共1页/11条首页上一页1下一页尾页
回复:11 阅读:1803
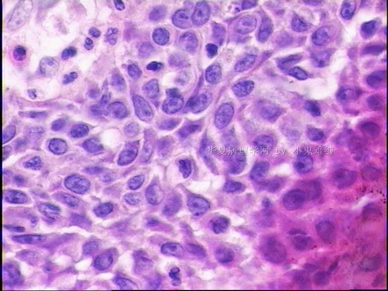
宫颈病变1627

小鬼难缠 离线

帖子:393
粉蓝豆:510
经验:2502
注册时间:2009-01-24
加关注  |  发消息
楼主 发表于 2010-12-02 10:20|举报|关注(0)
浏览排序[ 顺序 逆序 楼主 支持 精彩 ]  快捷回复
姓    名: ××× 性别:  女 年龄:  40
标本名称:  
简要病史:  
肉眼检查:  
  • 宫颈病变1627图1
    图1
  • 宫颈病变1627图2
    图2
  • 宫颈病变1627图3
    图3
  • 宫颈病变1627图4
    图4
  • 宫颈病变1627图5
    图5
  • 宫颈病变1627图6
    图6
  • 宫颈病变1627图7
    图7
  • 宫颈病变1627图8
    图8
标签:
0
添加参考诊断
×参考诊断
  

迷路 离线

帖子:259
粉蓝豆:4
经验:376
注册时间:2010-11-08
加关注  |  发消息
1 楼    发表于2010-12-02 10:48:00举报|引用
返回顶部 | 快捷回复
 怎么觉得像是基底细胞增生的感觉??
0
回复

xclbljys 离线

帖子:5253
粉蓝豆:224
经验:7005
注册时间:2008-11-21
加关注  |  发消息
2 楼    发表于2010-12-02 11:12:00举报|引用
返回顶部 | 快捷回复
 CIN1级
0
回复
signature
许春雷

筱筱 离线

帖子:405
粉蓝豆:19
经验:736
注册时间:2009-04-24
加关注  |  发消息
3 楼    发表于2010-12-02 13:18:00举报|引用
返回顶部 | 快捷回复
 急慢性炎
0
回复

guofuqiangjing 离线

帖子:791
粉蓝豆:18
经验:954
注册时间:2010-07-22
加关注  |  发消息
4 楼    发表于2010-12-02 13:31:00举报|引用
返回顶部 | 快捷回复
 细胞大小一致,染色尚可,但有些乱。考虑CIN-I级
0
回复

jiangxiaoyu 离线

帖子:978
粉蓝豆:15
经验:1226
注册时间:2007-10-31
加关注  |  发消息
5 楼    发表于2010-12-02 18:03:00举报|引用
返回顶部 | 快捷回复
 慢性宫颈炎,伴不成熟型鳞化。
0
回复

watcher035 离线

帖子:482
粉蓝豆:8
经验:767
注册时间:2010-08-14
加关注  |  发消息
6 楼    发表于2010-12-04 09:07:00举报|引用
返回顶部 | 快捷回复
以下是引用筱筱在2010-12-2 13:18:00的发言:

 急慢性炎

0
回复

病理 离线

帖子:565
粉蓝豆:6
经验:5228
注册时间:2008-08-07
加关注  |  发消息
7 楼    发表于2010-12-04 10:27:00举报|引用
返回顶部 | 快捷回复
以下是引用watcher035在2010-12-4 9:07:00的发言:

以下是引用筱筱在2010-12-2 13:18:00的发言:

 急慢性炎

宫颈是没有什么问题的,主要是切面的问题,实际都是基底细胞或者基底旁层细胞,但是我有件事一直不明白,关于宫颈炎的报告,我见过上面的这种报法,急慢性炎或者慢性炎急性炎细胞浸润等等,还有一种就是慢性宫颈炎,不写急性或者描述急性炎细胞,这是北京两家大医院的报告,我也分别问过,他们说的似乎都很有道理,都是老专家级的让我无所适从。
0
回复

徐泉 离线

帖子:90
粉蓝豆:2
经验:116
注册时间:2010-11-21
加关注  |  发消息
8 楼    发表于2010-12-04 21:24:00举报|引用
返回顶部 | 快捷回复
 没有CIN
0
回复

宁静致远 离线

帖子:4242
粉蓝豆:2853
经验:6556
注册时间:2007-03-27
加关注  |  发消息
9 楼    发表于2010-12-04 21:35:00举报|引用
返回顶部 | 快捷回复
  慢性宫颈炎,伴不成熟型鳞化。
0
回复

洋洋洒洒 离线

帖子:1445
粉蓝豆:254
经验:2479
注册时间:2010-12-13
加关注  |  发消息
10 楼    发表于2010-12-20 20:33:00举报|引用
返回顶部 | 快捷回复
 
      慢性宫颈炎
0
回复

家家 离线

帖子:60
粉蓝豆:1
经验:73
注册时间:2011-01-05
加关注  |  发消息
11 楼    发表于2011-01-14 18:02:00举报|引用
返回顶部 | 快捷回复
 CIN1级
0
回复
回复:11 阅读:1803
共1页/11条首页上一页1下一页尾页
【免责声明】讨论内容仅作学术交流之用,不作为诊疗依据,由此而引起的法律问题作者及本站不承担任何责任。
快速回复
进入高级回复
您最多可输入10000个汉字,按 "Ctrl" + "Enter" 直接发送
搜索回复/乘电梯 ×
按内容
按会员
乘电梯
合作伙伴
友情链接
Baidu
map