共1页/8条首页上一页1下一页尾页
回复:8 阅读:1667
乳头状癌?

小李 离线

帖子:624
粉蓝豆:53
经验:727
注册时间:2007-11-17
加关注  |  发消息
楼主 发表于 2012-06-13 13:26|举报|关注(1)
浏览排序[ 顺序 逆序 楼主 支持 精彩 ]  快捷回复

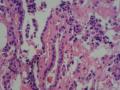
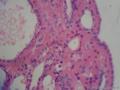
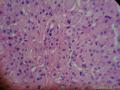
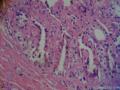
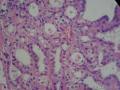
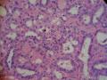
 女    58岁      破碎紫红组织一堆V:3X2.5X1CM。

  • 乳头状癌?图1
    图1
  • 乳头状癌?图2
    图2
  • 乳头状癌?图3
    图3
  • 乳头状癌?图4
    图4
  • 乳头状癌?图5
    图5
  • 乳头状癌?图6
    图6
  • 乳头状癌?图7
    图7
  • 乳头状癌?图8
    图8
  • 乳头状癌?图9
    图9
  • 乳头状癌?图10
    图10
  • 乳头状癌?图11
    图11
  • 乳头状癌?图12
    图12
  • 乳头状癌?图13
    图13
  • 乳头状癌?图14
    图14
  • 乳头状癌?图15
    图15
  • 乳头状癌?图16
    图16
  • 乳头状癌?图17
    图17
  • 乳头状癌?图18
    图18
  • 乳头状癌?图19
    图19
  • 乳头状癌?图20
    图20
  • 乳头状癌?图21
    图21
  • 乳头状癌?图22
    图22
  • 乳头状癌?图23
    图23
  • 乳头状癌?图24
    图24
  • 乳头状癌?图25
    图25
  • 乳头状癌?图26
    图26
  • 乳头状癌?图27
    图27
  • 乳头状癌?图28
    图28
  • 乳头状癌?图29
    图29
  • 乳头状癌?图30
    图30
  • 乳头状癌?图31
    图31
  • 乳头状癌?图32
    图32
  • 乳头状癌?图33
    图33

补取,好多毛玻璃样核。

  • 乳头状癌?图34
    图1
  • 乳头状癌?图35
    图2
  • 乳头状癌?图36
    图3
  • 乳头状癌?图37
    图4
  • 乳头状癌?图38
    图5
  • 乳头状癌?图39
    图6
  • 乳头状癌?图40
    图7
  • 乳头状癌?图41
    图8
  • 乳头状癌?图42
    图9
  • 乳头状癌?图43
    图10
  • 乳头状癌?图44
    图11
  • 乳头状癌?图45
    图12
  • 乳头状癌?图46
    图13
  • 乳头状癌?图47
    图14
  • 乳头状癌?图48
    图15
  • 乳头状癌?图49
    图16
  • 乳头状癌?图50
    图17
  • 乳头状癌?图51
    图18
  • 乳头状癌?图52
    图19
  • 乳头状癌?图53
    图20
  • 乳头状癌?图54
    图21
  • 乳头状癌?图55
    图22
  • 乳头状癌?图56
    图23
  • 乳头状癌?图57
    图24
  • 乳头状癌?图58
    图25
  • 乳头状癌?图59
    图26
  • 乳头状癌?图60
    图27
  • 乳头状癌?图61
    图28
  • 乳头状癌?图62
    图29
  • 乳头状癌?图63
    图30
  • 乳头状癌?图64
    图31
  • 乳头状癌?图65
    图32
  • 乳头状癌?图66
    图33
  • 乳头状癌?图67
    图34
  • 乳头状癌?图68
    图35
  • 乳头状癌?图69
    图36
  • 乳头状癌?图70
    图37
  • 乳头状癌?图71
    图38
  • 乳头状癌?图72
    图39
  • 乳头状癌?图73
    图40
  • 乳头状癌?图74
    图41
  • 乳头状癌?图75
    图42
  • 乳头状癌?图76
    图43
标签:
本帖最后由 小李 于 2012-06-15 16:50:21 编辑
0
添加参考诊断
×参考诊断
  

wfbjwt 离线

帖子:6628
粉蓝豆:163
经验:7418
注册时间:2006-10-08
加关注  |  发消息
1 楼    发表于2012-06-13 15:10:12举报|引用
返回顶部 | 快捷回复

结甲

0
回复
signature
嫁人就嫁灰太狼,学习要上华夏网。

迷途小书僮 离线

帖子:145
粉蓝豆:1939
经验:290
注册时间:2010-10-03
加关注  |  发消息
2 楼    发表于2012-06-13 15:13:14举报|引用
返回顶部 | 快捷回复

结甲伴乳头状增生

1

浪漫主义
回复
signature
求真务实

雾蒙蒙 离线

帖子:30591
粉蓝豆:4939
经验:37219
注册时间:2011-06-12
加关注  |  发消息
3 楼    发表于2012-06-14 07:55:01举报|引用
返回顶部 | 快捷回复

结甲                                 

0
回复
signature

诚信 敬业 博学 奉献

闹闹 离线

帖子:944
粉蓝豆:24
经验:1921
注册时间:2007-07-25
加关注  |  发消息
4 楼    发表于2012-06-14 08:21:54举报|引用
返回顶部 | 快捷回复

结甲囊性变伴滤泡上皮乳头状增生

0
回复

lsm0075 离线

帖子:535
粉蓝豆:2591
经验:1947
注册时间:2011-10-16
加关注  |  发消息
5 楼    发表于2012-06-14 08:36:13举报|引用
返回顶部 | 快捷回复

结甲

0
回复
signature
远离外界的浮躁与喧嚣,享受镜下的平和与宁静

蓝宝石6628 离线

帖子:16787
粉蓝豆:321
经验:17245
注册时间:2012-03-30
加关注  |  发消息
6 楼    发表于2012-06-14 09:46:33举报|引用
返回顶部 | 快捷回复

结甲

0
回复
signature
乐观向上,不断进取!

伯牙绝弦 离线

帖子:1408
粉蓝豆:152
经验:2019
注册时间:2010-09-28
加关注  |  发消息
7 楼    发表于2012-06-14 19:31:45举报|引用
返回顶部 | 快捷回复

结甲

0
回复
signature
成功不是将来才有的,而是从决定去做的那一刻起,持续累积而成。

blood 离线

帖子:23
粉蓝豆:1
经验:116
注册时间:2011-11-15
加关注  |  发消息
8 楼    发表于2012-06-14 20:00:40举报|引用
返回顶部 | 快捷回复

不够

0
回复
回复:8 阅读:1667
共1页/8条首页上一页1下一页尾页
【免责声明】讨论内容仅作学术交流之用,不作为诊疗依据,由此而引起的法律问题作者及本站不承担任何责任。
快速回复
进入高级回复
您最多可输入10000个汉字,按 "Ctrl" + "Enter" 直接发送
搜索回复/乘电梯 ×
按内容
按会员
乘电梯
合作伙伴
友情链接
Baidu
map