共1页/8条首页上一页1下一页尾页
回复:8 阅读:1756
食道癌,淋巴结有没有转移,谢谢。

心灵感悟 离线

帖子:379
粉蓝豆:21
经验:475
注册时间:2010-06-06
加关注  |  发消息
楼主 发表于 2010-11-16 17:52|举报|关注(0)
浏览排序[ 顺序 逆序 楼主 支持 精彩 ]  快捷回复
姓    名: ××× 性别:  男 年龄:  65岁
标本名称:  
简要病史:  
肉眼检查:  
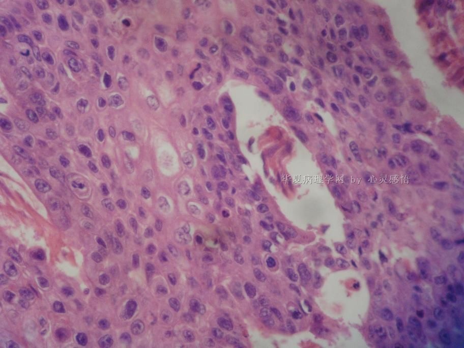
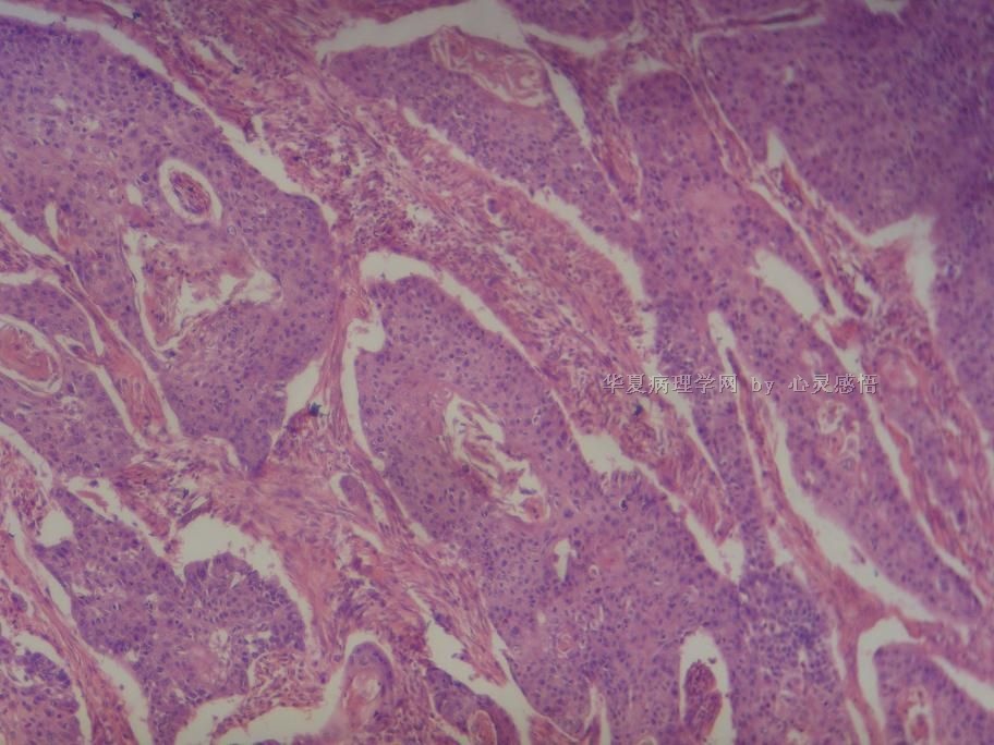
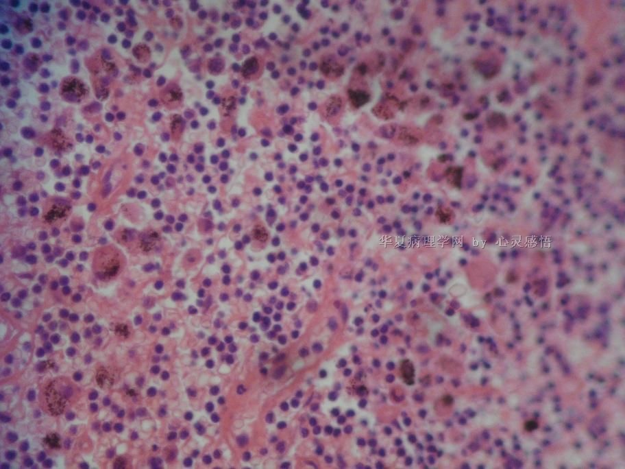
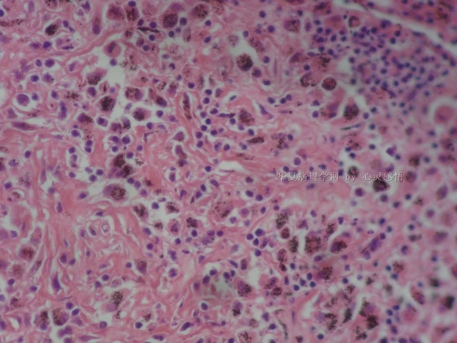
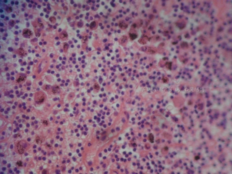
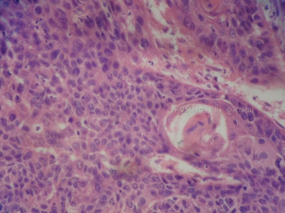
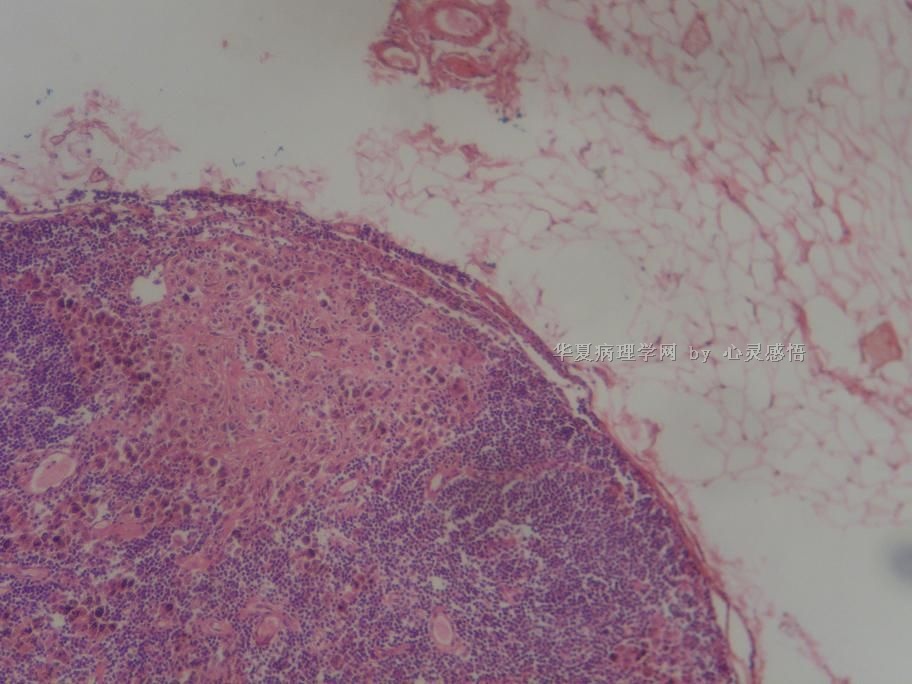
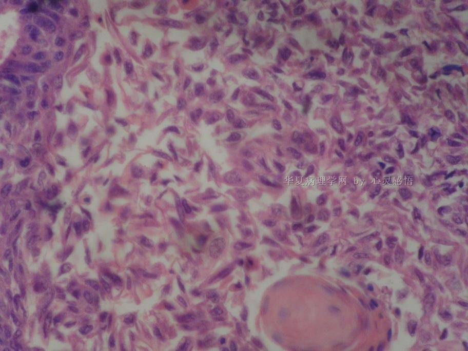
  • 食道癌,淋巴结有没有转移,谢谢。图1
    图1
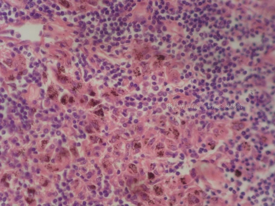
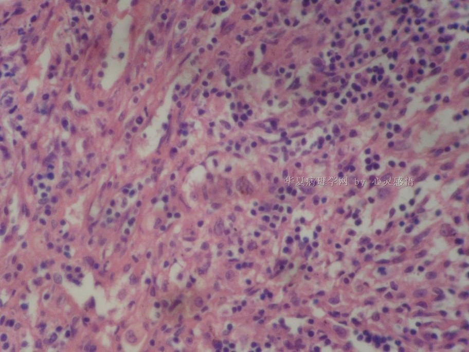
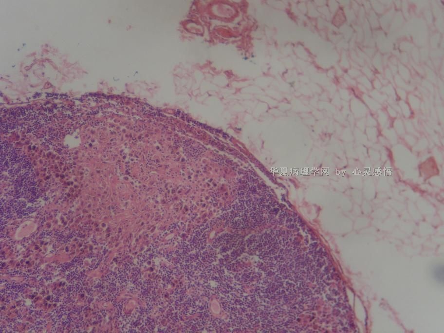
  • 食道癌,淋巴结有没有转移,谢谢。图2
    图2
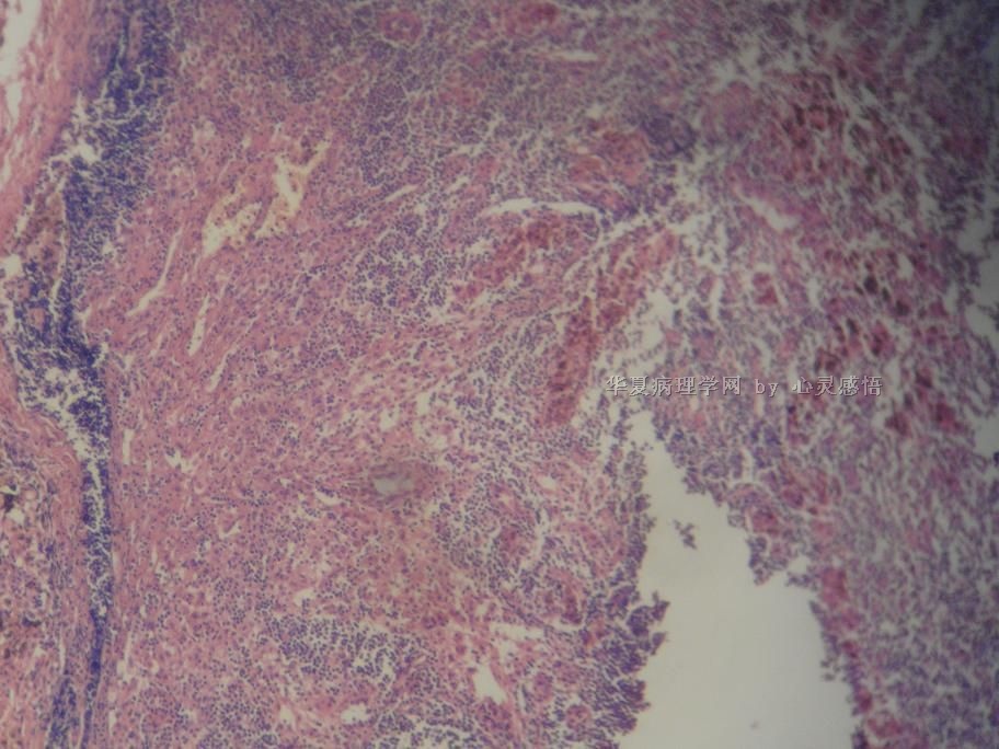
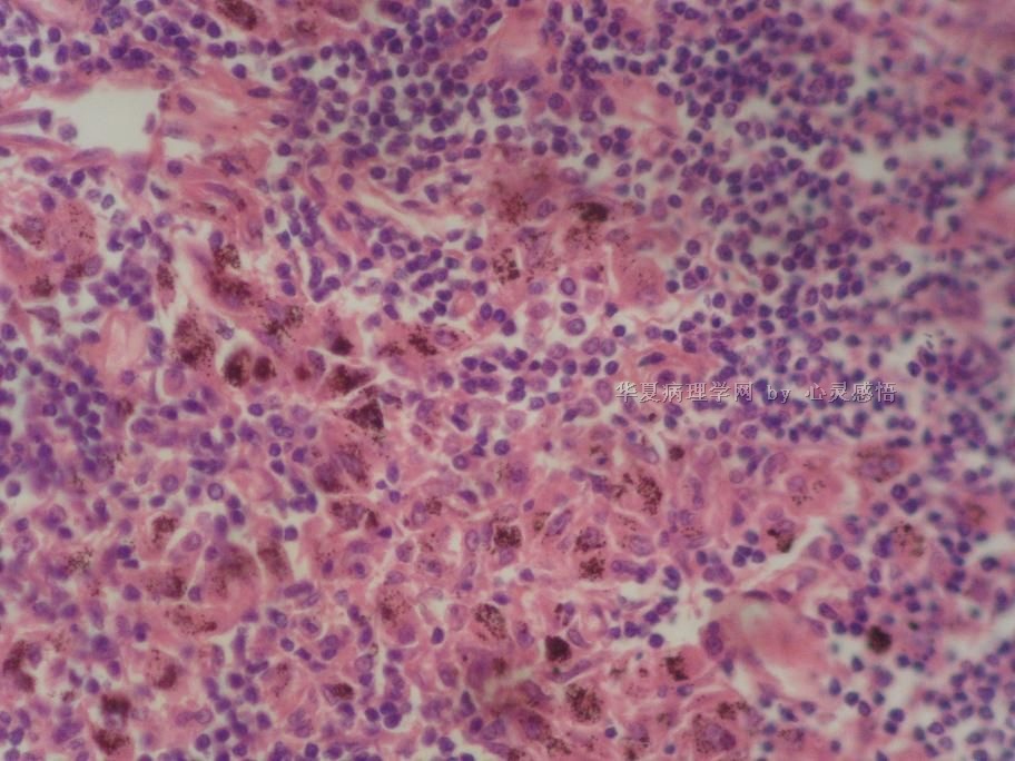
  • 食道癌,淋巴结有没有转移,谢谢。图3
    图3
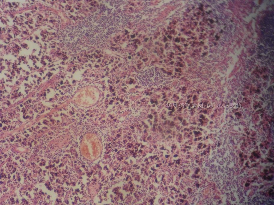
  • 食道癌,淋巴结有没有转移,谢谢。图4
    图4
  • 食道癌,淋巴结有没有转移,谢谢。图5
    图5
  • 食道癌,淋巴结有没有转移,谢谢。图6
    图6
  • 食道癌,淋巴结有没有转移,谢谢。图7
    图7
  • 食道癌,淋巴结有没有转移,谢谢。图8
    图8
  • 食道癌,淋巴结有没有转移,谢谢。图9
    图9
  • 食道癌,淋巴结有没有转移,谢谢。图10
    图10
  • 食道癌,淋巴结有没有转移,谢谢。图11
    图11
  • 食道癌,淋巴结有没有转移,谢谢。图12
    图12
  • 食道癌,淋巴结有没有转移,谢谢。图13
    图13
  • 食道癌,淋巴结有没有转移,谢谢。图14
    图14
  • 食道癌,淋巴结有没有转移,谢谢。图15
    图15
  • 食道癌,淋巴结有没有转移,谢谢。图16
    图16
  • 食道癌,淋巴结有没有转移,谢谢。图17
    图17
  • 食道癌,淋巴结有没有转移,谢谢。图18
    图18
  • 食道癌,淋巴结有没有转移,谢谢。图19
    图19
  • 食道癌,淋巴结有没有转移,谢谢。图20
    图20
  • 食道癌,淋巴结有没有转移,谢谢。图21
    图21
  • 食道癌,淋巴结有没有转移,谢谢。图22
    图22
标签:
本帖最后由 于 2010-11-16 17:55:00 编辑
0
添加参考诊断
×参考诊断
  

wangjw855 离线

帖子:1618
粉蓝豆:209
经验:2515
注册时间:2009-05-16
加关注  |  发消息
1 楼    发表于2010-11-16 19:26:00举报|引用
返回顶部 | 快捷回复
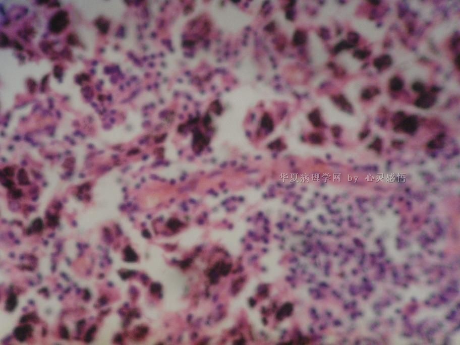
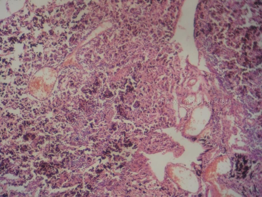
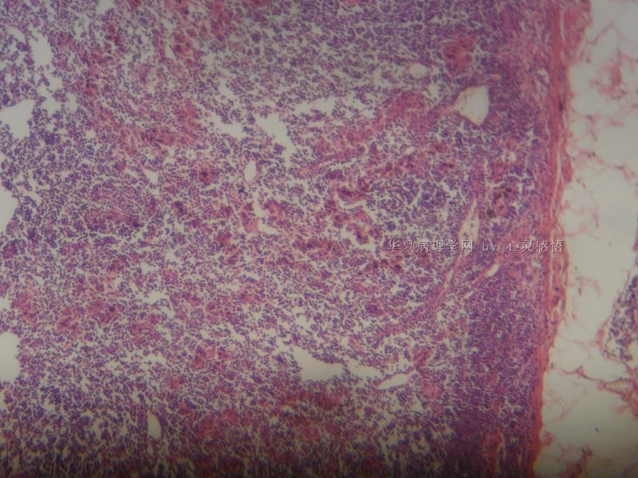
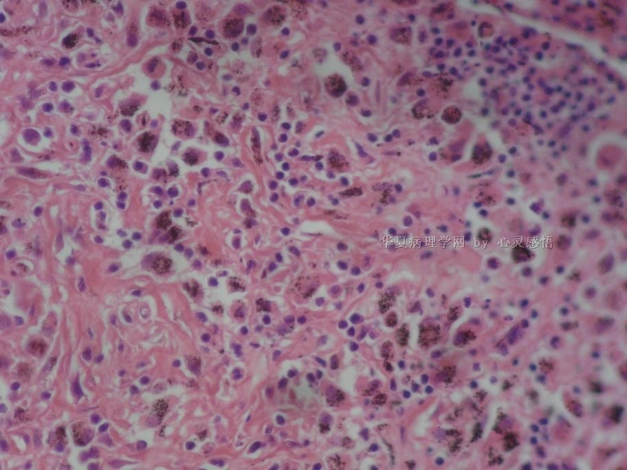
 1-6图是鳞癌。7-22图片无癌。
0
回复

宁静致远 离线

帖子:4242
粉蓝豆:2853
经验:6556
注册时间:2007-03-27
加关注  |  发消息
2 楼    发表于2010-11-17 19:20:00举报|引用
返回顶部 | 快捷回复
 淋巴结没有转移
0
回复

大海一栗 离线

帖子:1258
粉蓝豆:9
经验:1596
注册时间:2010-07-09
加关注  |  发消息
3 楼    发表于2010-11-17 20:18:00举报|引用
返回顶部 | 快捷回复
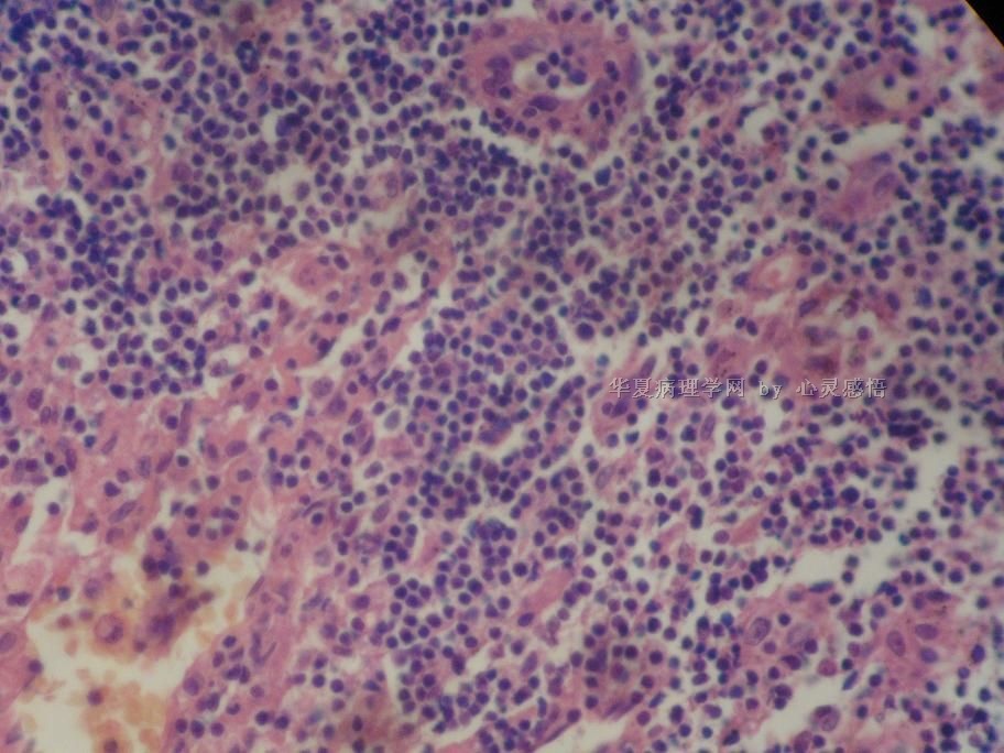
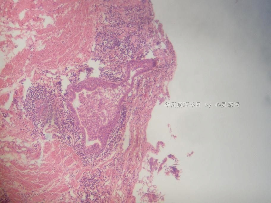
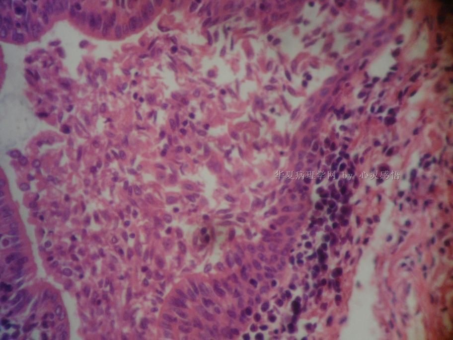
本帖最后由 于 2010-11-17 20:19:00 编辑  图14,19有转移
0
回复

薄冰之旅 离线

帖子:1566
粉蓝豆:2098
经验:3456
注册时间:2006-11-05
加关注  |  发消息
4 楼    发表于2010-11-18 12:56:00举报|引用
返回顶部 | 快捷回复
 没有转移。
0
回复

xclbljys 离线

帖子:5253
粉蓝豆:224
经验:7005
注册时间:2008-11-21
加关注  |  发消息
5 楼    发表于2010-11-18 21:42:00举报|引用
返回顶部 | 快捷回复

 

请教楼主;图片19是淋巴结吗?如果是应该是有癌转移!

0
回复
signature
许春雷

guofuqiangjing 离线

帖子:791
粉蓝豆:18
经验:954
注册时间:2010-07-22
加关注  |  发消息
6 楼    发表于2010-11-18 22:23:00举报|引用
返回顶部 | 快捷回复

我是新手,我认为没有转移.

答案?

0
回复

syz1959 离线

帖子:222
粉蓝豆:809
经验:734
注册时间:2008-04-29
加关注  |  发消息
7 楼    发表于2010-11-18 22:38:00举报|引用
返回顶部 | 快捷回复
 
 没有转移。

0
回复

douyaztp 离线

帖子:189
粉蓝豆:1444
经验:472
注册时间:2008-12-30
加关注  |  发消息
8 楼    发表于2010-11-19 22:32:00举报|引用
返回顶部 | 快捷回复
 没有转移,食道旁的淋巴结和肺旁的淋巴结相似,含有吞噬细胞。
0
回复
回复:8 阅读:1756
共1页/8条首页上一页1下一页尾页
【免责声明】讨论内容仅作学术交流之用,不作为诊疗依据,由此而引起的法律问题作者及本站不承担任何责任。
快速回复
进入高级回复
您最多可输入10000个汉字,按 "Ctrl" + "Enter" 直接发送
搜索回复/乘电梯 ×
按内容
按会员
乘电梯
合作伙伴
友情链接
Baidu
map