共1页/18条首页上一页1下一页尾页
回复:18 阅读:948
头皮肿物

wumei1986 离线

帖子:682
粉蓝豆:13
经验:1438
注册时间:2012-04-22
加关注  |  发消息
楼主 发表于 2013-11-04 15:37|举报|关注(0)
浏览排序[ 顺序 逆序 楼主 支持 精彩 ]  快捷回复
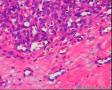
性别年龄48临床诊断
一般病史不详
标本名称头皮肿物
大体所见见带皮肤及毛发的肿物一个,2.5*1.5*1.5cm,皮面中部见一蘑菇状突出物,直径1.4cm,切面灰白暗红,实性。

 

  • 头皮肿物图1
    图1
  • 头皮肿物图2
    图2
  • 头皮肿物图3
    图3
  • 头皮肿物图4
    图4
  • 头皮肿物图5
    图5
  • 头皮肿物图6
    图6
  • 头皮肿物图7
    图7
  • 头皮肿物图8
    图8
  • 头皮肿物图9
    图9
  • 头皮肿物图10
    图10
  • 头皮肿物图11
    图11
  • 头皮肿物图12
    图12
  • 头皮肿物图13
    图13
  • 头皮肿物图14
    图14
  • 头皮肿物图15
    图15
  • 头皮肿物图16
    图16
  • 头皮肿物图17
    图17
  • 头皮肿物图18
    图18
  • 头皮肿物图19
    图19
  • 头皮肿物图20
    图20
标签:肿物
0
signature
菜鸟
添加参考诊断
×参考诊断
  

zyyzwangjin 离线

帖子:1220
粉蓝豆:262
经验:1873
注册时间:2013-08-19
加关注  |  发消息
1 楼    发表于2013-11-04 15:53:02举报|引用
返回顶部 | 快捷回复
本帖最后由 zyyzwangjin 于 2013-11-04 15:54:08 编辑

血管瘤?

 

0
回复
signature

选择

xg120 离线

帖子:12586
粉蓝豆:1205
经验:15200
注册时间:2011-10-14
加关注  |  发消息
2 楼    发表于2013-11-04 16:16:08举报|引用
返回顶部 | 快捷回复

考虑血管瘤

0
回复
signature
尚泽忠

skyliutong 离线

帖子:497
粉蓝豆:189
经验:878
注册时间:2009-02-14
加关注  |  发消息
3 楼    发表于2013-11-04 16:39:06举报|引用
返回顶部 | 快捷回复

 考虑血管瘤,只是病史不详,看着有些地方像肉芽肿性血管瘤的样子。

1

catcat
回复
signature
天亮了

fuyong 离线

帖子:6879
粉蓝豆:1968
经验:12692
注册时间:2008-03-10
加关注  |  发消息
4 楼    发表于2013-11-04 16:39:44举报|引用
返回顶部 | 快捷回复

化脓性肉芽肿(血管瘤)

0
回复
signature
多读书,读好书

邵长景 离线

帖子:31105
粉蓝豆:483
经验:31883
注册时间:2013-01-03
加关注  |  发消息
5 楼    发表于2013-11-04 17:23:55举报|引用
返回顶部 | 快捷回复

毛细血管瘤

0
回复
signature
邵长景

为木 离线

帖子:138
粉蓝豆:17
经验:213
注册时间:2013-05-11
加关注  |  发消息
6 楼    发表于2013-11-04 19:40:03举报|引用
返回顶部 | 快捷回复

考虑为毛细血管瘤,内皮细胞生长活跃。

0
回复

lcyxxm 离线

帖子:13322
粉蓝豆:9
经验:14041
注册时间:2006-10-25
加关注  |  发消息
7 楼    发表于2013-11-04 19:51:31举报|引用
返回顶部 | 快捷回复
引用 1 楼 zyyzwangjin 在 2013-11-04 15:53:02 的发言:

血管瘤?

 


0
回复
signature

扎贝 离线

帖子:2439
粉蓝豆:78
经验:7789
注册时间:2011-06-08
加关注  |  发消息
8 楼    发表于2013-11-04 19:53:22举报|引用
返回顶部 | 快捷回复

考虑为毛细血管瘤,内皮细胞生长活跃。

0
回复
signature
当你的才华还撑不起你的野心时、就应该静下心来学习、

白桦林 离线

帖子:523
粉蓝豆:419
经验:1398
注册时间:2007-06-21
加关注  |  发消息
9 楼    发表于2013-11-04 19:53:42举报|引用
返回顶部 | 快捷回复

 血管瘤

0
回复

yyqshiwo 离线

帖子:1712
粉蓝豆:35
经验:1846
注册时间:2012-02-23
加关注  |  发消息
10 楼    发表于2013-11-04 19:54:17举报|引用
返回顶部 | 快捷回复

化脓性肉芽肿

0
回复
signature
勤能补拙是良训,一分辛劳一分才

灿烂星空 离线

帖子:776
粉蓝豆:79
经验:1391
注册时间:2009-10-20
加关注  |  发消息
11 楼    发表于2013-11-04 19:55:46举报|引用
返回顶部 | 快捷回复

血管瘤

0
回复
signature
方寸之中,看情节跌宕起伏;微观世界,须显我英雄本色

杨盾 离线

帖子:744
粉蓝豆:8
经验:818
注册时间:2013-04-27
加关注  |  发消息
12 楼    发表于2013-11-04 19:58:33举报|引用
返回顶部 | 快捷回复

血管瘤

0
回复
signature
但求最好!

zhaoni 离线

帖子:1257
粉蓝豆:36
经验:1421
注册时间:2013-04-30
加关注  |  发消息
13 楼    发表于2013-11-04 20:12:40举报|引用
返回顶部 | 快捷回复

肉芽肿型血管瘤

0
回复
signature
做人从点滴做起!

雾蒙蒙 离线

帖子:30588
粉蓝豆:4934
经验:37213
注册时间:2011-06-12
加关注  |  发消息
14 楼    发表于2013-11-05 06:54:14举报|引用
返回顶部 | 快捷回复

血管瘤。

0
回复
signature

诚信 敬业 博学 奉献

啄木鸟 离线

帖子:382
粉蓝豆:13
经验:1870
注册时间:2009-05-30
加关注  |  发消息
15 楼    发表于2013-11-05 08:47:13举报|引用
返回顶部 | 快捷回复

毛细血管瘤

0
回复
signature
守护杏林

清秋 离线

帖子:4629
粉蓝豆:104
经验:8862
注册时间:2011-09-20
加关注  |  发消息
16 楼    发表于2013-11-05 10:42:28举报|引用
返回顶部 | 快捷回复

肉芽肿型血管瘤

0
回复
signature
快乐学习!认真工作

贫农 离线

帖子:51
粉蓝豆:3
经验:225
注册时间:2009-09-27
加关注  |  发消息
17 楼    发表于2013-11-05 11:04:36举报|引用
返回顶部 | 快捷回复

同意

0
回复
signature
务实,求真,探索,发现。

shuanlong 离线

帖子:5176
粉蓝豆:4694
经验:9037
注册时间:2008-03-18
加关注  |  发消息
18 楼    发表于2013-11-06 06:58:58举报|引用
返回顶部 | 快捷回复

 肉芽肿型血管瘤

0
回复
回复:18 阅读:948
共1页/18条首页上一页1下一页尾页
【免责声明】讨论内容仅作学术交流之用,不作为诊疗依据,由此而引起的法律问题作者及本站不承担任何责任。
快速回复
进入高级回复
您最多可输入10000个汉字,按 "Ctrl" + "Enter" 直接发送
搜索回复/乘电梯 ×
按内容
按会员
乘电梯
合作伙伴
友情链接
Baidu
map