共2页/26条首页上一页12下一页尾页
回复:27 阅读:6260
膀胱肿块——恶性潜能未定乳头状尿路上皮肿瘤?

怡然居士 离线

帖子:2962
粉蓝豆:1488
经验:4611
注册时间:2011-10-04
加关注  |  发消息
楼主 发表于 2013-09-27 21:33|举报|关注(4)
浏览排序[ 顺序 逆序 楼主 支持 精彩 ]  快捷回复
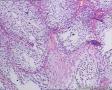
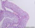
性别年龄50岁临床诊断膀胱肿块——癌?
一般病史发现膀胱包块1周。术中见膀胱三角区近膀胱颈口处1.5x1.5cm珊瑚状物。
标本名称膀胱包块
大体所见灰白色碎组织一堆,共大小:1.2x0.8x0.2cm。

  • 膀胱肿块——恶性潜能未定乳头状尿路上皮肿瘤?图1
    图1
  • 膀胱肿块——恶性潜能未定乳头状尿路上皮肿瘤?图2
    图2
  • 膀胱肿块——恶性潜能未定乳头状尿路上皮肿瘤?图3
    图3
  • 膀胱肿块——恶性潜能未定乳头状尿路上皮肿瘤?图4
    图4
  • 膀胱肿块——恶性潜能未定乳头状尿路上皮肿瘤?图5
    图5
  • 膀胱肿块——恶性潜能未定乳头状尿路上皮肿瘤?图6
    图6
  • 膀胱肿块——恶性潜能未定乳头状尿路上皮肿瘤?图7
    图7
  • 膀胱肿块——恶性潜能未定乳头状尿路上皮肿瘤?图8
    图8
  • 膀胱肿块——恶性潜能未定乳头状尿路上皮肿瘤?图9
    图9
  • 膀胱肿块——恶性潜能未定乳头状尿路上皮肿瘤?图10
    图10
  • 膀胱肿块——恶性潜能未定乳头状尿路上皮肿瘤?图11
    图11
  • 膀胱肿块——恶性潜能未定乳头状尿路上皮肿瘤?图12
    图12
  • 膀胱肿块——恶性潜能未定乳头状尿路上皮肿瘤?图13
    图13
  • 膀胱肿块——恶性潜能未定乳头状尿路上皮肿瘤?图14
    图14
  • 膀胱肿块——恶性潜能未定乳头状尿路上皮肿瘤?图15
    图15
  • 膀胱肿块——恶性潜能未定乳头状尿路上皮肿瘤?图16
    图16
  • 膀胱肿块——恶性潜能未定乳头状尿路上皮肿瘤?图17
    图17
  • 膀胱肿块——恶性潜能未定乳头状尿路上皮肿瘤?图18
    图18
  • 膀胱肿块——恶性潜能未定乳头状尿路上皮肿瘤?图19
    图19
  • 膀胱肿块——恶性潜能未定乳头状尿路上皮肿瘤?图20
    图20
  • 膀胱肿块——恶性潜能未定乳头状尿路上皮肿瘤?图21
    图21
  • 膀胱肿块——恶性潜能未定乳头状尿路上皮肿瘤?图22
    图22
  • 膀胱肿块——恶性潜能未定乳头状尿路上皮肿瘤?图23
    图23
  • 膀胱肿块——恶性潜能未定乳头状尿路上皮肿瘤?图24
    图24
  • 膀胱肿块——恶性潜能未定乳头状尿路上皮肿瘤?图25
    图25
  • 膀胱肿块——恶性潜能未定乳头状尿路上皮肿瘤?图26
    图26
  • 膀胱肿块——恶性潜能未定乳头状尿路上皮肿瘤?图27
    图27
  • 膀胱肿块——恶性潜能未定乳头状尿路上皮肿瘤?图28
    图28
  • 膀胱肿块——恶性潜能未定乳头状尿路上皮肿瘤?图29
    图29
  • 膀胱肿块——恶性潜能未定乳头状尿路上皮肿瘤?图30
    图30
  • 膀胱肿块——恶性潜能未定乳头状尿路上皮肿瘤?图31
    图31
  • 膀胱肿块——恶性潜能未定乳头状尿路上皮肿瘤?图32
    图32
  • 膀胱肿块——恶性潜能未定乳头状尿路上皮肿瘤?图33
    图33
  • 膀胱肿块——恶性潜能未定乳头状尿路上皮肿瘤?图34
    图34
  • 膀胱肿块——恶性潜能未定乳头状尿路上皮肿瘤?图35
    图35
  • 膀胱肿块——恶性潜能未定乳头状尿路上皮肿瘤?图36
    图36
  • 膀胱肿块——恶性潜能未定乳头状尿路上皮肿瘤?图37
    图37
  • 膀胱肿块——恶性潜能未定乳头状尿路上皮肿瘤?图38
    图38
  • 膀胱肿块——恶性潜能未定乳头状尿路上皮肿瘤?图39
    图39
  • 膀胱肿块——恶性潜能未定乳头状尿路上皮肿瘤?图40
    图40
  • 膀胱肿块——恶性潜能未定乳头状尿路上皮肿瘤?图41
    图41
  • 膀胱肿块——恶性潜能未定乳头状尿路上皮肿瘤?图42
    图42
  • 膀胱肿块——恶性潜能未定乳头状尿路上皮肿瘤?图43
    图43

 

标签:膀胱 肿块 恶性潜能未定 乳头状尿路上皮肿瘤
0
signature
淡定从容
添加参考诊断
×参考诊断
  

zhouquan 离线

帖子:7752
粉蓝豆:290
经验:8263
注册时间:2008-11-09
加关注  |  发消息
1 楼    发表于2013-09-27 21:46:25举报|引用
返回顶部 | 快捷回复

低级别尿路上皮乳头状癌

1

病理小生..
回复
signature
成功不是得到多少东西,而是把身上多余的东西的扔掉多少。   

雾蒙蒙 离线

帖子:30591
粉蓝豆:4947
经验:37219
注册时间:2011-06-12
加关注  |  发消息
2 楼    发表于2013-09-27 21:54:36举报|引用
返回顶部 | 快捷回复

同意楼主的意见。

1

ppy626
回复
signature

诚信 敬业 博学 奉献

Dank026 离线

帖子:27
粉蓝豆:108
经验:52
注册时间:2013-07-17
加关注  |  发消息
3 楼    发表于2013-09-27 22:19:50举报|引用
返回顶部 | 快捷回复

低级别尿路上皮乳头状癌

0
回复

xiaofeng1008 离线

帖子:783
粉蓝豆:33
经验:824
注册时间:2013-07-24
加关注  |  发消息
4 楼    发表于2013-09-27 22:26:51举报|引用
返回顶部 | 快捷回复

低级别尿路上皮乳头状癌

0
回复

雁南飞飞 离线

帖子:989
粉蓝豆:38
经验:1395
注册时间:2009-07-02
加关注  |  发消息
5 楼    发表于2013-09-27 22:28:26举报|引用
返回顶部 | 快捷回复

低级别乳头状尿路上皮癌

1

流水
回复
signature
学海无涯

海上明月 离线

帖子:9476
粉蓝豆:1172
经验:10007
注册时间:2009-08-29
加关注  |  发消息
6 楼    发表于2013-09-27 22:28:50举报|引用
返回顶部 | 快捷回复
本帖最后由 海上明月 于 2013-09-28 22:09:16 编辑

乳头状尿路上皮癌。 这么多核分裂,要考虑高级别的问题。

 

引用 10 楼 怡然居士 在 2013-09-28 13:05:48 的发言:

各位老师,片子里核分裂像很少很少,图片里的黑点是染液色素。


如果是这样,那只好诊断为低度恶性潜能尿路上皮乳头状肿瘤。

0
回复
signature
王军臣

邵长景 离线

帖子:31105
粉蓝豆:483
经验:31883
注册时间:2013-01-03
加关注  |  发消息
7 楼    发表于2013-09-28 06:37:13举报|引用
返回顶部 | 快捷回复
引用 3 楼 Dank026 在 2013-09-27 22:19:50 的发言:

低级别尿路上皮乳头状癌


0
回复
signature
邵长景

蓝宝石6628 离线

帖子:16787
粉蓝豆:321
经验:17245
注册时间:2012-03-30
加关注  |  发消息
8 楼    发表于2013-09-28 06:42:50举报|引用
返回顶部 | 快捷回复
引用 1 楼 zhouquan 在 2013-09-27 21:46:25 的发言:

低级别尿路上皮乳头状癌


0
回复
signature
乐观向上,不断进取!

ahhbhzlin 离线

帖子:3090
粉蓝豆:50
经验:11826
注册时间:2008-07-24
加关注  |  发消息
9 楼    发表于2013-09-28 11:45:47举报|引用
返回顶部 | 快捷回复
引用 8 楼 蓝宝石6628 在 2013-09-28 06:42:50 的发言:
引用 1 楼 zhouquan 在 2013-09-27 21:46:25 的发言:

低级别尿路上皮乳头状癌



1

zyyzwang..
回复

怡然居士 离线

帖子:2962
粉蓝豆:1488
经验:4611
注册时间:2011-10-04
加关注  |  发消息
10 楼    发表于2013-09-28 13:05:48举报|引用
返回顶部 | 快捷回复

各位老师,片子里核分裂像很少很少,图片里的黑点是染液色素。

0
回复
signature
淡定从容

夏沫 离线

帖子:191
粉蓝豆:0
经验:212
注册时间:2012-11-25
加关注  |  发消息
11 楼    发表于2013-09-28 13:48:20举报|引用
返回顶部 | 快捷回复

低级别尿路上皮乳头状癌

0
回复
signature
加油

cq1981 离线

帖子:336
粉蓝豆:247
经验:395
注册时间:2007-08-28
加关注  |  发消息
12 楼    发表于2013-09-28 14:18:55举报|引用
返回顶部 | 快捷回复

我觉得大部分图片显示的上皮呈内翻性生长,真正乳头的部分,细胞层次略多,细胞异型性不大,表层的伞细胞可见,所以还是恶性潜能未定的乳头状尿路上皮肿瘤,局灶伴内翻性生长。

0
回复
signature
天将降大任于斯人也,必先苦其心志,劳其筋骨,饿其体肤,空乏其身。

xg120 离线

帖子:12586
粉蓝豆:1205
经验:15200
注册时间:2011-10-14
加关注  |  发消息
13 楼    发表于2013-09-28 15:00:36举报|引用
返回顶部 | 快捷回复

低级别尿路上皮乳头状癌

0
回复
signature
尚泽忠

xiaofeng1008 离线

帖子:783
粉蓝豆:33
经验:824
注册时间:2013-07-24
加关注  |  发消息
14 楼    发表于2013-09-28 15:28:13举报|引用
返回顶部 | 快捷回复

低级别尿路上皮乳头状癌

0
回复

洋洋洒洒 离线

帖子:1445
粉蓝豆:253
经验:2479
注册时间:2010-12-13
加关注  |  发消息
15 楼    发表于2013-09-28 16:54:19举报|引用
返回顶部 | 快捷回复

非浸润性尿路上皮癌,低级别。

0
收起回复
  • wcz99:  同意恶性潜能未定乳头状尿路上皮肿瘤
    2013-09-28 17:14

jingchao 离线

帖子:672
粉蓝豆:1557
经验:1104
注册时间:2010-12-21
加关注  |  发消息
16 楼    发表于2013-09-28 18:11:21举报|引用
返回顶部 | 快捷回复

 低级别尿路上皮乳头状癌

0
回复
signature
厚积薄发

gjh7311 离线

帖子:578
粉蓝豆:476
经验:1384
注册时间:2009-09-03
加关注  |  发消息
17 楼    发表于2013-09-28 19:01:26举报|引用
返回顶部 | 快捷回复
引用 1 楼 zhouquan 在 2013-09-27 21:46:25 的发言:

低级别尿路上皮乳头状癌


0
回复

huyb2010 离线

帖子:4005
粉蓝豆:186
经验:4472
注册时间:2010-11-30
加关注  |  发消息
18 楼    发表于2013-09-28 19:53:30举报|引用
返回顶部 | 快捷回复
引用 1 楼 zhouquan 在 2013-09-27 21:46:25 的发言:

低级别尿路上皮乳头状癌


0
回复
signature

路在脚下......

海上明月 离线

帖子:9476
粉蓝豆:1172
经验:10007
注册时间:2009-08-29
加关注  |  发消息
19 楼    发表于2013-09-28 22:07:40举报|引用
返回顶部 | 快捷回复
引用 10 楼 怡然居士 在 2013-09-28 13:05:48 的发言:

各位老师,片子里核分裂像很少很少,图片里的黑点是染液色素。


如果是这样,那连癌都不好考虑。

考虑低度恶性潜能尿路上皮乳头状肿瘤。

1

zyyzwang..
回复
signature
王军臣

上下求索 离线

帖子:321
粉蓝豆:18
经验:1754
注册时间:2013-06-04
加关注  |  发消息
20 楼    发表于2013-09-28 22:10:02举报|引用
返回顶部 | 快捷回复

低级别尿路上皮癌

0
回复
回复:27 阅读:6260
共2页/26条首页上一页12下一页尾页
【免责声明】讨论内容仅作学术交流之用,不作为诊疗依据,由此而引起的法律问题作者及本站不承担任何责任。
快速回复
进入高级回复
您最多可输入10000个汉字,按 "Ctrl" + "Enter" 直接发送
搜索回复/乘电梯 ×
按内容
按会员
乘电梯
合作伙伴
友情链接
Baidu
map