共1页/8条首页上一页1下一页尾页
回复:8 阅读:1638
胆囊

mcwlgy 离线

帖子:429
粉蓝豆:4
经验:433
注册时间:2009-10-28
加关注  |  发消息
楼主 发表于 2010-04-14 09:37|举报|关注(0)
浏览排序[ 顺序 逆序 楼主 支持 精彩 ]  快捷回复
姓    名: ××× 性别:  男 年龄:  75
标本名称:  
简要病史:  
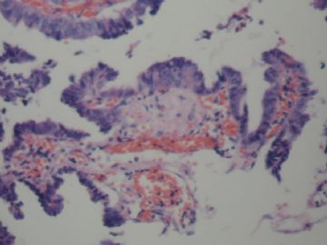
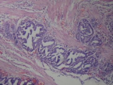
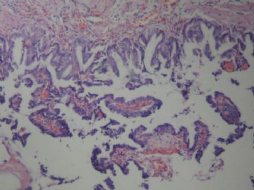
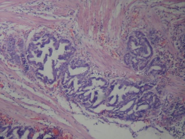
肉眼检查:  9*6.5*4CM,囊内见黑色粘稠液,米粒大-花生米大结石黑色无数枚,壁厚0.1-0.8CM.
腺体有问题?
  • 胆囊图1
    图1
  • 胆囊图2
    图2
  • 胆囊图3
    图3
  • 胆囊图4
    图4
  • 胆囊图5
    图5
  • 胆囊图6
    图6
  • 胆囊图7
    图7
  • 胆囊图8
    图8
标签:
0
×参考诊断
慢性胆囊炎 腺体中度不典型增生

太阳雨 离线

帖子:91
粉蓝豆:6
经验:99
注册时间:2010-04-07
加关注  |  发消息
1 楼    发表于2010-04-14 10:11:00举报|引用
返回顶部 | 快捷回复
   腺癌,像是粘液腺癌,不知在显微镜下粘液是否明显.
0
回复
signature
自助者天助

红脸汉 离线

帖子:101
粉蓝豆:16
经验:429
注册时间:2010-03-03
加关注  |  发消息
2 楼    发表于2010-04-14 10:19:00举报|引用
返回顶部 | 快捷回复
 腺体重度异型增生(注意有无明确浸润)
0
回复

mcwlgy 离线

帖子:429
粉蓝豆:4
经验:433
注册时间:2009-10-28
加关注  |  发消息
3 楼    发表于2010-04-14 11:48:00举报|引用
返回顶部 | 快捷回复
 在粘膜层,1、2图在粘膜浅肌层。未见明显浸润。
0
回复

xuleaf 离线

帖子:457
粉蓝豆:20
经验:711
注册时间:2010-04-09
加关注  |  发消息
4 楼    发表于2010-04-14 20:03:00举报|引用
返回顶部 | 快捷回复
本帖最后由 于 2010-04-14 21:49:00 编辑

无明显浸润,诊断癌证据不足。

考虑慢性胆囊炎,局部腺体中重度不典型增生

0
回复
signature

每个人都有潜在的能量,只是很容易:被习惯所掩盖,被时间所迷离,被惰性所消磨.

kele324 离线

帖子:1422
粉蓝豆:2164
经验:2426
注册时间:2008-01-31
加关注  |  发消息
5 楼    发表于2010-04-14 20:30:00举报|引用
返回顶部 | 快捷回复
 慢性胆囊炎
0
回复

宁静致远 离线

帖子:4242
粉蓝豆:2853
经验:6556
注册时间:2007-03-27
加关注  |  发消息
6 楼    发表于2010-04-14 20:45:00举报|引用
返回顶部 | 快捷回复
 诊断癌证据不足。慢性胆囊炎 腺体中度不典型增生
0
回复

海上明月 离线

帖子:9476
粉蓝豆:1172
经验:10007
注册时间:2009-08-29
加关注  |  发消息
7 楼    发表于2010-04-14 20:54:00举报|引用
返回顶部 | 快捷回复
本帖最后由 于 2010-04-15 17:48:00 编辑

 局部见腺体中度不典型增生。标记P53和增殖活性(Ki-67) 。

图1和2够不上浸润,因为这样的腺体似是因炎症而陷入的,类似于腺肌症。

0
回复
signature
王军臣

栀子花Da 离线

帖子:176
粉蓝豆:1
经验:413
注册时间:2009-07-21
加关注  |  发消息
8 楼    发表于2010-04-14 21:56:00举报|引用
返回顶部 | 快捷回复
 不够癌,不典型增生-中度
0
回复
回复:8 阅读:1638
共1页/8条首页上一页1下一页尾页
【免责声明】讨论内容仅作学术交流之用,不作为诊疗依据,由此而引起的法律问题作者及本站不承担任何责任。
快速回复
进入高级回复
您最多可输入10000个汉字,按 "Ctrl" + "Enter" 直接发送
搜索回复/乘电梯 ×
按内容
按会员
乘电梯
合作伙伴
友情链接
Baidu
map