共1页/9条首页上一页1下一页尾页
回复:9 阅读:6824
驻京部队252次读片会-304医院供片-5

咖啡 离线

帖子:109
粉蓝豆:76
经验:266
注册时间:2010-03-24
加关注  |  发消息
楼主 发表于 2012-05-04 23:08|举报|关注(0)
浏览排序[ 顺序 逆序 楼主 支持 精彩 ]  快捷回复

详解在5楼

 

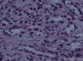
 患者女性,29岁,右胫骨中段碰撞后疼痛一月余。MRI可见右侧胫骨中段髓腔内可见不规则长T1T2信号,似多个结节融合,最大者约23*13mm,边界尚清,邻近骨皮质略变薄。大体检查:灰白灰红色破碎软组织与骨组织一堆,总体积4.0×3.0×0.8cm

  • 驻京部队252次读片会-304医院供片-5图1
    图1
  • 驻京部队252次读片会-304医院供片-5图2
    图2
  • 驻京部队252次读片会-304医院供片-5图3
    图3
  • 驻京部队252次读片会-304医院供片-5图4
    图4
  • 驻京部队252次读片会-304医院供片-5图5
    图5
  • 驻京部队252次读片会-304医院供片-5图6
    图6
  • 驻京部队252次读片会-304医院供片-5图7
    图7
  • 驻京部队252次读片会-304医院供片-5图8
    图8
  • 驻京部队252次读片会-304医院供片-5图9
    图9
  • 驻京部队252次读片会-304医院供片-5图10
    图10
  • 驻京部队252次读片会-304医院供片-5图11
    图11
  • 驻京部队252次读片会-304医院供片-5图12
    图12
  • 驻京部队252次读片会-304医院供片-5图13
    图13
  • 驻京部队252次读片会-304医院供片-5图14
    图14
  • 驻京部队252次读片会-304医院供片-5图15
    图15
  • 驻京部队252次读片会-304医院供片-5图16
    图16
  • 驻京部队252次读片会-304医院供片-5图17
    图17
 
标签:
本帖最后由 咖啡 于 2012-05-18 23:05:01 编辑
0
×参考诊断
长骨釉质瘤,伴神经内分泌分化。

wfbjwt 离线

帖子:6628
粉蓝豆:163
经验:7418
注册时间:2006-10-08
加关注  |  发消息
1 楼    发表于2012-05-05 20:55:43举报|引用
返回顶部 | 快捷回复

血管内皮增生的真活跃,不会是鞋钉状血管瘤或血管内皮瘤吧?

0
回复
signature
嫁人就嫁灰太狼,学习要上华夏网。

蓝宝石6628 离线

帖子:16787
粉蓝豆:321
经验:17245
注册时间:2012-03-30
加关注  |  发消息
2 楼    发表于2012-05-06 09:41:29举报|引用
返回顶部 | 快捷回复

血管来源的肿瘤

0
回复
signature
乐观向上,不断进取!

202PL 离线

帖子:850
粉蓝豆:129
经验:1050
注册时间:2010-06-19
加关注  |  发消息
3 楼    发表于2012-05-07 08:54:07举报|引用
返回顶部 | 快捷回复

病人年轻,先考虑血管源性肿瘤,除外双向分化的间皮肿瘤。

0
回复

一了 离线

帖子:2138
粉蓝豆:64
经验:2288
注册时间:2009-03-31
加关注  |  发消息
4 楼    发表于2012-05-07 15:01:26举报|引用
返回顶部 | 快捷回复

有腺样结构,首选长骨造釉细胞瘤。

0
回复

咖啡 离线

帖子:109
粉蓝豆:76
经验:266
注册时间:2010-03-24
加关注  |  发消息
5 楼    发表于2012-05-18 23:04:23举报|引用
返回顶部 | 快捷回复

免疫组化结果:

阳性Vim(+), CK(++), EMA (+), CK5/6(++), CK7(++), CK19(++), NSE (+), CD56 (+), CD99(++)

阴性标记物:CK8/18CK20CA125TTF-1VillinCDX-2Moc31GCDFP-15BcA225 CD34CRMCWT-1

病理诊断:

(右胫骨中段)破碎的肿瘤组织由编织样排列的纤维组织与低立方上皮腺管组织构成,腺样结构多呈簇状分布。符合长骨釉质瘤,伴神经内分泌分化。 

长骨釉质瘤

¡        流行病学:占骨原发肿瘤的0.4%,可发生于3-86岁,中位年龄25-35岁。

¡        发病部位:多发生于胫骨(近骺端骨干),尤其中下1/3处,占85%-90%。近10%伴有同侧腓骨的单个或多个病变。偶尔有其他发病部位的报道,如股骨、尺骨、锁骨和肋骨等。

¡        影像学特点:骨干皮质内境界不清楚的溶骨性改变,以囊性、膨胀性为主,有时多房样呈“肥皂泡样”改变(沿长轴扩展)。病变周围有不同程度的硬化缘。骨皮质可增生、硬化,也可以骨质溶解,呈侵蚀性或浸润性破坏,甚至表现出骨膜反应并软组织肿块及远处转移等恶性特征。

¡        经典釉质瘤组织病理学:由不同比例的上皮性和骨纤维成分构成。按上皮细胞形态分4

Ø       基底细胞样

Ø       腺管状

Ø       梭形细胞型

Ø       鳞状细胞型

¡        骨性纤维结构不良型釉质瘤 OFD样釉质瘤)

¡        免疫组化:纤维组织Vim阳性。上皮细胞同时表达CKEMAVim。(CK7CK19CK5/6阳性,CK8/18阴性)

 

¡        鉴别诊断:

Ø       转移癌

Ø       纤维结构不良

Ø       骨性纤维结构不良

Ø       滑膜肉瘤

Ø       其他骨内原发性梭形细胞肿瘤

 

¡        组织起源:

Ø       上皮起源

Ø       间叶-上皮转化来源

Ø       神经嵴神经管来源

Ø       多分化潜能的干细胞来源

¡        遗传学特点:染色体数目异常,主要是染色体781219的扩增。

¡        治疗:手术治疗,外科边界要广泛切除,对放、化疗不敏感。

¡        预后:低度恶性,非根治手术易复发。可转移

¡        影响预后因素:性别、年龄、病程、初诊时的症状、肿瘤的鳞状细胞分化及上皮与纤维间质的比例等。

 

2

xubkite

娃呵呵
回复

wfbjwt 离线

帖子:6628
粉蓝豆:163
经验:7418
注册时间:2006-10-08
加关注  |  发消息
6 楼    发表于2012-05-19 09:35:50举报|引用
返回顶部 | 快捷回复

很好的病例,学习了。

0
回复
signature
嫁人就嫁灰太狼,学习要上华夏网。

xionghanzhen 离线

帖子:11
粉蓝豆:19
经验:112
注册时间:2010-09-20
加关注  |  发消息
7 楼    发表于2012-05-19 17:21:14举报|引用
返回顶部 | 快捷回复

学习啦

0
回复

jcw62 离线

帖子:2267
粉蓝豆:468
经验:4978
注册时间:2009-05-23
加关注  |  发消息
8 楼    发表于2012-09-02 13:24:32举报|引用
返回顶部 | 快捷回复
引用 5 楼 咖啡 在 2012-05-18 23:04:23 的发言:

免疫组化结果:

阳性Vim(+), CK(++), EMA (+), CK5/6(++), CK7(++), CK19(++), NSE (+), CD56 (+), CD99(++)

阴性标记物:CK8/18CK20CA125TTF-1VillinCDX-2Moc31GCDFP-15BcA225 CD34CRMCWT-1

病理诊断:

(右胫骨中段)破碎的肿瘤组织由编织样排列的纤维组织与低立方上皮腺管组织构成,腺样结构多呈簇状分布。符合长骨釉质瘤,伴神经内分泌分化。 

长骨釉质瘤

¡        流行病学:占骨原发肿瘤的0.4%,可发生于3-86岁,中位年龄25-35岁。

¡        发病部位:多发生于胫骨(近骺端骨干),尤其中下1/3处,占85%-90%。近10%伴有同侧腓骨的单个或多个病变。偶尔有其他发病部位的报道,如股骨、尺骨、锁骨和肋骨等。

¡        影像学特点:骨干皮质内境界不清楚的溶骨性改变,以囊性、膨胀性为主,有时多房样呈“肥皂泡样”改变(沿长轴扩展)。病变周围有不同程度的硬化缘。骨皮质可增生、硬化,也可以骨质溶解,呈侵蚀性或浸润性破坏,甚至表现出骨膜反应并软组织肿块及远处转移等恶性特征。

¡        经典釉质瘤组织病理学:由不同比例的上皮性和骨纤维成分构成。按上皮细胞形态分4

Ø       基底细胞样

Ø       腺管状

Ø       梭形细胞型

Ø       鳞状细胞型

¡        骨性纤维结构不良型釉质瘤 OFD样釉质瘤)

¡        免疫组化:纤维组织Vim阳性。上皮细胞同时表达CKEMAVim。(CK7CK19CK5/6阳性,CK8/18阴性)

 

¡        鉴别诊断:

Ø       转移癌

Ø       纤维结构不良

Ø       骨性纤维结构不良

Ø       滑膜肉瘤

Ø       其他骨内原发性梭形细胞肿瘤

 

¡        组织起源:

Ø       上皮起源

Ø       间叶-上皮转化来源

Ø       神经嵴神经管来源

Ø       多分化潜能的干细胞来源

¡        遗传学特点:染色体数目异常,主要是染色体781219的扩增。

¡        治疗:手术治疗,外科边界要广泛切除,对放、化疗不敏感。

¡        预后:低度恶性,非根治手术易复发。可转移

¡        影响预后因素:性别、年龄、病程、初诊时的症状、肿瘤的鳞状细胞分化及上皮与纤维间质的比例等。

 

谢谢楼主,很好的病例,学习!有影像学片子吗?

0
回复

liangjinjun 离线

帖子:2328
粉蓝豆:2
经验:2457
注册时间:2007-08-07
加关注  |  发消息
9 楼    发表于2012-12-22 23:27:42举报|引用
返回顶部 | 快捷回复

学习啦

0
回复
signature
梁晋军
回复:9 阅读:6824
共1页/9条首页上一页1下一页尾页
【免责声明】讨论内容仅作学术交流之用,不作为诊疗依据,由此而引起的法律问题作者及本站不承担任何责任。
快速回复
进入高级回复
您最多可输入10000个汉字,按 "Ctrl" + "Enter" 直接发送
搜索回复/乘电梯 ×
按内容
按会员
乘电梯
合作伙伴
友情链接
Baidu
map