共1页/7条首页上一页1下一页尾页
回复:7 阅读:6424
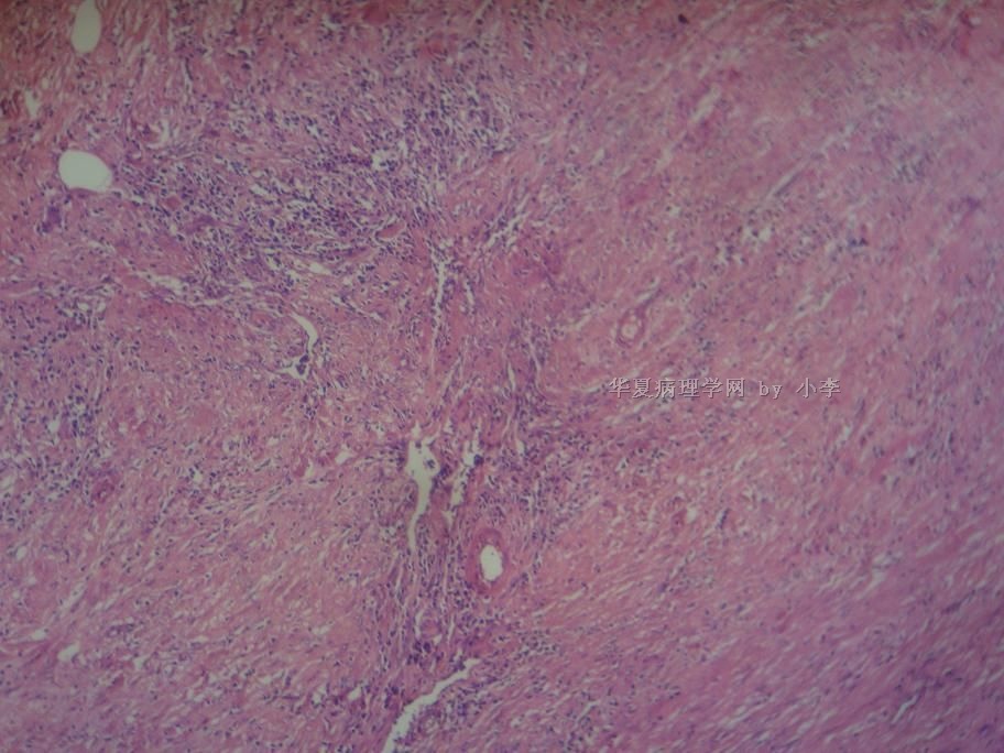
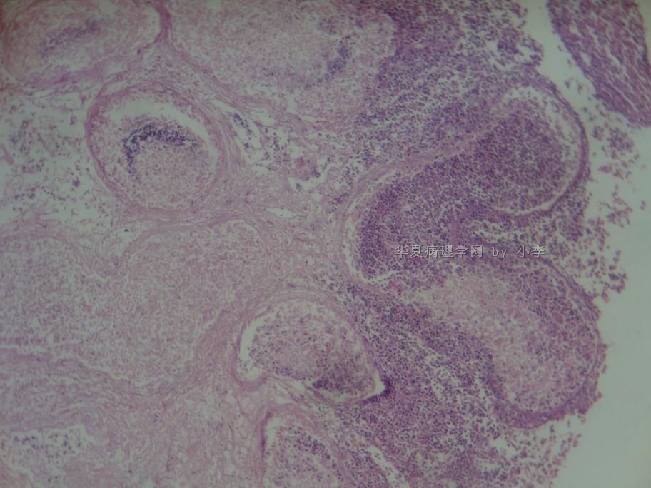
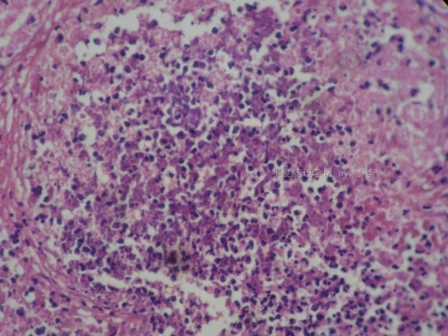
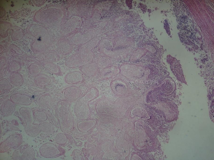
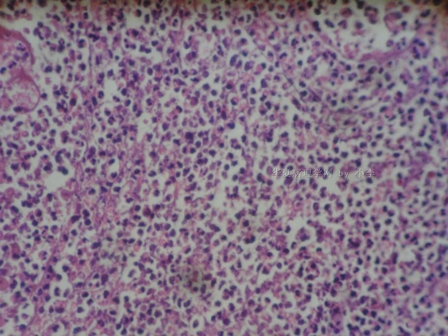
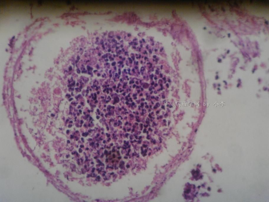
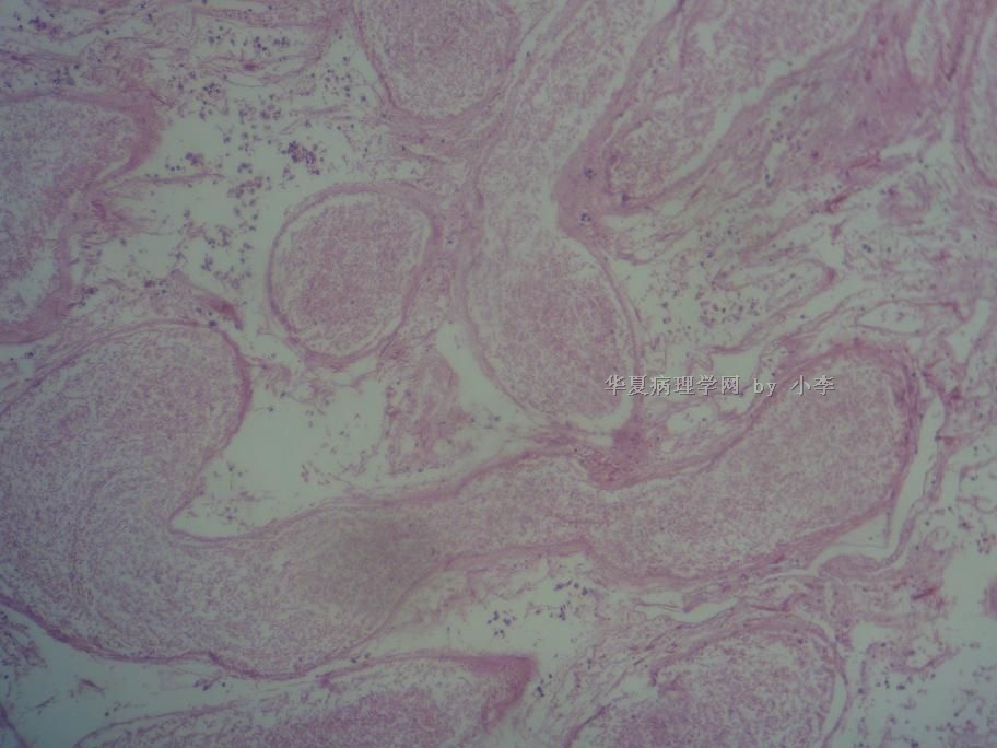
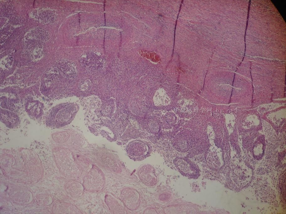
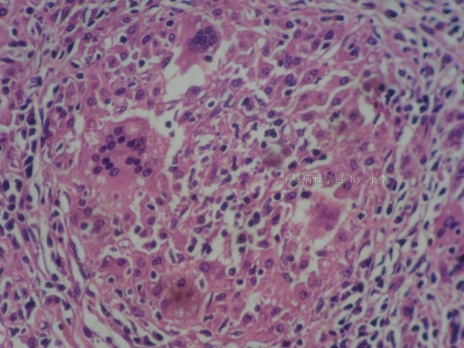
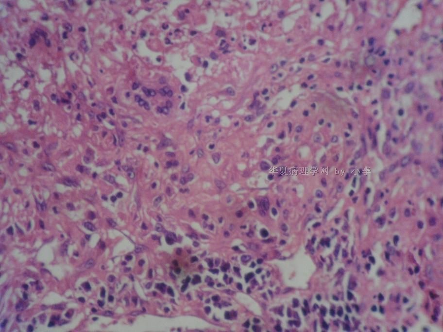
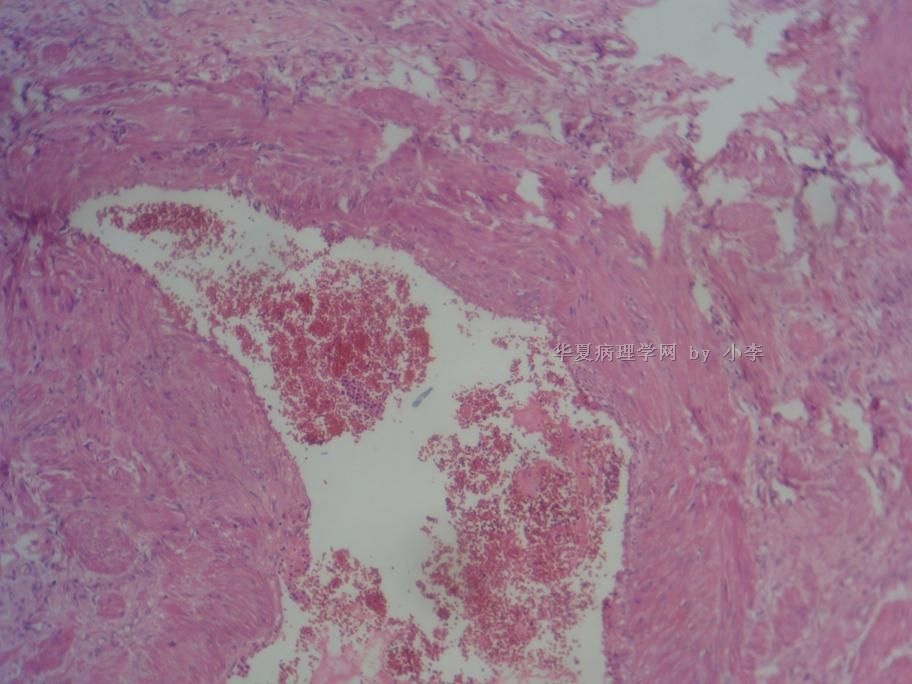
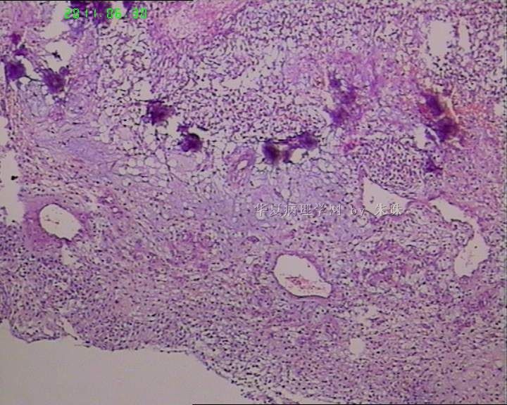
睾丸炎?

小李 离线

帖子:624
粉蓝豆:53
经验:727
注册时间:2007-11-17
加关注  |  发消息
楼主 发表于 2011-06-30 20:06|举报|关注(0)
浏览排序[ 顺序 逆序 楼主 支持 精彩 ]  快捷回复
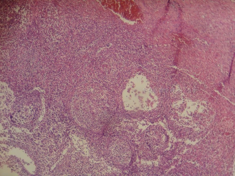
姓    名: ××× 性别:  男 年龄: 46岁 
标本名称:  
简要病史:  
肉眼检查:  
  • 睾丸炎?图1
    图1
  • 睾丸炎?图2
    图2
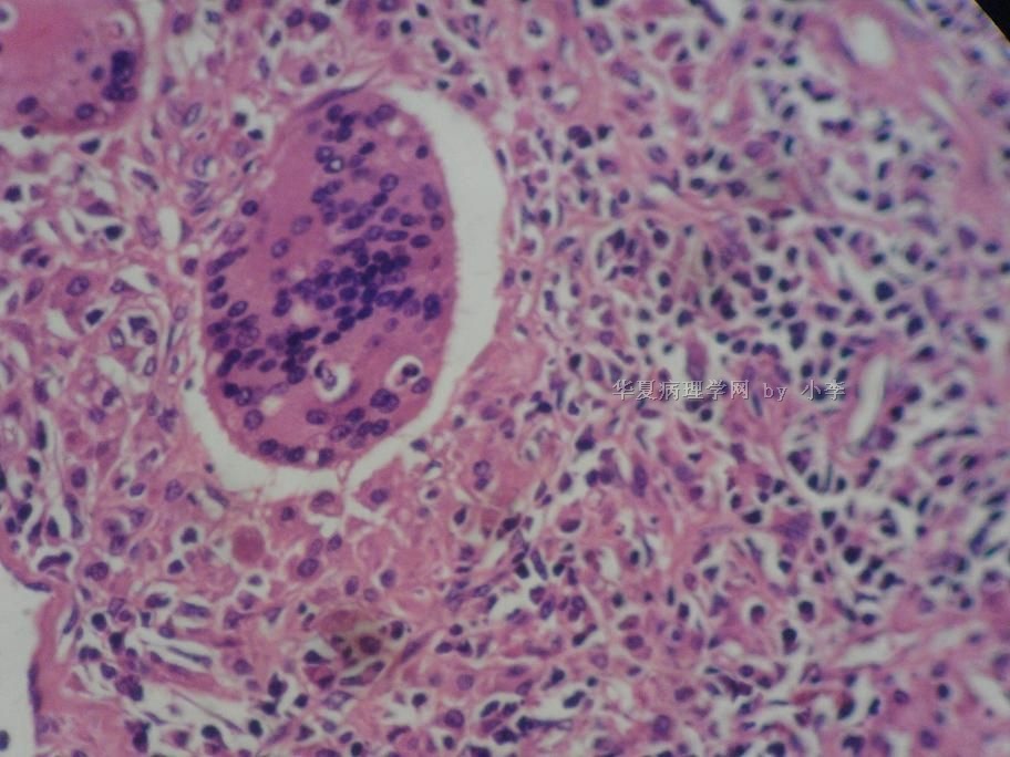
  • 睾丸炎?图3
    图3
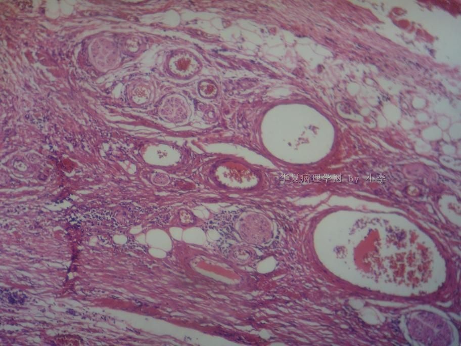
  • 睾丸炎?图4
    图4
  • 睾丸炎?图5
    图5
  • 睾丸炎?图6
    图6
  • 睾丸炎?图7
    图7
  • 睾丸炎?图8
    图8
  • 睾丸炎?图9
    图9
  • 睾丸炎?图10
    图10
  • 睾丸炎?图11
    图11
  • 睾丸炎?图12
    图12
  • 睾丸炎?图13
    图13
  • 睾丸炎?图14
    图14
  • 睾丸炎?图15
    图15
  • 睾丸炎?图16
    图16
  • 睾丸炎?图17
    图17
  • 睾丸炎?图18
    图18
  • 睾丸炎?图19
    图19
  • 睾丸炎?图20
    图20
  • 睾丸炎?图21
    图21
  • 睾丸炎?图22
    图22
  • 睾丸炎?图23
    图23
  • 睾丸炎?图24
    图24
  • 睾丸炎?图25
    图25
  • 睾丸炎?图26
    图26
  • 睾丸炎?图27
    图27
  • 睾丸炎?图28
    图28
  • 睾丸炎?图29
    图29
  • 睾丸炎?图30
    图30
  • 睾丸炎?图31
    图31
  • 睾丸炎?图32
    图32
  • 睾丸炎?图33
    图33
  • 睾丸炎?图34
    图34
  • 睾丸炎?图35
    图35
  • 睾丸炎?图36
    图36
  • 睾丸炎?图37
    图37
  • 睾丸炎?图38
    图38
  • 睾丸炎?图39
    图39
  • 睾丸炎?图40
    图40
  • 睾丸炎?图41
    图41
  • 睾丸炎?图42
    图42
  • 睾丸炎?图43
    图43
  • 睾丸炎?图44
    图44
  • 睾丸炎?图45
    图45
  • 睾丸炎?图46
    图46
标签:
本帖最后由 于 2011-06-30 20:17:00 编辑
0
添加参考诊断
×参考诊断
  

wfbjwt 离线

帖子:6628
粉蓝豆:163
经验:7418
注册时间:2006-10-08
加关注  |  发消息
1 楼    发表于2011-06-30 20:40:00举报|引用
返回顶部 | 快捷回复
 首先考虑精子肉芽肿
1

甜甜
回复
signature
嫁人就嫁灰太狼,学习要上华夏网。

zhangyanmei 离线

帖子:205
粉蓝豆:43
经验:682
注册时间:2010-11-11
加关注  |  发消息
2 楼    发表于2011-07-01 06:06:00举报|引用
返回顶部 | 快捷回复
 慢性肉芽肿性炎
0
回复

zhouquan 离线

帖子:7752
粉蓝豆:290
经验:8263
注册时间:2008-11-09
加关注  |  发消息
3 楼    发表于2011-07-01 06:57:00举报|引用
返回顶部 | 快捷回复
 肉芽肿性睾丸炎
0
回复
signature
成功不是得到多少东西,而是把身上多余的东西的扔掉多少。   

学浅 离线

帖子:2053
粉蓝豆:79
经验:3125
注册时间:2008-06-01
加关注  |  发消息
4 楼    发表于2011-07-01 08:52:00举报|引用
返回顶部 | 快捷回复
以下是引用wfbjwt在2011-6-30 20:40:00的发言:

 首先考虑精子肉芽肿

0
回复

ccy142729 离线

帖子:55
粉蓝豆:14
经验:323
注册时间:2008-10-10
加关注  |  发消息
5 楼    发表于2011-07-01 11:19:00举报|引用
返回顶部 | 快捷回复
 以下是引用wfbjwt在2011-6-30 20:40:00的发言:

 首先考虑精子肉芽肿

0
回复

麦田守望者 离线

帖子:158
粉蓝豆:36
经验:247
注册时间:2008-09-24
加关注  |  发消息
6 楼    发表于2011-07-08 12:12:00举报|引用
返回顶部 | 快捷回复
以下是引用wfbjwt在2011-6-30 20:40:00的发言:

 首先考虑精子肉芽肿

0
回复

zq19931125 离线

帖子:681
粉蓝豆:4
经验:734
注册时间:2012-07-12
加关注  |  发消息
7 楼    发表于2014-02-02 16:02:11举报|引用
返回顶部 | 快捷回复

 精子肉芽肿

0
回复
signature
一切有为法,如梦幻泡影
回复:7 阅读:6424
共1页/7条首页上一页1下一页尾页
【免责声明】讨论内容仅作学术交流之用,不作为诊疗依据,由此而引起的法律问题作者及本站不承担任何责任。
快速回复
进入高级回复
您最多可输入10000个汉字,按 "Ctrl" + "Enter" 直接发送
搜索回复/乘电梯 ×
按内容
按会员
乘电梯
合作伙伴
友情链接
Baidu
map