共1页/9条首页上一页1下一页尾页
回复:9 阅读:2209
颈部肿物

微观世界笨鸟 离线

帖子:1091
粉蓝豆:93
经验:2243
注册时间:2011-01-27
加关注  |  发消息
楼主 发表于 2012-01-16 11:53|举报|关注(0)
浏览排序[ 顺序 逆序 楼主 支持 精彩 ]  快捷回复

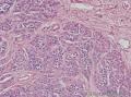
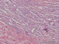
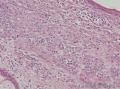
 女;42岁,颈部乳头状瘤渐进性增大40余年;大小如鸡蛋大小

 

  • 颈部肿物图1
    图1
  • 颈部肿物图2
    图2
  • 颈部肿物图3
    图3
  • 颈部肿物图4
    图4
  • 颈部肿物图5
    图5
  • 颈部肿物图6
    图6
  • 颈部肿物图7
    图7
  • 颈部肿物图8
    图8
  • 颈部肿物图9
    图9
  • 颈部肿物图10
    图10
  • 颈部肿物图11
    图11
  • 颈部肿物图12
    图12
  • 颈部肿物图13
    图13
  • 颈部肿物图14
    图14
  • 颈部肿物图15
    图15
  • 颈部肿物图16
    图16
标签:
0
signature
刀尖舞者!
添加参考诊断
×参考诊断
  

点点星辰 离线

帖子:137
粉蓝豆:394
经验:1858
注册时间:2006-10-23
加关注  |  发消息
1 楼    发表于2012-01-16 11:57:51举报|引用
返回顶部 | 快捷回复

皮内痣。

1

flj20092..
回复

brz0001 离线

帖子:3035
粉蓝豆:97
经验:3058
注册时间:2008-05-05
加关注  |  发消息
2 楼    发表于2012-01-16 12:21:32举报|引用
返回顶部 | 快捷回复

皮内痣

0
回复

csx学习 离线

帖子:198
粉蓝豆:5
经验:605
注册时间:2009-08-21
加关注  |  发消息
3 楼    发表于2012-01-16 14:22:23举报|引用
返回顶部 | 快捷回复

皮内痣,似乎有细胞散开倾向,痣细胞轻度不典型增生。

0
回复

一棵小草 离线

帖子:5101
粉蓝豆:12
经验:7184
注册时间:2008-07-07
加关注  |  发消息
4 楼    发表于2012-01-23 23:31:51举报|引用
返回顶部 | 快捷回复
本帖最后由 一棵小草 于 2012-01-23 23:33:24 编辑

复合痣,痣细胞围绕着附属器生长,结合临床,考虑先天性色素痣,这里的图片异型性似乎不明显,成熟现象不十分典型,40多年病史了,皮损巨大,是否进一步做做免疫组化?

0
回复

未知陨石 离线

帖子:479
粉蓝豆:13
经验:559
注册时间:2010-09-11
加关注  |  发消息
5 楼    发表于2012-01-24 10:47:08举报|引用
返回顶部 | 快捷回复

痣,浅表恶黑不够

0
回复
signature

zhangyajing 离线

帖子:500
粉蓝豆:4
经验:610
注册时间:2008-03-23
加关注  |  发消息
6 楼    发表于2012-01-31 00:18:34举报|引用
返回顶部 | 快捷回复

先天性色素痣 

1

zhouquan
回复

guoyunquan 离线

帖子:181
粉蓝豆:76
经验:290
注册时间:2010-08-24
加关注  |  发消息
7 楼    发表于2012-01-31 01:48:34举报|引用
返回顶部 | 快捷回复

皮内痣

0
回复
signature
细节决定诊断,兴趣是最好的老师!

海之舟 离线

帖子:299
粉蓝豆:27
经验:511
注册时间:2007-11-15
加关注  |  发消息
8 楼    发表于2012-02-04 09:33:14举报|引用
返回顶部 | 快捷回复

痣。

0
回复

laowon 离线

帖子:438
粉蓝豆:12
经验:1886
注册时间:2010-07-31
加关注  |  发消息
9 楼    发表于2012-02-04 10:55:33举报|引用
返回顶部 | 快捷回复

先天性色素痣 。

0
回复
回复:9 阅读:2209
共1页/9条首页上一页1下一页尾页
【免责声明】讨论内容仅作学术交流之用,不作为诊疗依据,由此而引起的法律问题作者及本站不承担任何责任。
快速回复
进入高级回复
您最多可输入10000个汉字,按 "Ctrl" + "Enter" 直接发送
搜索回复/乘电梯 ×
按内容
按会员
乘电梯
合作伙伴
友情链接
Baidu
map