共1页/4条首页上一页1下一页尾页
回复:4 阅读:1330
鼻腔新生物

laren1982 离线

帖子:135
粉蓝豆:18
经验:416
注册时间:2012-11-08
加关注  |  发消息
楼主 发表于 2013-04-25 17:21|举报|关注(0)
浏览排序[ 顺序 逆序 楼主 支持 精彩 ]  快捷回复
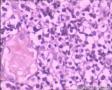
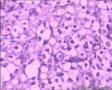
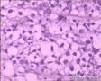
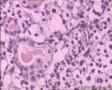
性别年龄80临床诊断
一般病史鼻塞2月
标本名称活检
大体所见小组织3块,体积1*1*0.3cm

  • 鼻腔新生物图1
    图1
  • 鼻腔新生物图2
    图2
  • 鼻腔新生物图3
    图3
  • 鼻腔新生物图4
    图4
  • 鼻腔新生物图5
    图5
  • 鼻腔新生物图6
    图6
  • 鼻腔新生物图7
    图7
  • 鼻腔新生物图8
    图8
  • 鼻腔新生物图9
    图9
  • 鼻腔新生物图10
    图10
  • 鼻腔新生物图11
    图11
  • 鼻腔新生物图12
    图12
  • 鼻腔新生物图13
    图13
  • 鼻腔新生物图14
    图14
  • 鼻腔新生物图15
    图15
  • 鼻腔新生物图16
    图16
  • 鼻腔新生物图17
    图17
  • 鼻腔新生物图18
    图18
  • 鼻腔新生物图19
    图19
  • 鼻腔新生物图20
    图20
  • 鼻腔新生物图21
    图1
  • 鼻腔新生物图22
    图2
  • 鼻腔新生物图23
    图3
  • 鼻腔新生物图24
    图4
  • 鼻腔新生物图25
    图5
  • 鼻腔新生物图26
    图6
  • 鼻腔新生物图27
    图7
  • 鼻腔新生物图28
    图8
  • 鼻腔新生物图29
    图9
  • 鼻腔新生物图30
    图10

 

标签:
本帖最后由 laren1982 于 2013-04-26 15:36:56 编辑
0
添加参考诊断
×参考诊断
  

fuyong 离线

帖子:6879
粉蓝豆:2090
经验:12692
注册时间:2008-03-10
加关注  |  发消息
1 楼    发表于2013-04-25 17:33:56举报|引用
返回顶部 | 快捷回复

良性,排除微生物感染

0
回复
signature
多读书,读好书

Chiang 离线

帖子:2443
粉蓝豆:1085
经验:3336
注册时间:2006-10-03
加关注  |  发消息
2 楼    发表于2013-04-25 17:45:22举报|引用
返回顶部 | 快捷回复

透明细胞病变,图片数量再多些,再清晰些,谢谢。这个年龄,肿瘤还是不能除外的。

0
回复

shuanlong 离线

帖子:5176
粉蓝豆:4694
经验:9037
注册时间:2008-03-18
加关注  |  发消息
3 楼    发表于2013-04-25 20:12:24举报|引用
返回顶部 | 快捷回复

 看不太清,考虑良性,重染

0
回复

雾蒙蒙 在线

帖子:30755
粉蓝豆:5085
经验:37787
注册时间:2011-06-12
加关注  |  发消息
4 楼    发表于2013-04-26 06:50:00举报|引用
返回顶部 | 快捷回复

考虑良性病变。

0
回复
signature

诚信 敬业 博学 奉献

回复:4 阅读:1330
共1页/4条首页上一页1下一页尾页
【免责声明】讨论内容仅作学术交流之用,不作为诊疗依据,由此而引起的法律问题作者及本站不承担任何责任。
快速回复
进入高级回复
您最多可输入10000个汉字,按 "Ctrl" + "Enter" 直接发送
搜索回复/乘电梯 ×
按内容
按会员
乘电梯
合作伙伴
友情链接
Baidu
map