共1页/8条首页上一页1下一页尾页
回复:8 阅读:1484
乳腺癌,类型?

quyibl 离线

帖子:361
粉蓝豆:9
经验:1876
注册时间:2006-10-23
加关注  |  发消息
楼主 发表于 2014-12-17 11:07|举报|关注(2)
浏览排序[ 顺序 逆序 楼主 支持 精彩 ]  快捷回复
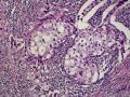
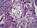
性别年龄62临床诊断
一般病史乳腺包块一年
标本名称乳腺包块
大体所见肿瘤切面积2.2*2cm,边界尚清。
  • 乳腺癌,类型?图1
    图1
  • 乳腺癌,类型?图2
    图2
  • 乳腺癌,类型?图3
    图3
  • 乳腺癌,类型?图4
    图4
  • 乳腺癌,类型?图5
    图5
  • 乳腺癌,类型?图6
    图6
  • 乳腺癌,类型?图7
    图7
  • 乳腺癌,类型?图8
    图8
  • 乳腺癌,类型?图9
    图9
  • 乳腺癌,类型?图10
    图10
  • 乳腺癌,类型?图11
    图11
  • 乳腺癌,类型?图12
    图12
  • 乳腺癌,类型?图13
    图13

 

标签:乳腺癌
0
signature
我思故我在! know something about everything,know everything about something.
添加参考诊断
×参考诊断
  

邵长景 离线

帖子:31105
粉蓝豆:483
经验:31883
注册时间:2013-01-03
加关注  |  发消息
1 楼    发表于2014-12-17 15:59:37举报|引用
返回顶部 | 快捷回复

透明细胞癌

0
回复
signature
邵长景

成 克 伦 离线

帖子:5085
粉蓝豆:17
经验:5232
注册时间:2014-03-11
加关注  |  发消息
2 楼    发表于2014-12-17 17:52:03举报|引用
返回顶部 | 快捷回复

 排除皮脂腺癌

1

玄月低垂
回复

wangruihui 离线

帖子:7461
粉蓝豆:876
经验:32550
注册时间:2008-01-11
加关注  |  发消息
3 楼    发表于2014-12-23 09:50:43举报|引用
返回顶部 | 快捷回复

 透明细胞癌

0
回复

sailor 离线

帖子:85
粉蓝豆:5
经验:177
注册时间:2014-12-08
加关注  |  发消息
4 楼    发表于2014-12-24 20:42:51举报|引用
返回顶部 | 快捷回复

 富脂质癌

1

清秋
回复

笃行者 离线

帖子:2689
粉蓝豆:59
经验:3020
注册时间:2006-10-04
加关注  |  发消息
5 楼    发表于2014-12-29 16:37:54举报|引用
返回顶部 | 快捷回复

 有可能是特殊类型浸润性乳腺癌。通过特染区别类型。

0
回复
signature
博学之,审问之,慎思之,明辨之,笃行之。

xg120 离线

帖子:12586
粉蓝豆:1205
经验:15200
注册时间:2011-10-14
加关注  |  发消息
6 楼    发表于2014-12-29 16:52:36举报|引用
返回顶部 | 快捷回复

 透明细胞癌

0
回复
signature
尚泽忠

五月麦地 离线

帖子:88
粉蓝豆:3
经验:90
注册时间:2008-08-13
加关注  |  发消息
7 楼    发表于2014-12-29 21:16:14举报|引用
返回顶部 | 快捷回复

 与颗粒细胞瘤鉴别

0
回复

n03553522119 离线

帖子:1643
粉蓝豆:40
经验:1879
注册时间:2014-11-07
加关注  |  发消息
8 楼    发表于2015-04-15 11:50:52举报|引用
返回顶部 | 快捷回复

 也须除外肌上皮来源的肿瘤。

0
回复
回复:8 阅读:1484
共1页/8条首页上一页1下一页尾页
【免责声明】讨论内容仅作学术交流之用,不作为诊疗依据,由此而引起的法律问题作者及本站不承担任何责任。
快速回复
进入高级回复
您最多可输入10000个汉字,按 "Ctrl" + "Enter" 直接发送
搜索回复/乘电梯 ×
按内容
按会员
乘电梯
合作伙伴
友情链接
Baidu
map