共1页/10条首页上一页1下一页尾页
回复:11 阅读:2329
请教肘部肿物是什么

mcwlgy 离线

帖子:429
粉蓝豆:4
经验:433
注册时间:2009-10-28
加关注  |  发消息
楼主 发表于 2009-12-18 13:05|举报|关注(0)
浏览排序[ 顺序 逆序 楼主 支持 精彩 ]  快捷回复
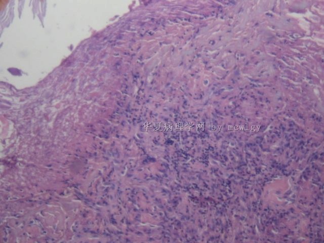
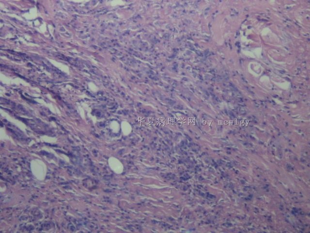
姓    名: ××× 性别:  男 年龄:  42
标本名称:  
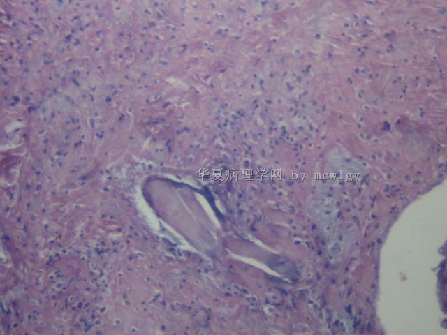
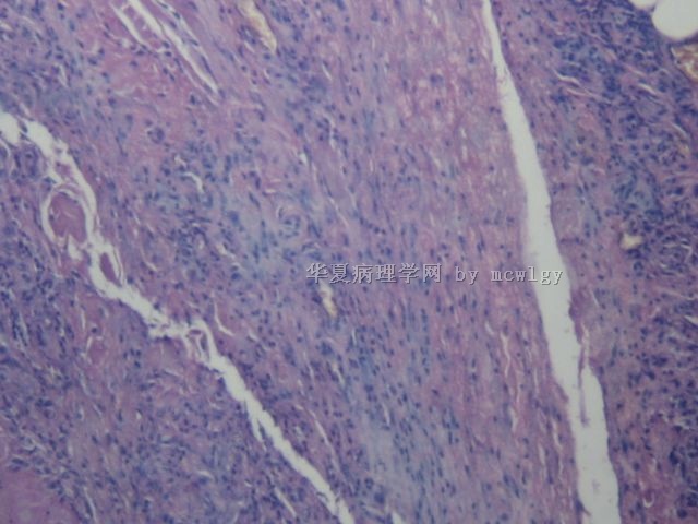
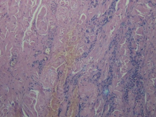
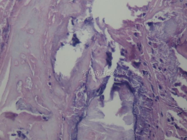
简要病史:  发现无痛肿物10天。
肉眼检查:  不整形3.5*3.5*2.5CM,红褐色,切面灰黄红褐色,质中.
  • 请教肘部肿物是什么图1
    图1
  • 请教肘部肿物是什么图2
    图2
  • 请教肘部肿物是什么图3
    图3
  • 请教肘部肿物是什么图4
    图4
  • 请教肘部肿物是什么图5
    图5
  • 请教肘部肿物是什么图6
    图6
  • 请教肘部肿物是什么图7
    图7
  • 请教肘部肿物是什么图8
    图8
  • 请教肘部肿物是什么图9
    图9
  • 请教肘部肿物是什么图10
    图10
  • 请教肘部肿物是什么图11
    图11
  • 请教肘部肿物是什么图12
    图12
标签:肘部
0
添加参考诊断
×参考诊断
  

mcwlgy 离线

帖子:429
粉蓝豆:4
经验:433
注册时间:2009-10-28
加关注  |  发消息
1 楼    发表于2009-12-18 13:10:00举报|引用
返回顶部 | 快捷回复
  • 图1
  • 图2
  • 图3
  • 图4
  • 图5
  • 图6
  • 图7
  • 图8
  • 图9
  • 图10
  • 图11
  • 图12
0
回复

mcwlgy 离线

帖子:429
粉蓝豆:4
经验:433
注册时间:2009-10-28
加关注  |  发消息
2 楼    发表于2009-12-18 13:16:00举报|引用
返回顶部 | 快捷回复
  • 图1
  • 图2
  • 图3
  • 图4
  • 图5
  • 图6
  • 图7
  • 图8
  • 图9
  • 图10
  • 图11
  • 图12
0
回复

wfbjwt 离线

帖子:6628
粉蓝豆:163
经验:7418
注册时间:2006-10-08
加关注  |  发消息
3 楼    发表于2009-12-18 18:06:00举报|引用
返回顶部 | 快捷回复
 看不好,感觉是炎性包块。
0
回复
signature
嫁人就嫁灰太狼,学习要上华夏网。

lanyueliang 离线

帖子:679
粉蓝豆:11
经验:1424
注册时间:2008-11-12
加关注  |  发消息
4 楼    发表于2009-12-18 18:27:00举报|引用
返回顶部 | 快捷回复
 不是肿瘤
0
回复

天天田田 离线

帖子:493
粉蓝豆:5
经验:493
注册时间:2009-05-15
加关注  |  发消息
5 楼    发表于2009-12-18 18:41:00举报|引用
返回顶部 | 快捷回复
 结节性筋膜炎。
0
回复

蓝月 离线

帖子:1245
粉蓝豆:376
经验:1966
注册时间:2007-12-18
加关注  |  发消息
6 楼    发表于2009-12-18 22:39:00举报|引用
返回顶部 | 快捷回复
 
结节性筋膜炎

0
回复

mcwlgy 离线

帖子:429
粉蓝豆:4
经验:433
注册时间:2009-10-28
加关注  |  发消息
7 楼    发表于2009-12-19 06:17:00举报|引用
返回顶部 | 快捷回复
 

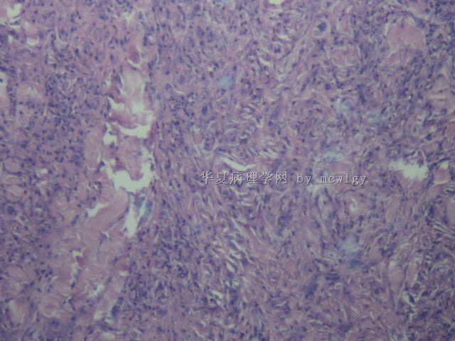
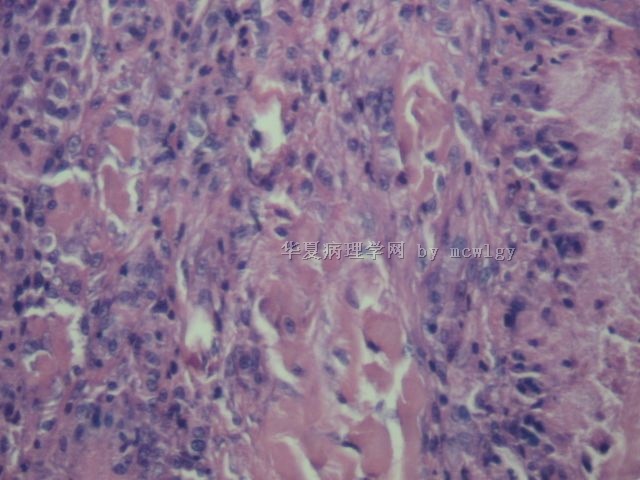
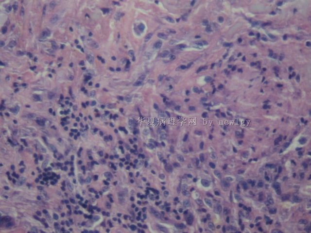
结节性筋膜炎又称假肉瘤性筋膜炎,发病原因不明,可能与外伤 或感染有关。该病有两个最重要的临床表现:一是迅速生长的肿块,通常在12周出现小肿块结节,病变处伴有疼痛、麻木或感觉异常;二是肿块通常较小,一般不超过2厘米,且病变有自限性。 本病易误诊为恶性纤维组织细胞瘤、纤维肉瘤、黏液性脂肪肉瘤等。美国有资料表明,结节性筋膜炎误诊率高达50%,过度诊断为恶

性的达20%。由于结节性筋膜炎是一种非肿瘤性病变,临床治疗主要

为局限手术切除,复发率低

 

重要病理改变

a 发生于筋膜,并侵至皮下组织,

b 限局性成纤维细胞及粘液样变性,病变中有血管增生及淋巴细胞浸润。

 

一般病理改变

a 病变中主要为大量成纤维细胞增生,伴有粘液样变性及多少不等的纤维增生,

b 胞核增大、深染 ,可有核丝分裂相,也可见多核巨细胞、软骨细胞、骨样组织,c 毛细血管增生,内皮细胞可增大、深染,

d 病变累及的周围组织常侵入筋膜或肌肉间隙,

e 病变边缘偶见炎细胞。

临床特点

a 多见于青年,好发于上肢、躯干和颈部,

b 病因不明,多认为系反应性成纤维细胞和血管的增生性病变,

c 病损为实性的皮下结节,或筋膜结节,与周围组织无明显分界,

d 为单发,生长较快,1月~2月可达1cm5cm

e 轻微压痛,

f 损害有自限性,切除后几乎都不复发。

 

0
回复

mcwlgy 离线

帖子:429
粉蓝豆:4
经验:433
注册时间:2009-10-28
加关注  |  发消息
8 楼    发表于2009-12-23 12:45:00举报|引用
返回顶部 | 快捷回复

再传几张图片。能否考虑滑膜瘤?

  • 图1
  • 图2
  • 图3
  • 图4
  • 图5
  • 图6
  • 图7
  • 图8
  • 图9
  • 图10
  • 图11
  • 图12
0
回复

xhyong 离线

帖子:1060
粉蓝豆:519
经验:1993
注册时间:2006-10-19
加关注  |  发消息
9 楼    发表于2009-12-23 12:55:00举报|引用
返回顶部 | 快捷回复
 结节性筋膜炎不典型,可以描述性诊断,其内见滑膜细胞增生伴出血,好像还有些异物之类的东西
0
回复

fcl2004 离线

帖子:130
粉蓝豆:2
经验:130
注册时间:2009-12-22
加关注  |  发消息
10 楼    发表于2010-01-01 17:12:00举报|引用
返回顶部 | 快捷回复

增生性病变?

0
回复
回复:11 阅读:2329
共1页/10条首页上一页1下一页尾页
【免责声明】讨论内容仅作学术交流之用,不作为诊疗依据,由此而引起的法律问题作者及本站不承担任何责任。
快速回复
进入高级回复
您最多可输入10000个汉字,按 "Ctrl" + "Enter" 直接发送
搜索回复/乘电梯 ×
按内容
按会员
乘电梯
合作伙伴
友情链接
Baidu
map