共1页/10条首页上一页1下一页尾页
回复:10 阅读:2680
B1634求助皮肤赘生物肿瘤类型

投资者 离线

帖子:23
粉蓝豆:1
经验:23
注册时间:2008-06-25
加关注  |  发消息
楼主 发表于 2009-09-03 20:03|举报|关注(0)
浏览排序[ 顺序 逆序 楼主 支持 精彩 ]  快捷回复
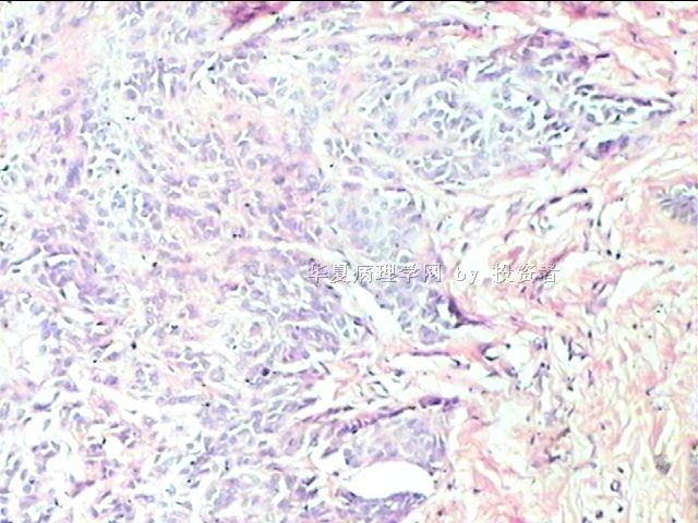
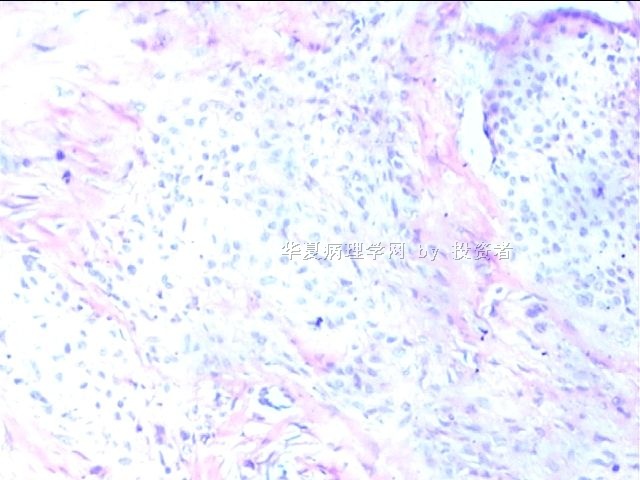
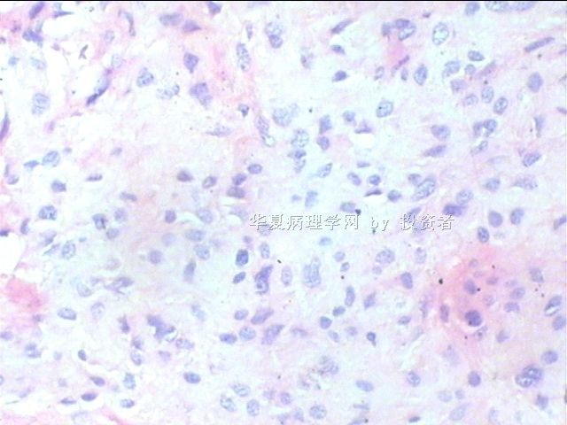
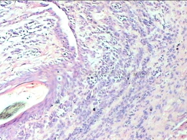
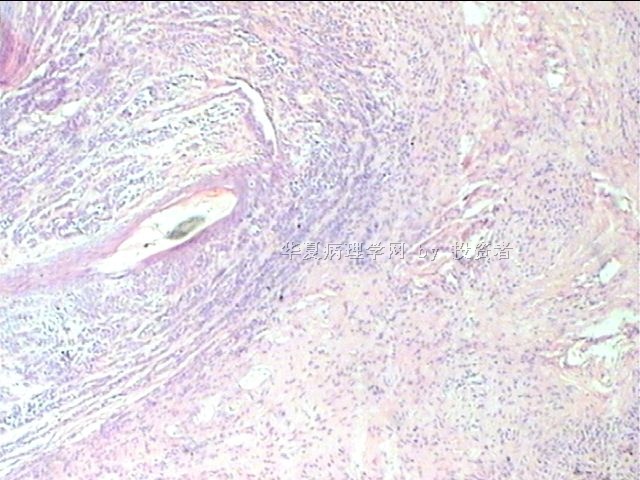
姓    名: ××× 性别:  女 年龄:  25
标本名称: 尾骨下端皮肤赘生物 
简要病史:  皮肤赘生物10年余
肉眼检查:  体积1×0.5×0.3cm
  • 求助皮肤赘生物肿瘤类型图1
    图1
  • 求助皮肤赘生物肿瘤类型图2
    图2
  • 求助皮肤赘生物肿瘤类型图3
    图3
  • 求助皮肤赘生物肿瘤类型图4
    图4
  • 求助皮肤赘生物肿瘤类型图5
    图5
  • 求助皮肤赘生物肿瘤类型图6
    图6
  • 求助皮肤赘生物肿瘤类型图7
    图7
标签:
0
×参考诊断
皮内痣

arome98 离线

帖子:34
粉蓝豆:30
经验:47
注册时间:2009-08-14
加关注  |  发消息
1 楼    发表于2009-09-04 08:53:00举报|引用
返回顶部 | 快捷回复
 痣?
1

20095094..
回复

海上明月 离线

帖子:9476
粉蓝豆:1172
经验:10007
注册时间:2009-08-29
加关注  |  发消息
2 楼    发表于2009-09-05 03:31:00举报|引用
返回顶部 | 快捷回复
 隐约中见似皮内痣。
1

20095094..
回复
signature
王军臣

linyguo 离线

帖子:2365
粉蓝豆:43
经验:2514
注册时间:2009-08-09
加关注  |  发消息
3 楼    发表于2009-09-05 08:22:00举报|引用
返回顶部 | 快捷回复
 皮内痣,披着神秘的面纱。
1

20095094..
回复

自由12 离线

帖子:33
粉蓝豆:11
经验:443
注册时间:2008-02-08
加关注  |  发消息
4 楼    发表于2009-09-05 17:03:00举报|引用
返回顶部 | 快捷回复
 透明细胞汗腺瘤?
0
回复

linanangel100 离线

帖子:25
粉蓝豆:1
经验:29
注册时间:2009-05-16
加关注  |  发消息
5 楼    发表于2009-09-05 17:38:00举报|引用
返回顶部 | 快捷回复
 皮内痣
0
回复

3673566 离线

帖子:1879
粉蓝豆:79
经验:3305
注册时间:2006-10-29
加关注  |  发消息
6 楼    发表于2009-09-05 18:28:00举报|引用
返回顶部 | 快捷回复
 染色太淡,看不清楚。
0
回复

投资者 离线

帖子:23
粉蓝豆:1
经验:23
注册时间:2008-06-25
加关注  |  发消息
7 楼    发表于2009-09-07 21:32:00举报|引用
返回顶部 | 快捷回复
 谢谢各位老师,皮内痣,学习了!
0
回复

绝世好片 离线

帖子:501
粉蓝豆:1486
经验:694
注册时间:2008-02-05
加关注  |  发消息
8 楼    发表于2009-09-07 22:05:00举报|引用
返回顶部 | 快捷回复
以下是引用海上明月在2009-9-5 3:31:00的发言:

 隐约中见似皮内痣。

0
回复

一棵小草 离线

帖子:5101
粉蓝豆:12
经验:7184
注册时间:2008-07-07
加关注  |  发消息
9 楼    发表于2009-09-08 22:19:00举报|引用
返回顶部 | 快捷回复
 皮内痣可能
0
回复

潇潇 离线

帖子:1008
粉蓝豆:7
经验:1008
注册时间:2009-02-25
加关注  |  发消息
10 楼    发表于2009-09-08 22:20:00举报|引用
返回顶部 | 快捷回复
  皮内痣
0
回复
回复:10 阅读:2680
共1页/10条首页上一页1下一页尾页
【免责声明】讨论内容仅作学术交流之用,不作为诊疗依据,由此而引起的法律问题作者及本站不承担任何责任。
快速回复
进入高级回复
您最多可输入10000个汉字,按 "Ctrl" + "Enter" 直接发送
搜索回复/乘电梯 ×
按内容
按会员
乘电梯
合作伙伴
友情链接
Baidu
map