共1页/8条首页上一页1下一页尾页
回复:8 阅读:1411
甲状腺乳头状癌?

xiaoyan0290 离线

帖子:1179
粉蓝豆:512
经验:2063
注册时间:2008-07-15
加关注  |  发消息
楼主 发表于 2010-03-03 19:06|举报|关注(0)
浏览排序[ 顺序 逆序 楼主 支持 精彩 ]  快捷回复
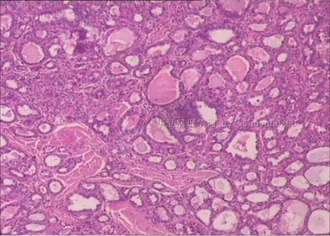
姓    名: ××× 性别:  女 年龄:  55
标本名称:  气管旁肿物
简要病史:  
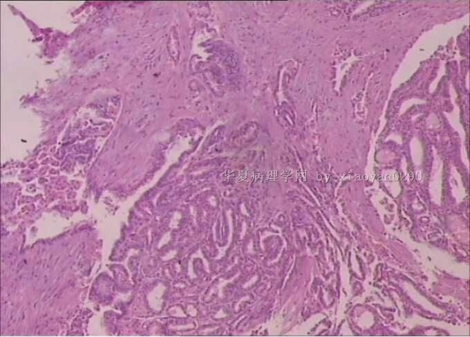
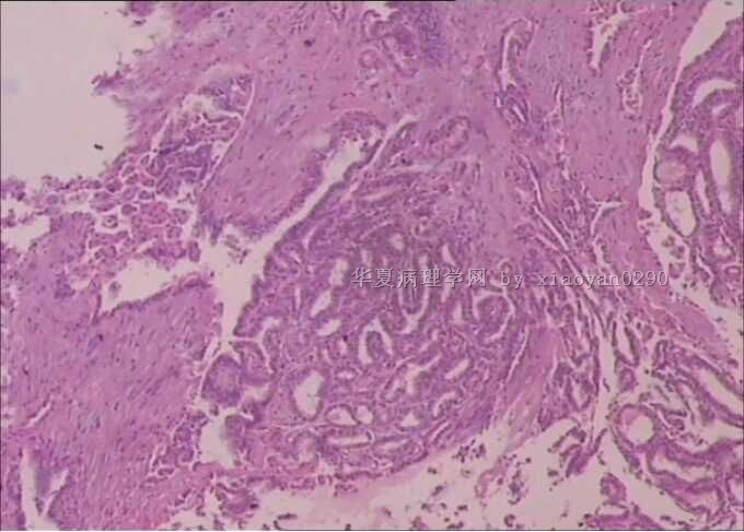
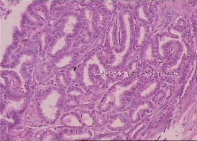
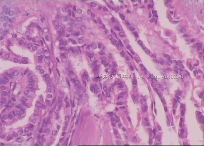
肉眼检查:  甲状腺右侧肿物4x3x2,左侧3x3x1.5cm,结节状,

临床术中所见气管旁一肿物1x1,与气管粘连较重,该肿物与甲状腺也相连。

送检的左侧及右侧肿物均为结甲,良性病变。只是这一小块连接气管的一侧少部分呈现乳头样改变,其余部分也是正常的。最后一张图片不是这个病例的,不知道怎么删除。

  • 甲状腺乳头状癌?图1
    图1
  • 甲状腺乳头状癌?图2
    图2
  • 甲状腺乳头状癌?图3
    图3
  • 甲状腺乳头状癌?图4
    图4
  • 甲状腺乳头状癌?图5
    图5
  • 甲状腺乳头状癌?图6
    图6
  • 甲状腺乳头状癌?图7
    图7
  • 甲状腺乳头状癌?图8
    图8
  • 甲状腺乳头状癌?图9
    图9
  • 甲状腺乳头状癌?图10
    图10
  • 甲状腺乳头状癌?图11
    图11
标签:
本帖最后由 于 2010-03-03 19:15:00 编辑
0
添加参考诊断
×参考诊断
  

wfbjwt 离线

帖子:6628
粉蓝豆:163
经验:7418
注册时间:2006-10-08
加关注  |  发消息
1 楼    发表于2010-03-03 19:10:00举报|引用
返回顶部 | 快捷回复
 是的

0
回复
signature
嫁人就嫁灰太狼,学习要上华夏网。

njwbhuang 离线

帖子:712
粉蓝豆:2265
经验:1404
注册时间:2007-11-23
加关注  |  发消息
2 楼    发表于2010-03-03 19:15:00举报|引用
返回顶部 | 快捷回复
 够甲状腺乳头状癌了
0
回复

sjp 离线

帖子:954
粉蓝豆:550
经验:965
注册时间:2008-04-28
加关注  |  发消息
3 楼    发表于2010-03-03 19:26:00举报|引用
返回顶部 | 快捷回复
 是的。
0
回复

曌祺 离线

帖子:893
粉蓝豆:1358
经验:1848
注册时间:2009-06-27
加关注  |  发消息
4 楼    发表于2010-03-03 19:30:00举报|引用
返回顶部 | 快捷回复
 甲状腺乳头状癌
0
回复

广秀 离线

帖子:2711
粉蓝豆:1246
经验:3502
注册时间:2009-09-15
加关注  |  发消息
5 楼    发表于2010-03-03 19:34:00举报|引用
返回顶部 | 快捷回复
 甲状腺乳头状癌
0
回复
signature
人淡如菊,心素如简。

宁静致远 离线

帖子:4242
粉蓝豆:2853
经验:6556
注册时间:2007-03-27
加关注  |  发消息
6 楼    发表于2010-03-03 19:55:00举报|引用
返回顶部 | 快捷回复
   甲状腺乳头状癌
0
回复

liguoxia71 离线

帖子:4174
粉蓝豆:3122
经验:4677
注册时间:2007-04-01
加关注  |  发消息
7 楼    发表于2010-03-04 18:45:00举报|引用
返回顶部 | 快捷回复
 看来意见一致了。
0
回复
signature
三人行,必有我师焉,择其善者而从之,其不善者而改之。

xclbljys 离线

帖子:5253
粉蓝豆:224
经验:7005
注册时间:2008-11-21
加关注  |  发消息
8 楼    发表于2010-06-17 22:32:00举报|引用
返回顶部 | 快捷回复
 本例最好做个CK19,CD10比较放心。
0
回复
signature
许春雷
回复:8 阅读:1411
共1页/8条首页上一页1下一页尾页
【免责声明】讨论内容仅作学术交流之用,不作为诊疗依据,由此而引起的法律问题作者及本站不承担任何责任。
快速回复
进入高级回复
您最多可输入10000个汉字,按 "Ctrl" + "Enter" 直接发送
搜索回复/乘电梯 ×
按内容
按会员
乘电梯
合作伙伴
友情链接
Baidu
map