共1页/13条首页上一页1下一页尾页
回复:13 阅读:1970
左锁骨上肿块(IHC)

xclbljys 离线

帖子:5253
粉蓝豆:224
经验:7005
注册时间:2008-11-21
加关注  |  发消息
楼主 发表于 2011-02-26 07:38|举报|关注(0)
浏览排序[ 顺序 逆序 楼主 支持 精彩 ]  快捷回复
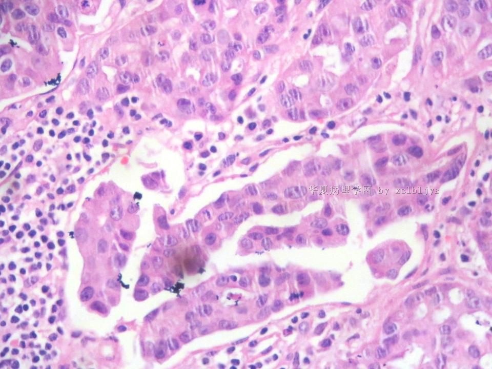
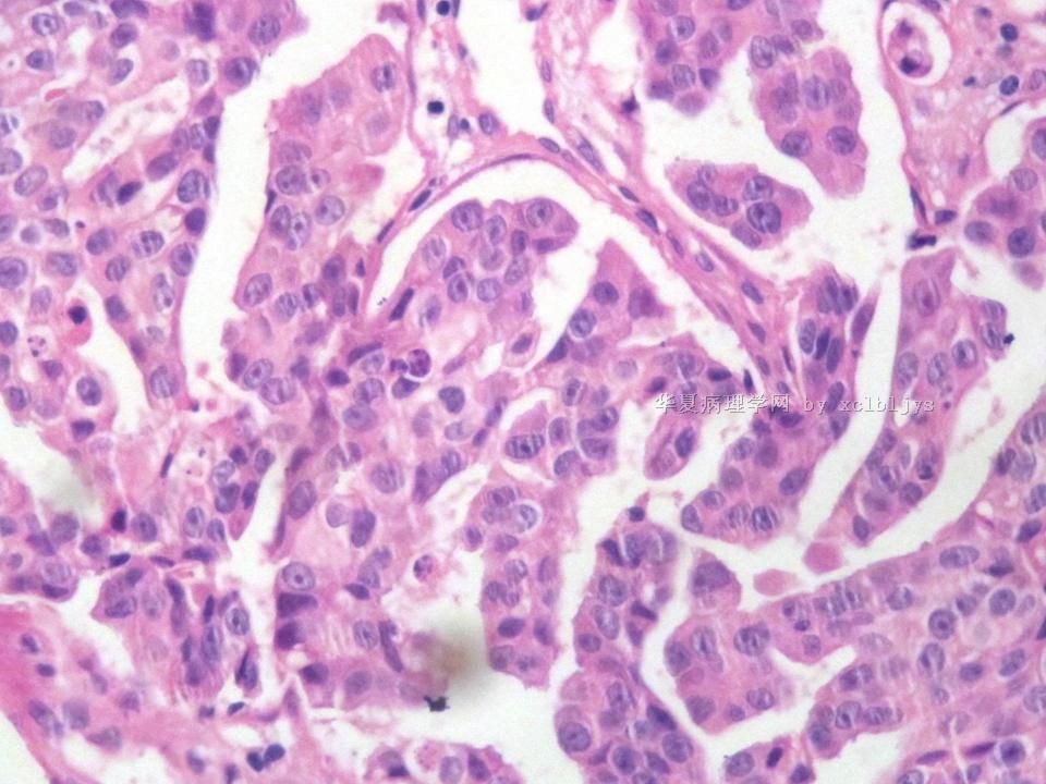
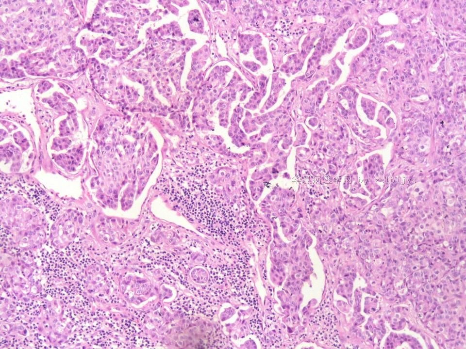
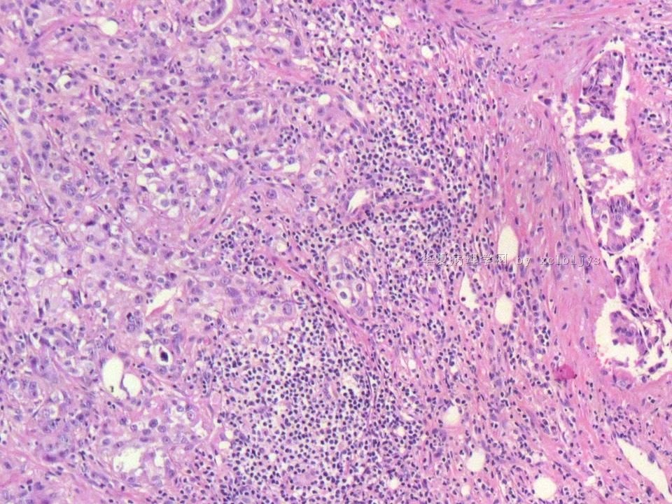
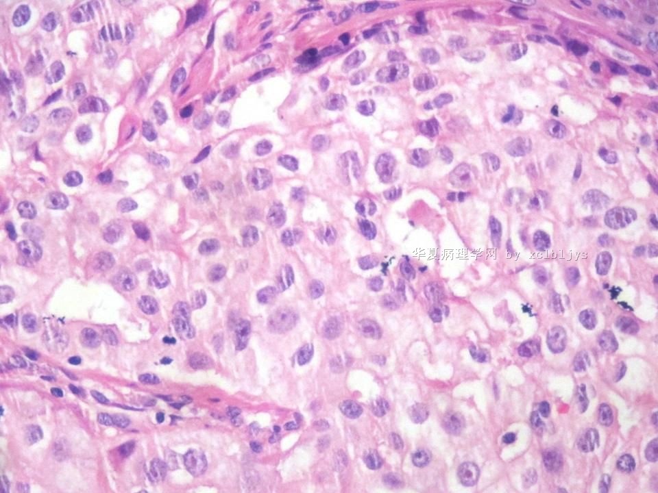
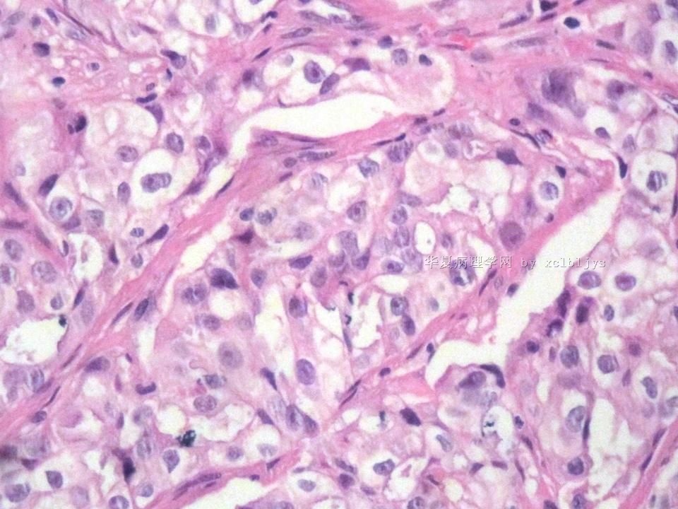
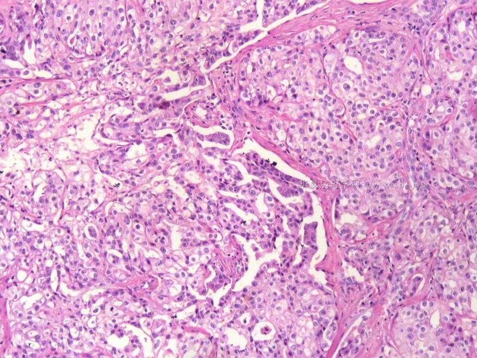
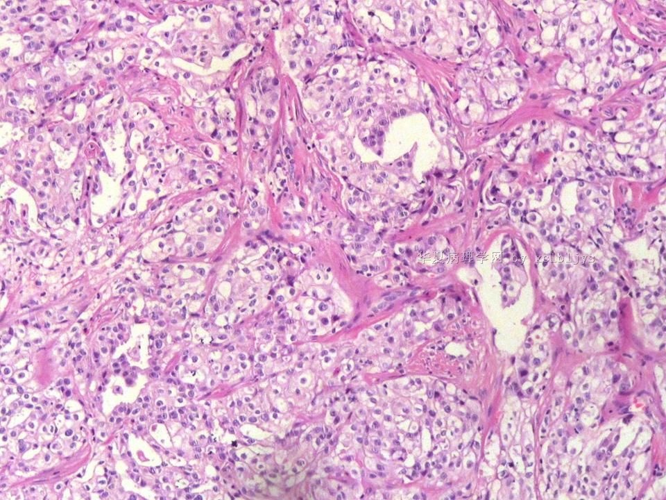
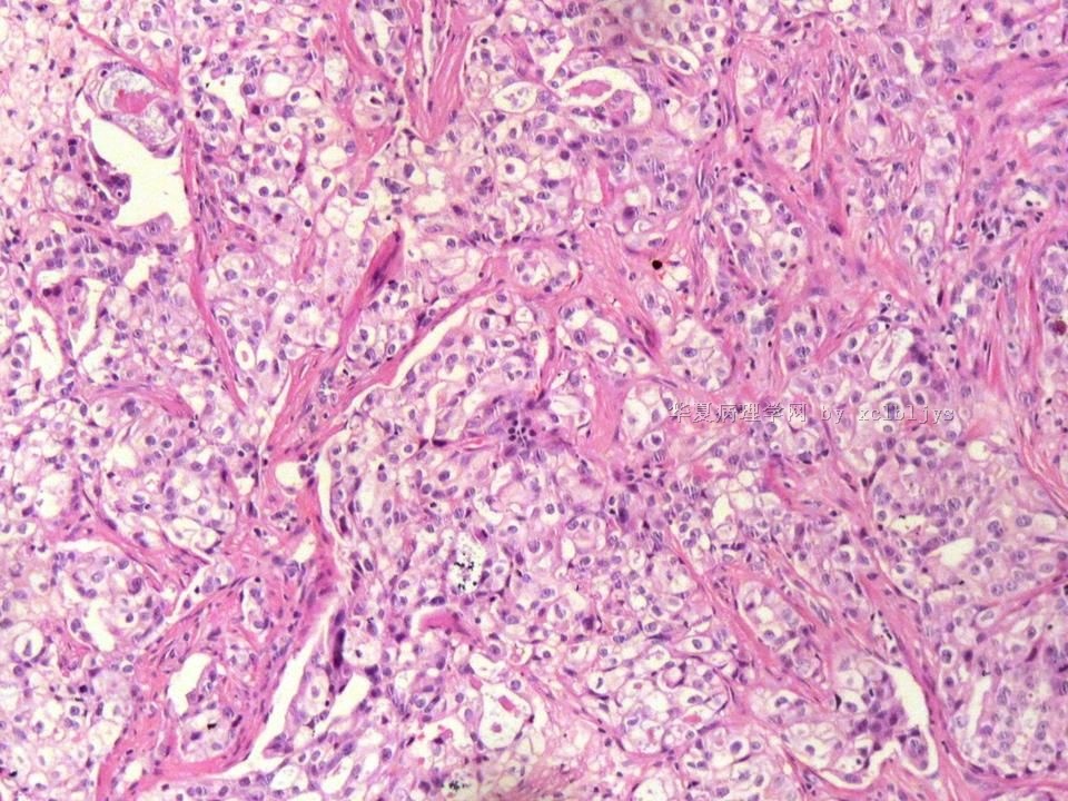
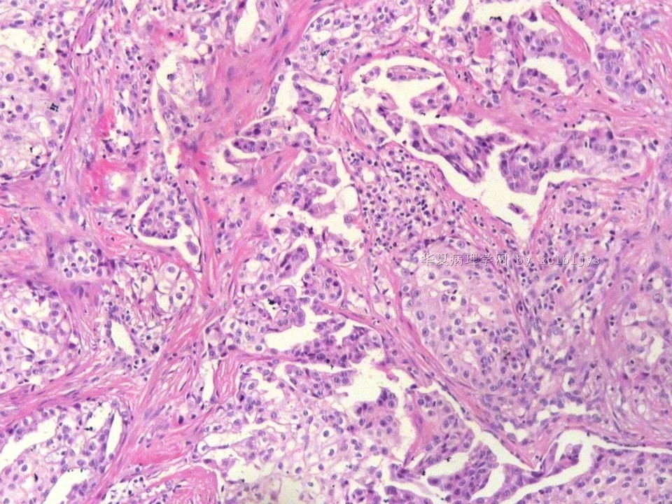
姓    名: ××× 性别:  男 年龄:  56
标本名称:  
简要病史:   
左锁骨上肿块三月余,手术切除。
肉眼检查:   
蚕豆大肿块,包膜较完整,切面灰红色,质软。
  • 左锁骨上肿块(IHC)图1
    图1
  • 左锁骨上肿块(IHC)图2
    图2
  • 左锁骨上肿块(IHC)图3
    图3
  • 左锁骨上肿块(IHC)图4
    图4
  • 左锁骨上肿块(IHC)图5
    图5
  • 左锁骨上肿块(IHC)图6
    图6
  • 左锁骨上肿块(IHC)图7
    图7
  • 左锁骨上肿块(IHC)图8
    图8
  • 左锁骨上肿块(IHC)图9
    图9
  • 左锁骨上肿块(IHC)图10
    图10
标签:
本帖最后由 于 2011-03-07 21:10:00 编辑
0
signature
许春雷
添加参考诊断
×参考诊断
  

linyguo 离线

帖子:2365
粉蓝豆:43
经验:2514
注册时间:2009-08-09
加关注  |  发消息
1 楼    发表于2011-02-26 07:49:00举报|引用
返回顶部 | 快捷回复
 转移癌
0
回复

wfbjwt 离线

帖子:6628
粉蓝豆:163
经验:7418
注册时间:2006-10-08
加关注  |  发消息
2 楼    发表于2011-02-26 12:37:00举报|引用
返回顶部 | 快捷回复
 首先考虑甲状腺或肺来源
0
回复
signature
嫁人就嫁灰太狼,学习要上华夏网。

海上明月 离线

帖子:9476
粉蓝豆:1172
经验:10007
注册时间:2009-08-29
加关注  |  发消息
3 楼    发表于2011-02-26 14:20:00举报|引用
返回顶部 | 快捷回复
 转移性腺癌。清查胃、肺等处有无原发灶。
0
回复
signature
王军臣

苍天保佑 离线

帖子:121
粉蓝豆:28
经验:270
注册时间:2010-05-12
加关注  |  发消息
4 楼    发表于2011-03-06 21:33:00举报|引用
返回顶部 | 快捷回复
 转移性腺癌,请查消化道
0
回复
signature
一米阳光

xclbljys 离线

帖子:5253
粉蓝豆:224
经验:7005
注册时间:2008-11-21
加关注  |  发消息
5 楼    发表于2011-03-07 21:10:00举报|引用
返回顶部 | 快捷回复

 

免疫组化结果:TTF-1(+),CK7(+),CK20(-),TG(-)。临床近一步检查,肺未见肿块,左甲状腺发现肿块,目前仍未处理。

0
回复
signature
许春雷

haozhaoxing 离线

帖子:764
粉蓝豆:50
经验:1308
注册时间:2010-03-14
加关注  |  发消息
6 楼    发表于2011-03-08 09:59:00举报|引用
返回顶部 | 快捷回复
 转移癌
0
回复
signature

厚积薄发

海上明月 离线

帖子:9476
粉蓝豆:1172
经验:10007
注册时间:2009-08-29
加关注  |  发消息
7 楼    发表于2011-03-09 17:12:00举报|引用
返回顶部 | 快捷回复
 TG-,是否为甲状腺来源值得怀疑。但TG-,男性患者,那就不能完全排除来自于肺。进一步影像学检查和标记鉴别。
0
回复
signature
王军臣

海上明月 离线

帖子:9476
粉蓝豆:1172
经验:10007
注册时间:2009-08-29
加关注  |  发消息
8 楼    发表于2011-03-09 17:13:00举报|引用
返回顶部 | 快捷回复
 是否还有标记Calcitonin,看有没有可能是甲状旁腺来源呢//
0
回复
signature
王军臣

海上明月 离线

帖子:9476
粉蓝豆:1172
经验:10007
注册时间:2009-08-29
加关注  |  发消息
9 楼    发表于2011-03-20 20:19:00举报|引用
返回顶部 | 快捷回复
 从形态结构看,有腺泡也有乳头结构,倾向转移性肺腺癌。
0
回复
signature
王军臣

似水年华 离线

帖子:4785
粉蓝豆:1224
经验:7481
注册时间:2011-03-23
加关注  |  发消息
10 楼    发表于2011-03-23 23:21:00举报|引用
返回顶部 | 快捷回复
 转移腺癌
0
回复
signature
人生就像一场旅行,不必在乎目的地,在乎的是沿途的风景以及看风景的心情,让心灵去旅行。

wang4160 离线

帖子:2256
粉蓝豆:16
经验:2617
注册时间:2007-01-31
加关注  |  发消息
11 楼    发表于2011-03-24 15:41:00举报|引用
返回顶部 | 快捷回复
以下是引用海上明月在2011-3-9 17:12:00的发言:

 TG-,是否为甲状腺来源值得怀疑。但TG-,男性患者,那就不能完全排除来自于肺。进一步影像学检查和标记鉴别。

支持,TTF-1阳性,肺和甲状腺都可以,TG阴性,甲状腺髓样癌可以这样!甲状旁腺癌亦可以!

肺腺癌也不能除外!

0
回复

逍遥游 离线

帖子:158
粉蓝豆:280
经验:1029
注册时间:2010-04-27
加关注  |  发消息
12 楼    发表于2011-03-24 21:55:00举报|引用
返回顶部 | 快捷回复
 期待结果。
0
回复

伊恋佳人 离线

帖子:1258
粉蓝豆:505
经验:1714
注册时间:2010-03-13
加关注  |  发消息
13 楼    发表于2011-03-24 22:00:00举报|引用
返回顶部 | 快捷回复
  转移性腺癌
0
回复
回复:13 阅读:1970
共1页/13条首页上一页1下一页尾页
【免责声明】讨论内容仅作学术交流之用,不作为诊疗依据,由此而引起的法律问题作者及本站不承担任何责任。
快速回复
进入高级回复
您最多可输入10000个汉字,按 "Ctrl" + "Enter" 直接发送
搜索回复/乘电梯 ×
按内容
按会员
乘电梯
合作伙伴
友情链接
Baidu
map