共1页/14条首页上一页1下一页尾页
回复:14 阅读:2423
会1582

shiyan 离线

帖子:432
粉蓝豆:218
经验:436
注册时间:2007-03-20
加关注  |  发消息
楼主 发表于 2007-12-16 00:00|举报|关注(1)
浏览排序[ 顺序 逆序 楼主 支持 精彩 ]  快捷回复
姓    名: ××× 性别:  女 年龄:  30
标本名称:  
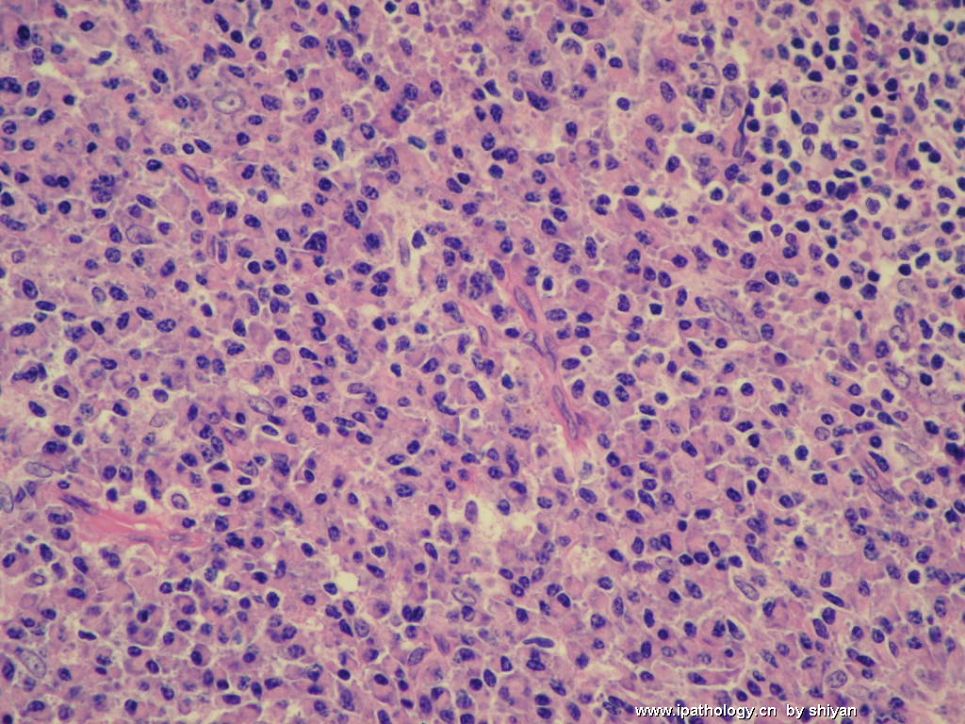
简要病史:  便血2月,一周前肛管活检,直径1.5cm。无淋巴结肿大,无发热等不适,肝脾不大。
肉眼检查:  
会1582图1
名称:图1
描述:图1
会1582图2
名称:图2
描述:图2
会1582图3
名称:图3
描述:图3
会1582图4
名称:图4
描述:图4
会1582图5
名称:图5
描述:图5
会1582图6
名称:图6
描述:图6
会1582图7
名称:图7
描述:图7
会1582图8
名称:图8
描述:图8
会1582图9
名称:图9
描述:图9
会1582图10
名称:图10
描述:图10
会1582图11
名称:图11
描述:图11
会1582图12
名称:图12
描述:图12
标签:
本帖最后由 于 2007-12-17 19:03:00 编辑
0
×参考诊断
基本符合浆细胞瘤。

wfbjwt 离线

帖子:6628
粉蓝豆:163
经验:7418
注册时间:2006-10-08
加关注  |  发消息
1 楼    发表于2007-12-16 08:29:00举报|引用
返回顶部 | 快捷回复
 伴浆细胞分化的淋巴瘤
0
回复
signature
嫁人就嫁灰太狼,学习要上华夏网。

shiyan 离线

帖子:432
粉蓝豆:218
经验:436
注册时间:2007-03-20
加关注  |  发消息
2 楼    发表于2007-12-16 12:04:00举报|引用
返回顶部 | 快捷回复

 这个帖子发的时间好,正好是零点。

最近陈老大好像比较忙啊,我就替他发两个帖子吧,让淋巴瘤专栏热闹起来!

0
回复

liguoxia71 离线

帖子:4174
粉蓝豆:3122
经验:4677
注册时间:2007-04-01
加关注  |  发消息
3 楼    发表于2007-12-16 21:49:00举报|引用
返回顶部 | 快捷回复
本帖最后由 于 2007-12-16 21:50:00 编辑  浆细胞瘤?除外恶黑。
0
回复
signature
三人行,必有我师焉,择其善者而从之,其不善者而改之。

晶成三石 离线

帖子:120
粉蓝豆:1
经验:261
注册时间:2007-10-19
加关注  |  发消息
4 楼    发表于2007-12-17 10:32:00举报|引用
返回顶部 | 快捷回复
 MALT
0
回复
signature
我的新邮箱531379799@qq.com 请和我联系。

sslm 离线

帖子:168
粉蓝豆:4
经验:168
注册时间:2007-04-06
加关注  |  发消息
5 楼    发表于2007-12-17 15:35:00举报|引用
返回顶部 | 快捷回复
 凭这几幅图,不敢诊断恶性.特别是几幅低倍.思路排个序吧:1,炎症,浆细胞肉芽肿,2,淋巴瘤.临床请查出血原因,有无痔疮,有无感染,有无其他病灶等.
0
回复

珠子 离线

帖子:110
粉蓝豆:1
经验:110
注册时间:2007-11-27
加关注  |  发消息
6 楼    发表于2007-12-17 18:47:00举报|引用
返回顶部 | 快捷回复
 MALT
0
回复

江边观潮人 离线

帖子:2684
粉蓝豆:524
经验:3338
注册时间:2006-11-12
加关注  |  发消息
7 楼    发表于2007-12-17 20:10:00举报|引用
返回顶部 | 快捷回复
以下是引用liguoxia71在2007-12-16 21:49:00的发言:

 浆细胞瘤?除外恶黑。

支持,不过恶黑不是很像(肛管鳞状上皮完整)
0
回复
signature

华夏

chengang 离线

帖子:671
粉蓝豆:15
经验:671
注册时间:2007-06-04
加关注  |  发消息
8 楼    发表于2007-12-17 22:17:00举报|引用
返回顶部 | 快捷回复
部位特殊,部分息肉状,但 从形态上和累及深度及范围来看,要考虑浆细胞瘤。组化标记单克隆性吗?
0
回复

shiyan 离线

帖子:432
粉蓝豆:218
经验:436
注册时间:2007-03-20
加关注  |  发消息
9 楼    发表于2007-12-22 21:40:00举报|引用
返回顶部 | 快捷回复
 图片分别为CD3、CD20、CD45RO、CD79a、CD38、CD138、Cyclin D1、Ki-67、Kappa、Lambda。

名称:图1
描述:图1

名称:图2
描述:图2

名称:图3
描述:图3

名称:图4
描述:图4

名称:图5
描述:图5

名称:图6
描述:图6

名称:图7
描述:图7

名称:图8
描述:图8

名称:图9
描述:图9

名称:图10
描述:图10
0
回复

chengang 离线

帖子:671
粉蓝豆:15
经验:671
注册时间:2007-06-04
加关注  |  发消息
10 楼    发表于2007-12-22 21:55:00举报|引用
返回顶部 | 快捷回复
 形态上浆细胞较成熟且单一,免疫表型也支持浆细胞,且Kappa阳性细胞远多于Lambda阳性细胞数量,提示为单克隆性,所以结合形态和免疫表型,此例应该考虑浆细胞瘤的诊断。
0
回复

故乡 离线

帖子:703
粉蓝豆:318
经验:961
注册时间:2007-12-15
加关注  |  发消息
11 楼    发表于2007-12-22 23:20:00举报|引用
返回顶部 | 快捷回复

形态上为较单一的浆细胞,符合浆细胞瘤的改变,但是该病人较年轻,30岁,骨外浆细胞瘤少见,排除MALT淋巴瘤,伴浆细胞分化。

0
回复

shiyan 离线

帖子:432
粉蓝豆:218
经验:436
注册时间:2007-03-20
加关注  |  发消息
12 楼    发表于2007-12-23 22:42:00举报|引用
返回顶部 | 快捷回复

最后诊断:(肛管)息肉状浆细胞单克隆增生,基本符合浆细胞瘤。

0
回复

JX16 离线

帖子:1079
粉蓝豆:5
经验:3225
注册时间:2008-10-27
加关注  |  发消息
13 楼    发表于2010-08-25 22:16:00举报|引用
返回顶部 | 快捷回复
 浆细胞瘤
0
回复
signature
jx16

学浅 离线

帖子:2053
粉蓝豆:79
经验:3125
注册时间:2008-06-01
加关注  |  发消息
14 楼    发表于2010-09-05 17:26:00举报|引用
返回顶部 | 快捷回复
 切片做得真好
0
回复
回复:14 阅读:2423
共1页/14条首页上一页1下一页尾页
【免责声明】讨论内容仅作学术交流之用,不作为诊疗依据,由此而引起的法律问题作者及本站不承担任何责任。
快速回复
进入高级回复
您最多可输入10000个汉字,按 "Ctrl" + "Enter" 直接发送
搜索回复/乘电梯 ×
按内容
按会员
乘电梯
合作伙伴
友情链接
Baidu
map