| 图片: | |
|---|---|
| 名称: | |
| 描述: | |
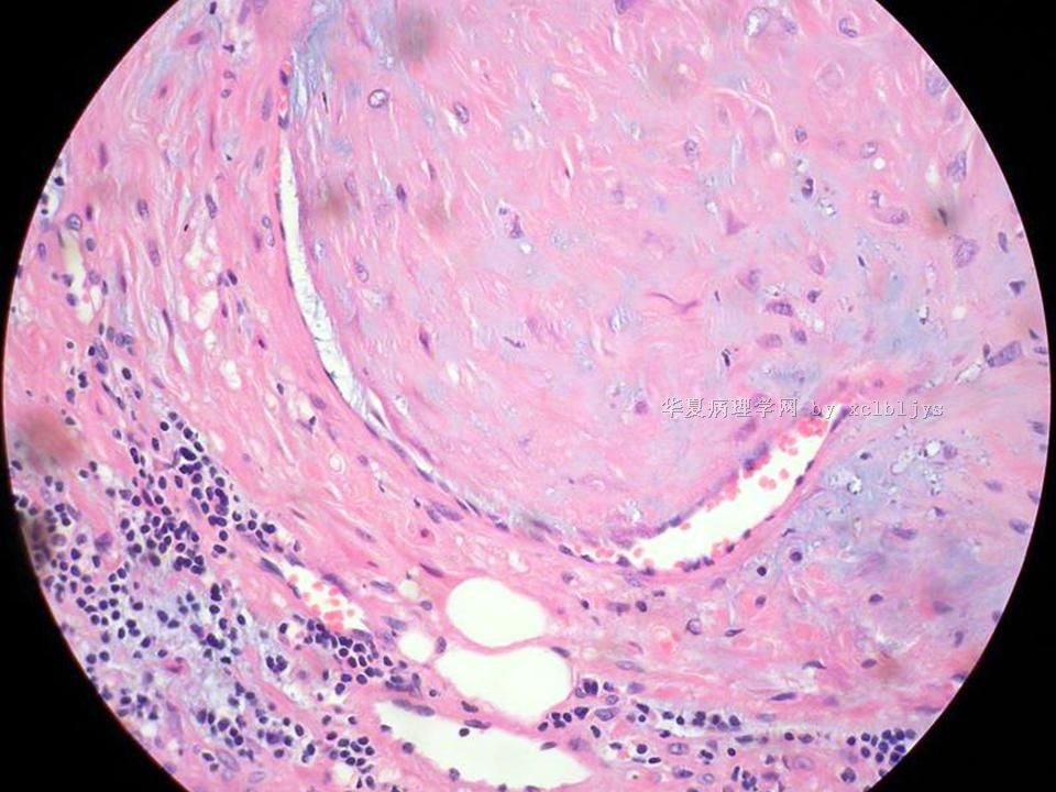
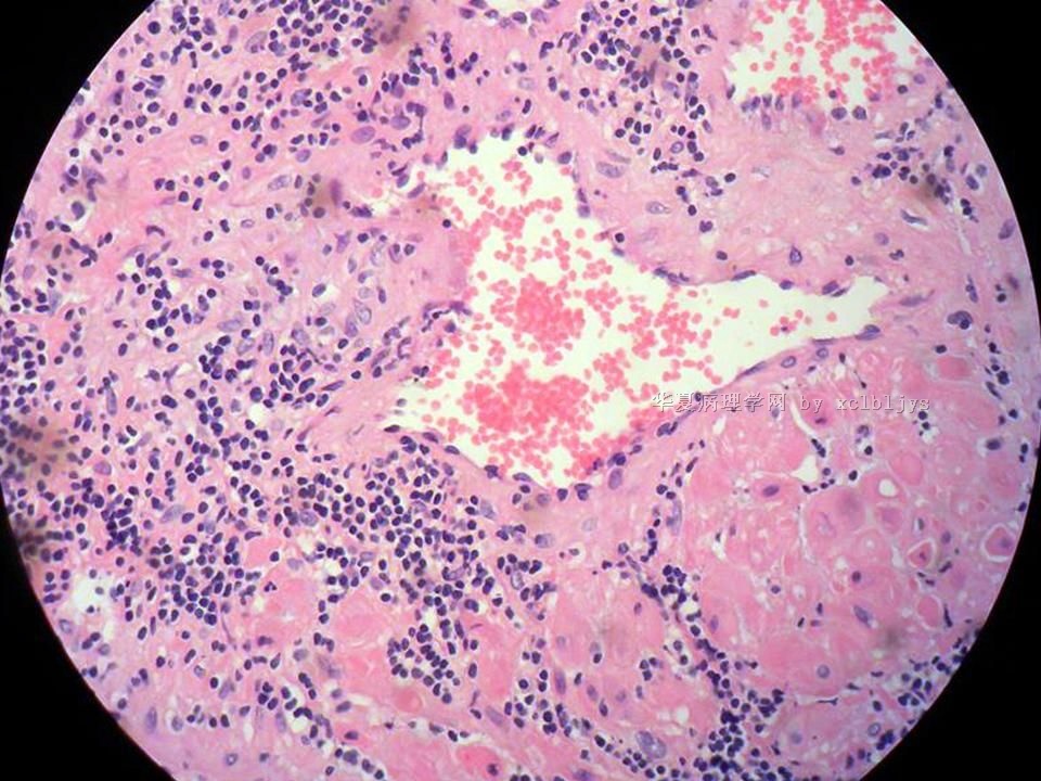
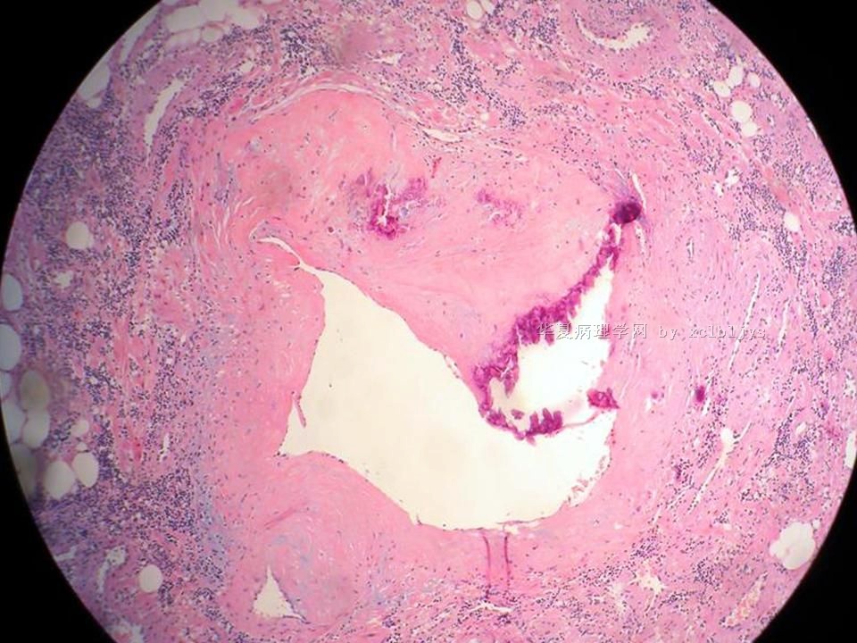
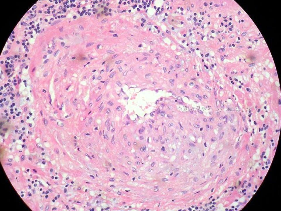
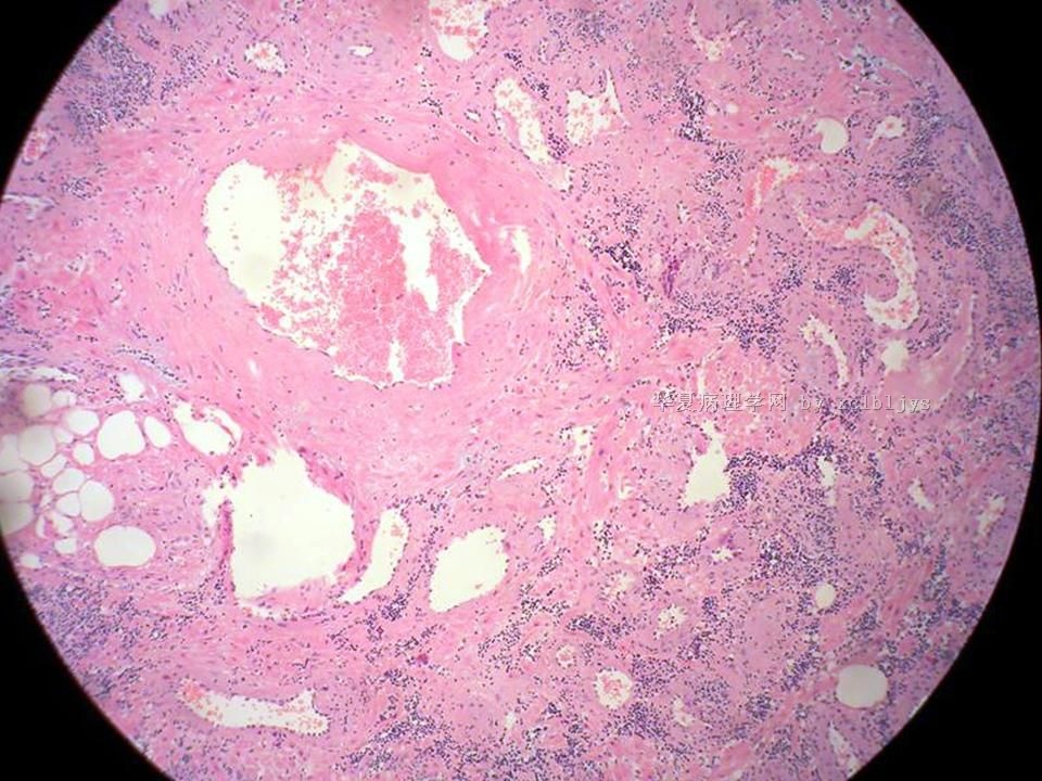
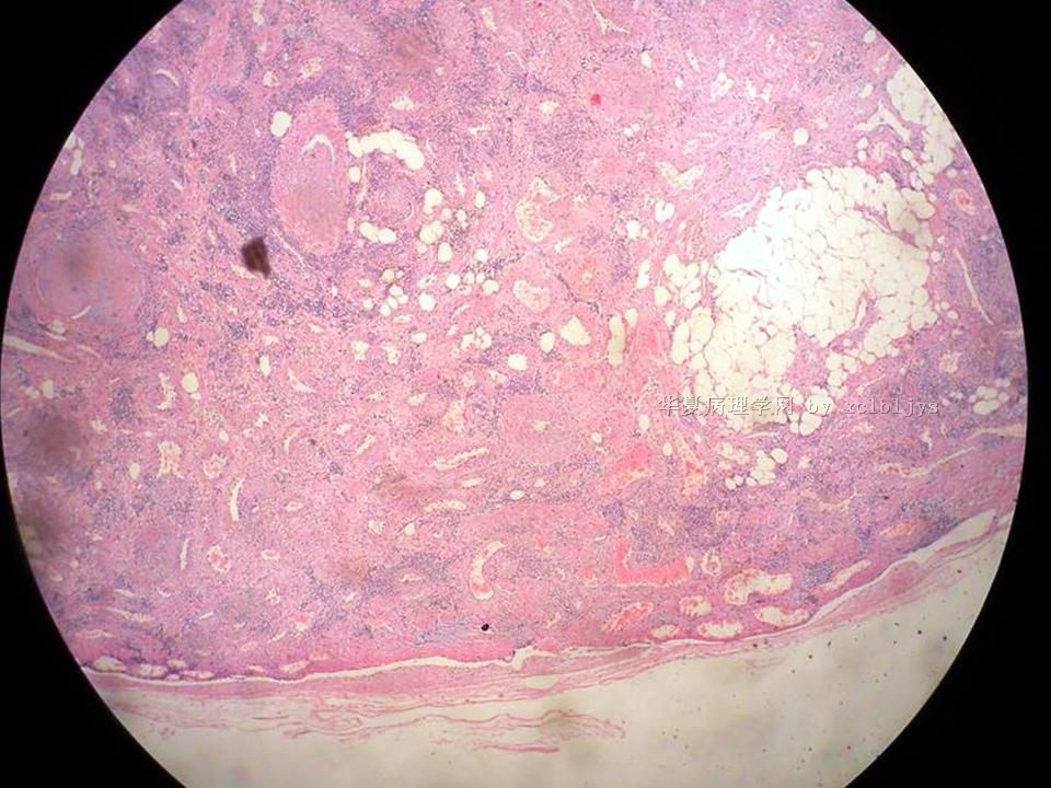
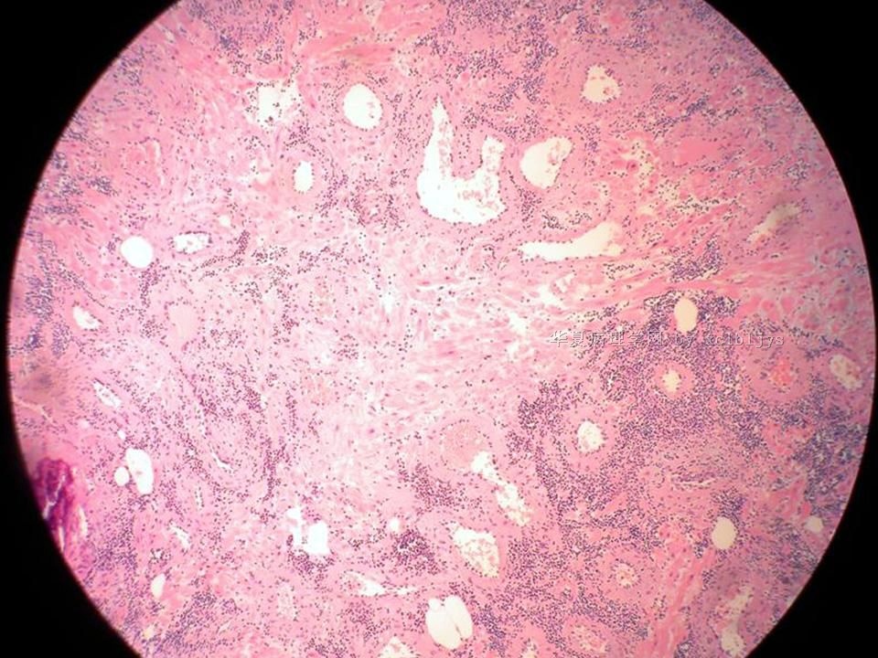
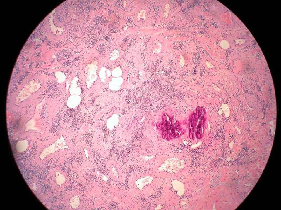
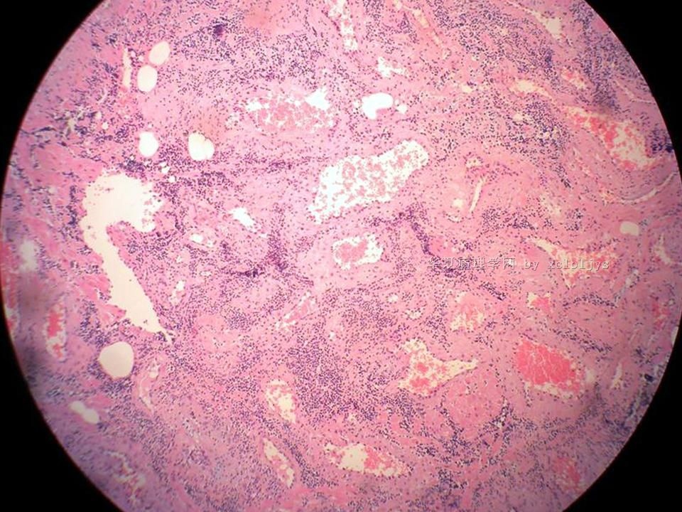
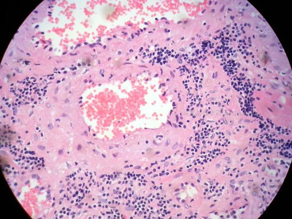
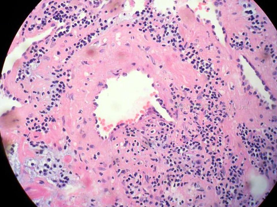
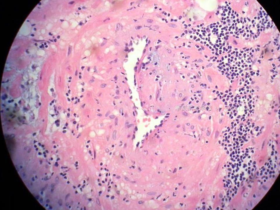
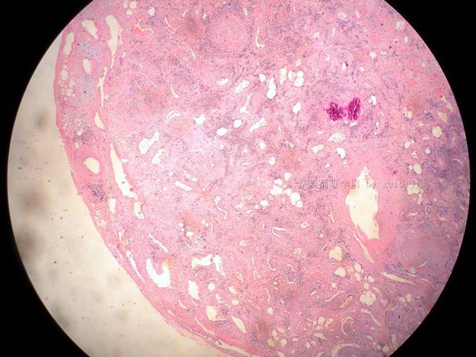
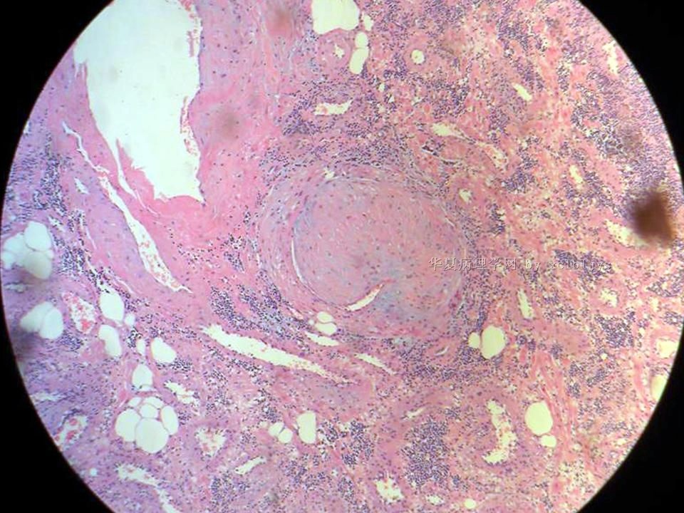
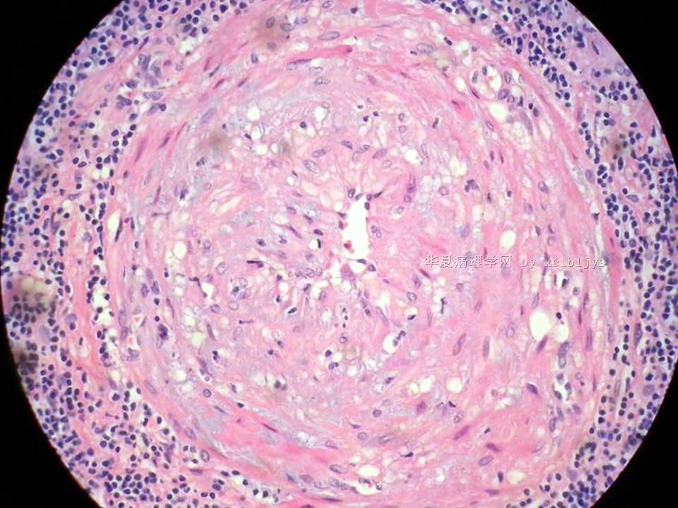
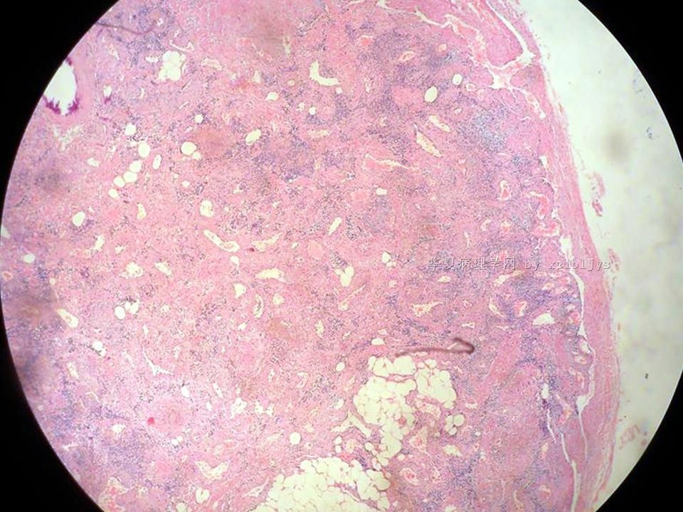
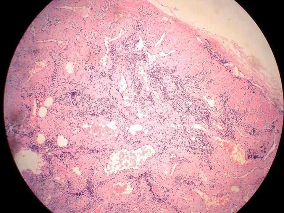
| 以下是引用xclbljys在2010-12-22 17:20:00的发言: 本例我们科室医生有两种意见:一种是炎性假瘤;第二种意见是炎性假瘤伴局限性Wegener肉芽肿。 依据是眼眶内肿块含有大量的动脉内膜炎改变,浸润的炎细胞有淋巴细胞、浆细胞、嗜中性粒细胞和嗜酸细胞等,如图16所示,炎细胞已经浸润动脉壁全层,应符合坏死性小动脉炎,但尚不能确定动脉壁弹力纤维层的破坏。 请各位老师点评! Wegener肉芽肿多发生在上呼吸道、肺、肾脏和皮肤等器官与组织。坏死性血管炎需证实有纤维素样坏死。小动脉炎多在皮肤病变比较明显。本例的小动脉炎或许是炎症引起的继发性改变。需要完善病史,查血免疫指标,看有没有系统性疾病。如果没有系统性疾病,还是考虑慢性炎症继发小血管炎。
|

血管炎是正常营养/供给血管的炎症性病变,而不是增生血管的炎症。血管炎往往有明显的临床相应症状,如皮疹。典型的Wegerner肉芽肿病有三联症(上呼吸道、肺、肾脏病变)。血管炎不仅是有炎症细胞,同时有血管壁的变性、坏死(纤维素样), 内皮细胞的变质和增生,炎症细胞浸润(包括中性粒细胞、淋巴细胞、组织细胞、嗜酸性细胞、巨细胞等)。不同类型的血管炎累及的血管大小、炎症细胞的类型、有无肉芽肿改变都不相同。血管炎的病因可以是过敏、自身免疫、胶原性疾病、感染等多种因素。

nfykdx2008 离线