| 图片: | |
|---|---|
| 名称: | |
| 描述: | |
xianyuanqq82 离线
nfykdx2008 离线
| 以下是引用guofuqiangjing在2010-12-8 21:25:00的发言:
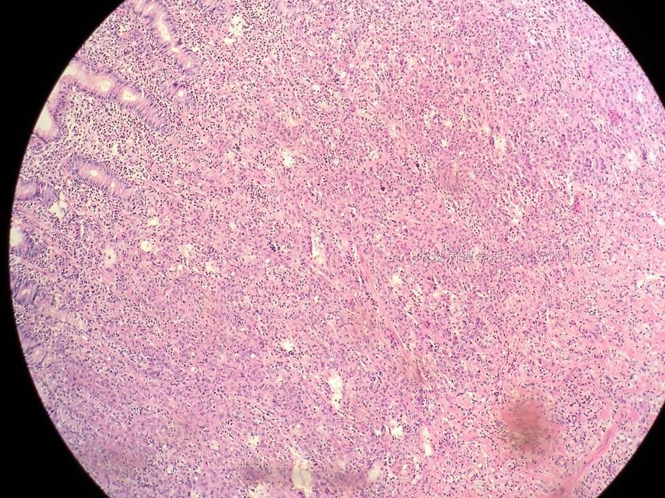
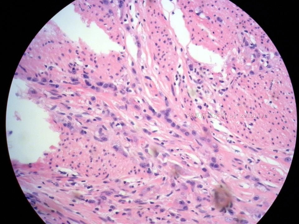
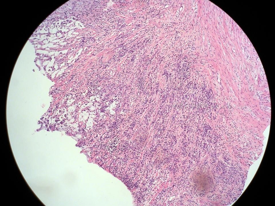
腺癌。 另外我想请教老师该病例如何取材? 此镜下表现取材为何处? 谢谢老师!!! |
此病例取材的思路为:1.按幽门梗阻取材,证明梗阻区主要成分为胶原纤维;2.按非幽门梗阻取材,期望看到其他病变。
做冰冻时我们就在幽门增厚区切面部分灰白区取了两块,从粘膜面到浆膜面。直到冰冻切片出来,我们才意识到此例非幽门梗阻,而是腺癌!尽管肉眼上不典型!
此例提示,胃上皮性恶性肿瘤,肉眼表现多种多样,许多肉眼形态具有欺骗性,故取材时要多点心眼!不要怕麻烦,不要相信经验,要相信事实!毕竟我们对自然并不完全了解!
