| 图片: | |
|---|---|
| 名称: | |
| 描述: | |
| 姓 名: | ××× | 性别: | 女 | 年龄: | 60 |
| 标本名称: | 大网膜结节 | ||||
| 简要病史: | 腹痛三天,剖腹探查见大网膜,胃肠之间和肝表面有大小不等结节,取大网膜结节活检。 | ||||
| 肉眼检查: | 灰白色结节,3*3*4CM,切面灰白灰黄,质韧。 | ||||
IHC结果;
Wimentin(-)CKpan(+++)CK7(-)CK20(-)CgA(-)SYN(-)NSE(-)MC(++)Calretinin(++)CEA(-)EMA(+)
因我在外地出差,不能采集图片,抱歉!

学习描述:
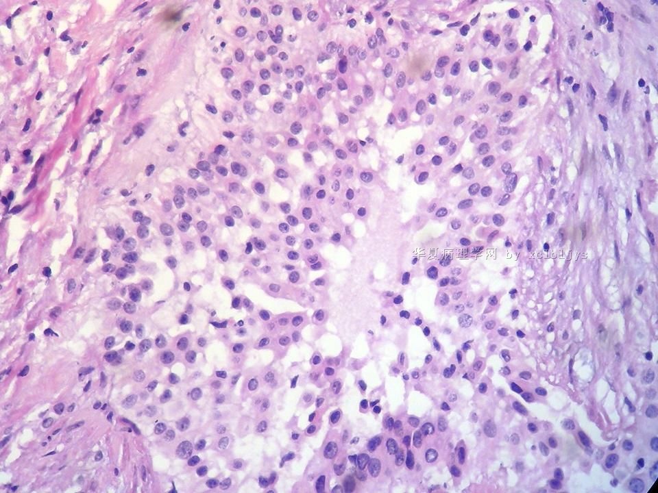
低倍可见纤维脂肪组织内不规则实体样细胞巢团,巢团边界较清晰但不规则、似为侵袭性生长模式。中高倍示部分巢团似有腺样分化构成的不规则裂隙样腺腔样结构、腺腔样结构内可见微乳头样结构(图7)。细胞学主要构成细胞为体积较小胞浆较少的上皮样细胞,大多胞浆红染可见少量透明胞浆细胞,细胞境界不清,胞核圆形卵圆形大小不一总体较小,可见核仁。
总体感觉为恶性小细胞性上皮样肿瘤的腹膜浸润灶,原发部位不明,也可能是腹膜原发,上皮、间皮、间叶、黑色素细胞起源都有可能。
结合病人老年女性及腹腔壁脏层腹膜的多发性病灶特点,问题:患者胃肠道情况?卵巢情况?
可能的来源推测:
腹膜恶性间皮瘤?消化道癌的腹膜种植性转移?卵巢癌的腹膜转移?腹膜原发的恶性黑色素瘤?间叶的上皮样细胞肉瘤?
倾向为间皮性肿瘤和转移性癌。
期待楼主和老师们的参与和后续报道。
yumaoqiu715 离线
谢谢楼主更新的免疫组化结果,期待相关图片的上传。
以下为Dr.XLJin提供相似病例,里面有相关肿瘤的诊断鉴别诊断要点和文献。
//www.ihuakong.com/forum/forum_display.asp?classcode=183&keyno=263095&pageno=2
就现有的组化结果和形态学:考虑为上皮样恶性间皮瘤(主要为实体型)。
还需继续学习间皮细胞增生和恶性间皮瘤的鉴别(细胞学、组织病理学、生物学行为及免疫组化)。
病人的相关工作和接触史资料很期待。
xfyz690524 离线