共1页/5条首页上一页1下一页尾页
回复:5 阅读:786
子宫收缩复旧无力

xiaoyan0290 离线

帖子:1179
粉蓝豆:510
经验:2063
注册时间:2008-07-15
加关注  |  发消息
楼主 发表于 2014-08-07 12:07|举报|关注(3)
浏览排序[ 顺序 逆序 楼主 支持 精彩 ]  快捷回复
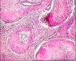
性别年龄37临床诊断剖宫产术后
一般病史剖宫产术后20天,阴道流血20分钟
标本名称子宫上段
大体所见子宫上段11x7.5x5.5cm,宫腔深6cm,内膜呈脱模样

  • 子宫收缩复旧无力图1
    图1
  • 子宫收缩复旧无力图2
    图2
  • 子宫收缩复旧无力图3
    图3
  • 子宫收缩复旧无力图4
    图4
  • 子宫收缩复旧无力图5
    图5
  • 子宫收缩复旧无力图6
    图6
  • 子宫收缩复旧无力图7
    图7
  • 子宫收缩复旧无力图8
    图8
  • 子宫收缩复旧无力图9
    图9
  • 子宫收缩复旧无力图10
    图10
  • 子宫收缩复旧无力图11
    图11
  • 子宫收缩复旧无力图12
    图12
  • 子宫收缩复旧无力图13
    图13
  • 子宫收缩复旧无力图14
    图14
  • 子宫收缩复旧无力图15
    图15
  • 子宫收缩复旧无力图16
    图16
  • 子宫收缩复旧无力图17
    图17
  • 子宫收缩复旧无力图18
    图18
  • 子宫收缩复旧无力图19
    图19
  • 子宫收缩复旧无力图20
    图20

 

标签:子宫
0
添加参考诊断
×参考诊断
  

邵长景 离线

帖子:31105
粉蓝豆:483
经验:31883
注册时间:2013-01-03
加关注  |  发消息
1 楼    发表于2014-08-07 13:18:58举报|引用
返回顶部 | 快捷回复

蜕膜炎

0
回复
signature
邵长景

zengfansheng 离线

帖子:417
粉蓝豆:116
经验:432
注册时间:2006-12-18
加关注  |  发消息
2 楼    发表于2014-08-07 13:25:14举报|引用
返回顶部 | 快捷回复

 无解,本人也碰见过,还是不知道怎么去描述

0
回复
signature
啥时候才能提高病理科的地位和待遇啊

雾蒙蒙 离线

帖子:30755
粉蓝豆:5087
经验:37788
注册时间:2011-06-12
加关注  |  发消息
3 楼    发表于2014-08-08 09:08:38举报|引用
返回顶部 | 快捷回复
本帖最后由 雾蒙蒙 于 2014-08-08 09:09:30 编辑

可做描述性诊断。影响子宫复旧的原因是多方面的,比如胎盘、胎膜残留、蜕膜脱落不完全、 子宫内膜炎、子宫肌炎、盆腔感染、子宫肌瘤子宫腺肌瘤等。

1

zengfans..
回复
signature

诚信 敬业 博学 奉献

www810910 离线

帖子:5455
粉蓝豆:344
经验:7608
注册时间:2010-05-27
加关注  |  发消息
4 楼    发表于2014-08-10 21:27:19举报|引用
返回顶部 | 快捷回复
引用 3 楼 雾蒙蒙 在 2014-08-08 09:08:38 的发言:

可做描述性诊断。影响子宫复旧的原因是多方面的,比如胎盘、胎膜残留、蜕膜脱落不完全、 子宫内膜炎、子宫肌炎、盆腔感染、子宫肌瘤子宫腺肌瘤等。

0
回复
signature
做人要知足,做事要知不足,做学问要不知足!

成 克 伦 离线

帖子:5085
粉蓝豆:17
经验:5232
注册时间:2014-03-11
加关注  |  发消息
5 楼    发表于2014-08-10 22:03:27举报|引用
返回顶部 | 快捷回复
引用 3 楼 雾蒙蒙 在 2014-08-08 09:08:38 的发言:

可做描述性诊断。影响子宫复旧的原因是多方面的,比如胎盘、胎膜残留、蜕膜脱落不完全、 子宫内膜炎、子宫肌炎、盆腔感染、子宫肌瘤子宫腺肌瘤等。


0
回复
回复:5 阅读:786
共1页/5条首页上一页1下一页尾页
【免责声明】讨论内容仅作学术交流之用,不作为诊疗依据,由此而引起的法律问题作者及本站不承担任何责任。
快速回复
进入高级回复
您最多可输入10000个汉字,按 "Ctrl" + "Enter" 直接发送
搜索回复/乘电梯 ×
按内容
按会员
乘电梯
合作伙伴
友情链接
Baidu
map