共1页/13条首页上一页1下一页尾页
回复:13 阅读:2257
肾囊性占位

倾心 离线

帖子:273
粉蓝豆:53
经验:465
注册时间:2008-06-16
加关注  |  发消息
楼主 发表于 2010-05-26 14:21|举报|关注(0)
浏览排序[ 顺序 逆序 楼主 支持 精彩 ]  快捷回复
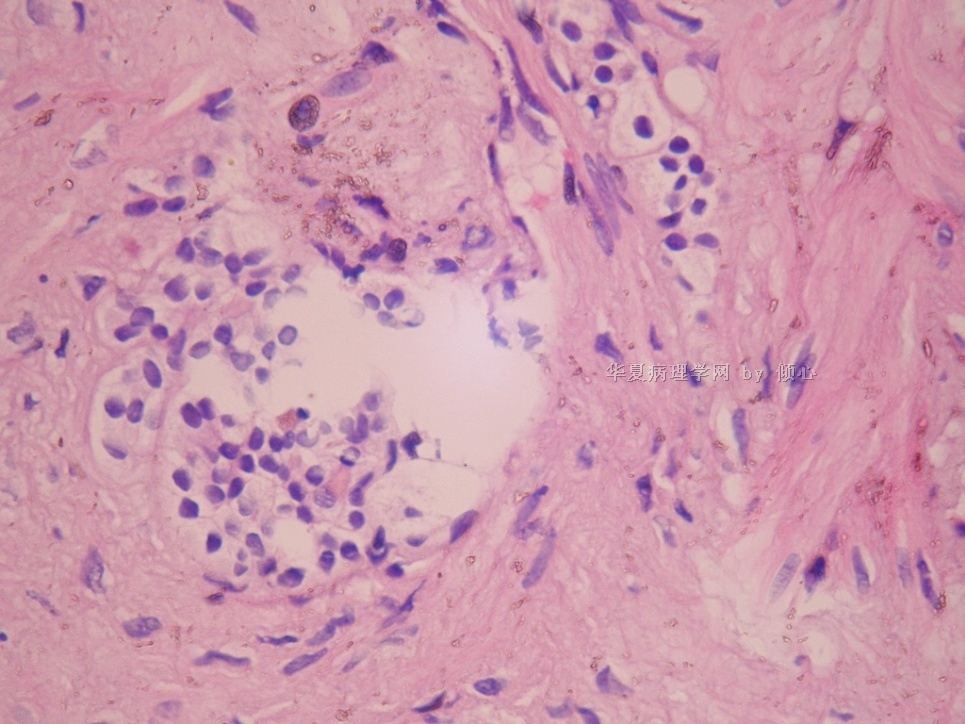
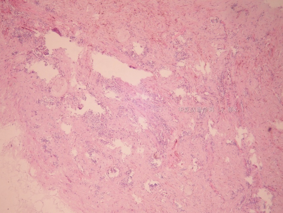
姓    名: ××× 性别:  女 年龄:  41岁
标本名称:  肾微创手术标本,囊壁样组织
简要病史:  体检发现左肾囊肿
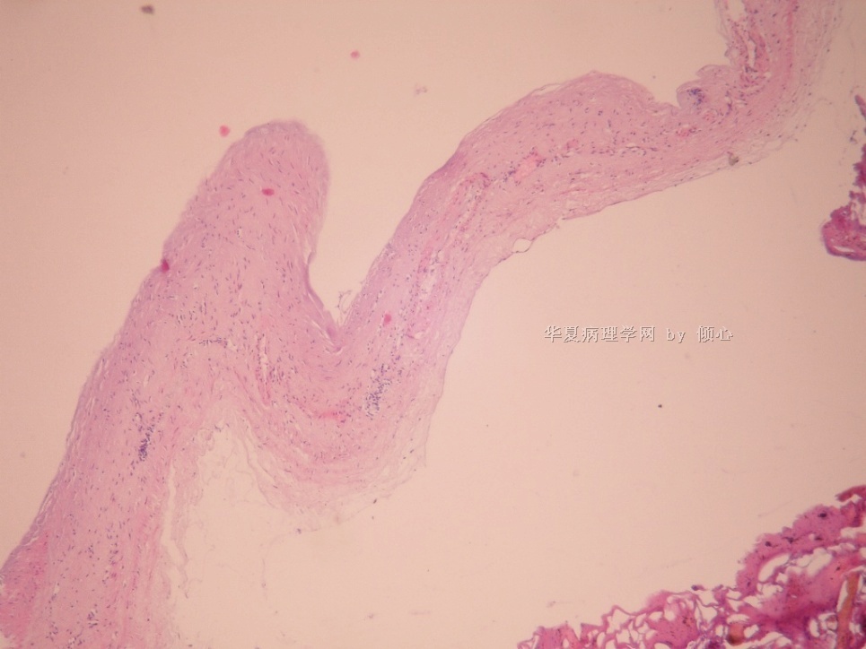
肉眼检查:  囊壁样物  5*3*0.2cm一堆,囊壁后0.1cm囊壁粉白色,内容未见,未见明显实性区。

手术所见:在左肾上极内上方见囊肿,大小约7.0×7.0cm,游离囊肿,表面筋膜及脂肪组织,切开囊肿,吸出囊液,囊液无色透明,以超声刀沿正常肾皮质边缘切除囊壁(术式:经后腹膜腔途径,腹腔镜下左肾囊肿去顶减压术)。

  • 肾囊性占位图1
    图1
  • 肾囊性占位图2
    图2
  • 肾囊性占位图3
    图3
  • 肾囊性占位图4
    图4
  • 肾囊性占位图5
    图5
  • 肾囊性占位图6
    图6
  • 肾囊性占位图7
    图7
  • 肾囊性占位图8
    图8
  • 肾囊性占位图9
    图9
标签:
本帖最后由 于 2010-05-26 14:29:00 编辑
0
signature
耿敬姝
添加参考诊断
×参考诊断
  

海上明月 离线

帖子:9476
粉蓝豆:1172
经验:10007
注册时间:2009-08-29
加关注  |  发消息
1 楼    发表于2010-05-26 19:29:00举报|引用
返回顶部 | 快捷回复

 肾上腺囊肿。

真性肾上腺囊肿少见,可能来自间皮。一般不是真性的。

两种变型;

1)脉管性囊肿:内皮衬覆腔面,含浆液性液体,囊壁常见肾上腺皮质成分;

2)假性囊肿(出血性囊肿):无内皮衬覆,含血凝块,纤维性囊壁外可有少量肾上腺皮质成分。

0
回复
signature
王军臣

倾心 离线

帖子:273
粉蓝豆:53
经验:465
注册时间:2008-06-16
加关注  |  发消息
2 楼    发表于2010-05-26 20:12:00举报|引用
返回顶部 | 快捷回复
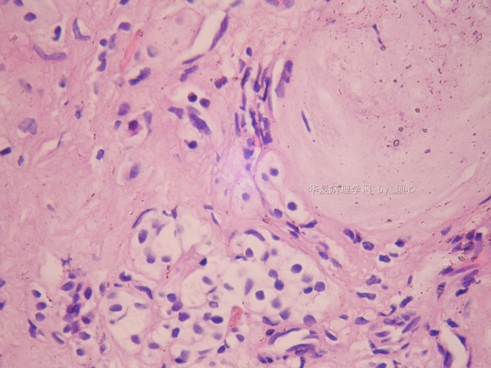
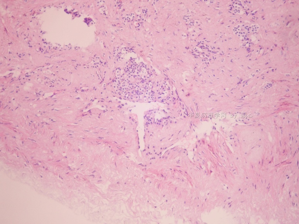
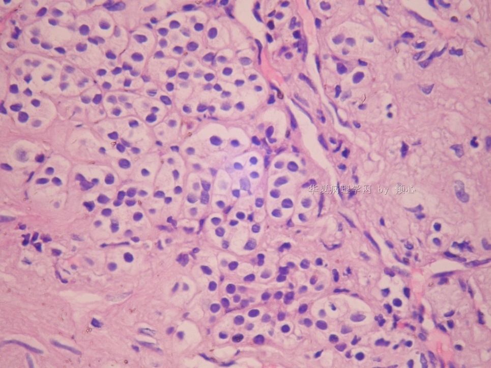
本帖最后由 于 2010-05-26 20:13:00 编辑  在左肾上极内见囊肿 ,这些透亮细胞在囊壁内。
0
回复
signature
耿敬姝

lantian0508 离线

帖子:1250
粉蓝豆:42
经验:1495
注册时间:2007-08-01
加关注  |  发消息
3 楼    发表于2010-05-26 20:38:00举报|引用
返回顶部 | 快捷回复
 如何与囊性肾细胞癌鉴别?
0
回复

海上明月 离线

帖子:9476
粉蓝豆:1172
经验:10007
注册时间:2009-08-29
加关注  |  发消息
4 楼    发表于2010-05-27 02:26:00举报|引用
返回顶部 | 快捷回复
以下是引用lantian0508在2010-5-26 20:38:00的发言:

 如何与囊性肾细胞癌鉴别?

同意与囊性肾细胞癌鉴别。
0
回复
signature
王军臣

海上明月 离线

帖子:9476
粉蓝豆:1172
经验:10007
注册时间:2009-08-29
加关注  |  发消息
5 楼    发表于2010-05-27 02:28:00举报|引用
返回顶部 | 快捷回复
以下是引用倾心在2010-5-26 20:12:00的发言:

 在左肾上极内见囊肿 ,这些透亮细胞在囊壁内。

可是,这是比较典型的肾上腺皮质细胞,不大像肾透明细胞癌的细胞。与之鉴别还是有必要的。需做IHC标记。

              

1

xyb
回复
signature
王军臣

倾心 离线

帖子:273
粉蓝豆:53
经验:465
注册时间:2008-06-16
加关注  |  发消息
6 楼    发表于2010-05-27 07:45:00举报|引用
返回顶部 | 快捷回复
本帖最后由 于 2010-05-27 07:51:00 编辑

 IHC广谱CK阳性,vimentin,RCC,CD10,CD68均阴性。

以下的图像是CK,取下的组织并不多,很少量的透亮细胞位于纤维性的囊壁内。需要鉴别的是残留的肾小管和囊性肾细胞癌。


名称:图1
描述:图1

名称:图2
描述:图2

名称:图3
描述:图3

名称:图4
描述:图4

名称:图5
描述:图5
0
回复
signature
耿敬姝

wang4160 离线

帖子:2256
粉蓝豆:16
经验:2617
注册时间:2007-01-31
加关注  |  发消息
7 楼    发表于2010-05-27 09:14:00举报|引用
返回顶部 | 快捷回复
本帖最后由 于 2010-05-27 09:15:00 编辑
以下是引用海上明月在2010-5-27 2:28:00的发言:

以下是引用倾心在2010-5-26 20:12:00的发言:

 在左肾上极内见囊肿 ,这些透亮细胞在囊壁内。

可是,这是比较典型的肾上腺皮质细胞,不大像肾透明细胞癌的细胞。与之鉴别还是有必要的。需做IHC标记。

              

支持!!!

但是临床资料显示在肾上极内上方,需要与临床进一步确认!

0
回复

贝贝 离线

帖子:851
粉蓝豆:15
经验:1510
注册时间:2007-11-23
加关注  |  发消息
8 楼    发表于2010-06-01 22:36:00举报|引用
返回顶部 | 快捷回复
 学习了
0
回复

fangg 离线

帖子:1426
粉蓝豆:44
经验:1863
注册时间:2007-01-22
加关注  |  发消息
9 楼    发表于2010-06-08 19:48:00举报|引用
返回顶部 | 快捷回复
本帖最后由 于 2010-06-08 19:48:00 编辑

 好病例!

如果这例送术中冷冻快速,临床又告诉你是肾内囊中。。。

0
回复
signature
境随心转

ilikefayewong 离线

帖子:53
粉蓝豆:1
经验:53
注册时间:2007-06-08
加关注  |  发消息
10 楼    发表于2010-06-25 08:40:00举报|引用
返回顶部 | 快捷回复
本帖最后由 于 2010-06-25 08:41:00 编辑  (接楼上的)然后病人以后就只能一个肾过下半辈子了   我考虑良性
0
回复

Lili0321 离线

帖子:255
粉蓝豆:4
经验:277
注册时间:2008-06-26
加关注  |  发消息
11 楼    发表于2010-06-25 20:22:00举报|引用
返回顶部 | 快捷回复
 囊壁无被覆透明细胞,纤维内的细胞巢有基底膜样物围绕,vimentin阴性,提示为萎缩的肾小管。冰冻时除非见到明显的被覆透明细胞,反之则请泌尿医师等石蜡。
0
回复

ahhbhzlin 离线

帖子:3090
粉蓝豆:50
经验:11826
注册时间:2008-07-24
加关注  |  发消息
12 楼    发表于2015-05-04 10:25:28举报|引用
返回顶部 | 快捷回复

考虑囊性肾细胞癌

0
回复

Lilin 离线

帖子:1161
粉蓝豆:1051
经验:3618
注册时间:2013-09-23
加关注  |  发消息
13 楼    发表于2015-05-04 13:10:02举报|引用
返回顶部 | 快捷回复

 囊性肾细胞癌?

0
回复
signature

min wang

回复:13 阅读:2257
共1页/13条首页上一页1下一页尾页
【免责声明】讨论内容仅作学术交流之用,不作为诊疗依据,由此而引起的法律问题作者及本站不承担任何责任。
快速回复
进入高级回复
您最多可输入10000个汉字,按 "Ctrl" + "Enter" 直接发送
搜索回复/乘电梯 ×
按内容
按会员
乘电梯
合作伙伴
友情链接
Baidu
map