共1页/6条首页上一页1下一页尾页
回复:6 阅读:1755
B2648乳腺肿物

mcwlgy 离线

帖子:429
粉蓝豆:4
经验:433
注册时间:2009-10-28
加关注  |  发消息
楼主 发表于 2010-03-13 17:10|举报|关注(0)
浏览排序[ 顺序 逆序 楼主 支持 精彩 ]  快捷回复
姓    名: ××× 性别:   年龄:  
标本名称:  
简要病史:  
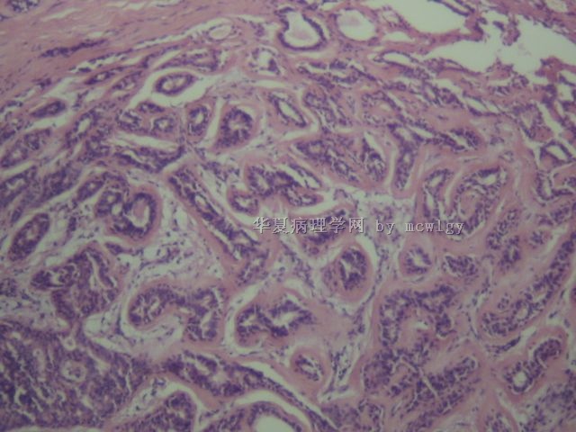
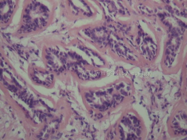
肉眼检查:  3*2*1CM结节界清,灰白。
  • 乳腺肿物图1
    图1
  • 乳腺肿物图2
    图2
  • 乳腺肿物图3
    图3
  • 乳腺肿物图4
    图4
  • 乳腺肿物图5
    图5
  • 乳腺肿物图6
    图6
  • 乳腺肿物图7
    图7
  • 乳腺肿物图8
    图8
  • 乳腺肿物图9
    图9
  • 乳腺肿物图10
    图10
  • 乳腺肿物图11
    图11
  • 乳腺肿物图12
    图12
  • 乳腺肿物图13
    图13
  • 乳腺肿物图14
    图14
  • 乳腺肿物图15
    图15
  • 乳腺肿物图16
    图16
  • 乳腺肿物图17
    图17
  • 乳腺肿物图18
    图18
标签:硬化性腺病 硬化性小叶增生
0
添加参考诊断
×参考诊断
  

mcwlgy 离线

帖子:429
粉蓝豆:4
经验:433
注册时间:2009-10-28
加关注  |  发消息
1 楼    发表于2010-03-13 17:15:00举报|引用
返回顶部 | 快捷回复
继续
  • 图1
  • 图2
  • 图3
  • 图4
  • 图5
  • 图6
  • 图7
  • 图8
0
回复

liguoxia71 离线

帖子:4174
粉蓝豆:3122
经验:4677
注册时间:2007-04-01
加关注  |  发消息
2 楼    发表于2010-03-13 17:53:00举报|引用
返回顶部 | 快捷回复

 乳腺的,不是乳头乳晕的,肌上皮明显,有钙化,局灶导管上皮增生,乳头状。

良性。腺病之类,腺肌上皮瘤型?

0
回复
signature
三人行,必有我师焉,择其善者而从之,其不善者而改之。

cqzhao 离线

帖子:5518
粉蓝豆:1071
经验:5755
注册时间:2008-09-29
加关注  |  发消息
3 楼    发表于2010-03-15 05:27:00举报|引用
返回顶部 | 快捷回复

 Photos are too dark.

Sclerosing adenosis

Focal papillary lesion (mostly benign) or papillary hyperplasia

microcalcification

Entire nodulle may be a fibroadenoma if it is a demarcated mass.

0
回复

yanghuaijun 离线

帖子:106
粉蓝豆:1
经验:106
注册时间:2009-08-23
加关注  |  发消息
4 楼    发表于2010-03-15 07:42:00举报|引用
返回顶部 | 快捷回复
 良性病变
0
回复

Chiang 离线

帖子:2443
粉蓝豆:1085
经验:3336
注册时间:2006-10-03
加关注  |  发消息
5 楼    发表于2010-03-15 14:23:00举报|引用
返回顶部 | 快捷回复
 这例子缺乏完整的总体特征,主要由间质硬化和缺乏小叶结构的腺管组成,另外见导管增生性病变,根据这些图像推断,可能是纤维腺瘤样乳腺病(fibroadeinomatoid mastopathy),又称硬化性小叶增生(sclerosing lobular hyperplasia),这种病变多伴于纤维腺瘤或叶状肿瘤,而单独形成肿块很少见,本例有的图像也支持纤维腺瘤,而给出的图像硬化更明显。
0
回复

kint123 离线

帖子:1620
粉蓝豆:240
经验:2095
注册时间:2009-01-31
加关注  |  发消息
6 楼    发表于2010-03-20 19:37:00举报|引用
返回顶部 | 快捷回复
以下是引用cqzhao在2010-3-15 5:27:00的发言:

 Photos are too dark.

Sclerosing adenosis

Focal papillary lesion (mostly benign) or papillary hyperplasia

microcalcification

Entire nodulle may be a fibroadenoma if it is a demarcated mass.

非常支持

从整个情况来看,1、病史应很长;2、从图13看,硬化性腺病的可能性更大,看不出包膜来

0
回复
signature
The More We See, The Less We Know!
回复:6 阅读:1755
共1页/6条首页上一页1下一页尾页
【免责声明】讨论内容仅作学术交流之用,不作为诊疗依据,由此而引起的法律问题作者及本站不承担任何责任。
快速回复
进入高级回复
您最多可输入10000个汉字,按 "Ctrl" + "Enter" 直接发送
搜索回复/乘电梯 ×
按内容
按会员
乘电梯
合作伙伴
友情链接
Baidu
map