共1页/4条首页上一页1下一页尾页
回复:4 阅读:1032
好奇怪的淋巴结,求教

westchina 离线

帖子:63
粉蓝豆:3
经验:63
注册时间:2013-07-20
加关注  |  发消息
楼主 发表于 2013-07-21 12:52|举报|关注(0)
浏览排序[ 顺序 逆序 楼主 支持 精彩 ]  快捷回复
性别年龄30临床诊断
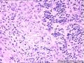
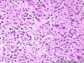
一般病史男性,30岁。因腹痛、腹胀伴乏力、呕吐、腹泻1+月入院。 查体:体温波动在37-39℃,肝脾肋下触及不满意,移浊(-),余未见明显异常。CT 示:腹膜后淋巴结广泛肿大。血常规:WBC;9.1×109/L,RBC;2.2×1012/L,PLT;190×109/L。
标本名称淋巴结
大体所见骨髓涂片:有核细胞增生明显活跃,粒红比1.8∶1,减低,粒系统尚可,各阶段细胞偏大,成熟红细胞大小不均,以小细胞为主,淋巴细胞形态正常,意见:感染性骨髓。 大体发现:腹腔淋巴结灰红淡黄结节,1cm×1cm×0.5cm,切面灰白。
  • 好奇怪的淋巴结,求教图1
    图1
  • 好奇怪的淋巴结,求教图2
    图2
  • 好奇怪的淋巴结,求教图3
    图3
  • 好奇怪的淋巴结,求教图4
    图4
  • 好奇怪的淋巴结,求教图5
    图5
  • 好奇怪的淋巴结,求教图6
    图6
  • 好奇怪的淋巴结,求教图7
    图7
  • 好奇怪的淋巴结,求教图8
    图8

 

标签:淋巴结
本帖最后由 westchina 于 2013-07-22 18:59:12 编辑
0
添加参考诊断
×参考诊断
  

westchina 离线

帖子:63
粉蓝豆:3
经验:63
注册时间:2013-07-20
加关注  |  发消息
1 楼    发表于2013-07-21 12:52:58举报|引用
返回顶部 | 快捷回复

免疫组化: CD20 (-)              CD79a (-)         

CD3 (-)              CD43 (-)

CD15 (-)              CD30 (+)           

CD34 (-)              S-100 (-)

HMB45 (-)              CK (-)

EMA (-)              CD68 (+)

Ki-67   (+,<3%)

    


0
回复

海上明月 离线

帖子:9476
粉蓝豆:1172
经验:10007
注册时间:2009-08-29
加关注  |  发消息
2 楼    发表于2013-07-22 18:19:10举报|引用
返回顶部 | 快捷回复

肉芽肿性病变。需要结合检验科做病原学检测进一步分析和诊断。

0
回复
signature
王军臣

海上明月 离线

帖子:9476
粉蓝豆:1172
经验:10007
注册时间:2009-08-29
加关注  |  发消息
3 楼    发表于2013-07-22 18:20:56举报|引用
返回顶部 | 快捷回复

请标注免疫组化图片,特别是标注CD30阳性细胞。谢谢!

0
回复
signature
王军臣

海上明月 离线

帖子:9476
粉蓝豆:1172
经验:10007
注册时间:2009-08-29
加关注  |  发消息
4 楼    发表于2013-07-27 20:20:25举报|引用
返回顶部 | 快捷回复

 请问楼主,这个病例还有什么问题吗?


0
回复
signature
王军臣
回复:4 阅读:1032
共1页/4条首页上一页1下一页尾页
【免责声明】讨论内容仅作学术交流之用,不作为诊疗依据,由此而引起的法律问题作者及本站不承担任何责任。
快速回复
进入高级回复
您最多可输入10000个汉字,按 "Ctrl" + "Enter" 直接发送
搜索回复/乘电梯 ×
按内容
按会员
乘电梯
合作伙伴
友情链接
Baidu
map