共1页/6条首页上一页1下一页尾页
回复:6 阅读:2386
卵巢肿块

fuying 离线

帖子:362
粉蓝豆:2
经验:390
注册时间:2008-04-10
加关注  |  发消息
楼主 发表于 2010-03-24 16:37|举报|关注(0)
浏览排序[ 顺序 逆序 楼主 支持 精彩 ]  快捷回复
姓    名: ××× 性别:  女 年龄:  61y
标本名称:  卵巢肿块
简要病史:  
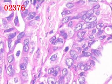
肉眼检查:  
  • 卵巢肿块图1
    图1
  • 卵巢肿块图2
    图2
  • 卵巢肿块图3
    图3
  • 卵巢肿块图4
    图4
  • 卵巢肿块图5
    图5
  • 卵巢肿块图6
    图6
  • 卵巢肿块图7
    图7
  • 卵巢肿块图8
    图8
  • 卵巢肿块图9
    图9
  • 卵巢肿块图10
    图10
  • 卵巢肿块图11
    图11
  • 卵巢肿块图12
    图12
  • 卵巢肿块图13
    图13
  • 卵巢肿块图14
    图14
  • 卵巢肿块图15
    图15
  • 卵巢肿块图16
    图16
  • 卵巢肿块图17
    图17
  • 卵巢肿块图18
    图18
标签:
0
添加参考诊断
×参考诊断
  

笃行者 离线

帖子:2689
粉蓝豆:59
经验:3020
注册时间:2006-10-04
加关注  |  发消息
1 楼    发表于2010-03-24 18:55:00举报|引用
返回顶部 | 快捷回复
 恶性肿瘤,低分化宫内膜样腺癌?
0
回复
signature
博学之,审问之,慎思之,明辨之,笃行之。

全子 离线

帖子:3318
粉蓝豆:74
经验:3546
注册时间:2006-10-19
加关注  |  发消息
2 楼    发表于2010-03-24 19:41:00举报|引用
返回顶部 | 快捷回复
 低分化腺癌(考虑浆液性癌)和性索样肿瘤的鉴别
0
回复

3673566 离线

帖子:1879
粉蓝豆:79
经验:3305
注册时间:2006-10-29
加关注  |  发消息
3 楼    发表于2010-03-24 20:58:00举报|引用
返回顶部 | 快捷回复
 恶性肿瘤,除了上面提到的外,还考虑移行细胞癌或恶性Brenner瘤。
0
回复

海上明月 离线

帖子:9476
粉蓝豆:1172
经验:10007
注册时间:2009-08-29
加关注  |  发消息
4 楼    发表于2010-03-24 23:14:00举报|引用
返回顶部 | 快捷回复

 恶性苗勒管源性肿瘤—癌肉瘤?差分化宫内膜样腺癌伴肉瘤样分化?

0
回复
signature
王军臣

全子 离线

帖子:3318
粉蓝豆:74
经验:3546
注册时间:2006-10-19
加关注  |  发消息
5 楼    发表于2010-03-26 19:22:00举报|引用
返回顶部 | 快捷回复

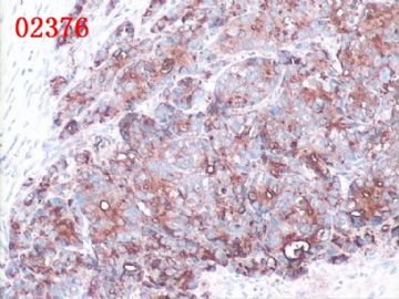
代发免疫组化结果,为什么Ki67阳性那么低?

分别为CK7  CK  EMA  P53  KI67      

  • 图1
  • 图2
  • 图3
  • 图4
  • 图5
0
回复

全子 离线

帖子:3318
粉蓝豆:74
经验:3546
注册时间:2006-10-19
加关注  |  发消息
6 楼    发表于2010-03-26 19:24:00举报|引用
返回顶部 | 快捷回复
阴性的有inhibin  CD99  CD10  VIM  SMA
0
回复
回复:6 阅读:2386
共1页/6条首页上一页1下一页尾页
【免责声明】讨论内容仅作学术交流之用,不作为诊疗依据,由此而引起的法律问题作者及本站不承担任何责任。
快速回复
进入高级回复
您最多可输入10000个汉字,按 "Ctrl" + "Enter" 直接发送
搜索回复/乘电梯 ×
按内容
按会员
乘电梯
合作伙伴
友情链接
Baidu
map