共1页/5条首页上一页1下一页尾页
回复:5 阅读:894
子宫内膜1

医生无悔 离线

帖子:179
粉蓝豆:24
经验:901
注册时间:2011-09-12
加关注  |  发消息
楼主 发表于 2015-03-21 14:41|举报|关注(1)
浏览排序[ 顺序 逆序 楼主 支持 精彩 ]  快捷回复
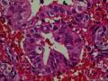
性别年龄49临床诊断性质待查?
一般病史月经淋漓不尽2月余
标本名称诊刮内膜
大体所见灰褐膜样组织2*2*1cm一堆。
  • 子宫内膜1图1
    图1
  • 子宫内膜1图2
    图2
  • 子宫内膜1图3
    图3
  • 子宫内膜1图4
    图4
  • 子宫内膜1图5
    图5
  • 子宫内膜1图6
    图6
  • 子宫内膜1图7
    图7
  • 子宫内膜1图8
    图8

 

标签:子宫内膜1
0
添加参考诊断
×参考诊断
  

wangruihui 离线

帖子:7461
粉蓝豆:876
经验:32550
注册时间:2008-01-11
加关注  |  发消息
1 楼    发表于2015-03-21 16:00:36举报|引用
返回顶部 | 快捷回复

 子宫内膜不典型增生

0
回复

Lilin 离线

帖子:1161
粉蓝豆:1051
经验:3618
注册时间:2013-09-23
加关注  |  发消息
2 楼    发表于2015-03-21 16:07:43举报|引用
返回顶部 | 快捷回复

 复杂性增生+异型

0
回复
signature

min wang

邵长景 离线

帖子:31105
粉蓝豆:483
经验:31883
注册时间:2013-01-03
加关注  |  发消息
3 楼    发表于2015-03-21 18:16:13举报|引用
返回顶部 | 快捷回复
引用 1 楼 wangruihui 在 2015-03-21 16:00:36 的发言:

 子宫内膜不典型增生


0
回复
signature
邵长景

雾蒙蒙 离线

帖子:30633
粉蓝豆:4994
经验:37440
注册时间:2011-06-12
加关注  |  发消息
4 楼    发表于2015-03-22 07:01:52举报|引用
返回顶部 | 快捷回复

细胞聚集,腺体崩解,出血背景, 感觉还是个月经期子宫内膜。

1

rsrc
回复
signature

诚信 敬业 博学 奉献

zgx457 离线

帖子:1290
粉蓝豆:567
经验:3717
注册时间:2007-10-13
加关注  |  发消息
5 楼    发表于2015-05-20 15:41:29举报|引用
返回顶部 | 快捷回复
引用 1 楼 wangruihui 在 2015-03-21 16:00:36 的发言:

 子宫内膜不典型增生


0
回复
回复:5 阅读:894
共1页/5条首页上一页1下一页尾页
【免责声明】讨论内容仅作学术交流之用,不作为诊疗依据,由此而引起的法律问题作者及本站不承担任何责任。
快速回复
进入高级回复
您最多可输入10000个汉字,按 "Ctrl" + "Enter" 直接发送
搜索回复/乘电梯 ×
按内容
按会员
乘电梯
合作伙伴
友情链接
Baidu
map