共1页/5条首页上一页1下一页尾页
回复:5 阅读:1437
听神经瘤合并脑膜瘤?

柳刀 离线

帖子:111
粉蓝豆:14
经验:523
注册时间:2007-01-30
加关注  |  发消息
楼主 发表于 2014-01-07 12:38|举报|关注(0)
浏览排序[ 顺序 逆序 楼主 支持 精彩 ]  快捷回复
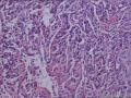
性别年龄50临床诊断听神经瘤
一般病史听力下降2年。
标本名称右桥小脑
大体所见暗褐色碎组织1.5*1.2*0.5cm其中见绿豆大灰白色组织。

  •  听神经瘤合并脑膜瘤?图1
    图1
  •  
    图2
  • 听神经瘤合并脑膜瘤?图2
    图3
  • 听神经瘤合并脑膜瘤?图3
    图4
  • 听神经瘤合并脑膜瘤?图4
    图5
  • 听神经瘤合并脑膜瘤?图5
    图6
  • 听神经瘤合并脑膜瘤?图6
    图7
  • 听神经瘤合并脑膜瘤?图7
    图8
  • 听神经瘤合并脑膜瘤?图8
    图9
  • 听神经瘤合并脑膜瘤?图9
    图10

我们县级医院,中枢神经系统病理标本少,求助大家,应该有听神经瘤的改变,镜下好像又有脑膜瘤样改变:其为灰白色组织(脑膜瘤III级?-------细胞肥胖,核分裂较多),还是--------。大家看看。。。。。。。。。。。。。。

标签:
本帖最后由 柳刀 于 2014-01-07 17:14:19 编辑
0
添加参考诊断
×参考诊断
  

柳刀 离线

帖子:111
粉蓝豆:14
经验:523
注册时间:2007-01-30
加关注  |  发消息
1 楼    发表于2014-01-07 14:28:50举报|引用
返回顶部 | 快捷回复
本帖最后由 柳刀 于 2014-01-07 14:29:21 编辑

 2,3,4,5,6,7图为灰白色绿豆大组织镜下改变。

0
回复

锤峰 离线

帖子:2692
粉蓝豆:32
经验:3545
注册时间:2008-07-07
加关注  |  发消息
2 楼    发表于2014-01-07 14:51:58举报|引用
返回顶部 | 快捷回复

 神经鞘瘤

0
回复

邵长景 离线

帖子:31105
粉蓝豆:483
经验:31883
注册时间:2013-01-03
加关注  |  发消息
3 楼    发表于2014-01-07 17:37:20举报|引用
返回顶部 | 快捷回复

脑膜瘤,2-3级

0
回复
signature
邵长景

大明湖的小舟 离线

帖子:61
粉蓝豆:1186
经验:488
注册时间:2009-03-26
加关注  |  发消息
4 楼    发表于2014-01-07 17:52:19举报|引用
返回顶部 | 快捷回复

还是认为脑膜瘤,可以做EMA如果阳性,倾向脑膜瘤

0
回复
signature
努力并满足着

fyshan 离线

帖子:910
粉蓝豆:0
经验:968
注册时间:2006-10-04
加关注  |  发消息
5 楼    发表于2014-01-08 00:05:28举报|引用
返回顶部 | 快捷回复

Too many mitoses, it is hard to determine and may be MRI can be helpful.

0
回复
回复:5 阅读:1437
共1页/5条首页上一页1下一页尾页
【免责声明】讨论内容仅作学术交流之用,不作为诊疗依据,由此而引起的法律问题作者及本站不承担任何责任。
快速回复
进入高级回复
您最多可输入10000个汉字,按 "Ctrl" + "Enter" 直接发送
搜索回复/乘电梯 ×
按内容
按会员
乘电梯
合作伙伴
友情链接
Baidu
map