共1页/8条首页上一页1下一页尾页
回复:8 阅读:1315
请教,此例怎样报告?急.

逍遥游 离线

帖子:158
粉蓝豆:280
经验:1029
注册时间:2010-04-27
加关注  |  发消息
楼主 发表于 2010-05-13 10:23|举报|关注(0)
浏览排序[ 顺序 逆序 楼主 支持 精彩 ]  快捷回复
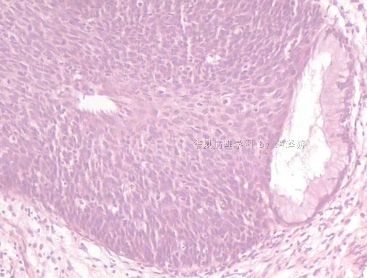
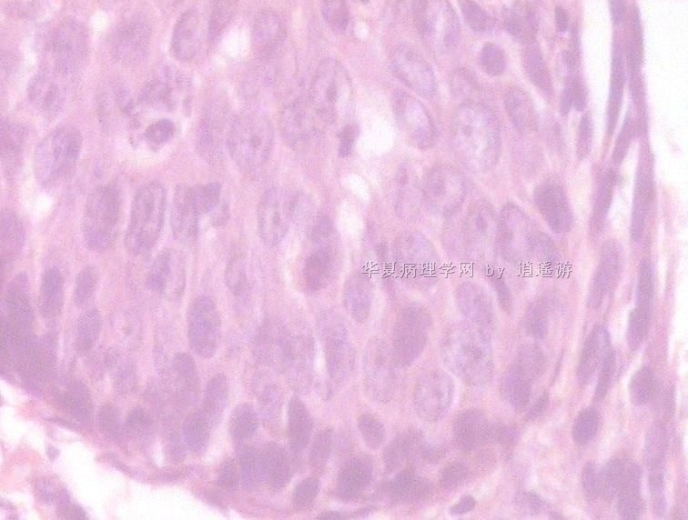
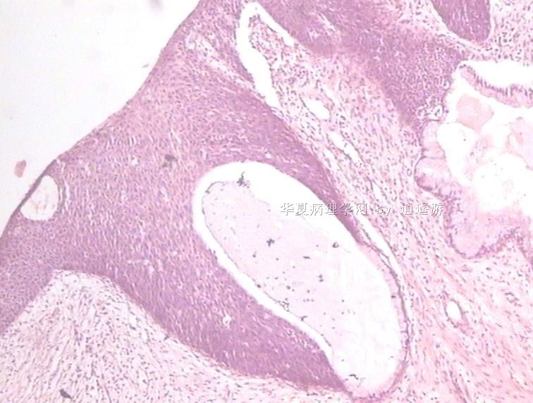
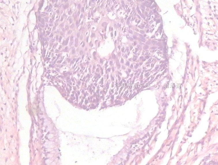
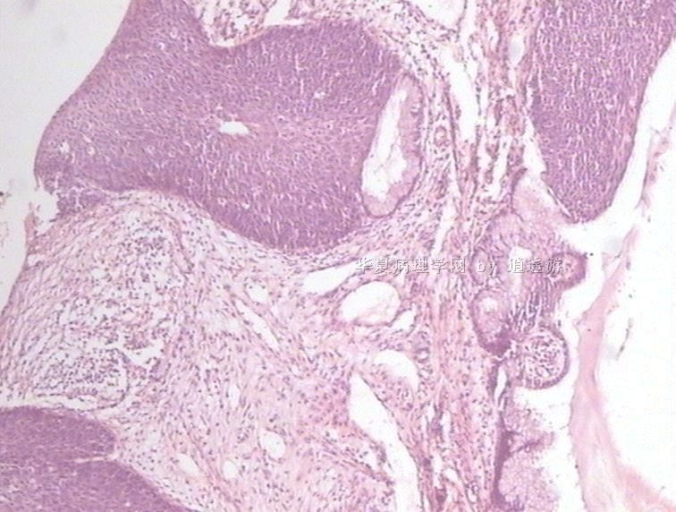
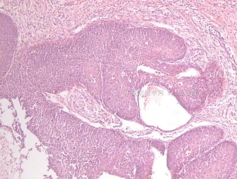
姓    名: ××× 性别:  女 年龄:  40
标本名称:  宫颈leep环切术切除组织
简要病史:  宫颈Ⅲ度糜烂
肉眼检查:  

图1、2,10×,图3-6,4×,图7、8,40×

设备不够好,图像较模糊。

  • 请教,此例怎样报告?急.图1
    图1
  • 请教,此例怎样报告?急.图2
    图2
  • 请教,此例怎样报告?急.图3
    图3
  • 请教,此例怎样报告?急.图4
    图4
  • 请教,此例怎样报告?急.图5
    图5
  • 请教,此例怎样报告?急.图6
    图6
  • 请教,此例怎样报告?急.图7
    图7
  • 请教,此例怎样报告?急.图8
    图8
标签:
0
添加参考诊断
×参考诊断
  

linyguo 离线

帖子:2365
粉蓝豆:43
经验:2514
注册时间:2009-08-09
加关注  |  发消息
1 楼    发表于2010-05-13 11:15:00举报|引用
返回顶部 | 快捷回复
 CIN3级累腺。
0
回复

skyliutong 离线

帖子:497
粉蓝豆:189
经验:878
注册时间:2009-02-14
加关注  |  发消息
2 楼    发表于2010-05-13 12:02:00举报|引用
返回顶部 | 快捷回复

多看看是否有浸润,以及切缘。

0
回复
signature
天亮了

一了 离线

帖子:2138
粉蓝豆:64
经验:2288
注册时间:2009-03-31
加关注  |  发消息
3 楼    发表于2010-05-13 19:16:00举报|引用
返回顶部 | 快捷回复
 CIN3级累腺,切缘是否干净?
0
回复

蓝天白云流水 离线

帖子:487
粉蓝豆:375
经验:631
注册时间:2007-06-07
加关注  |  发消息
4 楼    发表于2010-05-13 19:37:00举报|引用
返回顶部 | 快捷回复
     CIN3级累腺
0
回复

逍遥游 离线

帖子:158
粉蓝豆:280
经验:1029
注册时间:2010-04-27
加关注  |  发消息
5 楼    发表于2010-05-13 21:36:00举报|引用
返回顶部 | 快捷回复
 未见到浸润,但边缘看起来未切净。
0
回复

海上明月 离线

帖子:9476
粉蓝豆:1172
经验:10007
注册时间:2009-08-29
加关注  |  发消息
6 楼    发表于2010-05-14 19:16:00举报|引用
返回顶部 | 快捷回复
以下是引用linyguo在2010-5-13 11:15:00的发言:

 CIN3级累腺。

 同意.

很典型的.

0
回复
signature
王军臣

panyihai 离线

帖子:264
粉蓝豆:10
经验:322
注册时间:2007-01-19
加关注  |  发消息
7 楼    发表于2010-05-14 19:26:00举报|引用
返回顶部 | 快捷回复
以下是引用linyguo在2010-5-13 11:15:00的发言:

 CIN3级累腺。

0
回复

pxl1025 离线

帖子:87
粉蓝豆:22
经验:91
注册时间:2008-04-22
加关注  |  发消息
8 楼    发表于2010-05-15 15:50:00举报|引用
返回顶部 | 快捷回复
 CIN3级累腺。
0
回复
回复:8 阅读:1315
共1页/8条首页上一页1下一页尾页
【免责声明】讨论内容仅作学术交流之用,不作为诊疗依据,由此而引起的法律问题作者及本站不承担任何责任。
快速回复
进入高级回复
您最多可输入10000个汉字,按 "Ctrl" + "Enter" 直接发送
搜索回复/乘电梯 ×
按内容
按会员
乘电梯
合作伙伴
友情链接
Baidu
map