共1页/20条首页上一页1下一页尾页
回复:20 阅读:4095
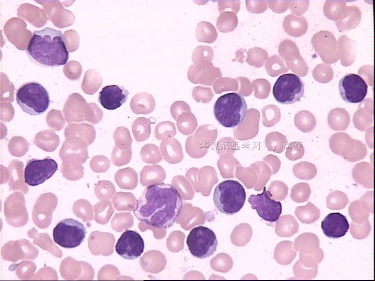
少见病例

海燕 离线

帖子:303
粉蓝豆:41
经验:303
注册时间:2008-07-17
加关注  |  发消息
楼主 发表于 2009-09-07 19:59|举报|关注(0)
浏览排序[ 顺序 逆序 楼主 支持 精彩 ]  快捷回复
  • 少见病例图1
    图1
  • 少见病例图2
    图2
  • 少见病例图3
    图3
  • 少见病例图4
    图4
  • 少见病例图5
    图5
  • 少见病例图6
    图6
  • 少见病例图7
    图7
标签:
0
signature

我一路向您走来——

×参考诊断
成人T细胞白血病

海燕 离线

帖子:303
粉蓝豆:41
经验:303
注册时间:2008-07-17
加关注  |  发消息
1 楼    发表于2009-09-07 20:04:00举报|引用
返回顶部 | 快捷回复
 
0
回复
signature

我一路向您走来——

海燕 离线

帖子:303
粉蓝豆:41
经验:303
注册时间:2008-07-17
加关注  |  发消息
2 楼    发表于2009-09-07 20:05:00举报|引用
返回顶部 | 快捷回复
  • 图1
  • 图2
0
回复
signature

我一路向您走来——

清荷 离线

帖子:208
粉蓝豆:26
经验:834
注册时间:2009-04-29
加关注  |  发消息
3 楼    发表于2009-09-07 20:10:00举报|引用
返回顶部 | 快捷回复
 是毛细胞白血病吗?
0
回复

海燕 离线

帖子:303
粉蓝豆:41
经验:303
注册时间:2008-07-17
加关注  |  发消息
4 楼    发表于2009-09-07 20:11:00举报|引用
返回顶部 | 快捷回复
 患者资料不太全了,患者肝、脾大,发热,待补充
0
回复
signature

我一路向您走来——

czg060419 离线

帖子:22
粉蓝豆:21
经验:22
注册时间:2009-08-16
加关注  |  发消息
5 楼    发表于2009-09-09 20:09:00举报|引用
返回顶部 | 快捷回复
 淋巴瘤
0
回复

莫恩智 离线

帖子:45
粉蓝豆:1
经验:45
注册时间:2009-11-01
加关注  |  发消息
6 楼    发表于2009-11-12 22:25:00举报|引用
返回顶部 | 快捷回复

0
回复

莫恩智 离线

帖子:45
粉蓝豆:1
经验:45
注册时间:2009-11-01
加关注  |  发消息
7 楼    发表于2009-11-12 22:26:00举报|引用
返回顶部 | 快捷回复

 外周血?单核多?

0
回复

莫恩智 离线

帖子:45
粉蓝豆:1
经验:45
注册时间:2009-11-01
加关注  |  发消息
8 楼    发表于2009-11-12 22:28:00举报|引用
返回顶部 | 快捷回复

 M5

0
回复

xiaobi2012 离线

帖子:206
粉蓝豆:6
经验:236
注册时间:2012-02-24
加关注  |  发消息
9 楼    发表于2012-08-21 17:26:31举报|引用
返回顶部 | 快捷回复

成人T淋巴细胞白血病

2

一粒沙

小鸟飞飞
回复

1075676986 离线

帖子:9
粉蓝豆:1
经验:12
注册时间:2011-02-19
加关注  |  发消息
10 楼    发表于2012-08-22 20:52:18举报|引用
返回顶部 | 快捷回复

期待讲解

0
回复

茹永新 离线

帖子:24
粉蓝豆:30
经验:24
注册时间:2012-08-05
加关注  |  发消息
11 楼    发表于2012-09-11 22:24:40举报|引用
返回顶部 | 快捷回复

成人T淋巴细胞白血病

0
回复
signature
果真如

sdwf春天 离线

帖子:1578
粉蓝豆:6
经验:6121
注册时间:2007-06-19
加关注  |  发消息
12 楼    发表于2012-09-12 00:19:29举报|引用
返回顶部 | 快捷回复

考虑急单

1

银杏叶之..
回复
signature
我喜欢春天,更喜欢粉蓝医疗科技(杭州)有限公司网

黄祥杰 离线

帖子:216
粉蓝豆:14
经验:220
注册时间:2009-10-04
加关注  |  发消息
13 楼    发表于2012-09-15 22:32:23举报|引用
返回顶部 | 快捷回复

考虑急单

0
回复

常乐无限 离线

帖子:768
粉蓝豆:23
经验:833
注册时间:2012-07-02
加关注  |  发消息
14 楼    发表于2012-09-17 16:21:13举报|引用
返回顶部 | 快捷回复

个人观点:M5

0
回复
signature
从微观世界寻求真理,是一件快乐的事情!

hf9669 离线

帖子:183
粉蓝豆:34
经验:910
注册时间:2010-12-02
加关注  |  发消息
15 楼    发表于2012-09-17 21:55:16举报|引用
返回顶部 | 快捷回复

M5、淋巴瘤---比较倾向M5。

0
回复

gzh0113 离线

帖子:47
粉蓝豆:10
经验:79
注册时间:2012-01-03
加关注  |  发消息
16 楼    发表于2012-09-27 21:03:13举报|引用
返回顶部 | 快捷回复

 成人T淋巴细胞白血病

0
回复

gzh0113 离线

帖子:47
粉蓝豆:10
经验:79
注册时间:2012-01-03
加关注  |  发消息
17 楼    发表于2012-09-27 21:03:18举报|引用
返回顶部 | 快捷回复

 成人T淋巴细胞白血病

2

茹永新

月落123
回复

男人海洋馆 离线

帖子:91
粉蓝豆:1
经验:96
注册时间:2012-11-24
加关注  |  发消息
18 楼    发表于2012-11-25 19:15:13举报|引用
返回顶部 | 快捷回复

怎么看起来像CLL

0
回复

happyengi 离线

帖子:52
粉蓝豆:1
经验:115
注册时间:2013-01-08
加关注  |  发消息
19 楼    发表于2013-01-11 15:45:18举报|引用
返回顶部 | 快捷回复

幼稚淋巴白血病待排?

0
回复
signature
如果你知道去哪,全世界都会为你让路!

cying99 离线

帖子:3
粉蓝豆:1
经验:3
注册时间:2011-10-04
加关注  |  发消息
20 楼    发表于2013-03-12 15:19:08举报|引用
返回顶部 | 快捷回复

sesay细胞增多,考虑成人T细胞淋巴瘤 红皮病。

0
回复
回复:20 阅读:4095
共1页/20条首页上一页1下一页尾页
【免责声明】讨论内容仅作学术交流之用,不作为诊疗依据,由此而引起的法律问题作者及本站不承担任何责任。
快速回复
进入高级回复
您最多可输入10000个汉字,按 "Ctrl" + "Enter" 直接发送
搜索回复/乘电梯 ×
按内容
按会员
乘电梯
合作伙伴
友情链接
Baidu
map