共1页/5条首页上一页1下一页尾页
回复:5 阅读:1466
甲状腺乳头状癌?

xiaoyan0290 离线

帖子:1179
粉蓝豆:512
经验:2063
注册时间:2008-07-15
加关注  |  发消息
楼主 发表于 2010-03-03 18:58|举报|关注(0)
浏览排序[ 顺序 逆序 楼主 支持 精彩 ]  快捷回复
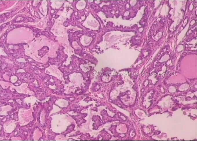
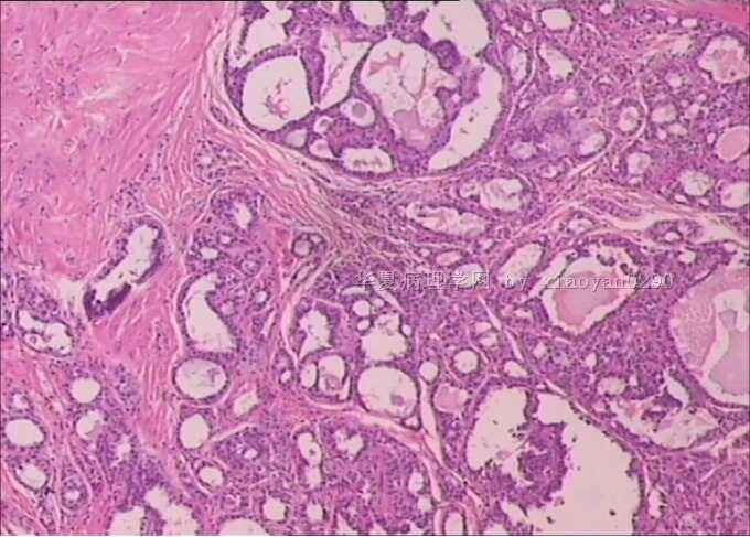
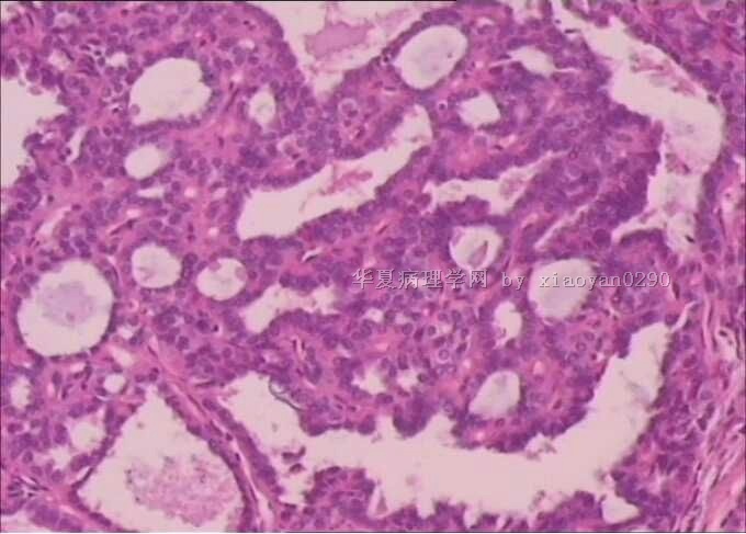
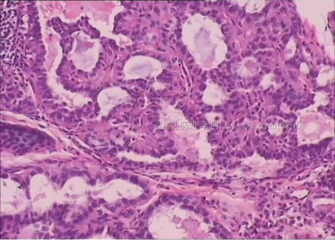
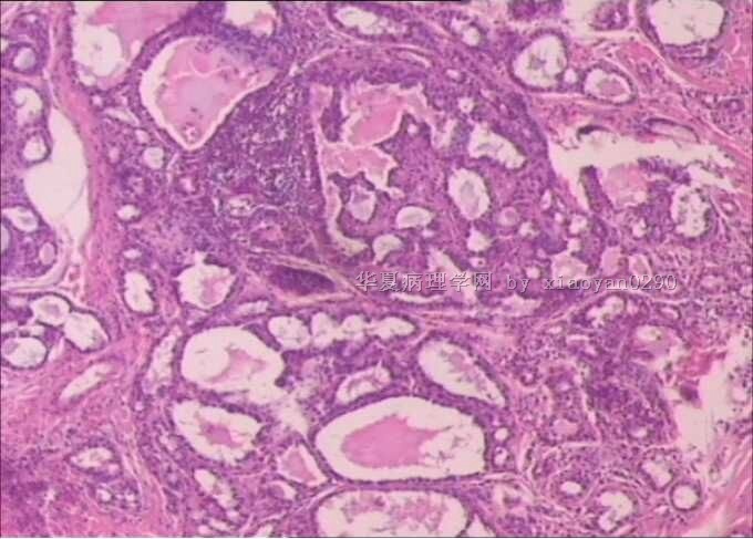
姓    名: ××× 性别:  女 年龄:  52
标本名称:  甲状腺肿物
简要病史:  
肉眼检查:  组织一块1.7x1.5x1.0cm,无包膜,切面灰白色。

临床诊断:结甲  免疫组化:TG(+)  CK19(+)

由于采集系统故障图像没有采集完。

  • 甲状腺乳头状癌?图1
    图1
  • 甲状腺乳头状癌?图2
    图2
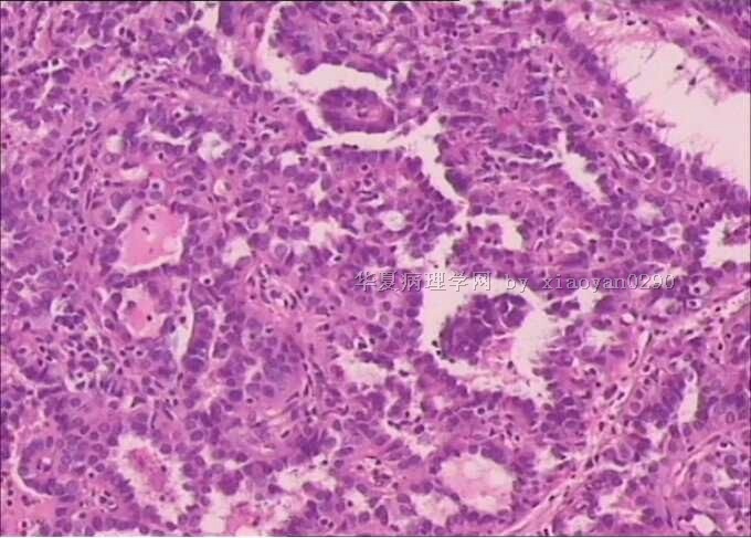
  • 甲状腺乳头状癌?图3
    图3
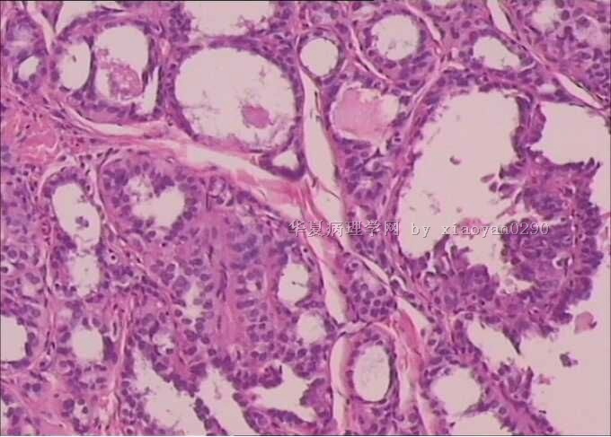
  • 甲状腺乳头状癌?图4
    图4
  • 甲状腺乳头状癌?图5
    图5
  • 甲状腺乳头状癌?图6
    图6
  • 甲状腺乳头状癌?图7
    图7
标签:
本帖最后由 于 2010-03-03 19:08:00 编辑
0
添加参考诊断
×参考诊断
  

sjp 离线

帖子:954
粉蓝豆:550
经验:965
注册时间:2008-04-28
加关注  |  发消息
1 楼    发表于2010-03-03 19:31:00举报|引用
返回顶部 | 快捷回复
 乳头状癌。
0
回复

广秀 离线

帖子:2711
粉蓝豆:1246
经验:3502
注册时间:2009-09-15
加关注  |  发消息
2 楼    发表于2010-03-03 19:33:00举报|引用
返回顶部 | 快捷回复
 甲状腺乳头状癌
0
回复
signature
人淡如菊,心素如简。

宁静致远 离线

帖子:4242
粉蓝豆:2853
经验:6556
注册时间:2007-03-27
加关注  |  发消息
3 楼    发表于2010-03-03 19:54:00举报|引用
返回顶部 | 快捷回复
   乳头状癌。
0
回复

liguoxia71 离线

帖子:4174
粉蓝豆:3122
经验:4677
注册时间:2007-04-01
加关注  |  发消息
4 楼    发表于2010-03-04 18:57:00举报|引用
返回顶部 | 快捷回复
 核特征有吗?
0
回复
signature
三人行,必有我师焉,择其善者而从之,其不善者而改之。

mao5231668 离线

帖子:11
粉蓝豆:22
经验:12
注册时间:2010-01-23
加关注  |  发消息
5 楼    发表于2010-03-07 18:50:00举报|引用
返回顶部 | 快捷回复
 没有高倍,核特征看不出来,从低倍看,有乳头结构,核偏大也较密集,考虑乳头状癌。
0
回复
回复:5 阅读:1466
共1页/5条首页上一页1下一页尾页
【免责声明】讨论内容仅作学术交流之用,不作为诊疗依据,由此而引起的法律问题作者及本站不承担任何责任。
快速回复
进入高级回复
您最多可输入10000个汉字,按 "Ctrl" + "Enter" 直接发送
搜索回复/乘电梯 ×
按内容
按会员
乘电梯
合作伙伴
友情链接
Baidu
map