共1页/9条首页上一页1下一页尾页
回复:9 阅读:1536
新 项目,请指教

ylanyu 离线

帖子:1
粉蓝豆:1
经验:1
注册时间:2010-10-24
加关注  |  发消息
楼主 发表于 2010-10-24 11:51|举报|关注(0)
浏览排序[ 顺序 逆序 楼主 支持 精彩 ]  快捷回复
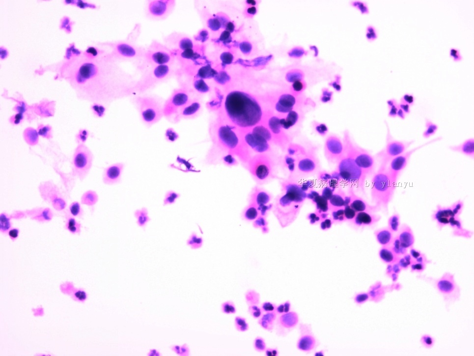
女,38岁,宫颈中度糜烂
  • 新 项目,请指教图1
    图1
标签:
0
添加参考诊断
×参考诊断
  

xiaogang 离线

帖子:5664
粉蓝豆:48
经验:6068
注册时间:2008-12-18
加关注  |  发消息
1 楼    发表于2010-10-24 11:54:00举报|引用
返回顶部 | 快捷回复
 仅一图,不能诊断,只能说这是炎性反应。
0
回复

李炜 离线

帖子:263
粉蓝豆:14
经验:680
注册时间:2010-10-16
加关注  |  发消息
2 楼    发表于2010-10-24 21:43:00举报|引用
返回顶部 | 快捷回复
 不好诊断
0
回复

有福不在忙 离线

帖子:2161
粉蓝豆:42
经验:3448
注册时间:2008-11-22
加关注  |  发消息
3 楼    发表于2010-10-24 21:47:00举报|引用
返回顶部 | 快捷回复
 有鳞化。
0
回复
signature
有福不在忙

guofuqiangjing 离线

帖子:791
粉蓝豆:18
经验:954
注册时间:2010-07-22
加关注  |  发消息
4 楼    发表于2010-10-24 22:16:00举报|引用
返回顶部 | 快捷回复

建议活检

0
回复

xuanxuan 离线

帖子:266
粉蓝豆:1
经验:547
注册时间:2010-08-22
加关注  |  发消息
5 楼    发表于2010-10-25 15:53:00举报|引用
返回顶部 | 快捷回复
以下是引用guofuqiangjing在2010-10-24 22:16:00的发言:

建议活检

0
回复

linyguo 离线

帖子:2365
粉蓝豆:43
经验:2514
注册时间:2009-08-09
加关注  |  发消息
6 楼    发表于2010-10-25 16:10:00举报|引用
返回顶部 | 快捷回复
 ascus
0
回复

wy1992 在线

帖子:4858
粉蓝豆:1
经验:7320
注册时间:2007-06-30
加关注  |  发消息
7 楼    发表于2010-10-25 19:20:00举报|引用
返回顶部 | 快捷回复
 biopsy
0
回复
signature

朱正龙

巴山夜雨涨秋池 离线

帖子:12152
粉蓝豆:77
经验:12941
注册时间:2009-01-25
加关注  |  发消息
8 楼    发表于2010-10-25 21:07:00举报|引用
返回顶部 | 快捷回复
 新项目,不错!摄像头很好,保存液不好。
0
回复
signature

body>h1>span>...................This signature is very handsome.

大海一栗 离线

帖子:1258
粉蓝豆:9
经验:1596
注册时间:2010-07-09
加关注  |  发消息
9 楼    发表于2010-10-26 22:47:00举报|引用
返回顶部 | 快捷回复
  ascus
0
回复
回复:9 阅读:1536
共1页/9条首页上一页1下一页尾页
【免责声明】讨论内容仅作学术交流之用,不作为诊疗依据,由此而引起的法律问题作者及本站不承担任何责任。
快速回复
进入高级回复
您最多可输入10000个汉字,按 "Ctrl" + "Enter" 直接发送
搜索回复/乘电梯 ×
按内容
按会员
乘电梯
合作伙伴
友情链接
Baidu
map