共1页/11条首页上一页1下一页尾页
回复:11 阅读:2359
卵巢里边这两团是什么、?巧克力囊肿吗?伴黄体血肿吗?组织中的腺体是子宫内膜腺体吗

宜君县张 离线

帖子:38
粉蓝豆:185
经验:92
注册时间:2011-05-19
加关注  |  发消息
楼主 发表于 2013-12-14 10:42|举报|关注(0)
浏览排序[ 顺序 逆序 楼主 支持 精彩 ]  快捷回复
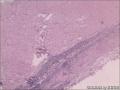
性别年龄38临床诊断卵巢巧克力囊肿
一般病史发现附件包块5月
标本名称卵巢囊肿,阔韧带
大体所见卵巢多囊状、一囊呈暗红色,粘稠,一囊呈褐色,

  • 卵巢里边这两团是什么、?巧克力囊肿吗?伴黄体血肿吗?组织中的腺体是子宫内膜腺体吗图1
    图1
  • 卵巢里边这两团是什么、?巧克力囊肿吗?伴黄体血肿吗?组织中的腺体是子宫内膜腺体吗图2
    图2
  • 卵巢里边这两团是什么、?巧克力囊肿吗?伴黄体血肿吗?组织中的腺体是子宫内膜腺体吗图3
    图3
  • 卵巢里边这两团是什么、?巧克力囊肿吗?伴黄体血肿吗?组织中的腺体是子宫内膜腺体吗图4
    图4
  • 卵巢里边这两团是什么、?巧克力囊肿吗?伴黄体血肿吗?组织中的腺体是子宫内膜腺体吗图5
    图5
  • 卵巢里边这两团是什么、?巧克力囊肿吗?伴黄体血肿吗?组织中的腺体是子宫内膜腺体吗图6
    图6
  • 卵巢里边这两团是什么、?巧克力囊肿吗?伴黄体血肿吗?组织中的腺体是子宫内膜腺体吗图7
    图7
  • 卵巢里边这两团是什么、?巧克力囊肿吗?伴黄体血肿吗?组织中的腺体是子宫内膜腺体吗图8
    图8
  • 卵巢里边这两团是什么、?巧克力囊肿吗?伴黄体血肿吗?组织中的腺体是子宫内膜腺体吗图9
    图9
  • 卵巢里边这两团是什么、?巧克力囊肿吗?伴黄体血肿吗?组织中的腺体是子宫内膜腺体吗图10
    图10

 

标签:卵巢 囊肿 组织 子宫内膜
0
signature
雾里看花
×参考诊断
能诊断卵巢巧克力囊肿?伴黄体血肿?

xg120 离线

帖子:12586
粉蓝豆:1205
经验:15200
注册时间:2011-10-14
加关注  |  发消息
1 楼    发表于2013-12-14 11:15:47举报|引用
返回顶部 | 快捷回复

巧克力囊肿

0
回复
signature
尚泽忠

dama0609 离线

帖子:613
粉蓝豆:1474
经验:708
注册时间:2008-09-08
加关注  |  发消息
2 楼    发表于2013-12-14 11:19:26举报|引用
返回顶部 | 快捷回复

 图1-5,Brenner细胞巢。6,黄体,是不是血肿,要看多大吧。7-10是子宫内膜异位囊肿。11,确定也是卵巢吗?

1

宜君县张
回复
signature
过河小马!

宜君县张 离线

帖子:38
粉蓝豆:185
经验:92
注册时间:2011-05-19
加关注  |  发消息
3 楼    发表于2013-12-14 11:32:07举报|引用
返回顶部 | 快捷回复

11不是卵巢的

图6的囊肿1.5cm大

0
回复
signature
雾里看花

轻呼吸 离线

帖子:2427
粉蓝豆:794
经验:3065
注册时间:2012-06-03
加关注  |  发消息
4 楼    发表于2013-12-14 13:26:09举报|引用
返回顶部 | 快捷回复

 图1-5,Brenner细胞巢。

6,黄体囊肿,1.5cm。

7-10是子宫内膜异位囊肿

哪有11?

0
回复
signature
平常心

宜君县张 离线

帖子:38
粉蓝豆:185
经验:92
注册时间:2011-05-19
加关注  |  发消息
5 楼    发表于2013-12-14 14:09:21举报|引用
返回顶部 | 快捷回复

11删了,发错了,不好意思。

0
回复
signature
雾里看花

fuyong 离线

帖子:6879
粉蓝豆:2084
经验:12692
注册时间:2008-03-10
加关注  |  发消息
6 楼    发表于2013-12-14 14:25:08举报|引用
返回顶部 | 快捷回复

图片较复杂,包含的病变有Brenner细胞巢,黄体囊肿及子宫内膜异位囊肿

2

huhuhuas..

清秋
回复
signature
多读书,读好书

雾蒙蒙 在线

帖子:30750
粉蓝豆:5081
经验:37771
注册时间:2011-06-12
加关注  |  发消息
7 楼    发表于2013-12-15 07:53:26举报|引用
返回顶部 | 快捷回复

 Brenner细胞巢+黄体囊肿+子宫内膜异位囊肿。

0
回复
signature

诚信 敬业 博学 奉献

catcat 离线

帖子:1187
粉蓝豆:0
经验:2139
注册时间:2008-07-10
加关注  |  发消息
8 楼    发表于2015-01-23 21:24:48举报|引用
返回顶部 | 快捷回复
引用 7 楼 雾蒙蒙 在 2013-12-15 07:53:26 的发言:

 Brenner细胞巢+黄体囊肿+子宫内膜异位囊肿。

学习

0
回复

lcyxxm 离线

帖子:13322
粉蓝豆:9
经验:14041
注册时间:2006-10-25
加关注  |  发消息
9 楼    发表于2015-01-23 22:27:30举报|引用
返回顶部 | 快捷回复
引用 2 楼 dama0609 在 2013-12-14 11:19:26 的发言:

 图1-5,Brenner细胞巢。6,黄体,是不是血肿,要看多大吧。7-10是子宫内膜异位囊肿。11,确定也是卵巢吗?


0
回复
signature

lihuanlong1231 离线

帖子:1953
粉蓝豆:2679
经验:3990
注册时间:2014-03-19
加关注  |  发消息
10 楼    发表于2015-01-30 11:09:05举报|引用
返回顶部 | 快捷回复

  Brenner细胞巢+黄体囊肿+子宫内膜异位囊肿。

0
回复

aliang8918 离线

帖子:594
粉蓝豆:4012
经验:1204
注册时间:2012-02-07
加关注  |  发消息
11 楼    发表于2015-03-17 16:00:35举报|引用
返回顶部 | 快捷回复

 学习

0
回复
回复:11 阅读:2359
共1页/11条首页上一页1下一页尾页
【免责声明】讨论内容仅作学术交流之用,不作为诊疗依据,由此而引起的法律问题作者及本站不承担任何责任。
快速回复
进入高级回复
您最多可输入10000个汉字,按 "Ctrl" + "Enter" 直接发送
搜索回复/乘电梯 ×
按内容
按会员
乘电梯
合作伙伴
友情链接
Baidu
map