| 图片: | |
|---|---|
| 名称: | |
| 描述: | |
| 姓 名: | ××× | 性别: | 男 | 年龄: | 60 |
| 标本名称: | |||||
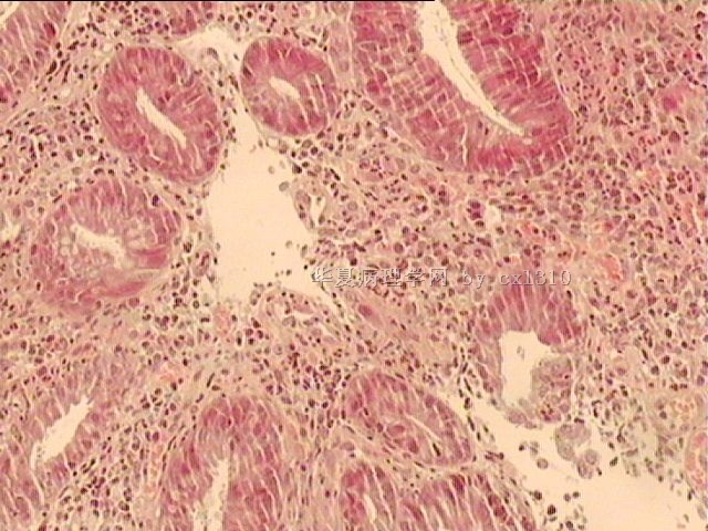
| 简要病史: | 5年前,做过纵隔肿瘤手术,病硷畸胎瘤 | ||||
| 肉眼检查: | |||||
| 以下是引用cxl310在2010-4-13 19:31:00的发言:
|
间质中少数有核仁的细胞应该是纤维母细胞(成纤维细胞),任何炎性病变都可以发生这个.没有见到裂隙状溃疡和肉芽肿病变不要轻易诊断克罗思病。描述性诊断,然后请结合内镜观察与临床。
克罗思病将采用激素药物治疗,万一不是克罗思病,用了药后,本来是溃疡性结肠炎而用药被弄穿孔了那就麻烦了。诊断克罗思病慎重为佳,除非病变很典型。
仅供参考。

| 以下是引用海上明月在2010-4-15 18:11:00的发言:
间质中少数有核仁的细胞应该是纤维母细胞(成纤维细胞),任何炎性病变都可以发生这个.没有见到裂隙状溃疡和肉芽肿病变不要轻易诊断克罗思病。描述性诊断,然后请结合内镜观察与临床。 克罗思病将采用激素药物治疗,万一不是克罗思病,用了药后,本来是溃疡性结肠炎而用药被弄穿孔了那就麻烦了。诊断克罗思病慎重为佳,除非病变很典型。 仅供参考。
非常感谢老师在百忙中回帖,帮我解决了好多难题,有机会我一定请可 |