共1页/3条首页上一页1下一页尾页
回复:3 阅读:1711
腮腺包块

柳刀 离线

帖子:111
粉蓝豆:14
经验:523
注册时间:2007-01-30
加关注  |  发消息
楼主 发表于 2011-01-23 15:03|举报|关注(0)
浏览排序[ 顺序 逆序 楼主 支持 精彩 ]  快捷回复
姓    名: ××× 性别:  男 年龄:  36
标本名称:  腮腺包块
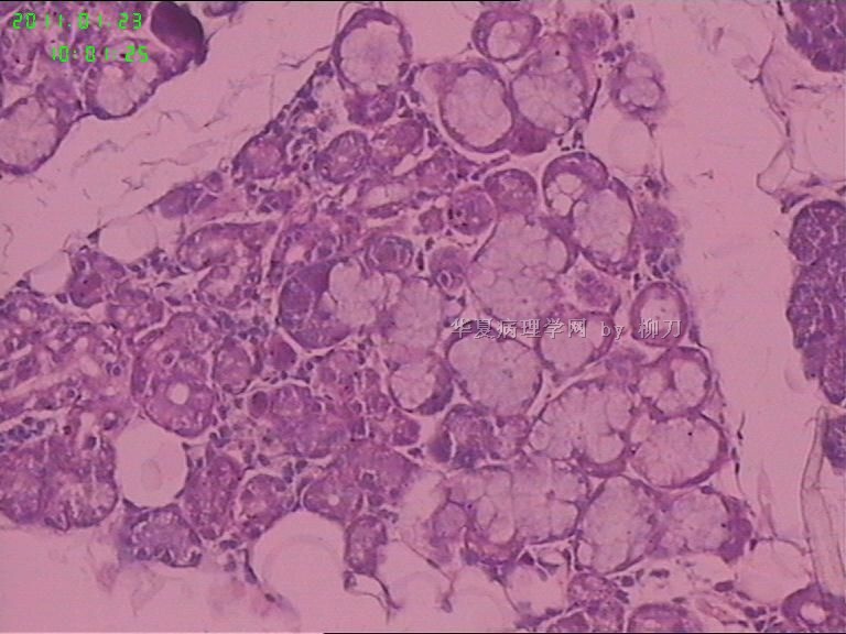
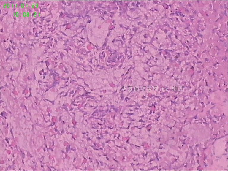
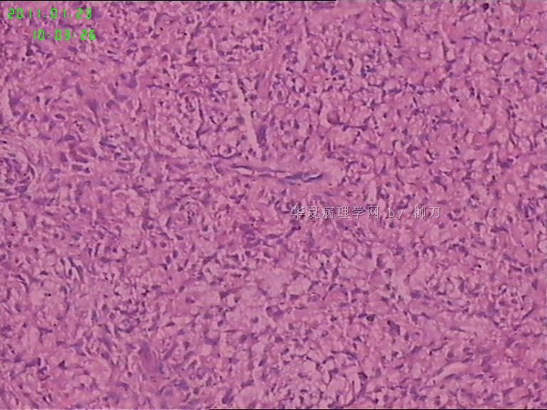
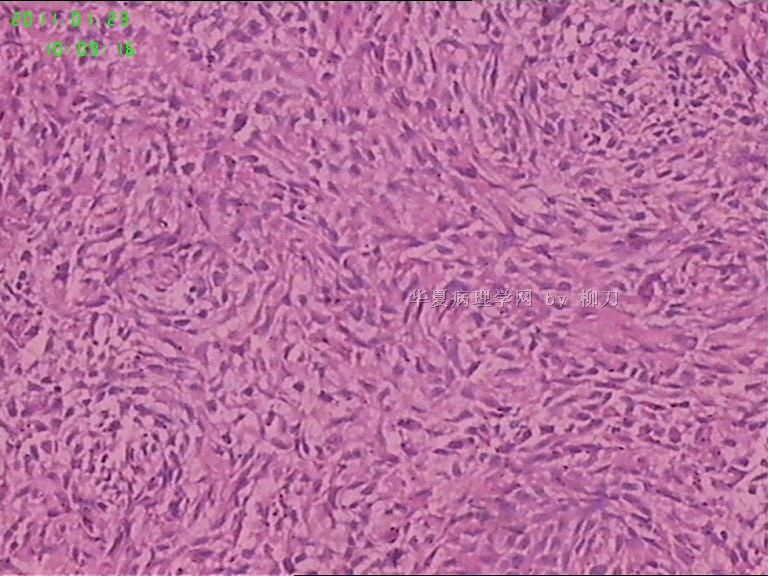
简要病史:  包块2年多,数月来增大。
肉眼检查:  见图片

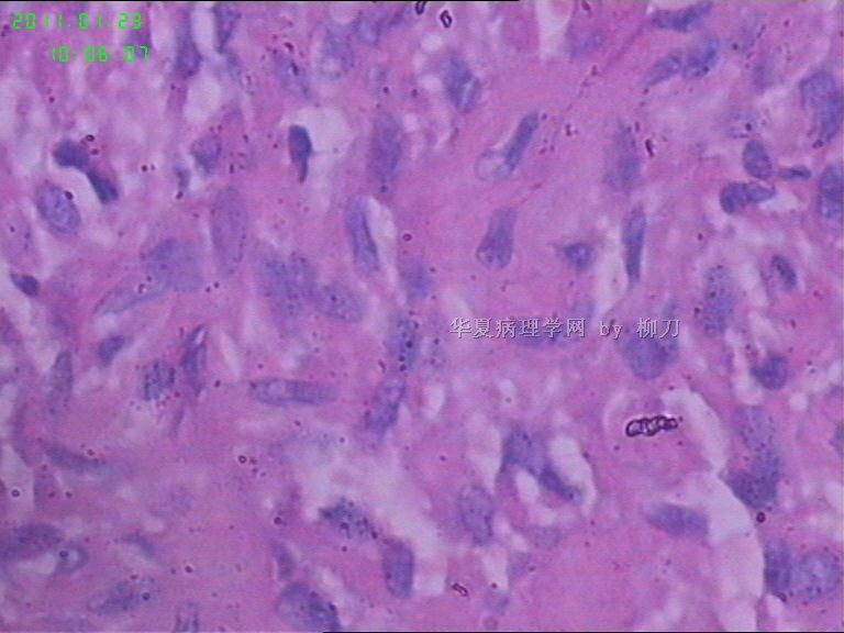
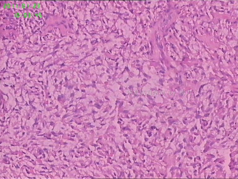
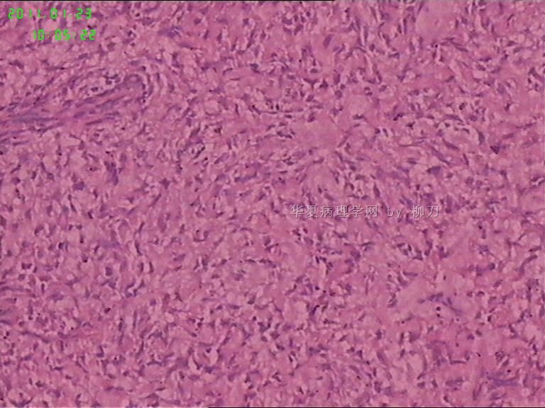
2,3图是前2个结节的镜下表现,梭形皮瓣是皮内痣。4以后是具完整包膜的肿块表现,核分裂少见。

我们考虑肌上皮瘤,少见多怪,老师们请多指教。

腮腺包块图1
名称:图1
描述:图1
腮腺包块图2
名称:图2
描述:图2
腮腺包块图3
名称:图3
描述:图3
腮腺包块图4
名称:图4
描述:图4
腮腺包块图5
名称:图5
描述:图5
腮腺包块图6
名称:图6
描述:图6
腮腺包块图7
名称:图7
描述:图7
腮腺包块图8
名称:图8
描述:图8
腮腺包块图9
名称:图9
描述:图9
腮腺包块图10
名称:图10
描述:图10
腮腺包块图11
名称:图11
描述:图11
腮腺包块图12
名称:图12
描述:图12
腮腺包块图13
名称:图13
描述:图13
腮腺包块图14
名称:图14
描述:图14
腮腺包块图15
名称:图15
描述:图15
腮腺包块图16
名称:图16
描述:图16
腮腺包块图17
名称:图17
描述:图17
腮腺包块图18
名称:图18
描述:图18
标签:
本帖最后由 于 2011-01-23 15:25:00 编辑
0
添加参考诊断
×参考诊断
  

薄冰之旅 离线

帖子:1566
粉蓝豆:2098
经验:3456
注册时间:2006-11-05
加关注  |  发消息
1 楼    发表于2011-01-23 18:11:00举报|引用
返回顶部 | 快捷回复

现有图像上看考虑肌上皮瘤。如果粘液样区域多,要考虑多形性腺瘤。

可以做一下组化:CK、SMA、S-100、GFAP、P63。

0
回复

迷路 离线

帖子:259
粉蓝豆:4
经验:376
注册时间:2010-11-08
加关注  |  发消息
2 楼    发表于2011-01-24 13:30:00举报|引用
返回顶部 | 快捷回复
以下是引用薄冰之旅在2011-1-23 18:11:00的发言:

现有图像上看考虑肌上皮瘤。如果粘液样区域多,要考虑多形性腺瘤。

可以做一下组化:CK、SMA、S-100、GFAP、P63。

肌上皮瘤,
0
回复

xclbljys 离线

帖子:5253
粉蓝豆:224
经验:7005
注册时间:2008-11-21
加关注  |  发消息
3 楼    发表于2011-01-26 19:08:00举报|引用
返回顶部 | 快捷回复
 肌上皮瘤
0
回复
signature
许春雷
回复:3 阅读:1711
共1页/3条首页上一页1下一页尾页
【免责声明】讨论内容仅作学术交流之用,不作为诊疗依据,由此而引起的法律问题作者及本站不承担任何责任。
快速回复
进入高级回复
您最多可输入10000个汉字,按 "Ctrl" + "Enter" 直接发送
搜索回复/乘电梯 ×
按内容
按会员
乘电梯
合作伙伴
友情链接
Baidu
map