共1页/5条首页上一页1下一页尾页
回复:5 阅读:654
宫颈环切腺体有问题吗

zh8012 离线

帖子:124
粉蓝豆:0
经验:201
注册时间:2010-11-17
加关注  |  发消息
楼主 发表于 2015-04-22 09:33|举报|关注(0)
浏览排序[ 顺序 逆序 楼主 支持 精彩 ]  快捷回复
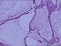
性别年龄45临床诊断
一般病史白带量多十余年,接触性出血半年
标本名称宫颈环切标本
大体所见。。。

见两巢这样的腺体

  • 宫颈环切腺体有问题吗图1
    图1
  • 宫颈环切腺体有问题吗图2
    图2
  • 宫颈环切腺体有问题吗图3
    图3
  • 宫颈环切腺体有问题吗图4
    图4
  • 宫颈环切腺体有问题吗图5
    图5
  • 宫颈环切腺体有问题吗图6
    图6
  • 宫颈环切腺体有问题吗图7
    图7
  • 宫颈环切腺体有问题吗图8
    图8
  • 宫颈环切腺体有问题吗图9
    图9
  • 宫颈环切腺体有问题吗图10
    图10
  • 宫颈环切腺体有问题吗图11
    图11
标签:宫颈
0
添加参考诊断
×参考诊断
  

wangruihui 离线

帖子:7461
粉蓝豆:876
经验:32550
注册时间:2008-01-11
加关注  |  发消息
1 楼    发表于2015-04-22 09:35:37举报|引用
返回顶部 | 快捷回复

 没事。

0
回复

步惊云123 离线

帖子:60
粉蓝豆:820
经验:408
注册时间:2008-07-26
加关注  |  发消息
2 楼    发表于2015-04-22 09:48:39举报|引用
返回顶部 | 快捷回复

 没问题

0
回复

邵长景 离线

帖子:31105
粉蓝豆:483
经验:31883
注册时间:2013-01-03
加关注  |  发消息
3 楼    发表于2015-04-22 10:37:04举报|引用
返回顶部 | 快捷回复

慢性宫颈炎潴留性囊肿形成

1

abin
回复
signature
邵长景

zhouxushi 离线

帖子:89
粉蓝豆:33
经验:97
注册时间:2014-07-13
加关注  |  发消息
4 楼    发表于2015-04-22 10:46:51举报|引用
返回顶部 | 快捷回复

 没事

0
回复
signature
沉淀自己

雾蒙蒙 离线

帖子:30633
粉蓝豆:4991
经验:37440
注册时间:2011-06-12
加关注  |  发消息
5 楼    发表于2015-04-23 06:55:31举报|引用
返回顶部 | 快捷回复

 慢性宫颈炎。

0
回复
signature

诚信 敬业 博学 奉献

回复:5 阅读:654
共1页/5条首页上一页1下一页尾页
【免责声明】讨论内容仅作学术交流之用,不作为诊疗依据,由此而引起的法律问题作者及本站不承担任何责任。
快速回复
进入高级回复
您最多可输入10000个汉字,按 "Ctrl" + "Enter" 直接发送
搜索回复/乘电梯 ×
按内容
按会员
乘电梯
合作伙伴
友情链接
Baidu
map