共1页/15条首页上一页1下一页尾页
回复:15 阅读:3781
B2778浸润性导管癌?

月儿弯弯123 离线

帖子:668
粉蓝豆:169
经验:851
注册时间:2010-07-25
加关注  |  发消息
楼主 发表于 2010-07-25 23:11|举报|关注(0)
浏览排序[ 顺序 逆序 楼主 支持 精彩 ]  快捷回复
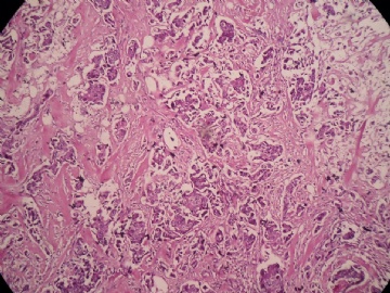
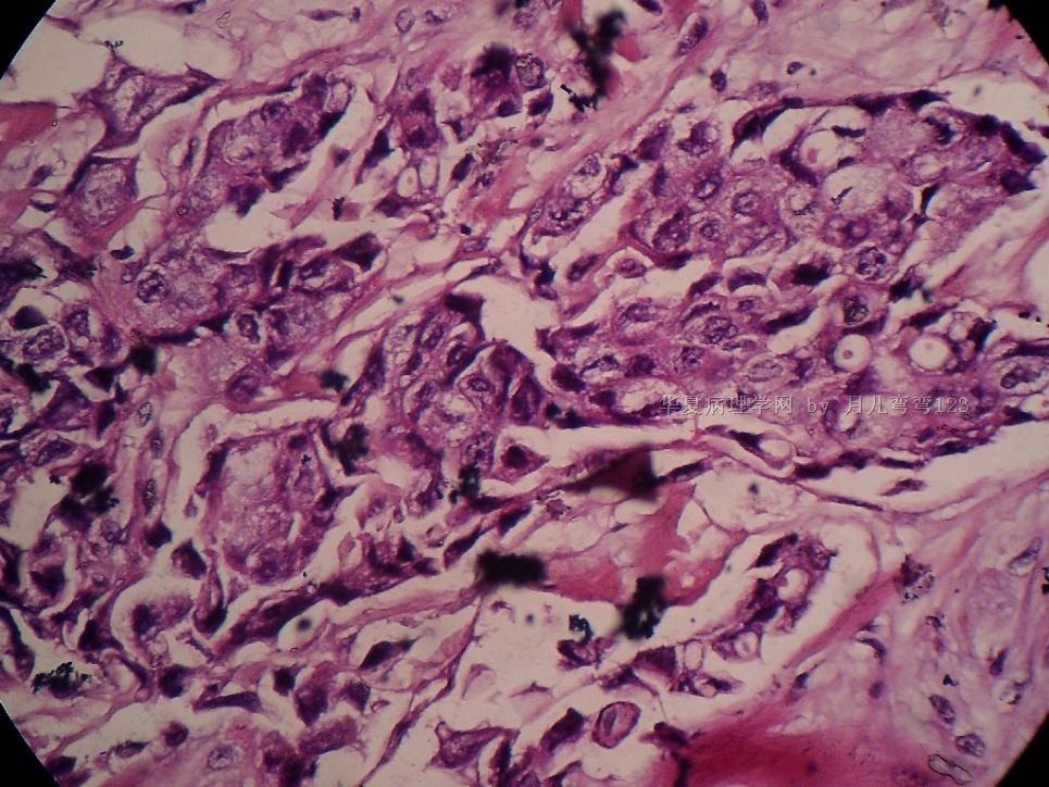
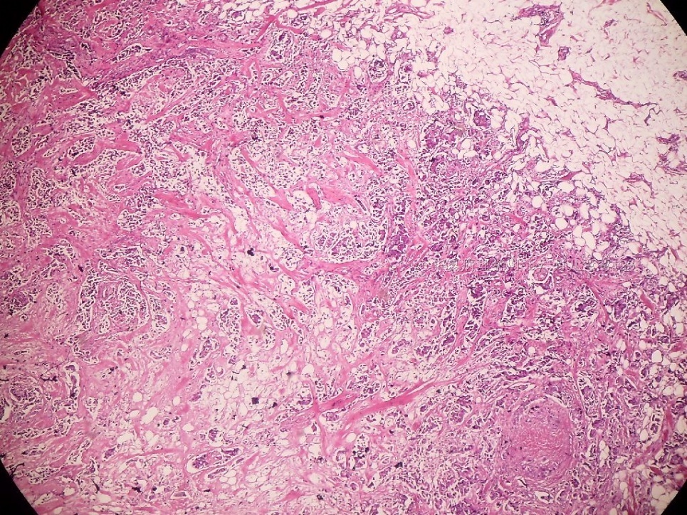
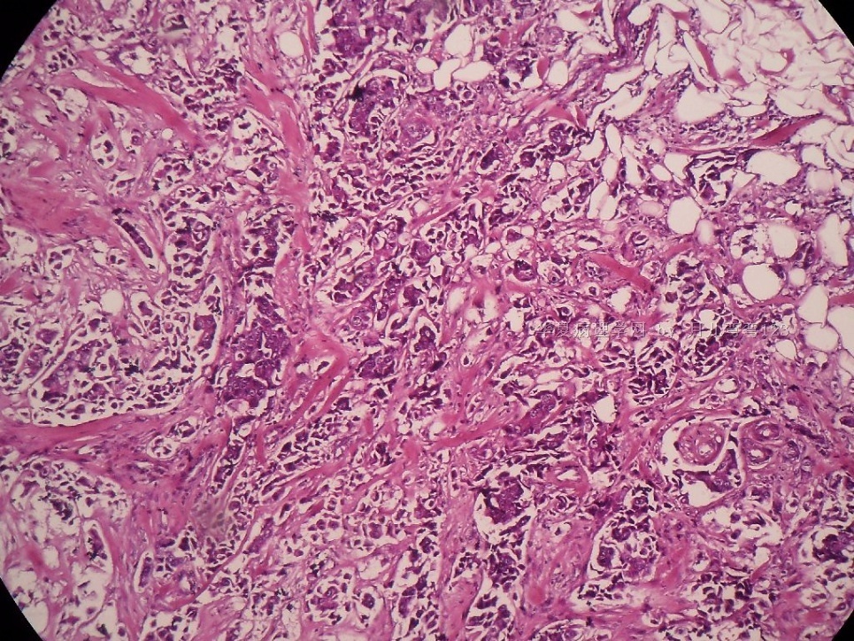
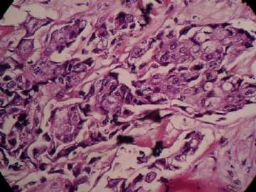
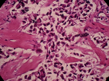
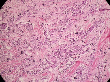
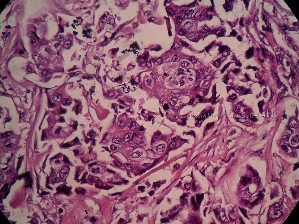
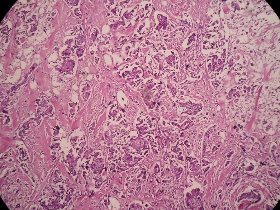
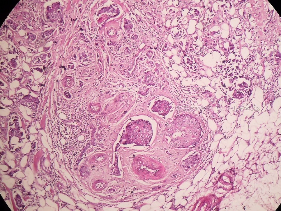
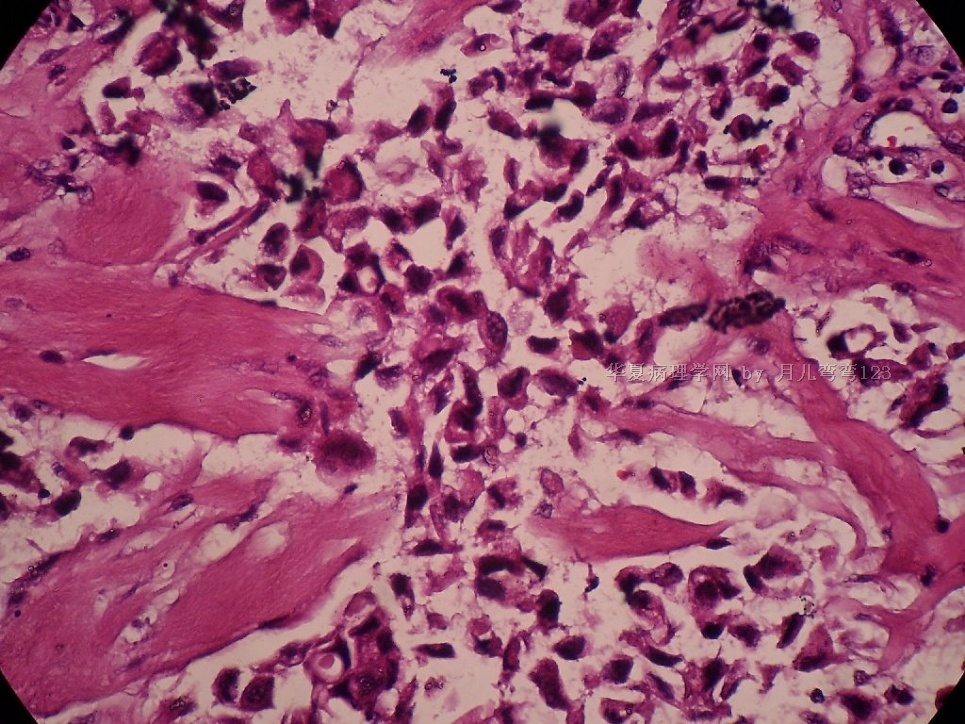
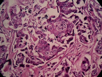
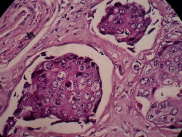
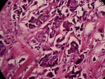
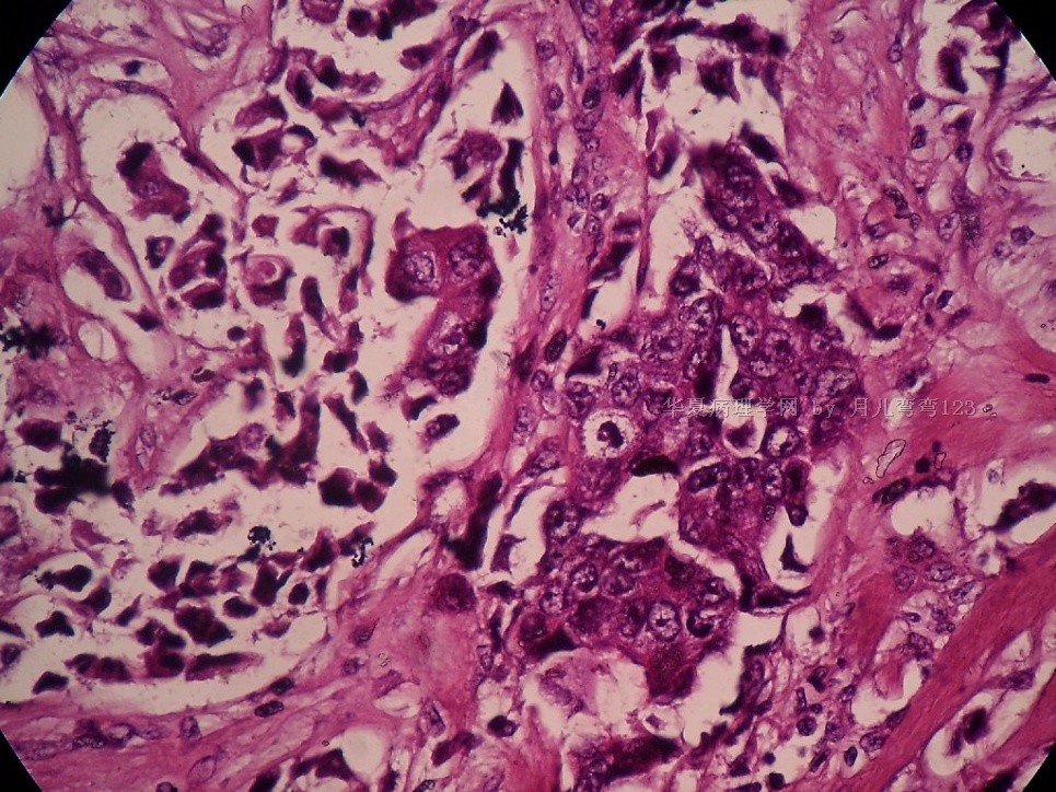
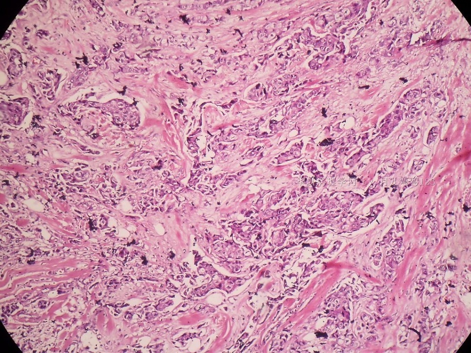
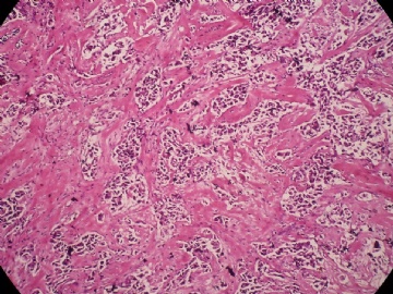
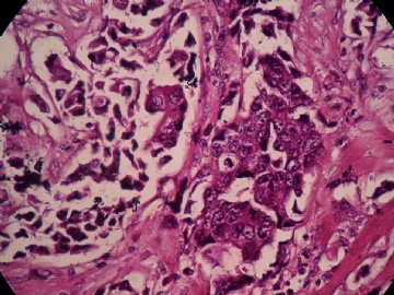
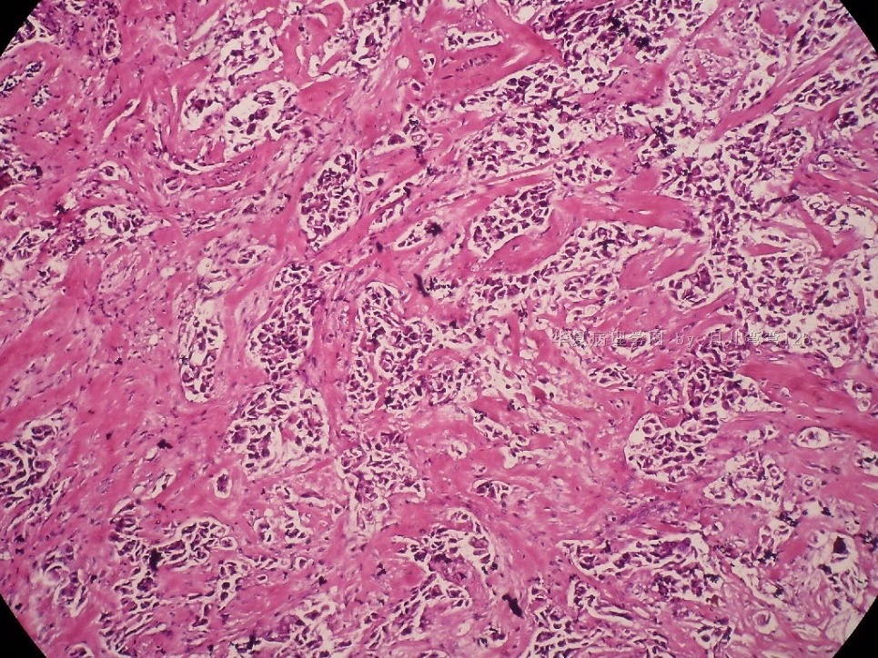
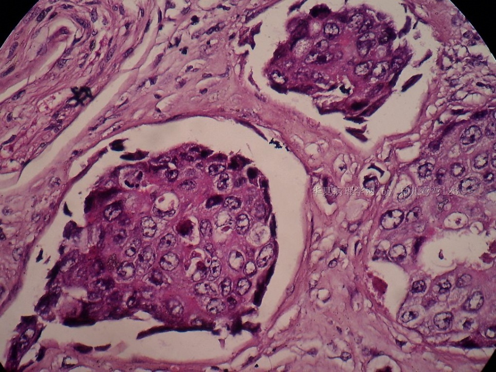
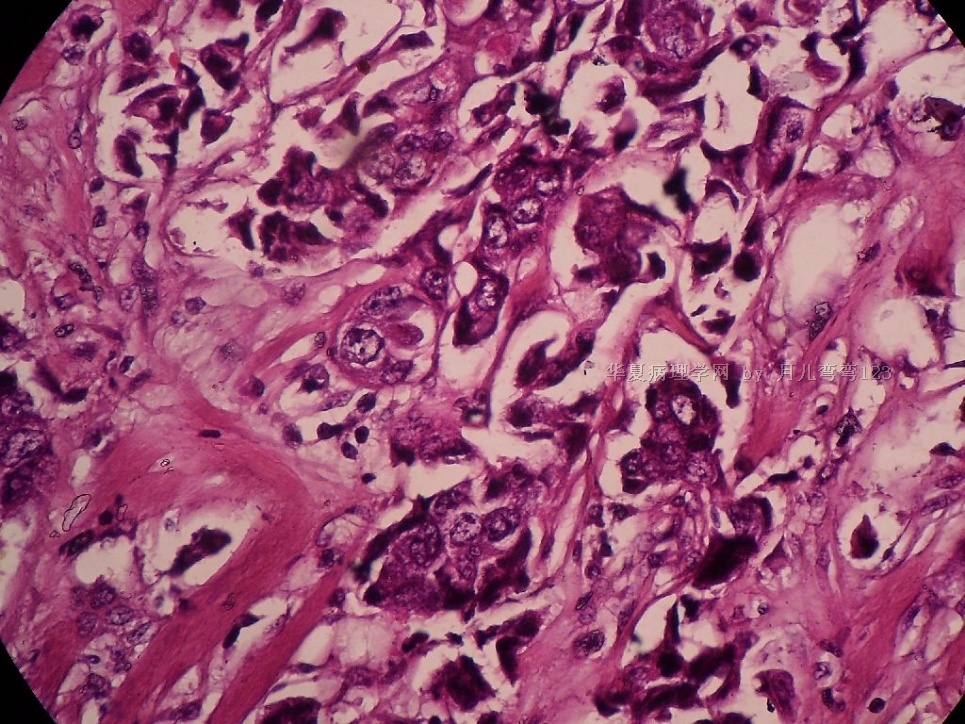
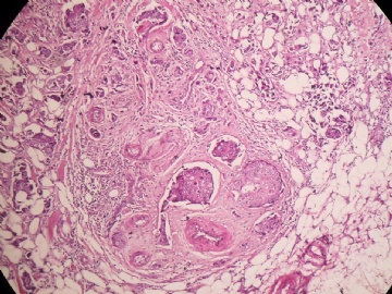
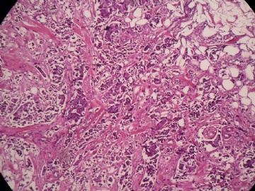
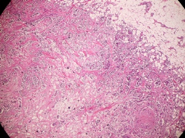
姓    名: ××× 性别:  女 年龄:  45
标本名称:  左侧近乳晕处肿物
简要病史:  患者描述有疼痛
肉眼检查:  肿物一个2.5*2*1厘米,切面灰白质地硬。
  • 浸润性导管癌?图1
    图1
  • 浸润性导管癌?图2
    图2
  • 浸润性导管癌?图3
    图3
  • 浸润性导管癌?图4
    图4
  • 浸润性导管癌?图5
    图5
  • 浸润性导管癌?图6
    图6
  • 浸润性导管癌?图7
    图7
  • 浸润性导管癌?图8
    图8
  • 浸润性导管癌?图9
    图9
  • 浸润性导管癌?图10
    图10
  • 浸润性导管癌?图11
    图11
  • 浸润性导管癌?图12
    图12
标签:乳腺浸润性导管癌
0
添加参考诊断
×参考诊断
  

abin 离线

帖子:7416
粉蓝豆:6014
经验:11787
注册时间:2006-10-08
加关注  |  发消息
1 楼    发表于2010-07-25 23:37:00举报|引用
返回顶部 | 快捷回复

 上皮样细胞,大部分粘附成团成巢,明显浸润。大部分细胞大,核级别高,少数图中见松散的小细胞。未见原位癌。

大细胞考虑浸润性导管癌(3级),小细胞要排除小叶癌。如果有条件请做免疫组化。

0
回复
signature

粉蓝医疗科技(杭州)有限公司/粉蓝医疗

为基层医院病理科提供全面解决方案,

努力让人人享有便捷准确可靠的病理诊断服务。


cqzhao 离线

帖子:5518
粉蓝豆:1071
经验:5755
注册时间:2008-09-29
加关注  |  发消息
2 楼    发表于2010-07-26 03:28:00举报|引用
返回顶部 | 快捷回复

Most likely it is INVASIVE DUCTAL CARCINOMA.

DO ER/PR/HER2 STAINS

0
回复

射手笑笑 离线

帖子:1495
粉蓝豆:187
经验:2536
注册时间:2009-05-29
加关注  |  发消息
3 楼    发表于2010-07-26 06:08:00举报|引用
返回顶部 | 快捷回复

 乳晕处好像有个乳头腺病

图像也是很可怕

怎么鉴别呢

0
回复
signature
人最幸福的一生是人生层次不断上升的一生…… 痛而不言是智慧,笑而不语是豁达……

小职员 离线

帖子:17
粉蓝豆:1
经验:20
注册时间:2009-11-07
加关注  |  发消息
4 楼    发表于2010-07-26 06:41:00举报|引用
返回顶部 | 快捷回复
以下是引用abin在2010-7-25 23:37:00的发言:

 上皮样细胞,大部分粘附成团成巢,明显浸润。大部分细胞大,核级别高,少数图中见松散的小细胞。未见原位癌。

大细胞考虑浸润性导管癌(3级),小细胞要排除小叶癌。如果有条件请做免疫组化。

0
回复

笃行者 离线

帖子:2689
粉蓝豆:59
经验:3020
注册时间:2006-10-04
加关注  |  发消息
5 楼    发表于2010-07-27 22:37:00举报|引用
返回顶部 | 快捷回复
 应该是浸润性导管癌,标本可能有部分自溶现象。
0
回复
signature
博学之,审问之,慎思之,明辨之,笃行之。

大海一栗 离线

帖子:1258
粉蓝豆:9
经验:1596
注册时间:2010-07-09
加关注  |  发消息
6 楼    发表于2010-07-27 23:34:00举报|引用
返回顶部 | 快捷回复
 浸润性导管癌
0
回复

CHENYINQIAO 离线

帖子:547
粉蓝豆:0
经验:593
注册时间:2010-07-20
加关注  |  发消息
7 楼    发表于2010-07-28 11:26:00举报|引用
返回顶部 | 快捷回复
 浸润性导管癌
0
回复

chouchou 离线

帖子:23
粉蓝豆:1
经验:32
注册时间:2010-07-07
加关注  |  发消息
8 楼    发表于2010-07-28 12:06:00举报|引用
返回顶部 | 快捷回复
 分化差的浸润性导管癌
0
回复

海上明月 离线

帖子:9476
粉蓝豆:1172
经验:10007
注册时间:2009-08-29
加关注  |  发消息
9 楼    发表于2010-07-28 18:12:00举报|引用
返回顶部 | 快捷回复
以下是引用cqzhao在2010-7-26 3:28:00的发言:

Most likely it is INVASIVE DUCTAL CARCINOMA.

DO ER/PR/HER2 STAINS

赵老师说:

倾向浸润性导管癌。

请做ER、PR、HER2标记。

0
回复
signature
王军臣

luofang 离线

帖子:2
粉蓝豆:1
经验:2
注册时间:2010-07-31
加关注  |  发消息
10 楼    发表于2010-07-31 22:01:00举报|引用
返回顶部 | 快捷回复
 请问  浸润性导管癌怎么治疗     后期有没有复发症      需要切除乳房吗
0
回复

abin 离线

帖子:7416
粉蓝豆:6014
经验:11787
注册时间:2006-10-08
加关注  |  发消息
11 楼    发表于2010-08-01 12:51:00举报|引用
返回顶部 | 快捷回复
以下是引用luofang在2010-7-31 22:01:00的发言:

 请问  浸润性导管癌怎么治疗     后期有没有复发症      需要切除乳房吗

“浸润性导管癌”根据肿瘤大小、临床分期、淋巴结情况、患者风险等很多因素,选择最恰当的治疗方式。有时需要患者与医生共同讨论,共同承担治疗风险和治疗收益。专业人士通常参考“乳腺癌NCCN指南”。

0
回复
signature

粉蓝医疗科技(杭州)有限公司/粉蓝医疗

为基层医院病理科提供全面解决方案,

努力让人人享有便捷准确可靠的病理诊断服务。


despair 离线

帖子:9
粉蓝豆:1
经验:9
注册时间:2010-07-28
加关注  |  发消息
12 楼    发表于2010-08-02 15:29:00举报|引用
返回顶部 | 快捷回复

 

浸润性导管癌

0
回复

xclbljys 离线

帖子:5253
粉蓝豆:224
经验:7005
注册时间:2008-11-21
加关注  |  发消息
13 楼    发表于2010-08-02 21:24:00举报|引用
返回顶部 | 快捷回复
 意见一致!
0
回复
signature
许春雷

xiaocaodi 离线

帖子:855
粉蓝豆:46
经验:1917
注册时间:2006-10-21
加关注  |  发消息
14 楼    发表于2010-08-02 22:22:00举报|引用
返回顶部 | 快捷回复
 浸润性导管癌
0
回复

huturen3 离线

帖子:162
粉蓝豆:2
经验:389
注册时间:2008-01-07
加关注  |  发消息
15 楼    发表于2010-08-03 15:38:00举报|引用
返回顶部 | 快捷回复
 浸润性导管癌
0
回复
回复:15 阅读:3781
共1页/15条首页上一页1下一页尾页
【免责声明】讨论内容仅作学术交流之用,不作为诊疗依据,由此而引起的法律问题作者及本站不承担任何责任。
快速回复
进入高级回复
您最多可输入10000个汉字,按 "Ctrl" + "Enter" 直接发送
搜索回复/乘电梯 ×
按内容
按会员
乘电梯
合作伙伴
友情链接
Baidu
map