential diagnosis includes both benign and malignant conditions. Please post your discussions.
0
回复

197 离线

帖子:4781
粉蓝豆:803
经验:5032
注册时间:2006-09-12
加关注  |  发消息
3 楼    发表于2009-09-02 13:08:00举报|引用
返回顶部 | 快捷回复

图片看着很清晰,诊断思路却很模糊。

看起来已经不是正常淋巴结成份了。

穿刺成份很清爽,病变细胞成片粘附力尚可,无松散迹象,没有坏死,基本没有炎症细胞夹杂。

细胞核看起来大了些,不太规则,有核仁,大小欠一致,但是染色质很柔和、浅淡。核质比中等;粉红的胞质很细腻,让人想起来神经原纤维。没见到分裂像。有些细胞似梭形,也可能是涂片外力的作用。没看到明显的主质、间质之分,有些核似乎能看到核沟。

猜一个:良性或交界性。付节瘤?

0
回复
signature
“人生没有彩排,每一天都是现场直播”

宁静致远 离线

帖子:4242
粉蓝豆:2853
经验:6556
注册时间:2007-03-27
加关注  |  发消息
4 楼    发表于2009-09-02 13:21:00举报|引用
返回顶部 | 快捷回复
 觉得是良性病变
0
回复

陈隆文博士 离线

帖子:180
粉蓝豆:4
经验:182
注册时间:2008-08-27
加关注  |  发消息
5 楼    发表于2009-09-03 11:22:00举报|引用
返回顶部 | 快捷回复

 觉得是良性病变-------- Can you be more specific?

 颈部淋巴结肿大二月,自诉:因为木块撞到后,肿大------- Is this history provided by the author helpful?

0
回复

197 离线

帖子:4781
粉蓝豆:803
经验:5032
注册时间:2006-09-12
加关注  |  发消息
6 楼    发表于2009-09-03 13:10:00举报|引用
返回顶部 | 快捷回复
本帖最后由 于 2009-09-03 13:12:00 编辑

个人觉得,木块撞击后肿大可能是一种“巧合”,因为局部本身存在病变“易于受伤”。再说,若是外伤所致,似乎应该看到更复杂些的成份以符合其外伤后的多种反应性细胞成份?

 

突发奇想,如果是异位的梭形细胞胸腺瘤或许也可以是这样的穿刺图像?

 

这个部位比较常见的鼻咽癌转移灶的可能性还是要列为常规鉴别的。

0
回复
signature
“人生没有彩排,每一天都是现场直播”

dingwei 离线

帖子:938
粉蓝豆:1062
经验:1175
注册时间:2006-09-25
加关注  |  发消息
7 楼    发表于2009-09-04 08:44:00举报|引用
返回顶部 | 快捷回复
以下是引用197在2009-9-3 13:10:00的发言:

个人觉得,木块撞击后肿大可能是一种“巧合”,因为局部本身存在病变“易于受伤”。再说,若是外伤所致,似乎应该看到更复杂些的成份以符合其外伤后的多种反应性细胞成份?

 

突发奇想,如果是异位的梭形细胞胸腺瘤或许也可以是这样的穿刺图像?

 

这个部位比较常见的鼻咽癌转移灶的可能性还是要列为常规鉴别的。

0
回复
signature
本人观点纯属个人偏见,希望大家独立判断,正确引用!中华病理技术网:http://www.zhbljs.com/

dingwei 离线

帖子:938
粉蓝豆:1062
经验:1175
注册时间:2006-09-25
加关注  |  发消息
8 楼    发表于2009-09-09 09:03:00举报|引用
返回顶部 | 快捷回复
 活检证实:鼻咽癌转移
0
回复
signature
本人观点纯属个人偏见,希望大家独立判断,正确引用!中华病理技术网:http://www.zhbljs.com/

绝世好片 离线

帖子:501
粉蓝豆:1486
经验:694
注册时间:2008-02-05
加关注  |  发消息
9 楼    发表于2009-09-10 21:03:00举报|引用
返回顶部 | 快捷回复
 学习中
0
回复

liguoxia71 离线

帖子:4174
粉蓝豆:3122
经验:4677
注册时间:2007-04-01
加关注  |  发消息
10 楼    发表于2009-09-11 11:17:00举报|引用
返回顶部 | 快捷回复

 说实话,俺看那些均匀一致的细胞像类上皮细胞,只是纳闷成分单一了些。但凭这些不敢去想癌或其它恶性肿瘤。

学习了,谢谢!

0
回复
signature
三人行,必有我师焉,择其善者而从之,其不善者而改之。

陈隆文博士 离线

帖子:180
粉蓝豆:4
经验:182
注册时间:2008-08-27
加关注  |  发消息
11 楼    发表于2009-09-11 12:21:00举报|引用
返回顶部 | 快捷回复
 This case is a very good educational case. I just showed the pictures to one of my very experienced cytopathologists, his immediate reaction actually was could those cells be "epithelioid histiocytes", no surprise to me, because sarcoidosis is very common in the US, but I guess rare in China. On the other hand, nasopharyngeal carcinoma is very common in China, but not in the US. My general approach to FNA is quite conservative. I usually try to exclude the possibility of benign conditions and especially those can mimic malignancy and then pull the trigger for malignancy. In this case, I would definitely get a cell block and do some immunostains of keratins. I am wondering how you sign the cytology report?
0
回复

ZXH887119 离线

帖子:397
粉蓝豆:10
经验:397
注册时间:2006-10-19
加关注  |  发消息
12 楼    发表于2009-09-16 06:40:00举报|引用
返回顶部 | 快捷回复

最后诊断是转移性鳞癌,学习。谢谢

0
回复
signature
朝气用在工作中,热情对待患者去,不屈不挠的韧性用在与学习上,低调做人放在心上。

highskysky 离线

帖子:106
粉蓝豆:18
经验:200
注册时间:2008-03-20
加关注  |  发消息
13 楼    发表于2009-09-16 08:54:00举报|引用
返回顶部 | 快捷回复
 大部分的胞核是椭圆的,没考虑到。学习了。
0
回复

ZZRR 离线

帖子:433
粉蓝豆:579
经验:1757
注册时间:2009-04-09
加关注  |  发消息
14 楼    发表于2009-09-16 09:17:00举报|引用
返回顶部 | 快捷回复
 也没想到,学习。
0
回复
signature
爱学习

文长江 离线

帖子:1042
粉蓝豆:124
经验:1438
注册时间:2007-03-21
加关注  |  发消息
15 楼    发表于2009-09-16 10:10:00举报|引用
返回顶部 | 快捷回复
 谢谢 dingwei 老师,学习了.
0
回复
回复:15 阅读:2648
共1页/15条首页上一页1下一页尾页
【免责声明】讨论内容仅作学术交流之用,不作为诊疗依据,由此而引起的法律问题作者及本站不承担任何责任。
快速回复
进入高级回复
您最多可输入10000个汉字,按 "Ctrl" + "Enter" 直接发送
搜索回复/乘电梯 ×
按内容
按会员
乘电梯
合作伙伴
友情链接
Baidu
map