共1页/9条首页上一页1下一页尾页
回复:9 阅读:2432
贲门息肉?

暖暖 离线

帖子:320
粉蓝豆:3
经验:320
注册时间:2007-07-10
加关注  |  发消息
楼主 发表于 2009-11-19 15:01|举报|关注(0)
浏览排序[ 顺序 逆序 楼主 支持 精彩 ]  快捷回复
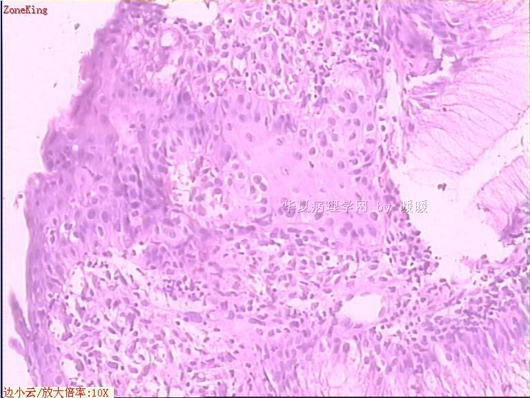
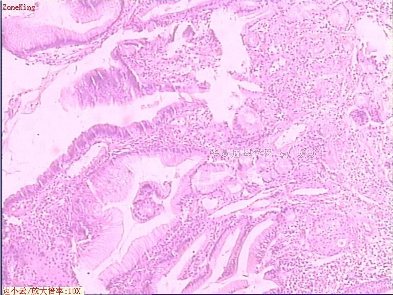
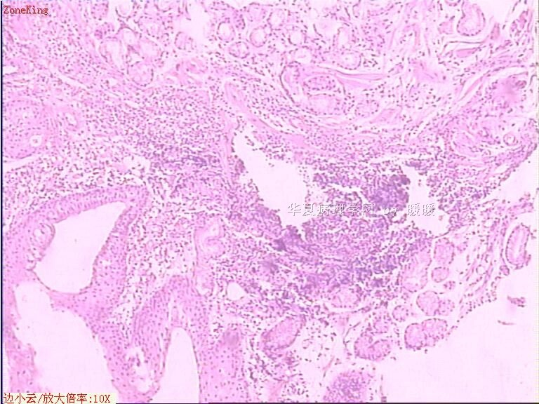
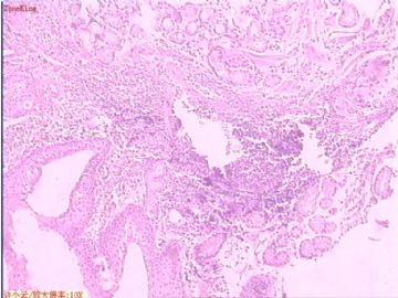
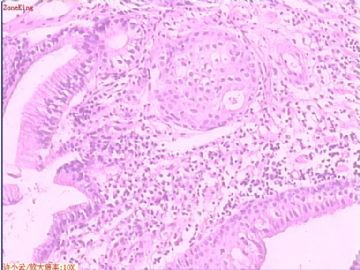
姓    名: ××× 性别:  女 年龄:  53
标本名称:  
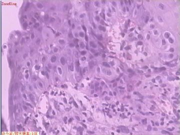
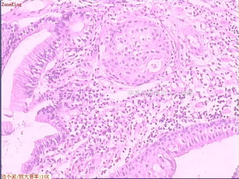
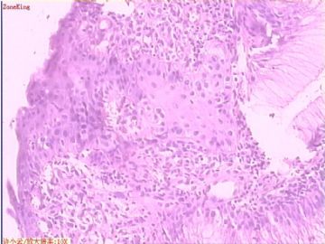
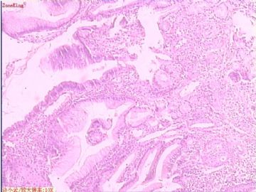
简要病史:  胃镜见,食道下段齿状线上可见一圆形隆起,有蒂,表面光滑,大小0.5X0.5X0.3cm.
肉眼检查:  
各位老师,胃粘膜处出现的鳞状上皮有问题么?
  • 贲门息肉?图1
    图1
  • 贲门息肉?图2
    图2
  • 贲门息肉?图3
    图3
  • 贲门息肉?图4
    图4
  • 贲门息肉?图5
    图5
  • 贲门息肉?图6
    图6
标签:
0
添加参考诊断
×参考诊断
  

wfbjwt 离线

帖子:6628
粉蓝豆:163
经验:7418
注册时间:2006-10-08
加关注  |  发消息
1 楼    发表于2009-11-19 17:31:00举报|引用
返回顶部 | 快捷回复
 正好是齿状线腺鳞交界处粘膜
0
回复
signature
嫁人就嫁灰太狼,学习要上华夏网。

闲庭新步 离线

帖子:310
粉蓝豆:3
经验:351
注册时间:2009-04-20
加关注  |  发消息
2 楼    发表于2009-11-19 18:57:00举报|引用
返回顶部 | 快捷回复
 可能是炎症刺激所致,不敢报恶性。
0
回复

海上明月 离线

帖子:9476
粉蓝豆:1172
经验:10007
注册时间:2009-08-29
加关注  |  发消息
3 楼    发表于2009-11-19 19:11:00举报|引用
返回顶部 | 快捷回复
以下是引用wfbjwt在2009-11-19 17:31:00的发言:

 正好是齿状线腺鳞交界处粘膜

鳞状上皮没大问题,可能受炎症影响,稍有增生.
0
回复
signature
王军臣

水蜜桃 离线

帖子:425
粉蓝豆:313
经验:529
注册时间:2009-10-14
加关注  |  发消息
4 楼    发表于2009-11-19 19:30:00举报|引用
返回顶部 | 快捷回复
 没有发现恶性证据,小心点儿可以拖个尾巴,譬如伴轻度异型增生。
1

胡岚
回复

kaolasu 离线

帖子:856
粉蓝豆:821
经验:954
注册时间:2007-01-18
加关注  |  发消息
5 楼    发表于2009-11-19 21:04:00举报|引用
返回顶部 | 快捷回复
以下是引用海上明月在2009-11-19 19:11:00的发言:

以下是引用wfbjwt在2009-11-19 17:31:00的发言:

 正好是齿状线腺鳞交界处粘膜

鳞状上皮没大问题,可能受炎症影响,稍有增生.

0
回复

liziqiang88 离线

帖子:957
粉蓝豆:262
经验:3935
注册时间:2007-03-15
加关注  |  发消息
6 楼    发表于2009-11-20 07:55:00举报|引用
返回顶部 | 快捷回复
 可能是炎症刺激下上皮鳞状化生
0
回复
signature
李自强

麦田守望者 离线

帖子:158
粉蓝豆:36
经验:247
注册时间:2008-09-24
加关注  |  发消息
7 楼    发表于2009-11-20 12:53:00举报|引用
返回顶部 | 快捷回复

慢性炎症

0
回复

暖暖 离线

帖子:320
粉蓝豆:3
经验:320
注册时间:2007-07-10
加关注  |  发消息
8 楼    发表于2009-11-21 09:43:00举报|引用
返回顶部 | 快捷回复
本帖最后由 于 2009-11-21 09:51:00 编辑   谢谢各位老师指点,最终诊断为:贲门慢性炎症,伴局灶细胞轻度异型增生。
0
回复

ZQH19811029 离线

帖子:458
粉蓝豆:1
经验:458
注册时间:2009-11-15
加关注  |  发消息
9 楼    发表于2009-11-22 21:10:00举报|引用
返回顶部 | 快捷回复

炎症和鳞状上皮伴不典

0
回复
回复:9 阅读:2432
共1页/9条首页上一页1下一页尾页
【免责声明】讨论内容仅作学术交流之用,不作为诊疗依据,由此而引起的法律问题作者及本站不承担任何责任。
快速回复
进入高级回复
您最多可输入10000个汉字,按 "Ctrl" + "Enter" 直接发送
搜索回复/乘电梯 ×
按内容
按会员
乘电梯
合作伙伴
友情链接
Baidu
map