共1页/7条首页上一页1下一页尾页
回复:7 阅读:2750
肱骨病理性骨折

chenkf 离线

帖子:230
粉蓝豆:1868
经验:429
注册时间:2007-06-19
加关注  |  发消息
楼主 发表于 2010-04-19 18:21|举报|关注(0)
浏览排序[ 顺序 逆序 楼主 支持 精彩 ]  快捷回复
姓    名: ××× 性别:   年龄:  
标本名称:  
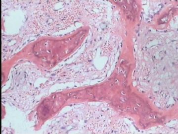
简要病史: 男,20岁。用力甩手致骨折。X线:左肱骨骨干稍隆起,内呈不规则透亮区,骨皮质变薄。术中见骨皮质变薄,其内仅剩空腔,黄红色肉芽填充。镜下为纤维肉芽组织伴出血,局灶见含铁血黄素沉着,诊断什么名称比较合适?
肉眼检查:  
  • 肱骨病理性骨折图1
    图1
  • 肱骨病理性骨折图2
    图2
  • 肱骨病理性骨折图3
    图3
  • 肱骨病理性骨折图4
    图4
  • 肱骨病理性骨折图5
    图5
  • 肱骨病理性骨折图6
    图6
标签:
0
添加参考诊断
×参考诊断
  

草原 离线

帖子:1302
粉蓝豆:1713
经验:6166
注册时间:2008-06-28
加关注  |  发消息
1 楼    发表于2010-08-28 08:34:00举报|引用
返回顶部 | 快捷回复
 骨纤维结构不良?
0
回复
signature
Stop walking today and you'll have to run tomorrow.

dama0609 离线

帖子:613
粉蓝豆:1474
经验:708
注册时间:2008-09-08
加关注  |  发消息
2 楼    发表于2010-08-28 21:02:00举报|引用
返回顶部 | 快捷回复
“ 骨纤维结构不良”不是要求在“胫骨”的吗?记不太清了!
0
回复
signature
过河小马!

去年夏天0315 离线

帖子:7
粉蓝豆:41
经验:8
注册时间:2014-09-17
加关注  |  发消息
3 楼    发表于2014-09-17 20:18:24举报|引用
返回顶部 | 快捷回复

 是动脉瘤样骨囊肿吧。如果是骨纤维异常增殖症的话,髓腔的切面是灰白色,磨砂玻璃样。本例的髓腔为黄色纤维肉芽组织伴出血

0
回复

去年夏天0315 离线

帖子:7
粉蓝豆:41
经验:8
注册时间:2014-09-17
加关注  |  发消息
4 楼    发表于2014-09-17 20:19:01举报|引用
返回顶部 | 快捷回复

 不符合骨纤维异常增殖症

0
回复

诺贝儿 离线

帖子:1045
粉蓝豆:0
经验:1856
注册时间:2007-10-12
加关注  |  发消息
5 楼    发表于2014-09-18 07:36:39举报|引用
返回顶部 | 快捷回复
本帖最后由 诺贝儿 于 2014-09-18 17:16:11 编辑

看看影像学资料再说

0
回复
signature
人如其名

wxg618 离线

帖子:540
粉蓝豆:19
经验:614
注册时间:2014-04-09
加关注  |  发消息
6 楼    发表于2014-09-18 16:22:23举报|引用
返回顶部 | 快捷回复

 炎症继发改变可能的。

1

诺贝儿
回复

诺贝儿 离线

帖子:1045
粉蓝豆:0
经验:1856
注册时间:2007-10-12
加关注  |  发消息
7 楼    发表于2014-09-18 17:15:18举报|引用
返回顶部 | 快捷回复
本帖最后由 诺贝儿 于 2014-09-18 17:19:11 编辑

 看看X光片再说。怎么甩个手,就骨折了。

0
回复
signature
人如其名
回复:7 阅读:2750
共1页/7条首页上一页1下一页尾页
【免责声明】讨论内容仅作学术交流之用,不作为诊疗依据,由此而引起的法律问题作者及本站不承担任何责任。
快速回复
进入高级回复
您最多可输入10000个汉字,按 "Ctrl" + "Enter" 直接发送
搜索回复/乘电梯 ×
按内容
按会员
乘电梯
合作伙伴
友情链接
Baidu
map