共1页/5条首页上一页1下一页尾页
回复:5 阅读:2360
腺鳞癌?

ywl 离线

帖子:178
粉蓝豆:12
经验:613
注册时间:2007-02-11
加关注  |  发消息
楼主 发表于 2010-05-13 10:44|举报|关注(0)
浏览排序[ 顺序 逆序 楼主 支持 精彩 ]  快捷回复
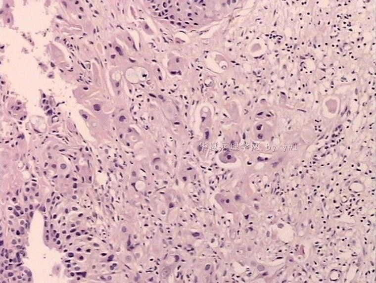
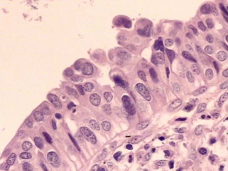
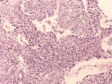
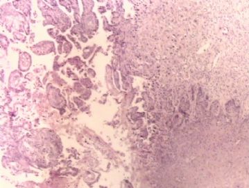
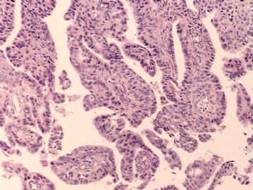
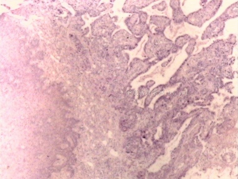
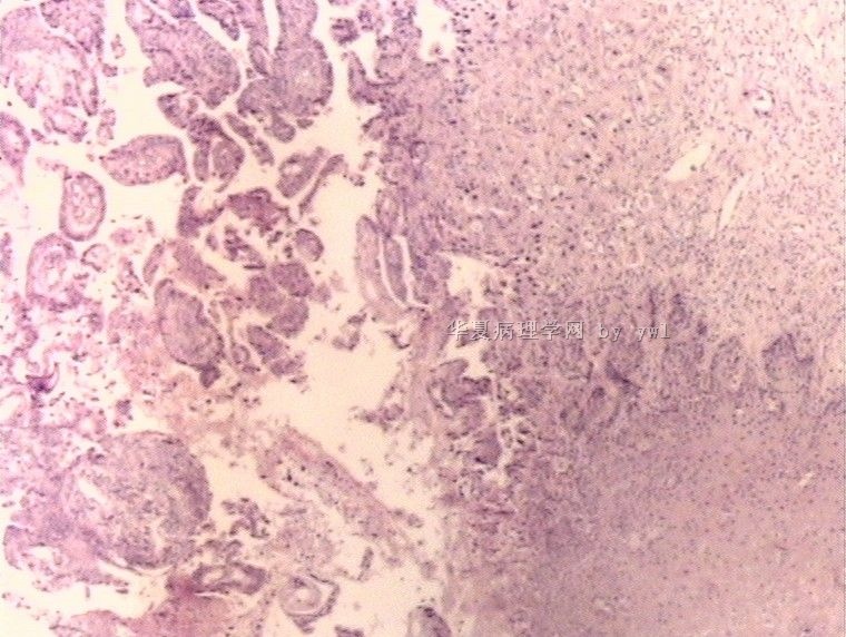
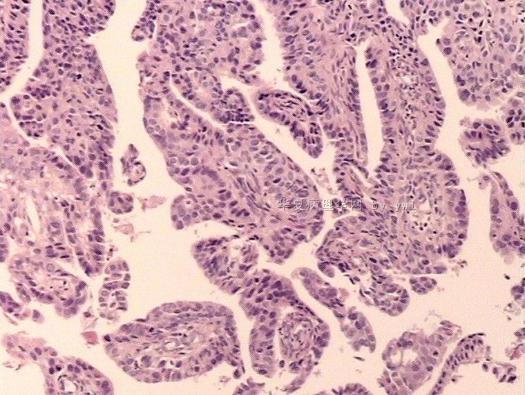
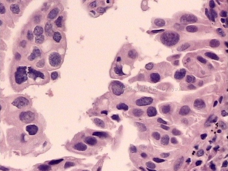
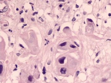
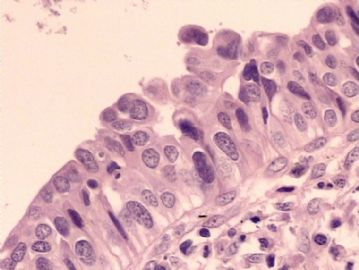
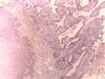
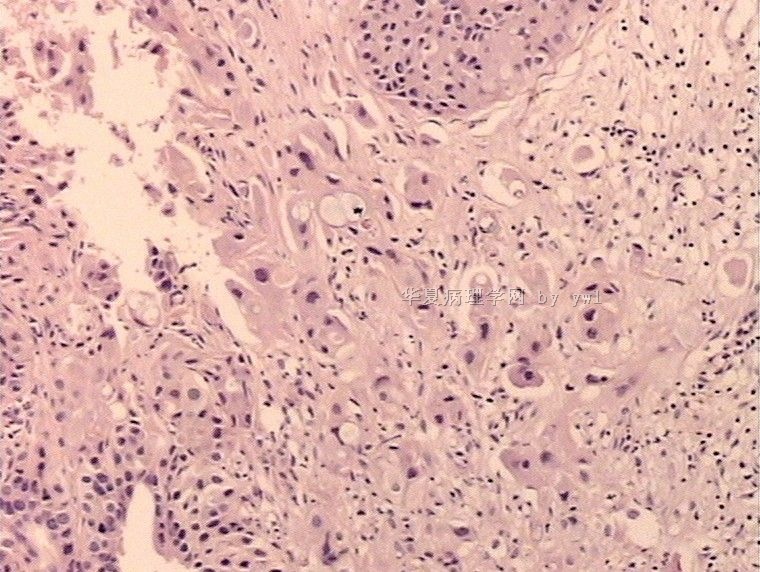
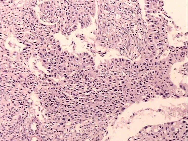
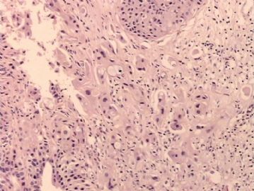
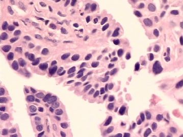
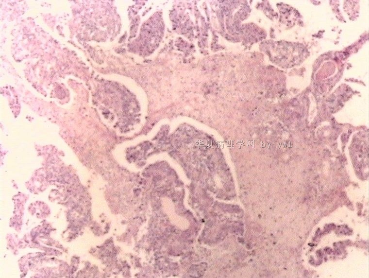
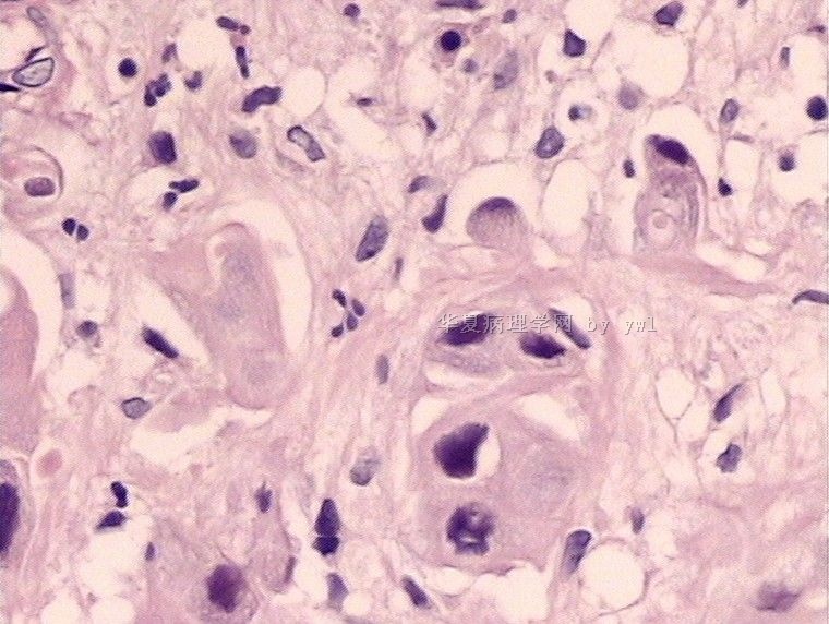
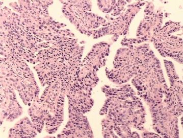
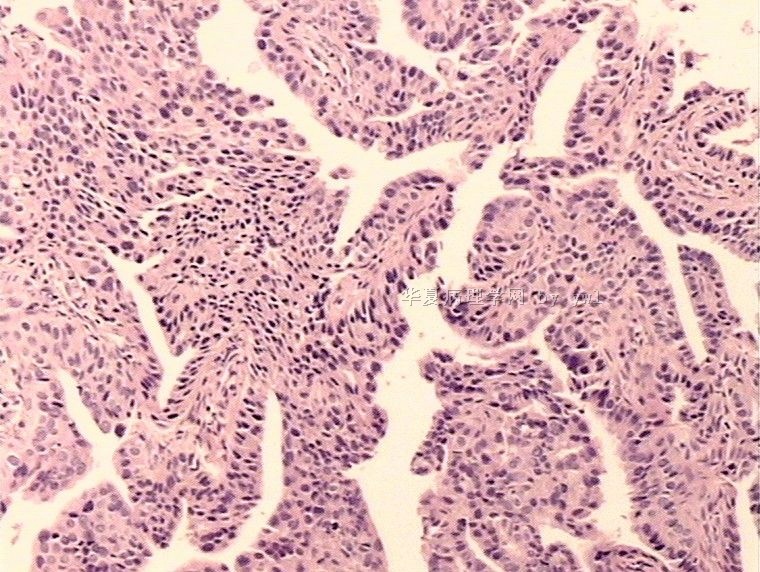
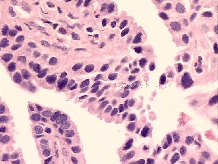
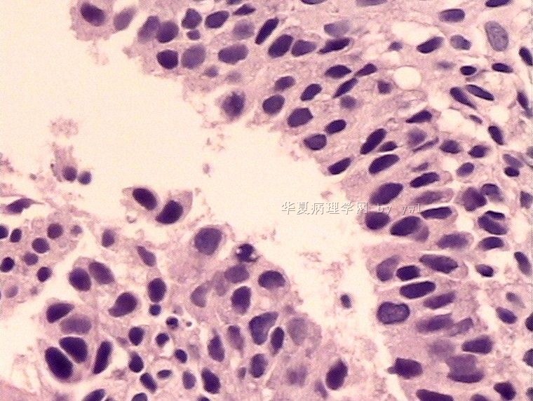
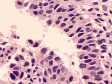
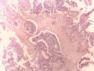
姓    名: ××× 性别:   年龄:  39岁
标本名称:  宫颈活检
简要病史:  同房出血3次,tct HSIL
肉眼检查:  

考虑:原位腺癌,小灶性区域有鳞状上皮向间质内浸润,考虑有鳞状细胞癌结构。

  请您诊断!

  • 腺鳞癌?图1
    图1
  • 腺鳞癌?图2
    图2
  • 腺鳞癌?图3
    图3
  • 腺鳞癌?图4
    图4
  • 腺鳞癌?图5
    图5
  • 腺鳞癌?图6
    图6
  • 腺鳞癌?图7
    图7
  • 腺鳞癌?图8
    图8
  • 腺鳞癌?图9
    图9
  • 腺鳞癌?图10
    图10
  • 腺鳞癌?图11
    图11
  • 腺鳞癌?图12
    图12
  • 腺鳞癌?图13
    图13
标签:
0
添加参考诊断
×参考诊断
  

linyguo 离线

帖子:2365
粉蓝豆:43
经验:2514
注册时间:2009-08-09
加关注  |  发消息
1 楼    发表于2010-05-13 11:31:00举报|引用
返回顶部 | 快捷回复
 考虑腺癌,局灶性浸润。
0
回复

skyliutong 离线

帖子:497
粉蓝豆:189
经验:878
注册时间:2009-02-14
加关注  |  发消息
2 楼    发表于2010-05-13 12:14:00举报|引用
返回顶部 | 快捷回复
以下是引用linyguo在2010-5-13 11:31:00的发言:

 考虑腺癌,局灶性浸润。

0
回复
signature
天亮了

一了 离线

帖子:2138
粉蓝豆:64
经验:2288
注册时间:2009-03-31
加关注  |  发消息
3 楼    发表于2010-05-13 19:11:00举报|引用
返回顶部 | 快捷回复
以下是引用linyguo在2010-5-13 11:31:00的发言:

 考虑腺癌,局灶性浸润。

0
回复

翠枫红叶 离线

帖子:13
粉蓝豆:1
经验:13
注册时间:2009-05-03
加关注  |  发消息
4 楼    发表于2010-05-15 15:15:00举报|引用
返回顶部 | 快捷回复
 腺癌,普通型
0
回复

xiaogang 离线

帖子:5664
粉蓝豆:48
经验:6068
注册时间:2008-12-18
加关注  |  发消息
5 楼    发表于2010-05-17 13:08:00举报|引用
返回顶部 | 快捷回复
以下是引用linyguo在2010-5-13 11:31:00的发言:

 考虑腺癌,局灶性浸润。

0
回复
回复:5 阅读:2360
共1页/5条首页上一页1下一页尾页
【免责声明】讨论内容仅作学术交流之用,不作为诊疗依据,由此而引起的法律问题作者及本站不承担任何责任。
快速回复
进入高级回复
您最多可输入10000个汉字,按 "Ctrl" + "Enter" 直接发送
搜索回复/乘电梯 ×
按内容
按会员
乘电梯
合作伙伴
友情链接
Baidu
map