共1页/15条首页上一页1下一页尾页
回复:15 阅读:1520
左肺癌?

何生 离线

帖子:1281
粉蓝豆:68
经验:6249
注册时间:2009-04-18
加关注  |  发消息
楼主 发表于 2013-03-20 15:44|举报|关注(1)
浏览排序[ 顺序 逆序 楼主 支持 精彩 ]  快捷回复
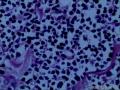
性别年龄46临床诊断左肺癌
一般病史左肺非小细胞癌综合治疗一年。
标本名称左肺切除标本
大体所见一叶肺组织,10X8X6CM。切开紧靠支气管切缘见一灰白色肿块,3X2X2CM,切面灰白色,质较硬。其一侧还见一囊肿,4X2.5X2CM,囊壁光滑。

 

  • 左肺癌?图1
    图1
  • 左肺癌?图2
    图2
  • 左肺癌?图3
    图3
  • 左肺癌?图4
    图4
  • 左肺癌?图5
    图5
  • 左肺癌?图6
    图6
  • 左肺癌?图7
    图7
  • 左肺癌?图8
    图8
  • 左肺癌?图9
    图9
  • 左肺癌?图10
    图10
  • 左肺癌?图11
    图11
  • 左肺癌?图12
    图12
  • 左肺癌?图13
    图13
  • 左肺癌?图14
    图14
  • 左肺癌?图15
    图15
  • 左肺癌?图16
    图16
  • 左肺癌?图17
    图17
  • 左肺癌?图18
    图18
  • 左肺癌?图19
    图19
  • 左肺癌?图20
    图20
  • 左肺癌?图21
    图21
  • 左肺癌?图22
    图22
  • 左肺癌?图23
    图23
  • 左肺癌?图24
    图24
  • 左肺癌?图25
    图25
  • 左肺癌?图26
    图26
  • 左肺癌?图27
    图27
图21~24为囊肿壁。
标签:肺癌治疗后
0
signature
何生
添加参考诊断
×参考诊断
  

何生 离线

帖子:1281
粉蓝豆:68
经验:6249
注册时间:2009-04-18
加关注  |  发消息
1 楼    发表于2013-03-20 16:04:57举报|引用
返回顶部 | 快捷回复

  • 图1
  • 图2
  • 图3
  • 图4

 

0
回复
signature
何生

Danrs 离线

帖子:1445
粉蓝豆:176
经验:3050
注册时间:2008-12-09
加关注  |  发消息
2 楼    发表于2013-03-20 16:05:41举报|引用
返回顶部 | 快捷回复
本帖最后由 Danrs 于 2013-03-20 16:06:39 编辑

包块内细胞小,形态各异,大小比较一致,胞浆稀少,小细胞癌?恶淋?

0
回复

刘刘 离线

帖子:152
粉蓝豆:166
经验:353
注册时间:2012-09-24
加关注  |  发消息
3 楼    发表于2013-03-20 16:08:28举报|引用
返回顶部 | 快捷回复

没有考虑淋巴瘤吗?

建议免疫组化染色区分一下

CK  LCA CD3 CD20

0
回复
signature
活到老学到老

zhouquan 离线

帖子:7752
粉蓝豆:290
经验:8263
注册时间:2008-11-09
加关注  |  发消息
4 楼    发表于2013-03-20 18:16:28举报|引用
返回顶部 | 快捷回复

首选MALT

鉴别

1、SLL/CLL

2、MCL

 

0
回复
signature
成功不是得到多少东西,而是把身上多余的东西的扔掉多少。   

shuanlong 离线

帖子:5176
粉蓝豆:4694
经验:9037
注册时间:2008-03-18
加关注  |  发消息
5 楼    发表于2013-03-20 19:30:30举报|引用
返回顶部 | 快捷回复

有点不太清晰,

 考虑淋巴瘤,建议IHC

0
回复

jcw62 离线

帖子:2267
粉蓝豆:468
经验:4978
注册时间:2009-05-23
加关注  |  发消息
6 楼    发表于2013-03-20 22:10:12举报|引用
返回顶部 | 快捷回复

肺粘膜相关淋巴组织(Mucosa-associated lymphoid tissue, MALT)淋巴瘤,IHC协助诊断。

0
回复

xiang407 离线

帖子:141
粉蓝豆:4358
经验:186
注册时间:2009-11-10
加关注  |  发消息
7 楼    发表于2013-04-18 19:53:07举报|引用
返回顶部 | 快捷回复

 考虑MALT

0
回复
signature
请您指教!

心雨 离线

帖子:419
粉蓝豆:1
经验:687
注册时间:2011-04-17
加关注  |  发消息
8 楼    发表于2013-04-22 17:58:36举报|引用
返回顶部 | 快捷回复

淋巴瘤待排除,建议IHC

0
回复

lxmcjcny 离线

帖子:266
粉蓝豆:474
经验:338
注册时间:2009-09-08
加关注  |  发消息
9 楼    发表于2013-04-22 18:26:45举报|引用
返回顶部 | 快捷回复

淋巴瘤待排除,建议IHC

0
回复
signature
看我镜里乾坤

雅马哈 离线

帖子:1887
粉蓝豆:1112
经验:4171
注册时间:2010-12-12
加关注  |  发消息
10 楼    发表于2013-04-23 12:20:11举报|引用
返回顶部 | 快捷回复

形态支持粘膜相关结外边缘区B细胞淋巴瘤/MALT淋巴瘤。

需要做些免疫组化明确。

0
回复

et666 离线

帖子:386
粉蓝豆:18
经验:658
注册时间:2008-03-11
加关注  |  发消息
11 楼    发表于2013-04-23 20:36:30举报|引用
返回顶部 | 快捷回复

学习了!谢谢分享!

0
回复
signature
王秀娥

lvyinhua 离线

帖子:832
粉蓝豆:35
经验:1180
注册时间:2012-01-09
加关注  |  发消息
12 楼    发表于2013-04-23 20:46:43举报|引用
返回顶部 | 快捷回复

淋巴瘤

0
回复

liangjinjun 离线

帖子:2328
粉蓝豆:2
经验:2457
注册时间:2007-08-07
加关注  |  发消息
13 楼    发表于2013-05-01 19:44:07举报|引用
返回顶部 | 快捷回复

形态支持粘膜相关结外边缘区B细胞淋巴瘤/MALT淋巴瘤

0
回复
signature
梁晋军

linyguo 离线

帖子:2365
粉蓝豆:43
经验:2514
注册时间:2009-08-09
加关注  |  发消息
14 楼    发表于2013-05-01 19:52:48举报|引用
返回顶部 | 快捷回复
引用 6 楼 jcw62 在 2013-03-20 22:10:12 的发言:

肺粘膜相关淋巴组织(Mucosa-associated lymphoid tissue, MALT)淋巴瘤,IHC协助诊断。


0
回复

蓝宝石6628 离线

帖子:16787
粉蓝豆:321
经验:17245
注册时间:2012-03-30
加关注  |  发消息
15 楼    发表于2013-05-01 20:36:56举报|引用
返回顶部 | 快捷回复
引用 6 楼 jcw62 在 2013-03-20 22:10:12 的发言:

肺粘膜相关淋巴组织(Mucosa-associated lymphoid tissue, MALT)淋巴瘤,IHC协助诊断。


0
回复
signature
乐观向上,不断进取!
回复:15 阅读:1520
共1页/15条首页上一页1下一页尾页
【免责声明】讨论内容仅作学术交流之用,不作为诊疗依据,由此而引起的法律问题作者及本站不承担任何责任。
快速回复
进入高级回复
您最多可输入10000个汉字,按 "Ctrl" + "Enter" 直接发送
搜索回复/乘电梯 ×
按内容
按会员
乘电梯
合作伙伴
友情链接
Baidu
map