共1页/12条首页上一页1下一页尾页
回复:12 阅读:1775
直肠黏膜胃镜取

mcwlgy 离线

帖子:429
粉蓝豆:4
经验:433
注册时间:2009-10-28
加关注  |  发消息
楼主 发表于 2009-12-03 12:41|举报|关注(0)
浏览排序[ 顺序 逆序 楼主 支持 精彩 ]  快捷回复
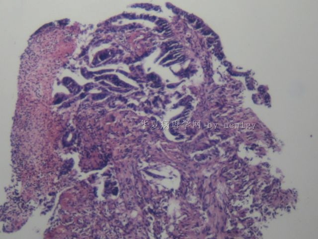
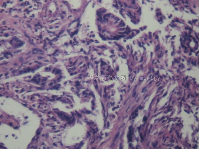
姓    名: ××× 性别: 女  年龄:  64
标本名称:  
简要病史:  
肉眼检查: 胃镜取
  • 直肠黏膜胃镜取图1
    图1
  • 直肠黏膜胃镜取图2
    图2
  • 直肠黏膜胃镜取图3
    图3
  • 直肠黏膜胃镜取图4
    图4
  • 直肠黏膜胃镜取图5
    图5
标签:
0
×参考诊断
腺癌

wfbjwt 离线

帖子:6628
粉蓝豆:163
经验:7418
注册时间:2006-10-08
加关注  |  发消息
1 楼    发表于2009-12-03 17:21:00举报|引用
返回顶部 | 快捷回复
 呵呵,哪家医院啊?
0
回复
signature
嫁人就嫁灰太狼,学习要上华夏网。

mcwlgy 离线

帖子:429
粉蓝豆:4
经验:433
注册时间:2009-10-28
加关注  |  发消息
2 楼    发表于2009-12-03 20:29:00举报|引用
返回顶部 | 快捷回复
 
发表于 2009-12-3 17:21 {资料} {好友} {短信} {引用} {快回 2 楼 
     呵呵,哪家医院啊?
见笑了?片子不好?太简单了直肠腺癌
0
回复

病理 离线

帖子:565
粉蓝豆:6
经验:5228
注册时间:2008-08-07
加关注  |  发消息
3 楼    发表于2009-12-03 21:23:00举报|引用
返回顶部 | 快捷回复
 直肠组织为什么要用胃镜取呢
0
回复

宁静致远 离线

帖子:4242
粉蓝豆:2853
经验:6556
注册时间:2007-03-27
加关注  |  发消息
4 楼    发表于2009-12-04 05:20:00举报|引用
返回顶部 | 快捷回复
 腺癌
0
回复

ZQH19811029 离线

帖子:458
粉蓝豆:1
经验:458
注册时间:2009-11-15
加关注  |  发消息
5 楼    发表于2009-12-06 21:33:00举报|引用
返回顶部 | 快捷回复

腺癌

0
回复

mcwlgy 离线

帖子:429
粉蓝豆:4
经验:433
注册时间:2009-10-28
加关注  |  发消息
6 楼    发表于2009-12-07 12:35:00举报|引用
返回顶部 | 快捷回复

 

谢谢各位参与意见。

发表于 2009-12-3 21:23 {资料} {好友} {短信} {引用} {快回 4 楼 

     直肠组织为什么要用胃镜取呢

我们都是这样的。你们怎么取呢


0
回复

zsy720121 离线

帖子:33
粉蓝豆:3
经验:38
注册时间:2009-05-03
加关注  |  发消息
7 楼    发表于2009-12-07 13:48:00举报|引用
返回顶部 | 快捷回复
 直肠组织应该是肠镜取
0
回复

zsy720121 离线

帖子:33
粉蓝豆:3
经验:38
注册时间:2009-05-03
加关注  |  发消息
8 楼    发表于2009-12-07 13:50:00举报|引用
返回顶部 | 快捷回复
 腺癌直接打吗  似有假象
0
回复

艾佳 离线

帖子:63
粉蓝豆:29
经验:396
注册时间:2009-11-27
加关注  |  发消息
9 楼    发表于2009-12-07 15:17:00举报|引用
返回顶部 | 快捷回复
粘膜肌侵犯,够腺癌了。
0
回复

3673566 离线

帖子:1879
粉蓝豆:79
经验:3305
注册时间:2006-10-29
加关注  |  发消息
10 楼    发表于2009-12-07 16:24:00举报|引用
返回顶部 | 快捷回复
 腺癌够了。
0
回复

mcwlgy 离线

帖子:429
粉蓝豆:4
经验:433
注册时间:2009-10-28
加关注  |  发消息
11 楼    发表于2009-12-07 19:21:00举报|引用
返回顶部 | 快捷回复
 我太省略了让大家误会。 直肠组织胃镜室取,应该写肠镜取 。少写了一个“室”。真是闹笑话了。
0
回复

ZQH19811029 离线

帖子:458
粉蓝豆:1
经验:458
注册时间:2009-11-15
加关注  |  发消息
12 楼    发表于2009-12-07 20:43:00举报|引用
返回顶部 | 快捷回复
腺癌
0
回复
回复:12 阅读:1775
共1页/12条首页上一页1下一页尾页
【免责声明】讨论内容仅作学术交流之用,不作为诊疗依据,由此而引起的法律问题作者及本站不承担任何责任。
快速回复
进入高级回复
您最多可输入10000个汉字,按 "Ctrl" + "Enter" 直接发送
搜索回复/乘电梯 ×
按内容
按会员
乘电梯
合作伙伴
友情链接
Baidu
map