共1页/6条首页上一页1下一页尾页
回复:8 阅读:1036
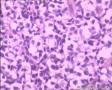
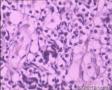
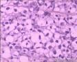
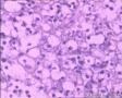
鼻腔新生物

laren1982 离线

帖子:135
粉蓝豆:18
经验:416
注册时间:2012-11-08
加关注  |  发消息
楼主 发表于 2013-04-28 07:58|举报|关注(1)
浏览排序[ 顺序 逆序 楼主 支持 精彩 ]  快捷回复
性别年龄80临床诊断
一般病史鼻塞2月
标本名称活检
大体所见小组织三块

  • 鼻腔新生物图1
    图1
  • 鼻腔新生物图2
    图2
  • 鼻腔新生物图3
    图3
  • 鼻腔新生物图4
    图4
  • 鼻腔新生物图5
    图5
  • 鼻腔新生物图6
    图6
  • 鼻腔新生物图7
    图7
  • 鼻腔新生物图8
    图8
  • 鼻腔新生物图9
    图9
  • 鼻腔新生物图10
    图10
  • 鼻腔新生物图11
    图11
  • 鼻腔新生物图12
    图12
  • 鼻腔新生物图13
    图13
  • 鼻腔新生物图14
    图14
  • 鼻腔新生物图15
    图15
  • 鼻腔新生物图16
    图16
  • 鼻腔新生物图17
    图17
  • 鼻腔新生物图18
    图18
  • 鼻腔新生物图19
    图19
  • 鼻腔新生物图20
    图20
  • 鼻腔新生物图21
    图21
  • 鼻腔新生物图22
    图22
  • 鼻腔新生物图23
    图23
  • 鼻腔新生物图24
    图24
  • 鼻腔新生物图25
    图25
  • 鼻腔新生物图26
    图26
  • 鼻腔新生物图27
    图27

 

标签:
0
添加参考诊断
×参考诊断
  

旅顺病理 离线

帖子:4084
粉蓝豆:144
经验:5113
注册时间:2011-06-04
加关注  |  发消息
1 楼    发表于2013-04-28 08:30:16举报|引用
返回顶部 | 快捷回复

恶性肿瘤,IHC分类,首选恶黑、淋巴瘤。

3

火雨

雾蒙蒙

秋水伊人..
回复

Chiang 离线

帖子:2443
粉蓝豆:1085
经验:3336
注册时间:2006-10-03
加关注  |  发消息
2 楼    发表于2013-04-28 13:41:57举报|引用
返回顶部 | 快捷回复
本帖最后由 Chiang 于 2013-04-28 13:42:32 编辑

恶性肿瘤,楼上的意见不错,不标记很难分的清,因为肿瘤分化方向不是很显著。

0
回复

邵长景 离线

帖子:31105
粉蓝豆:483
经验:31883
注册时间:2013-01-03
加关注  |  发消息
4 楼    发表于2013-04-28 16:22:37举报|引用
返回顶部 | 快捷回复
引用 3 楼 zhhchbaoding 在 2013-04-28 14:36:52 的发言:

组织形态肯定为恶性肿瘤,可以借助免疫组化确定病理分型


0
回复
signature
邵长景

泉水叮咚响 离线

帖子:2163
粉蓝豆:113
经验:11663
注册时间:2010-12-30
加关注  |  发消息
5 楼    发表于2013-04-28 16:34:23举报|引用
返回顶部 | 快捷回复
引用 2 楼 Chiang 在 2013-04-28 13:41:57 的发言:

恶性肿瘤,楼上的意见不错,不标记很难分的清,因为肿瘤分化方向不是很显著。


0
回复
signature
刀不磨会生锈,人不学习会落后。

shuanlong 离线

帖子:5176
粉蓝豆:4694
经验:9037
注册时间:2008-03-18
加关注  |  发消息
6 楼    发表于2013-04-29 06:00:33举报|引用
返回顶部 | 快捷回复

 首先考虑恶性淋巴瘤,待IHC吧

0
回复

huyb2010 离线

帖子:4005
粉蓝豆:186
经验:4472
注册时间:2010-11-30
加关注  |  发消息
7 楼    发表于2013-04-29 21:00:13举报|引用
返回顶部 | 快捷回复

考虑恶性淋巴瘤,待IHC

0
回复
signature

路在脚下......

回复:8 阅读:1036
共1页/6条首页上一页1下一页尾页
【免责声明】讨论内容仅作学术交流之用,不作为诊疗依据,由此而引起的法律问题作者及本站不承担任何责任。
快速回复
进入高级回复
您最多可输入10000个汉字,按 "Ctrl" + "Enter" 直接发送
搜索回复/乘电梯 ×
按内容
按会员
乘电梯
合作伙伴
友情链接
Baidu
map