共1页/9条首页上一页1下一页尾页
回复:9 阅读:1520
胸水会诊!!

douyaztp 离线

帖子:189
粉蓝豆:1444
经验:472
注册时间:2008-12-30
加关注  |  发消息
楼主 发表于 2010-11-03 18:03|举报|关注(0)
浏览排序[ 顺序 逆序 楼主 支持 精彩 ]  快捷回复
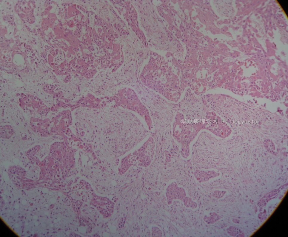
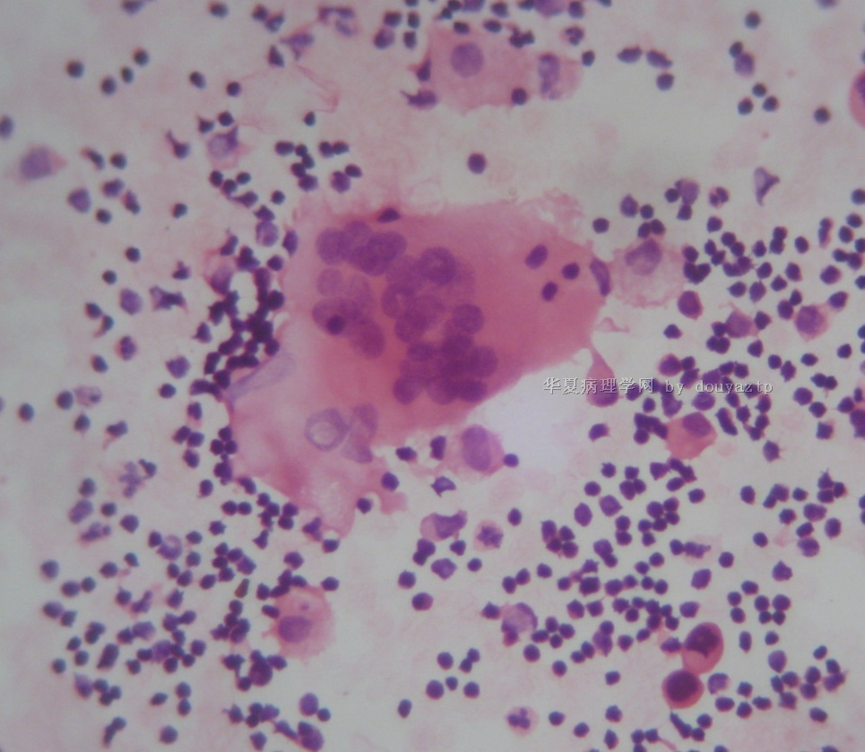
男性,37岁,大量血性胸水
  • 胸水会诊!!图1
    图1
  • 胸水会诊!!图2
    图2
  • 胸水会诊!!图3
    图3
  • 胸水会诊!!图4
    图4
  • 胸水会诊!!图5
    图5
  • 胸水会诊!!图6
    图6
  • 胸水会诊!!图7
    图7
  • 胸水会诊!!图8
    图8
  • 胸水会诊!!图9
    图9
  • 胸水会诊!!图10
    图10
  • 胸水会诊!!图11
    图11
  • 胸水会诊!!图12
    图12
标签:
0
添加参考诊断
×参考诊断
  

wfbjwt 离线

帖子:6628
粉蓝豆:163
经验:7418
注册时间:2006-10-08
加关注  |  发消息
1 楼    发表于2010-11-03 18:51:00举报|引用
返回顶部 | 快捷回复
 鳞癌,查肺。
0
回复
signature
嫁人就嫁灰太狼,学习要上华夏网。

zhouquan 离线

帖子:7752
粉蓝豆:290
经验:8263
注册时间:2008-11-09
加关注  |  发消息
2 楼    发表于2010-11-03 19:22:00举报|引用
返回顶部 | 快捷回复
 腺癌
0
回复
signature
成功不是得到多少东西,而是把身上多余的东西的扔掉多少。   

a6621837 离线

帖子:617
粉蓝豆:53
经验:623
注册时间:2007-06-18
加关注  |  发消息
3 楼    发表于2010-11-03 20:35:00举报|引用
返回顶部 | 快捷回复
 找到癌细胞   这例真的像鳞癌
0
回复
signature
学习,提高。

大雪素 离线

帖子:1542
粉蓝豆:241
经验:8510
注册时间:2010-01-25
加关注  |  发消息
4 楼    发表于2010-11-03 21:28:00举报|引用
返回顶部 | 快捷回复
 感觉 想腺癌
0
回复
signature
挺挺花卉中,竹有节而啬花,梅有花而啬叶,松有叶而啬香,唯兰独并有之

guofuqiangjing 离线

帖子:791
粉蓝豆:18
经验:954
注册时间:2010-07-22
加关注  |  发消息
5 楼    发表于2010-11-03 21:43:00举报|引用
返回顶部 | 快捷回复
 查见肿瘤细胞,考虑鳞癌.
0
回复

douyaztp 离线

帖子:189
粉蓝豆:1444
经验:472
注册时间:2008-12-30
加关注  |  发消息
6 楼    发表于2010-11-03 21:57:00举报|引用
返回顶部 | 快捷回复
以下是引用wfbjwt在2010-11-3 18:51:00的发言:

 鳞癌,查肺。

最后一张怎么考虑呢?
0
回复

wangdingding 离线

帖子:1474
粉蓝豆:98
经验:6042
注册时间:2006-10-19
加关注  |  发消息
7 楼    发表于2010-11-03 21:58:00举报|引用
返回顶部 | 快捷回复

 图9像腺癌细胞,余像鳞癌细胞

0
回复

douyaztp 离线

帖子:189
粉蓝豆:1444
经验:472
注册时间:2008-12-30
加关注  |  发消息
8 楼    发表于2010-11-06 22:25:00举报|引用
返回顶部 | 快捷回复
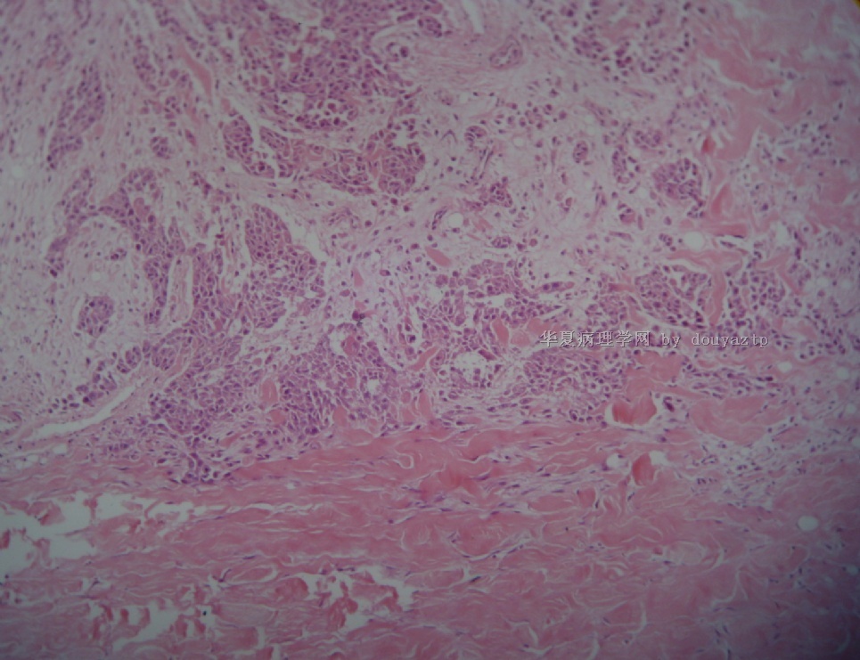
这是几天后送检的病人右上腹壁的皮下包块。
  • 图1
  • 图2
  • 图3
0
回复

zgx457 离线

帖子:1290
粉蓝豆:565
经验:3717
注册时间:2007-10-13
加关注  |  发消息
9 楼    发表于2010-11-08 10:06:00举报|引用
返回顶部 | 快捷回复
 鳞癌
0
回复
回复:9 阅读:1520
共1页/9条首页上一页1下一页尾页
【免责声明】讨论内容仅作学术交流之用,不作为诊疗依据,由此而引起的法律问题作者及本站不承担任何责任。
快速回复
进入高级回复
您最多可输入10000个汉字,按 "Ctrl" + "Enter" 直接发送
搜索回复/乘电梯 ×
按内容
按会员
乘电梯
合作伙伴
友情链接
Baidu
map