共1页/12条首页上一页1下一页尾页
回复:12 阅读:1411
甲状腺冰冻

mcwlgy 离线

帖子:429
粉蓝豆:4
经验:433
注册时间:2009-10-28
加关注  |  发消息
楼主 发表于 2009-12-22 12:25|举报|关注(0)
浏览排序[ 顺序 逆序 楼主 支持 精彩 ]  快捷回复
姓    名: ××× 性别:  女 年龄:  21发现
标本名称:  
简要病史:  发现6个月
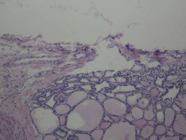
肉眼检查:  3*3*2CM,包膜完整,切面实性,细腻光滑,有处出血。
核怎么空亮。腺瘤能报住否?
  • 甲状腺冰冻图1
    图1
  • 甲状腺冰冻图2
    图2
  • 甲状腺冰冻图3
    图3
  • 甲状腺冰冻图4
    图4
  • 甲状腺冰冻图5
    图5
  • 甲状腺冰冻图6
    图6
  • 甲状腺冰冻图7
    图7
  • 甲状腺冰冻图8
    图8
  • 甲状腺冰冻图9
    图9
  • 甲状腺冰冻图10
    图10
标签:
0
添加参考诊断
×参考诊断
  

liguoxia71 离线

帖子:4174
粉蓝豆:3122
经验:4677
注册时间:2007-04-01
加关注  |  发消息
1 楼    发表于2009-12-22 12:50:00举报|引用
返回顶部 | 快捷回复
 密集滤泡结构,核空亮。包膜情况未见到。核内包涵体、核沟不明显,未见到间质纤维化。但是仍不能排除滤泡型乳头状癌。
0
回复
signature
三人行,必有我师焉,择其善者而从之,其不善者而改之。

xiaocao 离线

帖子:498
粉蓝豆:7
经验:716
注册时间:2007-11-13
加关注  |  发消息
2 楼    发表于2009-12-22 14:55:00举报|引用
返回顶部 | 快捷回复
 考虑甲状腺腺瘤。
0
回复
signature
运到盛时需警省,境当逆处要从容!

ldhwj 离线

帖子:204
粉蓝豆:2
经验:204
注册时间:2007-12-18
加关注  |  发消息
3 楼    发表于2009-12-22 21:53:00举报|引用
返回顶部 | 快捷回复
 组织边界不知怎样,考虑甲状腺腺瘤。
0
回复

mcwlgy 离线

帖子:429
粉蓝豆:4
经验:433
注册时间:2009-10-28
加关注  |  发消息
4 楼    发表于2009-12-23 12:39:00举报|引用
返回顶部 | 快捷回复
 
发表于 2009-12-22 21:53 {资料} {好友} {短信} {引用} {快回 4 楼 
     组织边界不知怎样,考虑甲状腺腺瘤。

  组织边界青清
0
回复

水中央 离线

帖子:2698
粉蓝豆:1119
经验:7190
注册时间:2009-10-07
加关注  |  发消息
5 楼    发表于2009-12-23 21:28:00举报|引用
返回顶部 | 快捷回复
 腺瘤可能性大。
0
回复
signature
刀锋上的蚂蚁

liguoxia71 离线

帖子:4174
粉蓝豆:3122
经验:4677
注册时间:2007-04-01
加关注  |  发消息
6 楼    发表于2009-12-24 21:53:00举报|引用
返回顶部 | 快捷回复
 常规切片该有结果了吧。期待公布!谢谢!
0
回复
signature
三人行,必有我师焉,择其善者而从之,其不善者而改之。

mcwlgy 离线

帖子:429
粉蓝豆:4
经验:433
注册时间:2009-10-28
加关注  |  发消息
7 楼    发表于2009-12-29 06:24:00举报|引用
返回顶部 | 快捷回复

石蜡切片

  • 图1
  • 图2
  • 图3
  • 图4
  • 图5
  • 图6
  • 图7
  • 图8
  • 图9
  • 图10
  • 图11
  • 图12
0
回复

mcwlgy 离线

帖子:429
粉蓝豆:4
经验:433
注册时间:2009-10-28
加关注  |  发消息
8 楼    发表于2009-12-29 06:28:00举报|引用
返回顶部 | 快捷回复
  • 图1
  • 图2
  • 图3
0
回复

sjp 离线

帖子:954
粉蓝豆:550
经验:965
注册时间:2008-04-28
加关注  |  发消息
9 楼    发表于2009-12-29 07:54:00举报|引用
返回顶部 | 快捷回复
 我们也遇到类似的问题,请教高人指点。
0
回复

宁静致远 离线

帖子:4242
粉蓝豆:2853
经验:6556
注册时间:2007-03-27
加关注  |  发消息
10 楼    发表于2009-12-29 08:39:00举报|引用
返回顶部 | 快捷回复
 甲状腺腺瘤
0
回复

liguoxia71 离线

帖子:4174
粉蓝豆:3122
经验:4677
注册时间:2007-04-01
加关注  |  发消息
11 楼    发表于2009-12-29 11:38:00举报|引用
返回顶部 | 快捷回复

 虽然包膜情况不清楚,但楼主说了包膜完整,图片主要显示了部分滤泡细胞核空亮,可能不涉及滤泡癌诊断问题,而是滤泡性腺瘤、 要不要考虑或排除滤泡型乳头状癌的问题吧。

看图片滤泡比较规则,核空亮只是一部分,而且除了核空亮,其它核特征如卵园核上上下下拥挤重叠、核沟、核包涵体  以及沙粒体、间质纤维化等等,并不具备。核空亮的细胞与周围不空亮的细胞过渡自然,并不陡然。乳头状癌一般冰冻时核透亮不明显,核沟及核包涵体倾于明显些。

该例只有部分细胞核空亮,不足以诊断乳头状癌。核空亮可以出现于一些良恶性甲状腺病变中。有时组织固定处理不佳,也会出现核透明。所以综合考虑,是不是甲状腺滤泡型腺瘤更合适?可以辅以IHC。

附:

A:甲状腺乳头状癌的主要诊断标准
1.核呈卵圆形,而不是圆形;
2.核拥挤、重叠(“上窜下跳”,无极性);
3.核染色质苍白或透明(直至毛玻璃样核);或有显著核沟;
4.砂粒体(与钙化的胶质鉴别)。
B:PTC的次要诊断标准
1.流产乳头;
2.多数滤泡被拉长或形状不规则;
3.胶质深染;
4.存在核内假包涵体;
5.滤泡腔内出现多核的组织细胞。
C:PTC的严格诊断标准:
≥3个主要标准,或2个主要标准+≥4个次要标准


0
回复
signature
三人行,必有我师焉,择其善者而从之,其不善者而改之。

mcwlgy 离线

帖子:429
粉蓝豆:4
经验:433
注册时间:2009-10-28
加关注  |  发消息
12 楼    发表于2009-12-31 20:37:00举报|引用
返回顶部 | 快捷回复

 谢谢 liguoxia71老师分析

最后诊断  甲状腺腺瘤

0
回复
回复:12 阅读:1411
共1页/12条首页上一页1下一页尾页
【免责声明】讨论内容仅作学术交流之用,不作为诊疗依据,由此而引起的法律问题作者及本站不承担任何责任。
快速回复
进入高级回复
您最多可输入10000个汉字,按 "Ctrl" + "Enter" 直接发送
搜索回复/乘电梯 ×
按内容
按会员
乘电梯
合作伙伴
友情链接
Baidu
map