共1页/8条首页上一页1下一页尾页
回复:8 阅读:2325
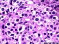
左侧额叶占位

雅马哈 离线

帖子:1887
粉蓝豆:1112
经验:4171
注册时间:2010-12-12
加关注  |  发消息
楼主 发表于 2013-04-16 02:03|举报|关注(5)
浏览排序[ 顺序 逆序 楼主 支持 精彩 ]  快捷回复
性别年龄62临床诊断转移癌?
一般病史头疼,行走不稳2天发现左侧额叶占位。
标本名称左侧额叶肿物
大体所见灰褐色及灰白色不整形组织2块,大小:4.3×4×3.8cm,切面大部分灰白色,局灶灰褐色,坏死样,质软。
  • 左侧额叶占位图1
    图1
  • 左侧额叶占位图2
    图2
  • 左侧额叶占位图3
    图3
  • 左侧额叶占位图4
    图4
  • 左侧额叶占位图5
    图5
  • 左侧额叶占位图6
    图6
  • 左侧额叶占位图7
    图7
  • 左侧额叶占位图8
    图8
  • 左侧额叶占位图9
    图9
  • 左侧额叶占位图10
    图10
  • 左侧额叶占位图11
    图11
  • 左侧额叶占位图12
    图12
  • 左侧额叶占位图13
    图13
  • 左侧额叶占位图14
    图14
  • 左侧额叶占位图15
    图15
  • 左侧额叶占位图16
    图16
  • 左侧额叶占位图17
    图17
  • 左侧额叶占位图18
    图18
  • 左侧额叶占位图19
    图19
  • 左侧额叶占位图20
    图20

 

  • 左侧额叶占位图21
    图1
  • 左侧额叶占位图22
    图2
  • 左侧额叶占位图23
    图3
  • 左侧额叶占位图24
    图4
  • 左侧额叶占位图25
    图5
  • 左侧额叶占位图26
    图6
  • 左侧额叶占位图27
    图7
  • 左侧额叶占位图28
    图8
  • 左侧额叶占位图29
    图9
  • 左侧额叶占位图30
    图10
  • 左侧额叶占位图31
    图11
  • 左侧额叶占位图32
    图12
  • 左侧额叶占位图33
    图13
  • 左侧额叶占位图34
    图14
  • 左侧额叶占位图35
    图15
  • 左侧额叶占位图36
    图16
  • 左侧额叶占位图37
    图17
  • 左侧额叶占位图38
    图18
 
标签:
本帖最后由 雅马哈 于 2013-04-16 20:17:37 编辑
0
添加参考诊断
×参考诊断
  

ahhbhzlin 离线

帖子:3090
粉蓝豆:50
经验:11826
注册时间:2008-07-24
加关注  |  发消息
1 楼    发表于2013-04-16 12:33:33举报|引用
返回顶部 | 快捷回复

胶母,4级

0
回复

GQQ 离线

帖子:49
粉蓝豆:340
经验:85
注册时间:2008-10-10
加关注  |  发消息
2 楼    发表于2013-04-16 19:01:01举报|引用
返回顶部 | 快捷回复

有影像学资料吗?

0
回复

shuanlong 离线

帖子:5176
粉蓝豆:4694
经验:9037
注册时间:2008-03-18
加关注  |  发消息
3 楼    发表于2013-04-16 19:21:37举报|引用
返回顶部 | 快捷回复

 考虑胶质母细胞瘤


0
回复

可可 离线

帖子:829
粉蓝豆:446
经验:1393
注册时间:2009-08-08
加关注  |  发消息
4 楼    发表于2013-05-27 22:55:00举报|引用
返回顶部 | 快捷回复

 血管瘤型胶质母细胞瘤,(III-IV级),应该到IV级了。

0
回复
signature
眼看,心悟,博览群书,行万里路~爱家爱国爱自己!

baddog 离线

帖子:2484
粉蓝豆:404
经验:3040
注册时间:2012-04-05
加关注  |  发消息
5 楼    发表于2013-05-27 23:39:39举报|引用
返回顶部 | 快捷回复

 血管瘤型胶质母细胞瘤IV级

0
回复
signature
自己选择的路,爬也要爬完。

kint123 离线

帖子:1620
粉蓝豆:240
经验:2095
注册时间:2009-01-31
加关注  |  发消息
6 楼    发表于2013-05-28 00:04:47举报|引用
返回顶部 | 快捷回复

免疫标记结果不太好分析

猜个

恶性血管球瘤?

0
回复
signature
The More We See, The Less We Know!

dzz 离线

帖子:46
粉蓝豆:1
经验:119
注册时间:2012-04-14
加关注  |  发消息
7 楼    发表于2013-05-28 15:21:45举报|引用
返回顶部 | 快捷回复

1、先问问临床手术中所见,肿瘤位于脑内还是脑外(因为整张切片中未见相对正常的脑组织)

2、GFAP和S-100全为阴性,神经上皮肿瘤可能性小,不过可以加染Olig-2看看

3、CK-,Vimentin+,不太考虑上皮肿瘤(癌);

4、考虑可能是一个恶性脑膜瘤,可以加染EMA,PR看看,是否支持。

0
回复

可可 离线

帖子:829
粉蓝豆:446
经验:1393
注册时间:2009-08-08
加关注  |  发消息
8 楼    发表于2013-05-31 22:45:23举报|引用
返回顶部 | 快捷回复

 欢迎楼主雅马哈的精彩点评

0
回复
signature
眼看,心悟,博览群书,行万里路~爱家爱国爱自己!
回复:8 阅读:2325
共1页/8条首页上一页1下一页尾页
【免责声明】讨论内容仅作学术交流之用,不作为诊疗依据,由此而引起的法律问题作者及本站不承担任何责任。
快速回复
进入高级回复
您最多可输入10000个汉字,按 "Ctrl" + "Enter" 直接发送
搜索回复/乘电梯 ×
按内容
按会员
乘电梯
合作伙伴
友情链接
Baidu
map